Suppr超能文献

恶性十二指肠结肠瘘的姑息治疗:内镜下十二指肠支架置入病例报告及其临床意义

Palliative management of malignant duodenocolic fistula: Case report on endoscopic duodenal stent placement and its clinical implications.

作者信息

Bjørnå Guro, Ørntoft Mai-Britt Worm, Jaensch Claudia

机构信息

Surgical Department, Gødstrup Hospital, Denmark.

Surgical Department, Gødstrup Hospital, Denmark.

出版信息

Int J Surg Case Rep. 2025 Feb;127:110918. doi: 10.1016/j.ijscr.2025.110918. Epub 2025 Jan 22.

Abstract

INTRODUCTION AND IMPORTANCE

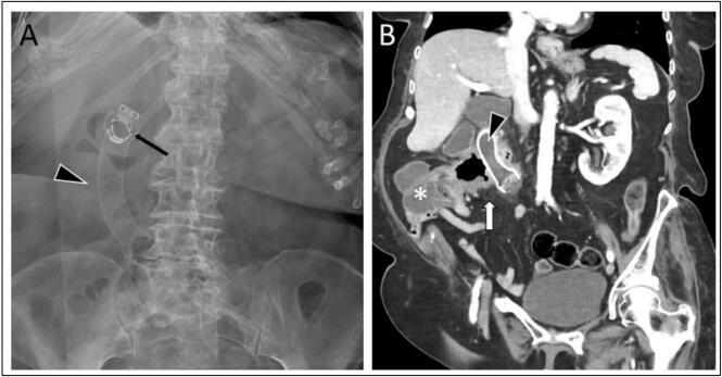
Malignant duodenocolic fistulas are a rare but serious complication of advanced colorectal cancer. With the growing elderly population and increasing incidence of advanced colorectal cancer, there is a pressing need to explore palliative alternatives to complete resection, especially when a patient's overall health precludes extensive surgery.

CASE PRESENTATION

This case report presents a palliative approach involving luminal stent placement via gastroscopy in a patient with non-resectable, locally invasive colorectal cancer, resulting in a malignant duodenocolic fistula.

CLINICAL DISCUSSION

We discuss different palliative treatment strategies against malignant duodenocolic fistulas, including endoscopic luminal stent placement and specific technical aspects of this procedure, highlighting factors that may contribute to a successful clinical outcome.

CONCLUSION

Endoscopic stent placement can represent a minimally invasive palliative strategy to provide symptom relief in a patient with advanced colorectal cancer. Treatment strategy should be considered on a individual basis and in close consultation with the patient.

摘要

引言与重要性

恶性十二指肠结肠瘘是晚期结直肠癌一种罕见但严重的并发症。随着老年人口的增加以及晚期结直肠癌发病率的上升,迫切需要探索除完全切除之外的姑息性替代方案,尤其是当患者的整体健康状况不允许进行广泛手术时。

病例介绍

本病例报告展示了一种姑息治疗方法,即通过胃镜为一名不可切除的局部浸润性结直肠癌患者置入腔内支架,该患者已出现恶性十二指肠结肠瘘。

临床讨论

我们讨论了针对恶性十二指肠结肠瘘的不同姑息治疗策略,包括内镜腔内支架置入术及其具体技术细节,强调了可能有助于取得成功临床结果的因素。

结论

内镜支架置入术可作为一种微创姑息治疗策略,为晚期结直肠癌患者缓解症状。治疗策略应根据个体情况并在与患者密切协商后制定。

https://cdn.ncbi.nlm.nih.gov/pmc/blobs/5e54/11815688/e5b575911df3/gr1.jpg

文献检索

告别复杂PubMed语法,用中文像聊天一样搜索,搜遍4000万医学文献。AI智能推荐,让科研检索更轻松。

立即免费搜索

文件翻译

保留排版,准确专业,支持PDF/Word/PPT等文件格式,支持 12+语言互译。

免费翻译文档

深度研究

AI帮你快速写综述,25分钟生成高质量综述,智能提取关键信息,辅助科研写作。

立即免费体验