• 文献检索
  • 文档翻译
  • 深度研究
  • 学术资讯
  • Suppr Zotero 插件Zotero 插件
  • 邀请有礼
  • 套餐&价格
  • 历史记录
应用&插件
Suppr Zotero 插件Zotero 插件浏览器插件Mac 客户端Windows 客户端微信小程序
定价
高级版会员购买积分包购买API积分包
服务
文献检索文档翻译深度研究API 文档MCP 服务
关于我们
关于 Suppr公司介绍联系我们用户协议隐私条款
关注我们

Suppr 超能文献

核心技术专利:CN118964589B侵权必究
粤ICP备2023148730 号-1Suppr @ 2026

文献检索

告别复杂PubMed语法,用中文像聊天一样搜索,搜遍4000万医学文献。AI智能推荐,让科研检索更轻松。

立即免费搜索

文件翻译

保留排版,准确专业,支持PDF/Word/PPT等文件格式,支持 12+语言互译。

免费翻译文档

深度研究

AI帮你快速写综述,25分钟生成高质量综述,智能提取关键信息,辅助科研写作。

立即免费体验

一名32岁孕妇在孕晚期发生的妊娠相关性自发性冠状动脉夹层。

Pregnancy-Associated Spontaneous Coronary Dissection in a 32-Year-Old During the Third Trimester.

作者信息

Tsianakas Nikolaos, Oehmke Frank, Müller Vera, Lorenz Jakob, Nef Holger, Hamm Christian, Sossalla Samuel, Sander Michael, Meinhold-Heerlein Ivo, Dörr Oliver

机构信息

Department of Cardiology, University of Giessen, Giessen, Germany.

Department of Gynecology and Obstetrics, University of Giessen, Giessen, Germany.

出版信息

JACC Case Rep. 2025 Jan 15;30(2):102769. doi: 10.1016/j.jaccas.2024.102769.

DOI:10.1016/j.jaccas.2024.102769
PMID:39886423
原文链接:https://pmc.ncbi.nlm.nih.gov/articles/PMC11775801/
Abstract

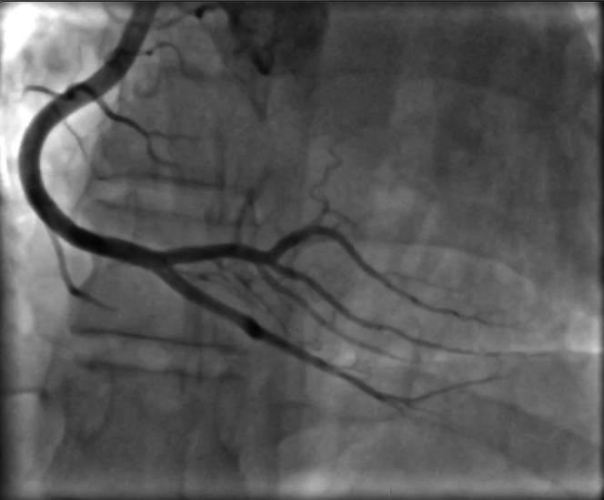
We report a case of spontaneous coronary dissection (SCAD) in a 32-year-old pregnant patient during the seventh month of her second pregnancy. A 32-year-old pregnant woman in the 28th week of gestation was referred to our intensive care unit because of angina as well as elevated troponin levels. The initial electrocardiogram and transthoracic echocardiogram (TTE) were normal. Four hours after admission, the patient experienced angina with ST-segment elevation, and the TTE showed de novo apical hypokinesia. The episode lasted approximately 10 minutes, with subsequent resolution of the ST-segment elevation. An emergency coronary angiogram revealed dissection of the left anterior descending artery. A conservative approach with aspirin monotherapy was chosen. Follow-up TTE at 3 months revealed full recovery of left ventricular function. A multidisciplinary approach is crucial in pregnancy-associated SCAD. Conservative management is generally recommended because of the potential for angiographic healing, with percutaneous coronary intervention reserved for severe cases.

摘要

我们报告一例32岁孕妇在其第二次怀孕第七个月时发生自发性冠状动脉夹层(SCAD)的病例。一名妊娠28周的32岁孕妇因心绞痛以及肌钙蛋白水平升高被转诊至我们的重症监护病房。最初的心电图和经胸超声心动图(TTE)均正常。入院4小时后,患者出现伴有ST段抬高的心绞痛,TTE显示新发心尖运动减弱。该发作持续约10分钟,随后ST段抬高消失。急诊冠状动脉造影显示左前降支动脉夹层。选择了阿司匹林单药治疗的保守方法。3个月后的随访TTE显示左心室功能完全恢复。多学科方法对于妊娠相关的SCAD至关重要。由于血管造影有愈合的可能,一般建议采取保守治疗,对于严重病例则保留经皮冠状动脉介入治疗。

https://cdn.ncbi.nlm.nih.gov/pmc/blobs/076f/11775801/b1261b23a670/gr5.jpg
https://cdn.ncbi.nlm.nih.gov/pmc/blobs/076f/11775801/83cefed38b45/ga1.jpg
https://cdn.ncbi.nlm.nih.gov/pmc/blobs/076f/11775801/310c43512e31/gr1.jpg
https://cdn.ncbi.nlm.nih.gov/pmc/blobs/076f/11775801/033c7bf1055a/gr2.jpg
https://cdn.ncbi.nlm.nih.gov/pmc/blobs/076f/11775801/f6b2406bdb84/gr3.jpg
https://cdn.ncbi.nlm.nih.gov/pmc/blobs/076f/11775801/e6201662c1cc/gr4.jpg
https://cdn.ncbi.nlm.nih.gov/pmc/blobs/076f/11775801/b1261b23a670/gr5.jpg
https://cdn.ncbi.nlm.nih.gov/pmc/blobs/076f/11775801/83cefed38b45/ga1.jpg
https://cdn.ncbi.nlm.nih.gov/pmc/blobs/076f/11775801/310c43512e31/gr1.jpg
https://cdn.ncbi.nlm.nih.gov/pmc/blobs/076f/11775801/033c7bf1055a/gr2.jpg
https://cdn.ncbi.nlm.nih.gov/pmc/blobs/076f/11775801/f6b2406bdb84/gr3.jpg
https://cdn.ncbi.nlm.nih.gov/pmc/blobs/076f/11775801/e6201662c1cc/gr4.jpg
https://cdn.ncbi.nlm.nih.gov/pmc/blobs/076f/11775801/b1261b23a670/gr5.jpg

相似文献

1
Pregnancy-Associated Spontaneous Coronary Dissection in a 32-Year-Old During the Third Trimester.一名32岁孕妇在孕晚期发生的妊娠相关性自发性冠状动脉夹层。
JACC Case Rep. 2025 Jan 15;30(2):102769. doi: 10.1016/j.jaccas.2024.102769.
2
Spontaneous Coronary Arterial Dissection in a Young Female in the Postpartum Period: A Case Report From Sub-Saharan Africa.一名撒哈拉以南非洲地区年轻产后女性的自发性冠状动脉夹层:病例报告
Cureus. 2023 May 25;15(5):e39507. doi: 10.7759/cureus.39507. eCollection 2023 May.
3
The Young Heart Tears Easily Apart: A Case Report of Spontaneous Coronary Artery Dissection.年轻的心易破碎:一例自发性冠状动脉夹层的病例报告
Cureus. 2021 Jun 11;13(6):e15590. doi: 10.7759/cureus.15590. eCollection 2021 Jun.
4
Spontaneous Coronary Artery Dissection Presenting As ST-Segment Elevation Myocardial Infarction.表现为ST段抬高型心肌梗死的自发性冠状动脉夹层
Cureus. 2022 Jun 7;14(6):e25722. doi: 10.7759/cureus.25722. eCollection 2022 Jun.
5
Percutaneous coronary intervention in recurrent spontaneous coronary artery dissection: a case report.复发性自发性冠状动脉夹层的经皮冠状动脉介入治疗:一例报告
Eur Heart J Case Rep. 2019 Mar 4;3(1):ytz021. doi: 10.1093/ehjcr/ytz021. eCollection 2019 Mar.
6
A case report of recurrent spontaneous coronary artery dissection and Takotsubo cardiomyopathy: a treatment dilemma.复发性自发性冠状动脉夹层与应激性心肌病一例报告:治疗困境
Eur Heart J Case Rep. 2020 Feb 10;4(1):1-6. doi: 10.1093/ehjcr/ytaa004. eCollection 2020 Feb.
7
Concomitant presentation of spontaneous coronary artery dissection with Takotsubo syndrome: a case report.自发性冠状动脉夹层与应激性心肌病的合并表现:一例报告
Eur Heart J Case Rep. 2022 Apr 26;6(5):ytac172. doi: 10.1093/ehjcr/ytac172. eCollection 2022 May.
8
Pregnancy-related spontaneous coronary artery dissection: a rare cause of acute coronary syndrome in the third trimester.妊娠相关自发性冠状动脉夹层:孕晚期急性冠状动脉综合征的一个罕见病因。
BMC Cardiovasc Disord. 2023 Jun 8;23(1):292. doi: 10.1186/s12872-023-03323-7.
9
[Peripartum spontaneous coronary artery dissection: a case report].[围产期自发性冠状动脉夹层:一例报告]
G Ital Cardiol (Rome). 2016 Oct;17(10 Suppl 1):24S-27. doi: 10.1714/2372.25478.
10
Long-term follow-up of medically treated patients with spontaneous coronary artery dissection: a prospective, Swiss single-centre cohort study.药物治疗的自发性冠状动脉夹层患者的长期随访:一项前瞻性瑞士单中心队列研究。
Swiss Med Wkly. 2021 Dec 23;151:w30067. doi: 10.4414/smw.2021.w30067. eCollection 2021 Dec 20.

本文引用的文献

1
Conservative Management of Spontaneous Left Main Coronary Artery Dissection (SCAD) Triggered by Emotional Stress in the Late Postpartum Period: Case Report and Pathophysiology.产后晚期情绪应激引发的自发性左主干冠状动脉夹层(SCAD)的保守治疗:病例报告与病理生理学
Pathophysiology. 2022 Oct 26;29(4):610-618. doi: 10.3390/pathophysiology29040047.
2
Antiplatelet therapy in patients with conservatively managed spontaneous coronary artery dissection from the multicentre DISCO registry.保守治疗自发性冠状动脉夹层患者的抗血小板治疗:多中心 DISCO 注册研究。
Eur Heart J. 2021 Aug 31;42(33):3161-3171. doi: 10.1093/eurheartj/ehab372.
3
Outcomes of Percutaneous Coronary Intervention in Patients with Spontaneous Coronary Artery Dissection.
自发性冠状动脉夹层患者经皮冠状动脉介入治疗的结果。
J Interv Cardiol. 2021 May 15;2021:6686230. doi: 10.1155/2021/6686230. eCollection 2021.
4
Risk Factors, Imaging Findings, and Sex Differences in Spontaneous Coronary Artery Dissection.自发性冠状动脉夹层的危险因素、影像学表现及性别差异。
Am J Cardiol. 2019 Jun 1;123(11):1783-1787. doi: 10.1016/j.amjcard.2019.02.040. Epub 2019 Mar 8.
5
Natural History of Spontaneous Coronary Artery Dissection With Spontaneous Angiographic Healing.自发性冠状动脉夹层的自然病史与自发性血管造影愈合。
JACC Cardiovasc Interv. 2019 Mar 25;12(6):518-527. doi: 10.1016/j.jcin.2018.12.011. Epub 2019 Feb 27.
6
Canadian spontaneous coronary artery dissection cohort study: in-hospital and 30-day outcomes.加拿大自发性冠状动脉夹层队列研究:住院期间和 30 天结局。
Eur Heart J. 2019 Apr 14;40(15):1188-1197. doi: 10.1093/eurheartj/ehz007.
7
Acute Myocardial Infarction During Pregnancy and the Puerperium in the United States.美国妊娠期及产褥期急性心肌梗死
Mayo Clin Proc. 2018 Oct;93(10):1404-1414. doi: 10.1016/j.mayocp.2018.04.019. Epub 2018 Jul 18.
8
European Society of Cardiology, acute cardiovascular care association, SCAD study group: a position paper on spontaneous coronary artery dissection.欧洲心脏病学会、急性心血管护理协会、自发性冠状动脉夹层研究组:关于自发性冠状动脉夹层的立场文件。
Eur Heart J. 2018 Sep 21;39(36):3353-3368. doi: 10.1093/eurheartj/ehy080.
9
Spontaneous Coronary Artery Dissection Associated With Pregnancy.自发性冠状动脉夹层与妊娠相关。
J Am Coll Cardiol. 2017 Jul 25;70(4):426-435. doi: 10.1016/j.jacc.2017.05.055.
10
Pregnancy and the Risk of Spontaneous Coronary Artery Dissection: An Analysis of 120 Contemporary Cases.妊娠与自发性冠状动脉夹层的风险:120例当代病例分析
Circ Cardiovasc Interv. 2017 Mar;10(3). doi: 10.1161/CIRCINTERVENTIONS.117.004941.