• 文献检索
  • 文档翻译
  • 深度研究
  • 学术资讯
  • Suppr Zotero 插件Zotero 插件
  • 邀请有礼
  • 套餐&价格
  • 历史记录
应用&插件
Suppr Zotero 插件Zotero 插件浏览器插件Mac 客户端Windows 客户端微信小程序
定价
高级版会员购买积分包购买API积分包
服务
文献检索文档翻译深度研究API 文档MCP 服务
关于我们
关于 Suppr公司介绍联系我们用户协议隐私条款
关注我们

Suppr 超能文献

核心技术专利:CN118964589B侵权必究
粤ICP备2023148730 号-1Suppr @ 2026

文献检索

告别复杂PubMed语法,用中文像聊天一样搜索,搜遍4000万医学文献。AI智能推荐,让科研检索更轻松。

立即免费搜索

文件翻译

保留排版,准确专业,支持PDF/Word/PPT等文件格式,支持 12+语言互译。

免费翻译文档

深度研究

AI帮你快速写综述,25分钟生成高质量综述,智能提取关键信息,辅助科研写作。

立即免费体验

自残致胸部和腹部多处留置针:一例报告

Multiple Retained Needles in the Chest and Abdomen Due to Self-Injury: A Case Report.

作者信息

Maeda Yasuaki, Nitta Kenichi, Kamijo Hiroshi, Takayama Hiroshi, Imamura Hiroshi

机构信息

Department of Emergency and Critical Care Medicine, Shinshu University Hospital, Matsumoto, JPN.

出版信息

Cureus. 2024 Dec 29;16(12):e76590. doi: 10.7759/cureus.76590. eCollection 2024 Dec.

DOI:10.7759/cureus.76590
PMID:39886722
原文链接:https://pmc.ncbi.nlm.nih.gov/articles/PMC11779564/
Abstract

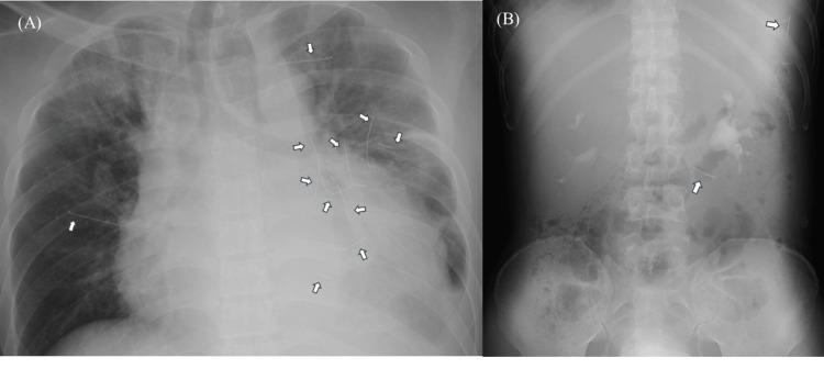
Retained needles are rarely observed in multiple locations. Furthermore, although case reports on retained needles have been published, there are no standardized guidelines for managing retained needles. A 42-year-old man with schizophrenia was referred to our hospital for intensive care because of a pericardial effusion and 12 needles from needle pricks being retained in both his chest and abdomen. First, he underwent emergency pericardial drainage. Thereafter, he underwent surgeries to remove a needle from the pericardium on day 7, abdominal needles on day 14, and intrapulmonary needles on day 30. He was transferred to a psychiatric ward on day 36 after it was confirmed that no needles remained in the body. We report a case of multiple needles being retained in multiple locations due to self-injury caused by schizophrenia. Future guidelines are needed to help clinicians manage patients with retained needles.

摘要

多部位滞留针极为罕见。此外,尽管已有关于滞留针的病例报告发表,但对于处理滞留针尚无标准化指南。一名42岁的精神分裂症男性因心包积液及胸部和腹部有12根针刺所致的滞留针而被转诊至我院进行重症监护。首先,他接受了紧急心包引流。此后,他在第7天接受了从心包取出一根针的手术,第14天取出腹部的针,第30天取出肺内的针。在确认体内无针残留后,他于第36天被转至精神科病房。我们报告一例因精神分裂症导致自我伤害而在多个部位滞留多根针的病例。未来需要制定指南以帮助临床医生处理滞留针患者。

https://cdn.ncbi.nlm.nih.gov/pmc/blobs/d972/11779564/cbbc4cfd520b/cureus-0016-00000076590-i02.jpg
https://cdn.ncbi.nlm.nih.gov/pmc/blobs/d972/11779564/8412e2d85623/cureus-0016-00000076590-i01.jpg
https://cdn.ncbi.nlm.nih.gov/pmc/blobs/d972/11779564/cbbc4cfd520b/cureus-0016-00000076590-i02.jpg
https://cdn.ncbi.nlm.nih.gov/pmc/blobs/d972/11779564/8412e2d85623/cureus-0016-00000076590-i01.jpg
https://cdn.ncbi.nlm.nih.gov/pmc/blobs/d972/11779564/cbbc4cfd520b/cureus-0016-00000076590-i02.jpg

相似文献

1
Multiple Retained Needles in the Chest and Abdomen Due to Self-Injury: A Case Report.自残致胸部和腹部多处留置针:一例报告
Cureus. 2024 Dec 29;16(12):e76590. doi: 10.7759/cureus.76590. eCollection 2024 Dec.
2
[Successful Removal of Intrapericardial Needle using Needle Guidance System].[使用针引导系统成功取出心包内针]
Kyobu Geka. 2022 Aug;75(8):593-597.
3
Thoracoscopic removal of a suture needle from the posterior pericardium after coronary artery bypass grafting.冠状动脉搭桥术后经胸腔镜从心包后部取出缝合针。
Interact Cardiovasc Thorac Surg. 2011 Sep;13(3):341-3. doi: 10.1510/icvts.2010.262113. Epub 2011 Jun 1.
4
Delayed cardiac tamponade and hemothorax induced by an acupuncture needle.针灸针致迟发性心脏压塞和血胸
Cardiology. 1991;78(1):58-63. doi: 10.1159/000174766.
5
Removal of a broken acupuncture needle in retroperitoneum by laparoscopy: a case report.腹腔镜下取出腹膜后断裂的针灸针:一例报告
BMC Surg. 2019 Aug 6;19(1):102. doi: 10.1186/s12893-019-0572-y.
6
Multiple retained needles: an unusual complication of intracavernous self-injection.多根留置针:海绵体内自我注射的一种罕见并发症。
Urology. 2005 Apr;65(4):797. doi: 10.1016/j.urology.2004.10.008.
7
[Successful removal of aberrant needles in the pericardium and lung].[成功取出心包和肺内的异常针头]
Kyobu Geka. 2006 Sep;59(10):927-31.
8
Multiple self-inserted pins and nails in pericardium in a patient of schizophrenia: Case report and review.一名精神分裂症患者心包内多处自插入针和钉:病例报告及文献复习
Ind Psychiatry J. 2015 Jan-Jun;24(1):82-7. doi: 10.4103/0972-6748.160959.
9
[Successful removal of an intrapulmonary aberrant needle under video-assisted thoracoscopic surgery; report of a case].[电视辅助胸腔镜手术成功取出肺内迷走针;病例报告]
Kyobu Geka. 2005 May;58(5):407-9.
10
Fish bone-induced myocardial injury leading to a misdiagnosis of acute myocardial infarction: A case report.鱼骨致心肌损伤误诊为急性心肌梗死一例报告
World J Clin Cases. 2019 Oct 26;7(20):3335-3340. doi: 10.12998/wjcc.v7.i20.3335.

本文引用的文献

1
Global prevalence and characteristics of non-suicidal self-injury between 2010 and 2021 among a non-clinical sample of adolescents: A meta-analysis.2010年至2021年期间非临床青少年样本中非自杀性自伤行为的全球患病率及特征:一项荟萃分析。
Front Psychiatry. 2022 Aug 10;13:912441. doi: 10.3389/fpsyt.2022.912441. eCollection 2022.
2
Mitral valve regurgitation and endocarditis triggered by a needle.二尖瓣反流和心内膜炎由针头引发。
BMC Cardiovasc Disord. 2021 Jun 13;21(1):295. doi: 10.1186/s12872-021-02109-z.
3
Radiological features and management of retained needles.遗留针的放射学特征和处理
Br J Radiol. 2020 Oct 1;93(1114):20200316. doi: 10.1259/bjr.20200316. Epub 2020 Jun 18.
4
Successful combination of endoscopic and laparoscopic removal of multiple ingested needles: A case report.内镜与腹腔镜联合成功取出多根误食针:一例报告
Medicine (Baltimore). 2020 Feb;99(8):e19343. doi: 10.1097/MD.0000000000019343.
5
An Unusual Presentation of a Cardiac Foreign Body in a Pediatric Patient.一名儿科患者心脏异物的罕见表现。
Cureus. 2019 Jun 4;11(6):e4829. doi: 10.7759/cureus.4829.
6
The story of the lost needle: Foreign body embolization to the heart.丢失针头的故事:心脏异物栓塞
J Cardiol Cases. 2015 Apr 2;11(6):175-177. doi: 10.1016/j.jccase.2015.03.004. eCollection 2015 Jun.
7
An Unusual Foreign Body in the Heart: A Case Report.心脏内的罕见异物:一例报告
Ann Thorac Cardiovasc Surg. 2018 Aug 20;24(4):205-207. doi: 10.5761/atcs.cr.17-00117. Epub 2017 Nov 24.
8
Management of Accidental and Iatrogenic Foreign Body Injuries to Heart- Case Series.心脏意外和医源性异物损伤的管理——病例系列
J Clin Diagn Res. 2017 Mar;11(3):PE01-PE04. doi: 10.7860/JCDR/2017/23847.9336. Epub 2017 Mar 1.
9
Multiple self-inserted pins and nails in pericardium in a patient of schizophrenia: Case report and review.一名精神分裂症患者心包内多处自插入针和钉:病例报告及文献复习
Ind Psychiatry J. 2015 Jan-Jun;24(1):82-7. doi: 10.4103/0972-6748.160959.
10
Foreign bodies in the heart.心脏内的异物。
Echocardiography. 2015 Feb;32(2):365-71. doi: 10.1111/echo.12795. Epub 2014 Oct 7.