• 文献检索
  • 文档翻译
  • 深度研究
  • 学术资讯
  • Suppr Zotero 插件Zotero 插件
  • 邀请有礼
  • 套餐&价格
  • 历史记录
应用&插件
Suppr Zotero 插件Zotero 插件浏览器插件Mac 客户端Windows 客户端微信小程序
定价
高级版会员购买积分包购买API积分包
服务
文献检索文档翻译深度研究API 文档MCP 服务
关于我们
关于 Suppr公司介绍联系我们用户协议隐私条款
关注我们

Suppr 超能文献

核心技术专利:CN118964589B侵权必究
粤ICP备2023148730 号-1Suppr @ 2026

文献检索

告别复杂PubMed语法,用中文像聊天一样搜索,搜遍4000万医学文献。AI智能推荐,让科研检索更轻松。

立即免费搜索

文件翻译

保留排版,准确专业,支持PDF/Word/PPT等文件格式,支持 12+语言互译。

免费翻译文档

深度研究

AI帮你快速写综述,25分钟生成高质量综述,智能提取关键信息,辅助科研写作。

立即免费体验

因难治性继发性甲状旁腺功能亢进导致的尿毒症性骨性狮面。

Uremic Leontiasis Ossea due to Resistant Secondary Hyperparathyroidism.

作者信息

Tuna Kubra, Ilkun Olesya, Dziegielewski Peter T, Sharma Anu

机构信息

Division of Endocrinology, Diabetes and Metabolism, University of Florida College of Medicine, Gainesville, Florida.

Division of Nephrology, University of Florida College of Medicine, Gainesville, Florida.

出版信息

AACE Clin Case Rep. 2024 Sep 12;11(1):5-9. doi: 10.1016/j.aace.2024.09.001. eCollection 2025 Jan-Feb.

DOI:10.1016/j.aace.2024.09.001
PMID:39896948
原文链接:https://pmc.ncbi.nlm.nih.gov/articles/PMC11784621/
Abstract

BACKGROUND/OBJECTIVE: Severe progressive overgrowth of the facial bones known as uremic leontiasis ossea (ULO) is a rare complication of resistant hyperparathyroidism in end-stage renal disease (ESRD). The objective of this report is to describe the presentation and treatment of ULO.

CASE REPORT

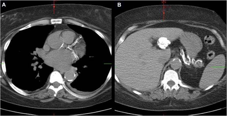
A 48-year-old woman with a history of hypertension, coronary artery disease, and ESRD on hemodialysis presented with severe secondary hyperparathyroidism and calciphylaxis. She had significant changes to her face in the last 3 months leading to oropharyngeal dysphagia and difficulty articulating. Physical examination revealed bony overgrowth in her upper jaw and hard palate, widely spaced teeth, and calcinosis cutis. Her parathyroid hormone (PTH), calcium, and phosphorus levels were 5066 pg/mL (normal range, 12-88 pg/mL); 10.0 mg/dL (8.4-10.2 mg/dL); and 5.4 mg/dL (2.7-4.5 mg/dL); respectively. Using a multidisciplinary approach, she successfully underwent a 3.5-gland parathyroidectomy (immediate postoperative PTH level, 600 pg/mL). She was discharged without complication. Pathology showed hypercellular parathyroid glands with reactive changes.

DISCUSSION

ULO, the most severe form of renal osteodystrophy, results in hypertrophy of the craniofacial skeleton. It carries the risk of significant comorbidities due to cranial nerve compression, respiratory compromise, dysarthria, and dysphagia.

CONCLUSION

With prolonged, uncontrolled PTH stimulation in ESRD, significant facial disfiguration with disabilities can occur. It is of utmost importance to adhere to guideline-specified PTH targets in persons with ESRD to prevent patient harm from permanent physical deformities.

摘要

背景/目的:面部骨骼严重进行性过度生长,即所谓的尿毒症性狮面骨病(ULO),是终末期肾病(ESRD)中难治性甲状旁腺功能亢进的一种罕见并发症。本报告的目的是描述ULO的临床表现及治疗方法。

病例报告

一名48岁女性,有高血压、冠状动脉疾病史,因ESRD接受血液透析治疗,出现严重继发性甲状旁腺功能亢进和钙化防御。在过去3个月里,她的面部发生了显著变化,导致口咽吞咽困难和言语不清。体格检查发现其上颌骨和硬腭骨质过度生长、牙齿间距增宽以及皮肤钙化。她的甲状旁腺激素(PTH)、钙和磷水平分别为5066 pg/mL(正常范围12 - 88 pg/mL)、10.0 mg/dL(8.4 - 10.2 mg/dL)和5.4 mg/dL(2.7 - 4.5 mg/dL)。采用多学科方法,她成功接受了3.5枚甲状旁腺切除术(术后即刻PTH水平为600 pg/mL)。她出院时无并发症。病理检查显示甲状旁腺细胞增多并伴有反应性改变。

讨论

ULO是肾性骨营养不良最严重的形式,可导致颅面骨骼肥大。由于颅神经受压、呼吸功能受损、构音障碍和吞咽困难,它存在显著合并症的风险。

结论

在ESRD患者中,若PTH刺激长期未得到控制,可能会出现严重的面部畸形并导致残疾。对于ESRD患者,严格遵循指南规定的PTH目标以防止患者因永久性身体畸形而受到伤害至关重要。

https://cdn.ncbi.nlm.nih.gov/pmc/blobs/b409/11784621/b3f6aa367484/gr4.jpg
https://cdn.ncbi.nlm.nih.gov/pmc/blobs/b409/11784621/c9f1530900be/gr1.jpg
https://cdn.ncbi.nlm.nih.gov/pmc/blobs/b409/11784621/813bbe7c5f77/gr2.jpg
https://cdn.ncbi.nlm.nih.gov/pmc/blobs/b409/11784621/75f9862fef0f/gr3.jpg
https://cdn.ncbi.nlm.nih.gov/pmc/blobs/b409/11784621/b3f6aa367484/gr4.jpg
https://cdn.ncbi.nlm.nih.gov/pmc/blobs/b409/11784621/c9f1530900be/gr1.jpg
https://cdn.ncbi.nlm.nih.gov/pmc/blobs/b409/11784621/813bbe7c5f77/gr2.jpg
https://cdn.ncbi.nlm.nih.gov/pmc/blobs/b409/11784621/75f9862fef0f/gr3.jpg
https://cdn.ncbi.nlm.nih.gov/pmc/blobs/b409/11784621/b3f6aa367484/gr4.jpg

相似文献

1
Uremic Leontiasis Ossea due to Resistant Secondary Hyperparathyroidism.因难治性继发性甲状旁腺功能亢进导致的尿毒症性骨性狮面。
AACE Clin Case Rep. 2024 Sep 12;11(1):5-9. doi: 10.1016/j.aace.2024.09.001. eCollection 2025 Jan-Feb.
2
Uremic leontiasis ossea: distinctive imaging features allow differentiation from other clinical causes of leontiasis ossea.尿毒症性骨性狮面:独特的影像学特征有助于与其他导致骨性狮面的临床病因相鉴别。
Radiol Case Rep. 2021 Dec 16;17(3):553-557. doi: 10.1016/j.radcr.2021.11.061. eCollection 2022 Mar.
3
[Uremic Leontiasis Ossea: A Challenge in End-Stage Chronic Kidney Disease. About a Case].[尿毒症性骨性狮面:终末期慢性肾脏病的一项挑战。关于一例病例]
Rev Med Chil. 2024 May;152(5):634-639. doi: 10.4067/s0034-98872024000500634.
4
Sixty-Two-Year-Old Male Suffering From Uremic Leontiasis Ossea Caused by Severe Secondary Hyperparathyroidism.62岁男性因严重继发性甲状旁腺功能亢进导致尿毒症性骨狮面症。
JBMR Plus. 2018 Mar 30;2(4):240-245. doi: 10.1002/jbm4.10038. eCollection 2018 Jul.
5
Uremic leontiasis ossea, a rare presentation of severe renal osteodystrophy secondary to hyperparathyroidism.尿毒症性狮子病,继发于甲状旁腺功能亢进的严重肾性骨营养不良的罕见表现。
J Stomatol Oral Maxillofac Surg. 2018 Feb;119(1):56-60. doi: 10.1016/j.jormas.2017.10.006. Epub 2017 Oct 14.
6
Total parathyroidectomy with autotransplantation for a rare disease derived from uremic secondary hyperparathyroidism, the uremic leontiasis ossea.全甲状旁腺切除术联合自体移植治疗一种源自尿毒症继发性甲状旁腺功能亢进的罕见疾病——尿毒症性骨肥大症。
Osteoporos Int. 2014 Mar;25(3):1115-21. doi: 10.1007/s00198-013-2488-1. Epub 2013 Aug 29.
7
Leontiasis ossea in the setting of chronic kidney disease and limited dialysis access: A case report with discussion of therapeutic implications.慢性肾脏病合并有限透析通路情况下的骨肥大症:一例报告并讨论治疗意义
Radiol Case Rep. 2024 Dec 12;20(3):1333-1337. doi: 10.1016/j.radcr.2024.11.049. eCollection 2025 Mar.
8
Uremic Leontiasis Ossea.尿毒症性骨质狮面症
J Clin Imaging Sci. 2021 Apr 29;11:27. doi: 10.25259/JCIS_18_2021. eCollection 2021.
9
Uremic Leontiasis Ossea in a Patient With End-Stage Renal Disease in Hemodialysis.一名接受血液透析的终末期肾病患者的尿毒症性骨性狮面症
Cureus. 2020 Oct 20;12(10):e11060. doi: 10.7759/cureus.11060.
10
Uremic leontiasis ossea due to secondary hyperparathyroidism complicated by vitamin C deficiency in a non-adherent chronic hemodialysis patient: A case report.一名不依从治疗的慢性血液透析患者因继发性甲状旁腺功能亢进并发维生素C缺乏导致的尿毒症性骨性狮面:病例报告
Clin Nephrol Case Stud. 2019 Sep 9;7:54-59. doi: 10.5414/CNCS109788. eCollection 2019.

本文引用的文献

1
Uremic leontiasis ossea: distinctive imaging features allow differentiation from other clinical causes of leontiasis ossea.尿毒症性骨性狮面:独特的影像学特征有助于与其他导致骨性狮面的临床病因相鉴别。
Radiol Case Rep. 2021 Dec 16;17(3):553-557. doi: 10.1016/j.radcr.2021.11.061. eCollection 2022 Mar.
2
Uremic Leontiasis Ossea.尿毒症性骨质狮面症
J Clin Imaging Sci. 2021 Apr 29;11:27. doi: 10.25259/JCIS_18_2021. eCollection 2021.
3
Uremic Leontiasis Ossea in a Patient With End-Stage Renal Disease in Hemodialysis.一名接受血液透析的终末期肾病患者的尿毒症性骨性狮面症
Cureus. 2020 Oct 20;12(10):e11060. doi: 10.7759/cureus.11060.
4
Uremic leontiasis ossea inducing respiratory failure in a patient with stage 5 chronic kidney disease.一名5期慢性肾脏病患者出现骨肥大性骨病性尿毒症导致呼吸衰竭。
Pol Arch Intern Med. 2020 Aug 27;130(7-8):691-692. doi: 10.20452/pamw.15400. Epub 2020 May 28.
5
[Severe facial malformation caused by secondary hyperparathyroidism in uremia: report of 4 cases].[尿毒症继发性甲状旁腺功能亢进致严重面部畸形:附4例报告]
Zhonghua Er Bi Yan Hou Tou Jing Wai Ke Za Zhi. 2019 Dec 7;54(12):924-927. doi: 10.3760/cma.j.issn.1673-0860.2019.12.008.
6
KDIGO 2017 Clinical Practice Guideline Update for the Diagnosis, Evaluation, Prevention, and Treatment of Chronic Kidney Disease-Mineral and Bone Disorder (CKD-MBD).KDIGO 2017慢性肾脏病-矿物质和骨异常(CKD-MBD)诊断、评估、预防及治疗临床实践指南更新
Kidney Int Suppl (2011). 2017 Jul;7(1):1-59. doi: 10.1016/j.kisu.2017.04.001. Epub 2017 Jun 21.
7
CKD-MBD: from the Pathogenesis to the Identification and Development of Potential Novel Therapeutic Targets.慢性肾脏病-矿物质和骨代谢紊乱:从发病机制到潜在新型治疗靶点的识别和开发。
Curr Osteoporos Rep. 2018 Dec;16(6):693-702. doi: 10.1007/s11914-018-0486-0.
8
Bilateral Compressive Optic Neuropathy from Renal Osteodystrophy Caused by Branchio-oto-renal Syndrome Stabilised After Parathyroidectomy.鳃耳肾综合征所致肾性骨营养不良引起的双侧压迫性视神经病变在甲状旁腺切除术后病情稳定
Neuroophthalmology. 2017 May 10;41(6):321-325. doi: 10.1080/01658107.2017.1315145. eCollection 2017 Dec.
9
Facial disfigurement due to osteitis fibrosa cystica or brown tumor from secondary hyperparathyroidism in patients on dialysis: A systematic review and an illustrative case report.透析患者因继发性甲状旁腺功能亢进导致的纤维囊性骨炎或棕色瘤引起的面部毁容:一项系统综述及病例报告
Hemodial Int. 2015 Oct;19(4):583-92. doi: 10.1111/hdi.12298. Epub 2015 Mar 31.
10
Severe maxillofacial renal osteodystrophy in two patients with chronic kidney disease.两名慢性肾病患者的严重颌面部肾性骨营养不良
Oral Maxillofac Surg. 2015 Sep;19(3):321-7. doi: 10.1007/s10006-015-0490-9. Epub 2015 Mar 19.