Suppr超能文献

含或不含漂白凝胶的紫光发光二极管的有效性:一项为期12个月的随机临床试验。

Effectiveness of violet LED with or without a bleaching gel: a 12-month randomized clinical trial.

作者信息

Lopes Ana Cristina Távora de Albuquerque, Brondino Nair Cristina Margarido, Bombonatti Juliana Fraga Soares, Mondelli Rafael Francisco Lia

机构信息

Department of Operative Dentistry, Endodontics and Dental Materials, Bauru School of Dentistry, University of São Paulo (USP), São Paulo, Brazil.

Department of Mathematics, São Paulo State University (UNESP), São Paulo, Brazil.

出版信息

Front Dent Med. 2024 Oct 15;5:1427301. doi: 10.3389/fdmed.2024.1427301. eCollection 2024.

Abstract

INTRODUCTION

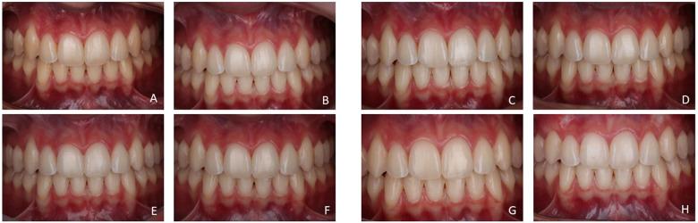
The present interventional, controlled, randomized, blind clinical study aimed to evaluate the effectiveness of an in-office bleaching procedure with violet LED associated or not with 37% carbamide peroxide, considering as response variables the degree of change and color stability over 12 months and dental sensitivity over a month.

METHODS

Forty participants, according to the inclusion and exclusion criteria, were randomly divided into 2 groups ( = 20) according to the bleaching protocol conducted, in two sessions, with a 7-day interval: vLED-violet LED, without gel; vLED/CP-37% carbamide peroxide photocatalyzed with violet LED (control group). In the vLED group, in each session the bleaching was carried out by 2 consecutive irradiation cycles of 25' each (10 × 2' LED + 30" interval), with 5' interval between cycles. In the vLED/CP group, the gel was applied 5 times in the bleaching session and photocatalyzed 3 times for 2' with 30" intervals (7'30" per gel application), totaling 37'30" per session. Dental sensitivity was assessed using a visual analog scale (VAS) and the effectiveness of bleaching as a function of the degree of change and color stability (E) with a spectrophotometer. The data were tabulated and submitted to statistical tests ( < 0.05).

RESULTS

The VAS analysis showed that some individuals from both groups had mild pain (1 ≤ VAS < 4) during the time intervals evaluated, being more prevalent in the vLED/CP group. Regarding the degree of color change, the groups behaved differently over time ( < 0.0001). The E observed for the vLED/CP group was superior in comparison to the vLED group at all evaluated moments.

CONCLUSIONS

Over 12 months, the vLED/CP group was more effective in relation to the bleaching effect compared to the vLED group. Both groups showed low levels of sensitivity in the studied time intervals.

CLINICAL TRIAL REGISTRATION

[https://ensaiosclinicos.gov.br/rg/RBR-6rc23h], identifier [U1111-1253-8850].

摘要

引言

本干预性、对照、随机、盲法临床研究旨在评估诊室中使用紫光发光二极管(vLED)联合或不联合37%过氧化脲进行漂白程序的有效性,将12个月内的变化程度和颜色稳定性以及1个月内的牙齿敏感性作为反应变量。

方法

根据纳入和排除标准,40名参与者按照所进行的漂白方案随机分为2组(每组n = 20),分两次进行,间隔7天:vLED组——无凝胶的紫光发光二极管组;vLED/CP组——用紫光发光二极管光催化的37%过氧化脲组(对照组)。在vLED组中,每次治疗通过连续2个25分钟的照射周期进行(每次10×2分钟LED照射+30秒间隔),周期之间间隔5分钟。在vLED/CP组中,凝胶在漂白治疗中涂抹5次,光催化3次,每次2分钟,间隔30秒(每次凝胶涂抹7分30秒),每次治疗总计37分30秒。使用视觉模拟量表(VAS)评估牙齿敏感性,并使用分光光度计评估漂白效果与变化程度和颜色稳定性(E)的关系。数据制成表格并进行统计检验(P < 0.05)。

结果

VAS分析表明,两组中的一些个体在评估的时间间隔内有轻度疼痛(1≤VAS<4),在vLED/CP组中更普遍。关于颜色变化程度,两组随时间表现不同(P<0.0001)。在所有评估时刻,vLED/CP组观察到的E均优于vLED组。

结论

在12个月内,与vLED组相比,vLED/CP组在漂白效果方面更有效。两组在研究的时间间隔内均表现出低水平的敏感性。

临床试验注册

[https://ensaiosclinicos.gov.br/rg/RBR-6rc23h],标识符[U1111-1253-8850]

https://cdn.ncbi.nlm.nih.gov/pmc/blobs/60e7/11797755/d6c739554800/fdmed-05-1427301-g001.jpg

文献AI研究员

20分钟写一篇综述,助力文献阅读效率提升50倍。

立即体验

用中文搜PubMed

大模型驱动的PubMed中文搜索引擎

马上搜索

文档翻译

学术文献翻译模型,支持多种主流文档格式。

立即体验