Rothenberger Raphael, Banz Yara, Bruno Jolie, Capek Lukas, Fürholz Monika, Neagoe Alexandra-Maria, Hunziker Lukas, Martinelli Michele, Schnegg Bruno, Schnegg-Kaufmann Annatina
Department of Cardiology, University Hospital Bern, Bern, Switzerland.
Institute of Tissue Medicine and Pathology, University of Bern, Bern, Switzerland.
JACC Case Rep. 2025 Feb 5;30(3):103127. doi: 10.1016/j.jaccas.2024.103127.
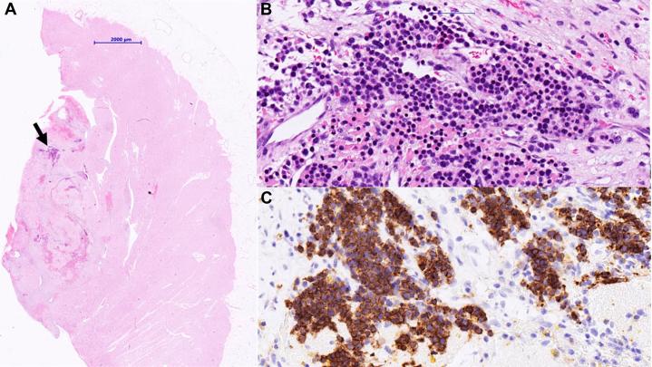
In severe heart failure with hemodynamic failure, when inotropic therapies no longer suffice (INTERMACS [Interagency Registry for Mechanically Assisted Circulatory Support] 1), temporary mechanical support is used as a bridging measure until a more definitive treatment, such as a left ventricular assist device, a total artificial heart or transplantation, is performed. Due to shear stress during the passage of blood through the pump, limited hemolysis is to be expected. We describe the case of a 37-year-old patient with terminal heart failure who suffered severe hemolysis during treatment with temporary mechanical support. Examination of the cardiac apex after left ventricular assist device implantation revealed a poorly differentiated tumor. Histopathologic examination revealed underlying extramedullary hematopoiesis, triggered by severe hemolytic anemia. Following exclusion of neoplasia, the patient subsequently underwent heart transplantation. Post-transplantation, the patient was diagnosed with alpha-thalassemia and heterozygote hemoglobin E. This combination can result in mild thalassemia with chronic low-level hemolysis and mild anemia, probably severely exacerbated in the presence of high-shear stress.
在伴有血流动力学衰竭的严重心力衰竭中,当正性肌力治疗不再足够时(INTERMACS[机械辅助循环支持跨机构注册中心]1级),临时机械支持作为一种过渡措施,直至进行更确切的治疗,如植入左心室辅助装置、全人工心脏或进行心脏移植。由于血液流经泵时产生的剪切应力,预计会有有限的溶血发生。我们描述了一名37岁终末期心力衰竭患者在接受临时机械支持治疗期间发生严重溶血的病例。植入左心室辅助装置后对心尖进行检查发现一个分化不良的肿瘤。组织病理学检查显示其潜在病因是由严重溶血性贫血引发的髓外造血。排除肿瘤形成后,该患者随后接受了心脏移植。移植后,患者被诊断为α地中海贫血和血红蛋白E杂合子。这种组合可导致轻度地中海贫血伴慢性低水平溶血和轻度贫血,在高剪切应力存在的情况下可能会严重加剧。