Suppr超能文献

酷似胸内肿瘤的胸内髓外造血:一例报告

Intrathoracic extramedullary hematopoiesis mimicking intrathoracic tumors: A case report.

作者信息

Zhou Bo, Yan Sheng, Zheng Shusen

机构信息

Division of Hepatobiliary and Pancreatic Surgery, Department of Surgery, First Affiliated Hospital, School of Medicine, Zhejiang University, Hangzhou, Zhejiang 310003, P.R. China.

出版信息

Oncol Lett. 2014 Jun;7(6):1984-1986. doi: 10.3892/ol.2014.2051. Epub 2014 Apr 9.

Abstract

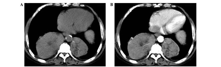
Extramedullary hematopoiesis (EMH) is a rare disease that is characterized by the presence of hemopoietic tissue outside the bone marrow. The masses that form are usually microscopic and asymptomatic, but occasionally lead to tumor-like masses. A 56-year-old male who initially presented to the First Affiliated Hospital, School of Medicine, Zhejiang University (Hangzhou, China) with upper abdominal pain and jaundice was found to have paravertebral masses in the thorax. Histopathological examination of a computed tomography-guided needle aspiration biopsy of the masses revealed EMH. The current study presents this unusual case, in which EMH was diagnosed by chance in a patient with hereditary spherocytosis. As the intrathoracic EMH was asymptomatic, the patient was discharged with the proviso of regular follow-up examinations. The patient exhibited improved blood cell counts following a splenectomy to reduce the hemolysis and stabilize the thoracic masses. The thoracic masses have been closely followed for one and a half years. A correct diagnosis can thus aid in avoiding unnecessary surgical intervention, particularly in an asymptomatic patient.

摘要

髓外造血(EMH)是一种罕见疾病,其特征是骨髓外存在造血组织。形成的肿块通常是微观的且无症状,但偶尔会导致肿瘤样肿块。一名56岁男性最初因上腹部疼痛和黄疸就诊于浙江大学医学院附属第一医院(中国杭州),发现胸部有椎旁肿块。对肿块进行计算机断层扫描引导下针吸活检的组织病理学检查显示为EMH。本研究报告了这一罕见病例,其中一名遗传性球形红细胞增多症患者偶然被诊断为EMH。由于胸内EMH无症状,患者在定期随访检查的条件下出院。患者在进行脾切除术后血细胞计数有所改善,以减少溶血并稳定胸部肿块。对胸部肿块进行了一年半的密切随访。因此,正确的诊断有助于避免不必要的手术干预,尤其是对于无症状患者。

https://cdn.ncbi.nlm.nih.gov/pmc/blobs/b021/4049766/176ea120fba6/OL-07-06-1984-g00.jpg

文献AI研究员

20分钟写一篇综述,助力文献阅读效率提升50倍。

立即体验

用中文搜PubMed

大模型驱动的PubMed中文搜索引擎

马上搜索

文档翻译

学术文献翻译模型,支持多种主流文档格式。

立即体验