Suppr超能文献

原发性卵巢平滑肌肉瘤:一例报告并文献复习

Primary Ovarian Leiomyosarcoma: A Case Report and Review of the Literature.

作者信息

Elghanmi Adil, Kouhen Fadila, Abdallaoui Maane Leila, Fichtali Karima, Ghazi Bouchra

机构信息

Immunopathology-Immunotherapy-Immunomonitoring Laboratory, Faculty of Medicine, Mohammed VI University of Health and Sciences (UM6SS), Casablanca, MAR.

Department of Gynecology and Obstetrics, Mohammed VI International University Hospital, Bouskoura, MAR.

出版信息

Cureus. 2025 Jan 26;17(1):e78005. doi: 10.7759/cureus.78005. eCollection 2025 Jan.

Abstract

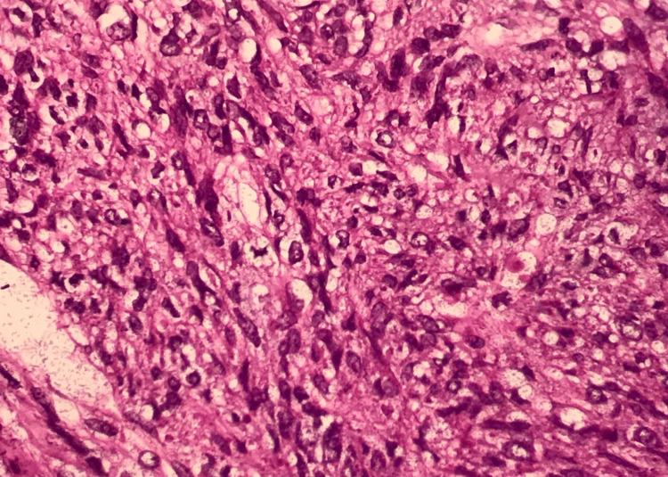
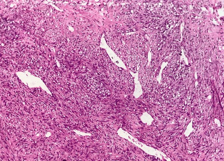
Leiomyosarcoma, a rare malignant mesenchymal tumor originating from smooth muscle, comprises a small proportion of all ovarian malignancies and presents as an aggressive ovarian tumor. This case report presents a 56-year-old postmenopausal woman diagnosed with ovarian leiomyosarcoma (OLMS). The patient presented with chronic pelvic pain, abdominal distension, and metrorrhagia. Physical examination revealed a 12 cm pelvic mass in the right adnexal region. The surgical intervention included total hysterectomy with bilateral adnexectomy, bilateral pelvic and para-aortic lymphadenectomy, and total omentectomy, confirming leiomyosarcoma via histopathological analysis. The literature review underscores the absence of established pathogenesis for primary ovarian leiomyosarcoma (POLMS), highlighting diagnostic challenges due to the lack of specific tumor markers and ambiguous imaging results. Despite aggressive management, POLMS exhibits a poor prognosis for advanced tumors. Given the rarity of reported cases and the limited understanding of optimal management strategies, this report seeks to improve knowledge of the diagnostic challenges and therapeutic approaches for OLMS, emphasizing its atypical presentation and treatment considerations.

摘要

平滑肌肉瘤是一种罕见的起源于平滑肌的恶性间叶肿瘤,在所有卵巢恶性肿瘤中占比很小,表现为侵袭性卵巢肿瘤。本病例报告介绍了一名56岁绝经后女性被诊断为卵巢平滑肌肉瘤(OLMS)。患者出现慢性盆腔疼痛、腹胀和子宫出血。体格检查发现右附件区有一个12厘米的盆腔肿块。手术干预包括全子宫切除术加双侧附件切除术、双侧盆腔和腹主动脉旁淋巴结清扫术以及全大网膜切除术,通过组织病理学分析确诊为平滑肌肉瘤。文献综述强调原发性卵巢平滑肌肉瘤(POLMS)缺乏既定的发病机制,突出了由于缺乏特异性肿瘤标志物和影像学结果不明确所带来的诊断挑战。尽管采取了积极的治疗措施,但POLMS对晚期肿瘤的预后较差。鉴于报道病例的罕见性以及对最佳治疗策略的了解有限,本报告旨在提高对OLMS诊断挑战和治疗方法的认识,强调其非典型表现和治疗考虑因素。

https://cdn.ncbi.nlm.nih.gov/pmc/blobs/cced/11855805/f68ade66202b/cureus-0017-00000078005-i01.jpg

文献AI研究员

20分钟写一篇综述,助力文献阅读效率提升50倍。

立即体验

用中文搜PubMed

大模型驱动的PubMed中文搜索引擎

马上搜索

文档翻译

学术文献翻译模型,支持多种主流文档格式。

立即体验