• 文献检索
  • 文档翻译
  • 深度研究
  • 学术资讯
  • Suppr Zotero 插件Zotero 插件
  • 邀请有礼
  • 套餐&价格
  • 历史记录
应用&插件
Suppr Zotero 插件Zotero 插件浏览器插件Mac 客户端Windows 客户端微信小程序
定价
高级版会员购买积分包购买API积分包
服务
文献检索文档翻译深度研究API 文档MCP 服务
关于我们
关于 Suppr公司介绍联系我们用户协议隐私条款
关注我们

Suppr 超能文献

核心技术专利:CN118964589B侵权必究
粤ICP备2023148730 号-1Suppr @ 2026

文献检索

告别复杂PubMed语法,用中文像聊天一样搜索,搜遍4000万医学文献。AI智能推荐,让科研检索更轻松。

立即免费搜索

文件翻译

保留排版,准确专业,支持PDF/Word/PPT等文件格式,支持 12+语言互译。

免费翻译文档

深度研究

AI帮你快速写综述,25分钟生成高质量综述,智能提取关键信息,辅助科研写作。

立即免费体验

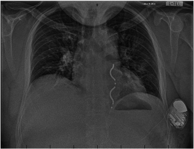
Extravascular defibrillator implant in a patient with Poland syndrome.

作者信息

Evans Thomas D J, Downey Ross A, McAlister Cameron C, Crozier Ian G

机构信息

Department of Cardiology, Christchurch Hospital, Christchurch Central City, Christchurch, New Zealand.

出版信息

HeartRhythm Case Rep. 2024 Oct 12;11(2):93-95. doi: 10.1016/j.hrcr.2024.10.013. eCollection 2025 Feb.

DOI:10.1016/j.hrcr.2024.10.013
PMID:40018320
原文链接:https://pmc.ncbi.nlm.nih.gov/articles/PMC11862142/
Abstract
摘要
https://cdn.ncbi.nlm.nih.gov/pmc/blobs/09f0/11862142/06c1442c4ad6/gr3.jpg
https://cdn.ncbi.nlm.nih.gov/pmc/blobs/09f0/11862142/45d978c233de/gr1.jpg
https://cdn.ncbi.nlm.nih.gov/pmc/blobs/09f0/11862142/edc701ef9922/gr2.jpg
https://cdn.ncbi.nlm.nih.gov/pmc/blobs/09f0/11862142/06c1442c4ad6/gr3.jpg
https://cdn.ncbi.nlm.nih.gov/pmc/blobs/09f0/11862142/45d978c233de/gr1.jpg
https://cdn.ncbi.nlm.nih.gov/pmc/blobs/09f0/11862142/edc701ef9922/gr2.jpg
https://cdn.ncbi.nlm.nih.gov/pmc/blobs/09f0/11862142/06c1442c4ad6/gr3.jpg

相似文献

1
Extravascular defibrillator implant in a patient with Poland syndrome.波兰综合征患者的血管外除颤器植入术
HeartRhythm Case Rep. 2024 Oct 12;11(2):93-95. doi: 10.1016/j.hrcr.2024.10.013. eCollection 2025 Feb.
2
Periprocedural outcomes from the postmarket study of the extravascular implantable cardioverter-defibrillator: preliminary Enlighten study results and meta-analysis.血管外植入式心脏复律除颤器上市后研究的围手术期结果:初步的Enlighten研究结果及荟萃分析。
Heart Rhythm. 2025 Mar 17. doi: 10.1016/j.hrthm.2025.02.012.
3
Performance and Safety of the Extravascular Implantable Cardioverter Defibrillator Through Long-Term Follow-Up: Final Results From the Pivotal Study.经长期随访的血管外植入式心脏复律除颤器的性能与安全性:关键研究的最终结果
Circulation. 2025 Jan 28;151(4):322-332. doi: 10.1161/CIRCULATIONAHA.124.071795. Epub 2024 Sep 26.
4
Oldest-in-Human Successful Extraction Experience of a Novel Substernal Extravascular Defibrillator.新型胸骨下血管外除颤器在人类中的最年长成功植入经验
J Cardiovasc Electrophysiol. 2025 Jan;36(1):295-297. doi: 10.1111/jce.16511. Epub 2024 Nov 22.
5
Evaluation of a second-generation intercostal extravascular implantable cardioverter defibrillator lead with a pectoral pulse generator for sensing, defibrillation, and anti-tachycardia pacing.评估一种带有胸壁脉冲发生器的第二代肋间血管外植入式心脏复律除颤器导线用于感知、除颤和抗心动过速起搏的性能。
Europace. 2025 Mar 5;27(3). doi: 10.1093/europace/euaf044.
6
The development of the extravascular defibrillator with substernal lead placement: A new Frontier for device-based treatment of sudden cardiac arrest.经胸骨下心外膜导联除颤器的发展:基于器械治疗心搏骤停的新前沿。
J Cardiovasc Electrophysiol. 2022 Jun;33(6):1085-1095. doi: 10.1111/jce.15511. Epub 2022 May 8.
7
Non-traditional implantable cardioverter-defibrillator configurations and insertion techniques: a review of contemporary options.非传统型植入式心脏复律除颤器的配置和插入技术:当代选择的回顾。
Europace. 2022 Feb 2;24(2):181-192. doi: 10.1093/europace/euab178.
8
Subcutaneous implantable cardioverter-defibrillator therapy in Poland: Results of the Polish S-ICD Registry.波兰皮下植入式心律转复除颤器治疗:波兰 S-ICD 登记研究结果。
Kardiol Pol. 2023;81(5):455-462. doi: 10.33963/KP.a2023.0046. Epub 2023 Mar 5.
9
The clinical and economic impact of extended battery longevity of a substernal extravascular implantable cardioverter defibrillator.胸骨下血管外植入式心律转复除颤器延长电池寿命的临床和经济影响。
J Cardiovasc Electrophysiol. 2024 Feb;35(2):230-237. doi: 10.1111/jce.16150. Epub 2023 Dec 4.
10
Decision-making regarding subcutaneous implantable cardioverter defibrillator as primary prevention in patients with low ejection fraction.关于低射血分数患者皮下植入式心律转复除颤器作为一级预防的决策。
Pacing Clin Electrophysiol. 2024 Oct;47(10):1285-1292. doi: 10.1111/pace.15065. Epub 2024 Aug 19.

本文引用的文献

1
Defibrillation Threshold Testing for Right-sided Device Implants: A Review to Inform Shared Decision-making, in Association with the British Heart Rhythm Society.右侧设备植入的除颤阈值测试:与英国心律协会联合进行的一项旨在为共同决策提供信息的综述
Arrhythm Electrophysiol Rev. 2023 Apr 14;12:e10. doi: 10.15420/aer.2022.38. eCollection 2023.
2
Efficacy and Safety of an Extravascular Implantable Cardioverter-Defibrillator.经静脉植入式心脏复律除颤器的疗效和安全性。
N Engl J Med. 2022 Oct 6;387(14):1292-1302. doi: 10.1056/NEJMoa2206485. Epub 2022 Aug 28.
3
The development of the extravascular defibrillator with substernal lead placement: A new Frontier for device-based treatment of sudden cardiac arrest.
经胸骨下心外膜导联除颤器的发展:基于器械治疗心搏骤停的新前沿。
J Cardiovasc Electrophysiol. 2022 Jun;33(6):1085-1095. doi: 10.1111/jce.15511. Epub 2022 May 8.
4
EHRA expert consensus statement and practical guide on optimal implantation technique for conventional pacemakers and implantable cardioverter-defibrillators: endorsed by the Heart Rhythm Society (HRS), the Asia Pacific Heart Rhythm Society (APHRS), and the Latin-American Heart Rhythm Society (LAHRS).EHRA 专家共识声明及关于传统起搏器和植入式心律转复除颤器最佳植入技术的实用指南:得到了心脏节律学会(HRS)、亚太心脏节律学会(APHRS)和拉丁美洲心脏节律学会(LAHRS)的认可。
Europace. 2021 Jul 18;23(7):983-1008. doi: 10.1093/europace/euaa367.
5
Consensus based recommendations for diagnosis and medical management of Poland syndrome (sequence).波兰综合征(序列)诊断和医学管理的共识建议。
Orphanet J Rare Dis. 2020 Aug 5;15(1):201. doi: 10.1186/s13023-020-01481-x.
6
Poland Syndrome.波兰综合征
N Engl J Med. 2018 Jan 4;378(1):72. doi: 10.1056/nejmicm1709713.