• 文献检索
  • 文档翻译
  • 深度研究
  • 学术资讯
  • Suppr Zotero 插件Zotero 插件
  • 邀请有礼
  • 套餐&价格
  • 历史记录
应用&插件
Suppr Zotero 插件Zotero 插件浏览器插件Mac 客户端Windows 客户端微信小程序
定价
高级版会员购买积分包购买API积分包
服务
文献检索文档翻译深度研究API 文档MCP 服务
关于我们
关于 Suppr公司介绍联系我们用户协议隐私条款
关注我们

Suppr 超能文献

核心技术专利:CN118964589B侵权必究
粤ICP备2023148730 号-1Suppr @ 2026

文献检索

告别复杂PubMed语法,用中文像聊天一样搜索,搜遍4000万医学文献。AI智能推荐,让科研检索更轻松。

立即免费搜索

文件翻译

保留排版,准确专业,支持PDF/Word/PPT等文件格式,支持 12+语言互译。

免费翻译文档

深度研究

AI帮你快速写综述,25分钟生成高质量综述,智能提取关键信息,辅助科研写作。

立即免费体验

一名8岁男童的小儿T细胞/组织细胞丰富型大B细胞淋巴瘤(THRLBC):病例报告

Pediatric T-Cell/Histiocyte-Rich Large B-Cell Lymphoma (THRLBC) in an 8-Year-Old Male Child: A Case Report.

作者信息

Arega Gashaw, Adam Haileyesus, Girma Alemayehu, Diida Galgaloo, Beresa Eden, Adane Leul, Negussie Michael A, Abrar Fadil Nuredin, Asefa Mesfin

机构信息

Division of Hematology and Oncology, Department of Pediatrics and Child Health, College of Health Sciences, Addis Ababa University, Addis Ababa, Ethiopia.

Department of Radiology, College of Health Sciences, Addis Ababa University, Addis Ababa, Ethiopia.

出版信息

Case Rep Oncol Med. 2025 Feb 22;2025:8869045. doi: 10.1155/crom/8869045. eCollection 2025.

DOI:10.1155/crom/8869045
PMID:40026533
原文链接:https://pmc.ncbi.nlm.nih.gov/articles/PMC11871974/
Abstract

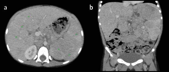
T-cell/histiocyte-rich large B-cell lymphoma (THRLBCL) is a rare and aggressive subtype of diffuse large B-cell lymphoma (DLBCL) that is uncommon in children. Here, we present the case of an 8-year-old male with a 3-month history of low-grade intermittent fever, significant weight loss, loss of appetite, and progressive abdominal swelling. Examination revealed splenomegaly and a palpable midabdominal mass, with laboratory findings showing bicytopenia. Imaging demonstrated hepatosplenomegaly, diffuse hypodense liver and spleen lesions, and mesenteric and retroperitoneal lymphadenopathy. A core-needle biopsy of the mesenteric mass confirmed the diagnosis, with histopathology revealing scattered large mononuclear and binucleate cells in a background of small lymphocytes and histiocytes. Immunohistochemistry showed positivity for CD45, CD20, and EMA and negativity for CD30, CD15, and Bcl-2, excluding alternative diagnoses such as nodular lymphocyte-predominant Hodgkin lymphoma (NLPHL) and classical Hodgkin lymphoma (cHL). The patient was initially stabilized with a prephase regimen of cyclophosphamide, vincristine, and prednisone (COP), followed by induction and consolidation with R-COPADM (rituximab, cyclophosphamide, vincristine, prednisone, and methotrexate). Posttreatment imaging revealed significant resolution of lymphadenopathy and hepatosplenomegaly, with no residual or recurrent disease. At follow-up, the patient remains in clinical remission with no signs of progression. This case highlights the importance of early recognition, detailed histopathological evaluation, and the role of immunohistochemistry in accurately diagnosing THRLBCL in children, ensuring timely initiation of effective therapy and improving outcomes in this rare pediatric malignancy.

摘要

富于T细胞/组织细胞的大B细胞淋巴瘤(THRLBCL)是弥漫性大B细胞淋巴瘤(DLBCL)中一种罕见且侵袭性的亚型,在儿童中并不常见。在此,我们报告一例8岁男性患儿,有3个月的低热间歇性发热、显著体重减轻、食欲不振及进行性腹部肿胀病史。检查发现脾肿大及可触及的中腹部肿块,实验室检查结果显示全血细胞减少。影像学检查显示肝脾肿大、肝脏和脾脏弥漫性低密度病变以及肠系膜和腹膜后淋巴结肿大。肠系膜肿块的粗针活检确诊了诊断,组织病理学显示在小淋巴细胞和组织细胞背景中有散在的大单核细胞和双核细胞。免疫组化显示CD45、CD20和EMA阳性,CD30、CD15和Bcl-2阴性,排除了结节性淋巴细胞为主型霍奇金淋巴瘤(NLPHL)和经典型霍奇金淋巴瘤(cHL)等其他诊断。患者最初通过环磷酰胺、长春新碱和泼尼松(COP)的前期方案稳定病情,随后用R-COPADM(利妥昔单抗、环磷酰胺、长春新碱、泼尼松和甲氨蝶呤)进行诱导和巩固治疗。治疗后的影像学检查显示淋巴结肿大和肝脾肿大明显消退,无残留或复发病变。随访时,患者仍处于临床缓解期,无进展迹象。该病例强调了早期识别、详细的组织病理学评估以及免疫组化在准确诊断儿童THRLBCL中的重要性,确保及时开始有效的治疗并改善这种罕见儿童恶性肿瘤的预后。

https://cdn.ncbi.nlm.nih.gov/pmc/blobs/95df/11871974/8a9cd29a8be9/CRIONM2025-8869045.008.jpg
https://cdn.ncbi.nlm.nih.gov/pmc/blobs/95df/11871974/5ef64a28505e/CRIONM2025-8869045.001.jpg
https://cdn.ncbi.nlm.nih.gov/pmc/blobs/95df/11871974/8c66382cd95b/CRIONM2025-8869045.002.jpg
https://cdn.ncbi.nlm.nih.gov/pmc/blobs/95df/11871974/5beaa57f232a/CRIONM2025-8869045.003.jpg
https://cdn.ncbi.nlm.nih.gov/pmc/blobs/95df/11871974/34a715117fab/CRIONM2025-8869045.004.jpg
https://cdn.ncbi.nlm.nih.gov/pmc/blobs/95df/11871974/6c0b0f334586/CRIONM2025-8869045.005.jpg
https://cdn.ncbi.nlm.nih.gov/pmc/blobs/95df/11871974/dd36a3323ae3/CRIONM2025-8869045.006.jpg
https://cdn.ncbi.nlm.nih.gov/pmc/blobs/95df/11871974/823c49eb5df6/CRIONM2025-8869045.007.jpg
https://cdn.ncbi.nlm.nih.gov/pmc/blobs/95df/11871974/8a9cd29a8be9/CRIONM2025-8869045.008.jpg
https://cdn.ncbi.nlm.nih.gov/pmc/blobs/95df/11871974/5ef64a28505e/CRIONM2025-8869045.001.jpg
https://cdn.ncbi.nlm.nih.gov/pmc/blobs/95df/11871974/8c66382cd95b/CRIONM2025-8869045.002.jpg
https://cdn.ncbi.nlm.nih.gov/pmc/blobs/95df/11871974/5beaa57f232a/CRIONM2025-8869045.003.jpg
https://cdn.ncbi.nlm.nih.gov/pmc/blobs/95df/11871974/34a715117fab/CRIONM2025-8869045.004.jpg
https://cdn.ncbi.nlm.nih.gov/pmc/blobs/95df/11871974/6c0b0f334586/CRIONM2025-8869045.005.jpg
https://cdn.ncbi.nlm.nih.gov/pmc/blobs/95df/11871974/dd36a3323ae3/CRIONM2025-8869045.006.jpg
https://cdn.ncbi.nlm.nih.gov/pmc/blobs/95df/11871974/823c49eb5df6/CRIONM2025-8869045.007.jpg
https://cdn.ncbi.nlm.nih.gov/pmc/blobs/95df/11871974/8a9cd29a8be9/CRIONM2025-8869045.008.jpg

相似文献

1
Pediatric T-Cell/Histiocyte-Rich Large B-Cell Lymphoma (THRLBC) in an 8-Year-Old Male Child: A Case Report.一名8岁男童的小儿T细胞/组织细胞丰富型大B细胞淋巴瘤(THRLBC):病例报告
Case Rep Oncol Med. 2025 Feb 22;2025:8869045. doi: 10.1155/crom/8869045. eCollection 2025.
2
Nodular Lymphocyte Predominant Hodgkin Lymphoma versus T-Cell/Histiocyte-Rich Large B-Cell Lymphoma: A Diagnostic Challenge.结节性淋巴细胞为主型霍奇金淋巴瘤与富于T细胞/组织细胞的大B细胞淋巴瘤:诊断挑战
Case Rep Pathol. 2014;2014:956217. doi: 10.1155/2014/956217. Epub 2014 Jul 7.
3
Array comparative genomic hybridization reveals similarities between nodular lymphocyte predominant Hodgkin lymphoma and T cell/histiocyte rich large B cell lymphoma.阵列比较基因组杂交显示结节性淋巴细胞为主型霍奇金淋巴瘤与 T 细胞/组织细胞丰富的大 B 细胞淋巴瘤之间的相似性。
Br J Haematol. 2015 May;169(3):415-22. doi: 10.1111/bjh.13310. Epub 2015 Feb 2.
4
Large B-cell lymphoma with T-cell-rich background and nodules lacking follicular dendritic cell meshworks: description of an insufficiently recognized variant.伴有富含T细胞背景且缺乏滤泡树突状细胞网络结节的大B细胞淋巴瘤:一种认识不足的变异型描述。
Hum Pathol. 2015 Jan;46(1):74-83. doi: 10.1016/j.humpath.2014.09.009. Epub 2014 Oct 8.
5
[Differential diagnosis between nodular lymphocyte-predominant Hodgkin lymphoma and T-cell/histiocyte-rich B-cell lymphoma].[结节性淋巴细胞为主型霍奇金淋巴瘤与富于T细胞/组织细胞的B细胞淋巴瘤的鉴别诊断]
Zhonghua Zhong Liu Za Zhi. 2006 Aug;28(8):594-8.
6
Macrophages in T cell/histiocyte rich large B cell lymphoma strongly express metal-binding proteins and show a bi-activated phenotype.T 细胞/组织细胞丰富型大 B 细胞淋巴瘤中的巨噬细胞强烈表达金属结合蛋白,并表现出双激活表型。
Int J Cancer. 2013 Dec 1;133(11):2609-18. doi: 10.1002/ijc.28273. Epub 2013 Jun 29.
7
T-cell/histiocyte-rich large B-cell lymphoma is a disseminated aggressive neoplasm: differential diagnosis from Hodgkin's lymphoma.富于T细胞/组织细胞的大B细胞淋巴瘤是一种播散性侵袭性肿瘤:与霍奇金淋巴瘤的鉴别诊断。
Histopathology. 2002 Sep;41(3):216-29. doi: 10.1046/j.1365-2559.2002.01466.x.
8
Composite lymphoma of T-cell rich, histiocyte-rich diffuse large B-cell lymphoma and nodular lymphocyte predominant Hodgkin lymphoma: a case report.富于T细胞、组织细胞的弥漫性大B细胞淋巴瘤与结节性淋巴细胞为主型霍奇金淋巴瘤的复合淋巴瘤:一例报告
J Med Case Rep. 2021 Apr 14;15(1):163. doi: 10.1186/s13256-021-02783-9.
9
A Case of Chemotherapy-Refractory "THRLBCL like Transformation of NLPHL" Successfully Treated with Lenalidomide.一例使用来那度胺成功治疗的化疗难治性“NLPHL 样转化的 THRLBCL”病例
Case Rep Oncol Med. 2018 Feb 6;2018:6137454. doi: 10.1155/2018/6137454. eCollection 2018.
10
Clinical features and survival of patients with T-cell/histiocyte-rich large B-cell lymphoma: analysis of the National Cancer Data Base.T 细胞/组织细胞丰富型大 B 细胞淋巴瘤患者的临床特征和生存分析:国家癌症数据库分析。
Leuk Lymphoma. 2019 Dec;60(14):3426-3433. doi: 10.1080/10428194.2019.1639166. Epub 2019 Jul 9.

本文引用的文献

1
Primary hepatic large B-cell lymphoma.原发性肝脏大B细胞淋巴瘤
Clin Res Hepatol Gastroenterol. 2025 Jan;49(1):102506. doi: 10.1016/j.clinre.2024.102506. Epub 2024 Nov 22.
2
Diffuse large B-cell lymphoma: An immunohistochemical approach to diagnosis.弥漫性大B细胞淋巴瘤:一种诊断的免疫组织化学方法。
J Oral Maxillofac Pathol. 2019 May-Aug;23(2):284-288. doi: 10.4103/jomfp.JOMFP_294_18.
3
T-Cell/Histiocyte-Rich Large B-Cell Lymphoma: A Challenging Diagnosis.富于T细胞/组织细胞的大B细胞淋巴瘤:一项具有挑战性的诊断。
Eur J Case Rep Intern Med. 2019 Jul 26;6(8):001077. doi: 10.12890/2019_001077. eCollection 2019.
4
Clinical features and survival of patients with T-cell/histiocyte-rich large B-cell lymphoma: analysis of the National Cancer Data Base.T 细胞/组织细胞丰富型大 B 细胞淋巴瘤患者的临床特征和生存分析:国家癌症数据库分析。
Leuk Lymphoma. 2019 Dec;60(14):3426-3433. doi: 10.1080/10428194.2019.1639166. Epub 2019 Jul 9.
5
T-cell/histiocyte-rich large B-cell lymphoma in a child: A case report and review of literature.儿童富于T细胞/组织细胞的大B细胞淋巴瘤:一例报告并文献复习
World J Clin Cases. 2018 Jun 16;6(6):121-126. doi: 10.12998/wjcc.v6.i6.121.
6
Predominance of CD4+ T Cells in T-Cell/Histiocyte-Rich Large B-Cell Lymphoma and Identification of a Subset of Patients With Peripheral B-Cell Lymphopenia.T细胞/组织细胞丰富的大B细胞淋巴瘤中CD4 + T细胞的优势以及外周B细胞淋巴细胞减少症患者亚群的鉴定。
Am J Clin Pathol. 2017 Jun 1;147(6):596-603. doi: 10.1093/ajcp/aqx034.
7
T-cell/histiocyte-rich large B-cell lymphoma in pediatric patients: an under-recognized entity?儿童患者中的富于T细胞/组织细胞的大B细胞淋巴瘤:一种未被充分认识的实体?
Ann Clin Lab Sci. 2015 Winter;45(1):73-8.
8
Prognostic markers in diffuse large B-cell lymphoma: Keys to the underlying biology.弥漫性大 B 细胞淋巴瘤的预后标志物:潜在生物学的关键。
Curr Hematol Malig Rep. 2007 Oct;2(4):235-41. doi: 10.1007/s11899-007-0032-0.
9
T-cell/histiocyte-rich large B-cell lymphoma.富于T细胞/组织细胞的大B细胞淋巴瘤
Haematologica. 2010 Mar;95(3):352-6. doi: 10.3324/haematol.2009.016931.
10
T-cell/histiocyte-rich B-cell lymphoma: Clinical presentation, management and prognostic factors: report on 61 patients and review of literature.富于T细胞/组织细胞的B细胞淋巴瘤:临床表现、治疗及预后因素:61例患者报告并文献复习
Leuk Lymphoma. 2007 Sep;48(9):1764-73. doi: 10.1080/10428190701559124.