Suppr超能文献

尺骨远端原发性和复发性巨细胞瘤的病例报告:两例报告

Tell-tale of a primary and recurrent giant cell tumour of distal ulna: A report of two cases.

作者信息

Kantiwal Prabodh, Choudhary Aakash Kumar, Banerjee Sumit, Elhence Abhay

机构信息

Department of Orthopaedics, All India Institute of Medical Sciences (AIIMS), Marudhar Industrial Area, 2nd phase, M.I.A. 1st phase, Basni, Jodhpur, Rajasthan, 342005, India.

Department of Orthopaedics, All India Institute of Medical Sciences (AIIMS), Marudhar Industrial Area, 2nd phase, M.I.A. 1st phase, Basni, Jodhpur, Rajasthan, 342005, India.

出版信息

Int J Surg Case Rep. 2025 Apr;129:111113. doi: 10.1016/j.ijscr.2025.111113. Epub 2025 Mar 3.

Abstract

INTRODUCTION

Wrist functionality is severely hampered by giant cell tumours (GCT) of the distal ulna, which require careful surgical treatment. A thorough preoperative evaluation and precise tumour grading are essential for developing a treatment plan that maximises functional results while maintaining oncological control.

CASE PRESENTATION

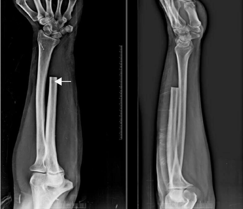
We present 2 cases of distal end ulna giant cell tumour (GCT). The first case involves a primary GCT in a young male, treated with marginal excision and extensor carpi ulnaris tenodesis, with no recurrence over three years. The second case describes a recurrent GCT in a middle-aged male, initially treated with curettage and bone cement in primary stage, followed by a successful marginal excision after recurrence.

DISCUSSION

Distal ulna giant cell tumours (GCTs) are uncommon, violent lesions that have a significant chance of recurring, particularly in Campanacci grade III instances. Stabilisation procedures such as ECU tendon reconstruction address post-resection issues such as discomfort, limited forearm rotation, and grip weakness, although en bloc resection is favoured to minimise recurrence.

CONCLUSION

Both cases highlight the challenges and considerations in managing distal ulna GCTs, emphasizing that en-bloc resection may reduce recurrence rates compared to curettage in grade III Campanacci GCTs.

摘要

引言

尺骨远端的巨细胞瘤(GCT)严重妨碍腕部功能,需要进行仔细的手术治疗。全面的术前评估和精确的肿瘤分级对于制定治疗方案至关重要,该方案要在保持肿瘤学控制的同时最大化功能恢复结果。

病例展示

我们展示2例尺骨远端巨细胞瘤(GCT)。第一例是一名年轻男性的原发性GCT,采用边缘切除和尺侧腕伸肌腱固定术治疗,三年来无复发。第二例描述的是一名中年男性的复发性GCT,初始阶段采用刮除术和骨水泥治疗,复发后成功进行了边缘切除。

讨论

尺骨远端巨细胞瘤(GCT)并不常见,是具有显著复发几率的侵袭性病变,尤其是在Campanacci III级病例中。尽管整块切除更有利于减少复发,但诸如尺侧腕伸肌腱重建等稳定手术可解决切除后诸如疼痛、前臂旋转受限和握力减弱等问题。

结论

两例病例均凸显了处理尺骨远端GCT的挑战和注意事项,强调在Campanacci III级GCT中,与刮除术相比,整块切除可能降低复发率。

https://cdn.ncbi.nlm.nih.gov/pmc/blobs/b479/11928820/44161454092b/gr1.jpg

文献AI研究员

20分钟写一篇综述,助力文献阅读效率提升50倍。

立即体验

用中文搜PubMed

大模型驱动的PubMed中文搜索引擎

马上搜索

文档翻译

学术文献翻译模型,支持多种主流文档格式。

立即体验