Suppr超能文献

脂多糖A中极长链脂肪酸(VLCFA)的缺失会损害植物感染和生物膜形成,并增加对环境应激源的易感性。

The Absence of a Very Long Chain Fatty Acid (VLCFA) in Lipid A Impairs Plant Infection and Biofilm Formation and Increases Susceptibility to Environmental Stressors.

作者信息

Komaniecka Iwona, Żebracki Kamil, Mazur Andrzej, Suśniak Katarzyna, Sroka-Bartnicka Anna, Swatek Anita, Choma Adam

机构信息

Department of Genetics and Microbiology, Institute of Biological Sciences, Maria Curie-Sklodowska University, 20-033 Lublin, Poland.

Department of Pharmaceutical Microbiology, Medical University of Lublin, Chodźki 1, 20-093 Lublin, Poland.

出版信息

Molecules. 2025 Feb 26;30(5):1080. doi: 10.3390/molecules30051080.

Abstract

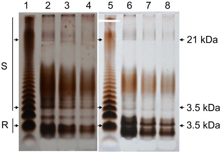
The C58 is a phytopathogen able to infect numerous species of cultivated and ornamental plants. During infection, bacteria genetically transform plant cells and induce the formation of tumours at the site of invasion. Bacterial cell wall components play a crucial role in the infection process. Lipopolysaccharide is the main component of Gram-negative bacteria's outer leaflet of outer membrane. Its lipophilic part, called lipid A, is built of di-glucosamine backbone substituted with a specific set of 3-hydroxyl fatty acids. incorporates a very long chain hydroxylated fatty acid (VLCFA), namely 27-hydroxyoctacosanoic acid (28:0-(27OH)), into its lipid A. C58 mutants deprived of this component due to mutation in the VLCFA's genomic region, have been characterised. High-resolution mass spectrometry was used to establish acylation patterns in the mutant's lipid A preparations. The physiological properties of mutants, as well as their motility, ability to biofilm formation and plant infectivity, were tested. The results obtained showed that the investigated mutants were more sensitive to environmental stress conditions, formed a weakened biofilm, exhibited impaired swimming motility and were less effective in infecting tomato seedlings compared to the wild strain.

摘要

C58是一种能够感染多种栽培植物和观赏植物的植物病原体。在感染过程中,细菌会对植物细胞进行基因转化,并在入侵部位诱导肿瘤形成。细菌细胞壁成分在感染过程中起着至关重要的作用。脂多糖是革兰氏阴性菌外膜外小叶的主要成分。其亲脂部分称为脂质A,由二葡糖胺主链构成,并被一组特定的3-羟基脂肪酸取代。[某种细菌]在其脂质A中掺入了一种非常长链的羟基脂肪酸(VLCFA),即27-羟基二十八烷酸(28:0-(27OH))。已经对由于VLCFA基因组区域发生突变而缺失该成分的C58突变体进行了表征。利用高分辨率质谱法确定突变体脂质A制剂中的酰化模式。对突变体的生理特性及其运动性、生物膜形成能力和植物感染性进行了测试。获得的结果表明,与野生菌株相比,所研究的突变体对环境胁迫条件更敏感,形成的生物膜较弱,游动运动能力受损,感染番茄幼苗的效果较差。

https://cdn.ncbi.nlm.nih.gov/pmc/blobs/f388/11901934/94bf2b051853/molecules-30-01080-g001.jpg

文献AI研究员

20分钟写一篇综述,助力文献阅读效率提升50倍。

立即体验

用中文搜PubMed

大模型驱动的PubMed中文搜索引擎

马上搜索

文档翻译

学术文献翻译模型,支持多种主流文档格式。

立即体验