Suppr超能文献

前列腺导管腺癌前列腺切除术后孤立性睾丸转移:病例报告及文献复习

Solitary testicular metastasis post-prostatectomy for prostatic ductal adenocarcinoma: case report and literature review.

作者信息

Chang Bo, Zhang Manqing, Hou Yifan, Li Wenbin, Li Song, Zhang Jianhua, Wang Chenyang, Zhang Qiangqiang, Hou Junqing

机构信息

Department of Urology, Huaihe Hospital of Henan University, Kaifeng, Henan, China.

Department of General Medicine, the First Affiliated Hospital of Henan University, Kaifeng, Henan, China.

出版信息

Front Oncol. 2025 Feb 27;15:1464446. doi: 10.3389/fonc.2025.1464446. eCollection 2025.

Abstract

BACKGROUND AND PURPOSE

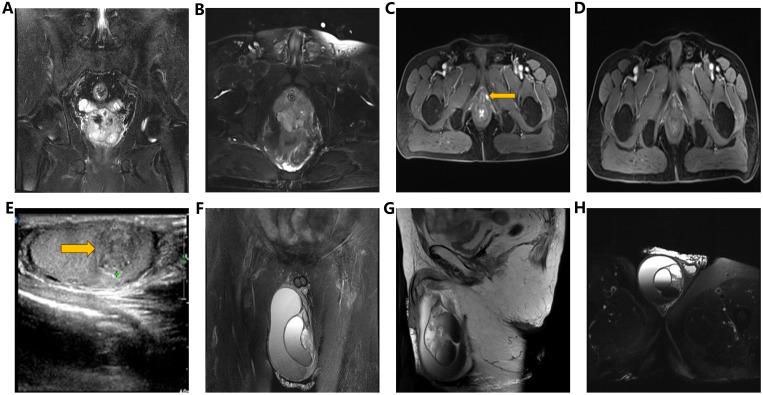
Prostatic ductal adenocarcinoma (PDA) constitutes a rare and notably aggressive histological subtype within the spectrum of prostate malignancies, distinguished by a heightened propensity for recurrence and metastasis compared to prostatic acinar adenocarcinoma (PAA). Testicular metastasis in PDA is exceptionally rare. Despite sporadic reports in the literature, a consensus regarding the optimal therapeutic approach remains elusive. This study retrospectively analyzes a singular case of PDA manifesting with solitary testicular metastasis after laparoscopic radical prostatectomy (LRP), consolidating insights into clinical, histopathological, molecular, and therapeutic aspects, alongside existing scholarly discourse.

METHODS

We present the case of a 63-year-old gentleman diagnosed with pure PDA (pT3aN0, Gleason score 4 + 4 = 8), exhibiting a serum prostate-specific antigen (PSA) level exceeding 100 ng/ml. Subsequently, the patient underwent androgen deprivation therapy (ADT) followed by LRP. Subsequently, at 17 months post-LRP, local recurrence and a right testicular mass emerged, prompting pelvic radiotherapy and docetaxel chemotherapy. Ultimately, the patient underwent right orchiectomy 65 months post-LRP, with pathological findings confirming metastatic PDA. Four months post-orchiectomy, PSA levels declined to 1.77 ng/ml. Additionally, a comprehensive review of published literature concerning PDA complicated by testicular metastasis was conducted.

RESULTS

The patient derived therapeutic benefits from ADT, LRP, radiation therapy, and orchiectomy, resulting in objective symptom alleviation and a reduction in PSA. Nevertheless, docetaxel proved inefficacious. The literature review indicated variability in outcomes across diverse treatment modalities.

CONCLUSIONS

Prolonged surveillance is imperative for patients diagnosed with PDA. Urologists must remain vigilant regarding uncommon sites of metastasis, particularly in instances of elevated PSA.

摘要

背景与目的

前列腺导管腺癌(PDA)是前列腺恶性肿瘤中一种罕见且侵袭性显著的组织学亚型,与前列腺腺泡腺癌(PAA)相比,其复发和转移倾向更高。PDA发生睾丸转移极为罕见。尽管文献中有零星报道,但关于最佳治疗方法仍未达成共识。本研究回顾性分析了1例腹腔镜根治性前列腺切除术(LRP)后出现孤立性睾丸转移的PDA病例,结合现有学术论述,对临床、组织病理学、分子和治疗方面进行深入分析。

方法

我们报告1例63岁男性患者,诊断为纯PDA(pT3aN0,Gleason评分4 + 4 = 8),血清前列腺特异性抗原(PSA)水平超过100 ng/ml。随后,患者接受雄激素剥夺治疗(ADT),之后行LRP。LRP术后17个月,出现局部复发和右侧睾丸肿块,遂进行盆腔放疗和多西他赛化疗。最终,患者在LRP术后65个月接受右侧睾丸切除术,病理结果证实为转移性PDA。睾丸切除术后4个月,PSA水平降至1.77 ng/ml。此外,还对已发表的有关合并睾丸转移的PDA文献进行了全面综述。

结果

患者从ADT、LRP、放疗和睾丸切除术中获得了治疗益处,症状得到客观缓解,PSA降低。然而,多西他赛治疗无效。文献综述表明,不同治疗方式的结果存在差异。

结论

对于诊断为PDA的患者,必须进行长期监测。泌尿外科医生必须对不常见的转移部位保持警惕,尤其是在PSA升高的情况下。

https://cdn.ncbi.nlm.nih.gov/pmc/blobs/19f3/11903293/9b2dcf212a68/fonc-15-1464446-g001.jpg

文献AI研究员

20分钟写一篇综述,助力文献阅读效率提升50倍。

立即体验

用中文搜PubMed

大模型驱动的PubMed中文搜索引擎

马上搜索

文档翻译

学术文献翻译模型,支持多种主流文档格式。

立即体验