Suppr超能文献

采用立体定向体部放射治疗的寡转移颗粒细胞瘤,伴有影像学和肿瘤标志物反应。

Oligometastatic granulosa cell tumor treated with stereotactic body radiation therapy with a radiographic and tumor marker response.

作者信息

Petty Madeline, Jhaveri Vasanti, Taylor Nicholas, Foster Benjamin

机构信息

Lewis Katz School of Medicine, Temple University, 3500 N Broad St., Philadelphia, PA 19140, United States.

Department of Gynecology Oncology, St. Luke's University Health Network, 701 Ostrum St., 5th Floor, Bethlehem, PA 18015, United States.

出版信息

Gynecol Oncol Rep. 2025 Feb 26;58:101708. doi: 10.1016/j.gore.2025.101708. eCollection 2025 Apr.

Abstract

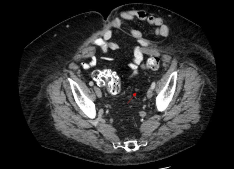
Stereotactic body radiation therapy (SBRT) is a safe and effective treatment for oligometastatic gynecologic cancers. This report details the case of a 75-year-old woman with recurrent granulosa cell tumor of the left ovary. The patient was diagnosed with a peritoneal recurrence after her inhibin-B level increased to 39.7 pg/mL, and a subsequent computed tomography (CT) scan of the abdomen and pelvis revealed an enlarging left-sided soft tissue mass in the sigmoid mesentery measuring 1.2 × 1.2 cm. She underwent SBRT, delivering 37.5 Gy in 5 fractions to the soft tissue mass. A CT scan post-treatment indicated the mass had decreased to 0.8 cm and that her inhibin B level decreased to < 7 pg/mL. This case highlights the effectiveness of SBRT in the management of oligometastatic ovarian cancer, achieving a marked radiographic and tumor marker response in patients with disease not amenable to surgical resection.

摘要

立体定向体部放射治疗(SBRT)是一种治疗寡转移妇科癌症的安全有效的方法。本报告详细介绍了一名75岁患有复发性左卵巢颗粒细胞瘤的女性病例。患者抑制素B水平升至39.7 pg/mL后被诊断为腹膜复发,随后的腹部和盆腔计算机断层扫描(CT)显示乙状结肠系膜左侧有一个增大的软组织肿块,大小为1.2×1.2 cm。她接受了SBRT,对软组织肿块分5次给予37.5 Gy的剂量。治疗后的CT扫描显示肿块缩小至0.8 cm,她的抑制素B水平降至<7 pg/mL。该病例突出了SBRT在寡转移卵巢癌治疗中的有效性,在无法进行手术切除的疾病患者中实现了显著的影像学和肿瘤标志物反应。

https://cdn.ncbi.nlm.nih.gov/pmc/blobs/d4f7/11914764/6fc33151c7c7/gr1.jpg

文献检索

告别复杂PubMed语法,用中文像聊天一样搜索,搜遍4000万医学文献。AI智能推荐,让科研检索更轻松。

立即免费搜索

文件翻译

保留排版,准确专业,支持PDF/Word/PPT等文件格式,支持 12+语言互译。

免费翻译文档

深度研究

AI帮你快速写综述,25分钟生成高质量综述,智能提取关键信息,辅助科研写作。

立即免费体验