• 文献检索
  • 文档翻译
  • 深度研究
  • 学术资讯
  • Suppr Zotero 插件Zotero 插件
  • 邀请有礼
  • 套餐&价格
  • 历史记录
应用&插件
Suppr Zotero 插件Zotero 插件浏览器插件Mac 客户端Windows 客户端微信小程序
定价
高级版会员购买积分包购买API积分包
服务
文献检索文档翻译深度研究API 文档MCP 服务
关于我们
关于 Suppr公司介绍联系我们用户协议隐私条款
关注我们

Suppr 超能文献

核心技术专利:CN118964589B侵权必究
粤ICP备2023148730 号-1Suppr @ 2026

文献检索

告别复杂PubMed语法,用中文像聊天一样搜索,搜遍4000万医学文献。AI智能推荐,让科研检索更轻松。

立即免费搜索

文件翻译

保留排版,准确专业,支持PDF/Word/PPT等文件格式,支持 12+语言互译。

免费翻译文档

深度研究

AI帮你快速写综述,25分钟生成高质量综述,智能提取关键信息,辅助科研写作。

立即免费体验

Notch2信号通过抑制嘌呤核苷酸代谢驱动心脏肥大。

Notch2 Signaling Drives Cardiac Hypertrophy by Suppressing Purine Nucleotide Metabolism.

作者信息

Wang Yuhong, Li Yizhe, Chen Shihong, Yu Tingting, Sun Weiyan, Liu Jiao, Ren Huiwen, Zhou Yao, Wang Lu, Tao Xixi, Du Ronglu, Shang Wenlong, Li Yinxiu, Tian Danyang, Wang Bei, Shen Yujun, Liu Qian, Yu Ying

机构信息

Department of Pharmacology, Tianjin Key Laboratory of Inflammatory Biology, Center for Cardiovascular Diseases, Key Laboratory of Immune Microenvironment and Disease (Ministry of Education), The Province and Ministry Co-sponsored Collaborative Innovation Center for Medical Epigenetics, State Key Laboratory of Experimental Hematology, School of Basic Medical Sciences, Tianjin Medical University, Tianjin, China.

Department of Cardiology, Tianjin Medical University General Hospital, Tianjin Medical University, Tianjin, China.

出版信息

Research (Wash D C). 2025 Mar 18;8:0635. doi: 10.34133/research.0635. eCollection 2025.

DOI:10.34133/research.0635
PMID:40104444
原文链接:https://pmc.ncbi.nlm.nih.gov/articles/PMC11913782/
Abstract

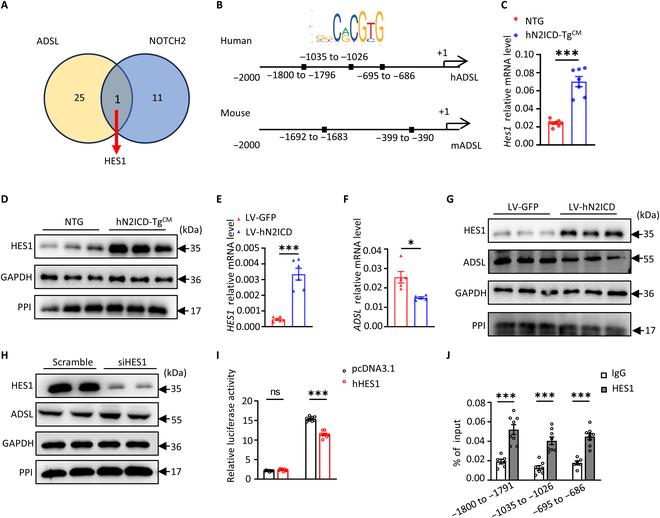
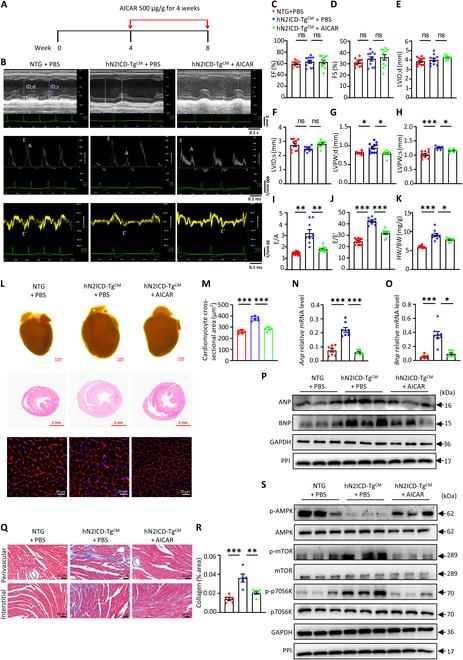
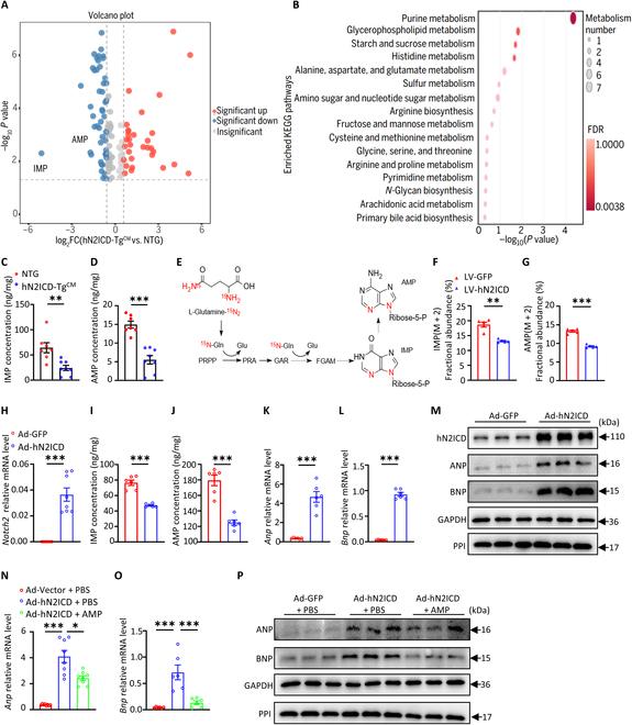
Gain-of-function mutations of Notch2 cause the rare autosomal dominant disorder known as Hajdu-Cheney syndrome (HCS). Most patients with HCS develop congenital heart disease; however, the precise mechanisms remain elusive. Here, a murine model expressing the human Notch2 intracellular domain (hN2ICD) in cardiomyocytes (hN2ICD-Tg) was generated and the mice spontaneously developed ventricular diastolic dysfunction with preserved ejection fraction and cardiac hypertrophy. Ectopic hN2ICD expression promoted cardiomyocyte hypertrophy by suppressing adenylosuccinate lyase (ADSL)-mediated adenosine 5'-monophosphate (AMP) generation, which further enhanced the activation of the mammalian target of rapamycin complex 1 pathway by reducing AMP-activated kinase activity. Hairy and enhancer of split 1 silencing abrogated hN2ICD-induced cardiomyocyte hypertrophy by increasing Adsl transcription. Importantly, pharmacological activation of AMP-activated kinase ameliorated cardiac hypertrophy and dysfunction in hN2ICD-Tg mice. The frameshift mutation in Notch2 exon 34 (c.6426dupT), which causes early-onset HCS, induces AC16 human cardiomyocyte hypertrophy through suppressing ADSL-mediated AMP generation. Thus, targeting Notch2-mediated purine nucleotide metabolism may be an attractive therapeutic approach to heart failure treatment.

摘要

Notch2的功能获得性突变会导致一种罕见的常染色体显性疾病,即哈伊杜-切尼综合征(HCS)。大多数HCS患者会患上先天性心脏病;然而,确切机制仍不清楚。在此,构建了一种在心肌细胞中表达人Notch2细胞内结构域(hN2ICD)的小鼠模型(hN2ICD-Tg),这些小鼠自发出现射血分数保留的心室舒张功能障碍和心脏肥大。异位hN2ICD表达通过抑制腺苷酸琥珀酸裂解酶(ADSL)介导的5'-单磷酸腺苷(AMP)生成来促进心肌细胞肥大,这通过降低AMP激活的蛋白激酶活性进一步增强了雷帕霉素复合物1靶标的激活。毛状分裂增强子1的沉默通过增加Adsl转录消除了hN2ICD诱导的心肌细胞肥大。重要的是,AMP激活的蛋白激酶的药理学激活改善了hN2ICD-Tg小鼠的心脏肥大和功能障碍。Notch2外显子34中的移码突变(c.6426dupT)会导致早发性HCS,它通过抑制ADSL介导的AMP生成诱导AC16人心肌细胞肥大。因此,靶向Notch2介导的嘌呤核苷酸代谢可能是治疗心力衰竭的一种有吸引力的治疗方法。

https://cdn.ncbi.nlm.nih.gov/pmc/blobs/ccd7/11913782/2e6353e6bef5/research.0635.fig.007.jpg
https://cdn.ncbi.nlm.nih.gov/pmc/blobs/ccd7/11913782/f02d4c876983/research.0635.fig.001.jpg
https://cdn.ncbi.nlm.nih.gov/pmc/blobs/ccd7/11913782/da9e49fb2e24/research.0635.fig.002.jpg
https://cdn.ncbi.nlm.nih.gov/pmc/blobs/ccd7/11913782/65b95059d200/research.0635.fig.003.jpg
https://cdn.ncbi.nlm.nih.gov/pmc/blobs/ccd7/11913782/246ca90add61/research.0635.fig.004.jpg
https://cdn.ncbi.nlm.nih.gov/pmc/blobs/ccd7/11913782/b5f7bf0f82cd/research.0635.fig.005.jpg
https://cdn.ncbi.nlm.nih.gov/pmc/blobs/ccd7/11913782/4837fff72f9f/research.0635.fig.006.jpg
https://cdn.ncbi.nlm.nih.gov/pmc/blobs/ccd7/11913782/2e6353e6bef5/research.0635.fig.007.jpg
https://cdn.ncbi.nlm.nih.gov/pmc/blobs/ccd7/11913782/f02d4c876983/research.0635.fig.001.jpg
https://cdn.ncbi.nlm.nih.gov/pmc/blobs/ccd7/11913782/da9e49fb2e24/research.0635.fig.002.jpg
https://cdn.ncbi.nlm.nih.gov/pmc/blobs/ccd7/11913782/65b95059d200/research.0635.fig.003.jpg
https://cdn.ncbi.nlm.nih.gov/pmc/blobs/ccd7/11913782/246ca90add61/research.0635.fig.004.jpg
https://cdn.ncbi.nlm.nih.gov/pmc/blobs/ccd7/11913782/b5f7bf0f82cd/research.0635.fig.005.jpg
https://cdn.ncbi.nlm.nih.gov/pmc/blobs/ccd7/11913782/4837fff72f9f/research.0635.fig.006.jpg
https://cdn.ncbi.nlm.nih.gov/pmc/blobs/ccd7/11913782/2e6353e6bef5/research.0635.fig.007.jpg

相似文献

1
Notch2 Signaling Drives Cardiac Hypertrophy by Suppressing Purine Nucleotide Metabolism.Notch2信号通过抑制嘌呤核苷酸代谢驱动心脏肥大。
Research (Wash D C). 2025 Mar 18;8:0635. doi: 10.34133/research.0635. eCollection 2025.
2
High Bone Turnover in Mice Carrying a Pathogenic Notch2 Mutation Causing Hajdu-Cheney Syndrome.携带导致哈杰-切尼综合征的致病性 Notch2 突变的小鼠中骨转换增加。
J Bone Miner Res. 2018 Jan;33(1):70-83. doi: 10.1002/jbmr.3283. Epub 2017 Sep 20.
3
Distinct severity of phenotype in Hajdu-Cheney syndrome: a case report and literature review.Hajdu-Cheney综合征中不同的表型严重程度:一例报告及文献综述。
BMC Musculoskelet Disord. 2020 Mar 6;21(1):154. doi: 10.1186/s12891-020-3181-0.
4
Sustained Notch2 signaling in osteoblasts, but not in osteoclasts, is linked to osteopenia in a mouse model of Hajdu-Cheney syndrome.在成骨细胞而非破骨细胞中持续存在的Notch2信号传导与Hajdu-Cheney综合征小鼠模型中的骨质减少有关。
J Biol Chem. 2017 Jul 21;292(29):12232-12244. doi: 10.1074/jbc.M117.786129. Epub 2017 Jun 7.
5
Mutations in NOTCH2 in patients with Hajdu-Cheney syndrome.Hajdu-Cheney 综合征患者的 NOTCH2 基因突变。
Osteoporos Int. 2013 Aug;24(8):2275-81. doi: 10.1007/s00198-013-2298-5. Epub 2013 Feb 7.
6
Hajdu-Cheney syndrome: a review.哈伊杜-切尼综合征:综述
Orphanet J Rare Dis. 2014 Dec 10;9:200. doi: 10.1186/s13023-014-0200-y.
7
Hairy and enhancer of split 1 is a primary effector of NOTCH2 signaling and induces osteoclast differentiation and function.Hairy 和 enhancer of split 1 是 NOTCH2 信号的主要效应物,可诱导破骨细胞分化和功能。
J Biol Chem. 2021 Dec;297(6):101376. doi: 10.1016/j.jbc.2021.101376. Epub 2021 Nov 3.
8
NOTCH2 Hajdu-Cheney Mutations Escape SCF-Dependent Proteolysis to Promote Osteoporosis.NOTCH2 Hajdu-Cheney突变逃避SCF依赖的蛋白水解作用以促进骨质疏松症。
Mol Cell. 2017 Nov 16;68(4):645-658.e5. doi: 10.1016/j.molcel.2017.10.018.
9
The Hajdu Cheney mutation sensitizes mice to the osteolytic actions of tumor necrosis factor α.Hajdu Cheney 突变使小鼠对肿瘤坏死因子 α 的溶骨性作用敏感。
J Biol Chem. 2019 Sep 27;294(39):14203-14214. doi: 10.1074/jbc.RA119.009824. Epub 2019 Aug 1.
10
Structural and biochemical characterization of human adenylosuccinate lyase (ADSL) and the R303C ADSL deficiency-associated mutation.人腺嘌呤核苷酸琥珀酸裂合酶(ADSL)及其 R303C 缺陷相关突变的结构和生化特性研究。
Biochemistry. 2012 Aug 21;51(33):6701-13. doi: 10.1021/bi300796y. Epub 2012 Aug 7.

本文引用的文献

1
Mechano-energetic uncoupling in hypertrophic cardiomyopathy: Pathophysiological mechanisms and therapeutic opportunities.肥厚型心肌病中的机械-能量解偶联:病理生理机制与治疗机遇
J Mol Cell Cardiol Plus. 2023 May 6;4:100036. doi: 10.1016/j.jmccpl.2023.100036. eCollection 2023 Jun.
2
De novo and salvage purine synthesis pathways across tissues and tumors.从头合成和补救嘌呤合成途径在组织和肿瘤中的作用。
Cell. 2024 Jul 11;187(14):3602-3618.e20. doi: 10.1016/j.cell.2024.05.011. Epub 2024 May 31.
3
The gut metabolome in a cohort of pregnant and lactating women from Antioquia-Colombia.
来自哥伦比亚安蒂奥基亚的一组孕妇和哺乳期妇女的肠道代谢组。
Front Mol Biosci. 2024 May 13;11:1250413. doi: 10.3389/fmolb.2024.1250413. eCollection 2024.
4
Integrated Functions of Cardiac Energetics, Mechanics, and Purine Nucleotide Metabolism.心脏能量学、力学和嘌呤核苷酸代谢的综合功能。
Compr Physiol. 2023 Dec 29;14(1):5345-5369. doi: 10.1002/cphy.c230011.
5
Left ventricular hypertrophy and metabolic resetting in the Notch3-deficient adult mouse heart.Notch3 缺陷型成年小鼠心脏中的左心室肥厚和代谢重设。
Sci Rep. 2023 Sep 12;13(1):15022. doi: 10.1038/s41598-023-42010-7.
6
I prostanoid receptor activation attenuates pressure overload-induced cardiac hypertrophy by enhancing glucose oxidation.前列环素受体激活通过增强葡萄糖氧化减轻压力超负荷诱导的心脏肥大。
Signal Transduct Target Ther. 2023 Sep 6;8(1):337. doi: 10.1038/s41392-023-01541-1.
7
NOTCH Signaling in Mantle Cell Lymphoma: Biological and Clinical Implications.NOTCH 信号通路在套细胞淋巴瘤中的作用:生物学与临床意义。
Int J Mol Sci. 2023 Jun 17;24(12):10280. doi: 10.3390/ijms241210280.
8
The Impact of the Serum Extraction Protocol on Metabolomic Profiling Using UPLC-MS/MS and FTIR Spectroscopy.血清提取方案对使用超高效液相色谱-串联质谱法(UPLC-MS/MS)和傅里叶变换红外光谱法(FTIR)进行代谢组学分析的影响。
ACS Omega. 2023 Jun 1;8(23):20755-20766. doi: 10.1021/acsomega.3c01370. eCollection 2023 Jun 13.
9
Metabolic mechanisms in physiological and pathological cardiac hypertrophy: new paradigms and challenges.生理和病理性心肌肥厚中的代谢机制:新范例和挑战。
Nat Rev Cardiol. 2023 Dec;20(12):812-829. doi: 10.1038/s41569-023-00887-x. Epub 2023 May 26.
10
High fructose-induced skeletal muscle insulin resistance could be alleviated by berberine via AMPD1 and ADSL.黄连素可通过AMPD1和ADSL减轻高果糖诱导的骨骼肌胰岛素抵抗。
Food Chem Toxicol. 2023 May;175:113731. doi: 10.1016/j.fct.2023.113731. Epub 2023 Mar 15.