Qin Wenqi, Chen Bing, Li Xin, Zhao Wenjing, Wang Lijuan, Zhang Ning, Wang Xiaolong, Luo Dan, Liang Yiran, Li Yaming, Chen Xi, Chen Tong, Yang Qifeng
Department of Breast Surgery, General Surgery, Qilu Hospital of Shandong University, Jinan, Shandong, PR China.
Biological Resource Center, Qilu Hospital of Shandong University, Jinan, Shandong, PR China.
Cell Death Dis. 2025 Apr 4;16(1):249. doi: 10.1038/s41419-025-07580-6.
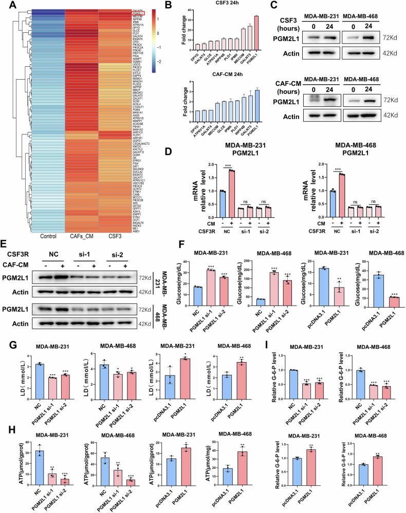
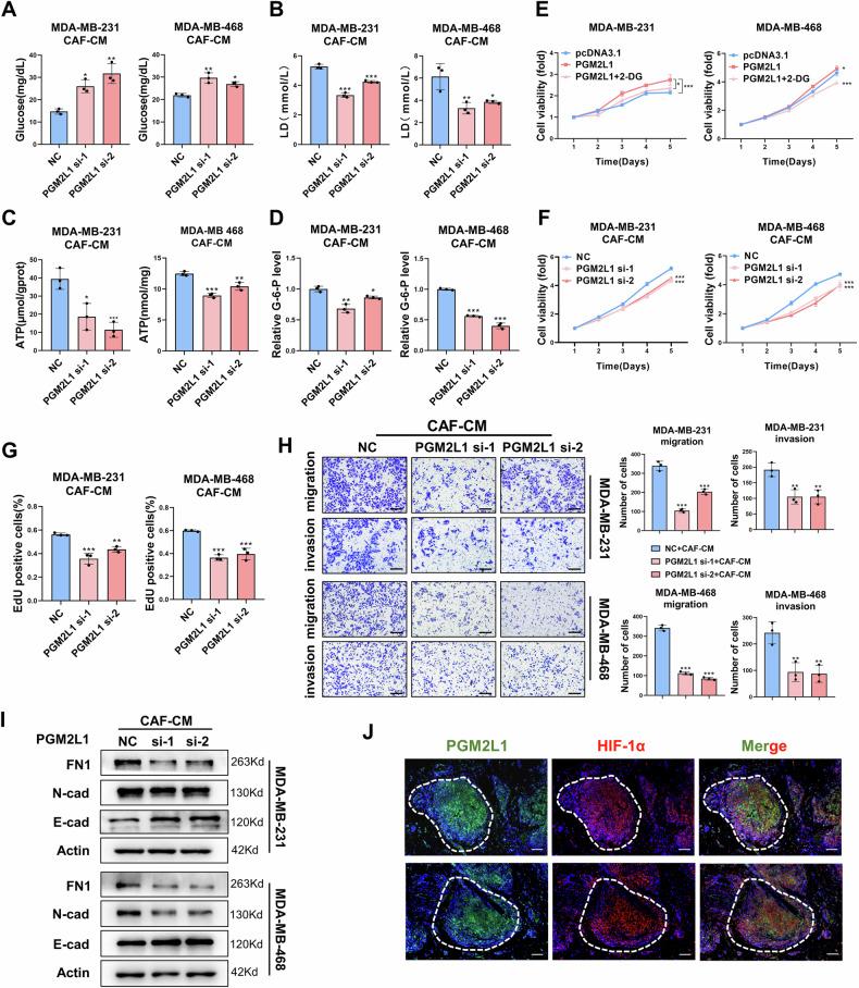
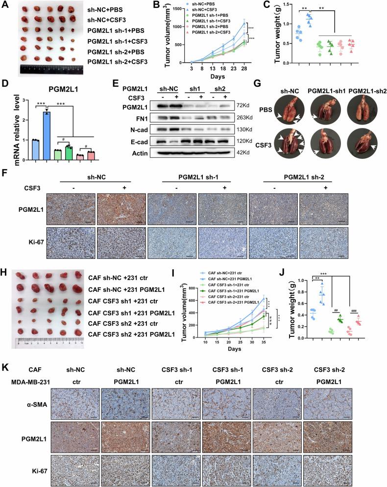
Triple-negative breast cancer (TNBC) is characterized by a pronounced hypoxic tumor microenvironment, with cancer-associated fibroblasts (CAFs) serving as the predominant cellular component and playing crucial roles in regulating tumor progression. However, the mechanism by which CAFs affect the biological behavior of tumor cells in hypoxic environment remain elusive. This study employed a bead-based multiplex immunoassay to analyze a panel of cytokines/chemokines and identified colony stimulating factor 3 (CSF3) as a significantly elevated component in the secretome of hypoxic CAFs. We found that CSF3 promoted the invasive behavior of TNBC cells by activating the downstream signaling pathway of its receptor, CSF3R. RNA sequencing analysis further revealed that phosphoglucomutase 2-like 1 (PGM2L1) is a downstream target of the CSF3/CSF3R signaling, enhancing the glycolysis pathway and providing energy to support the malignant phenotype of breast cancer. In vivo, we further confirmed that CSF3 promotes TNBC progression by targeting PGM2L1. These findings suggest that targeting CSF3/CSF3R may represent a potential therapeutic approach for TNBC.
三阴性乳腺癌(TNBC)的特征是肿瘤微环境明显缺氧,癌症相关成纤维细胞(CAFs)是主要的细胞成分,并在调节肿瘤进展中发挥关键作用。然而,CAFs在缺氧环境中影响肿瘤细胞生物学行为的机制仍不清楚。本研究采用基于微珠的多重免疫测定法分析一组细胞因子/趋化因子,并确定集落刺激因子3(CSF3)是缺氧CAFs分泌组中显著升高的成分。我们发现CSF3通过激活其受体CSF3R的下游信号通路促进TNBC细胞的侵袭行为。RNA测序分析进一步揭示,磷酸葡萄糖变位酶2样1(PGM2L1)是CSF3/CSF3R信号的下游靶点,增强糖酵解途径并提供能量以支持乳腺癌的恶性表型。在体内,我们进一步证实CSF3通过靶向PGM2L1促进TNBC进展。这些发现表明,靶向CSF3/CSF3R可能是TNBC的一种潜在治疗方法。