Suppr超能文献

近红外光化学内化作用:一种用于免疫毒素高效细胞内递送的扭曲型锌酞菁的设计

Near-infrared photochemical internalization: design of a distorted zinc phthalocyanine for efficient intracellular delivery of immunotoxins.

作者信息

Hamabe Mikako, Dewa Wakako, Yuki Mizue, Yamada Eriko, Aiba Tamako, Horikoshi Keisuke, Hamakubo Takao, Ohashi Riuko, Okamoto Akimitsu

机构信息

Department of Chemistry and Biotechnology, Graduate School of Engineering, The University of Tokyo 7-3-1 Hongo Bunkyo-ku Tokyo 113-8656 Japan

Research Center for Advanced Science and Technology, The University of Tokyo 4-6-1 Komaba Meguro-ku Tokyo 153-8904 Japan.

出版信息

RSC Med Chem. 2025 Mar 21. doi: 10.1039/d4md00931b.

Abstract

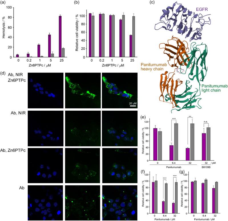
In the treatment of cancer, the physical and mental stress on patients and the potential for strong side effects are serious problems; therefore, reliable delivery of drugs into cancer tissue cells is required. We have developed a near-infrared (NIR) photosensitizing dye, Zn6PTPc, for NIR-photochemical internalization (PCI) to achieve gentle and efficient endosomal escape and delivery of antibody drugs, which are known to have high targeting ability but low intracellular activity, into target cancer cells. Zn6PTPc allowed longer wavelengths to be used to achieve higher singlet oxygen generation efficiency by the molecular design based on a distorted π-electron system. The system effectively introduced immunotoxins into cells to significantly inhibit tumor tissue growth. The developed potent NIR photosensitizers facilitated NIR-PCI with high tumor-targeting ability.

摘要

在癌症治疗中,患者所承受的身心压力以及强烈副作用的可能性是严重问题;因此,需要将药物可靠地递送至癌组织细胞中。我们已开发出一种用于近红外光化学内化(PCI)的近红外(NIR)光敏染料Zn6PTPc,以实现温和且高效的内体逃逸,并将已知具有高靶向能力但细胞内活性低的抗体药物递送至靶癌细胞中。基于扭曲的π电子系统进行分子设计,Zn6PTPc允许使用更长的波长来实现更高的单线态氧生成效率。该系统有效地将免疫毒素引入细胞,以显著抑制肿瘤组织生长。所开发的强效近红外光敏剂促进了具有高肿瘤靶向能力的近红外PCI。

https://cdn.ncbi.nlm.nih.gov/pmc/blobs/ba79/12176042/4e8db72c986b/d4md00931b-f1.jpg

文献AI研究员

20分钟写一篇综述,助力文献阅读效率提升50倍。

立即体验

用中文搜PubMed

大模型驱动的PubMed中文搜索引擎

马上搜索

文档翻译

学术文献翻译模型,支持多种主流文档格式。

立即体验