Suppr超能文献

感染性肋软骨炎伴胸骨骨髓炎

Infectious Costochondritis With Sternal Osteomyelitis.

作者信息

Fujiu Koichi, Uesugi Kazuhide, Maruya Yoshiyuki, Kayama Satoru, Suzuki Hiroyuki

机构信息

General Thoracic Surgery, Southern TOHOKU General Hospital, Koriyama, JPN.

Orthopedics, Southern TOHOKU General Hospital, Koriyama, JPN.

出版信息

Cureus. 2025 Mar 6;17(3):e80132. doi: 10.7759/cureus.80132. eCollection 2025 Mar.

Abstract

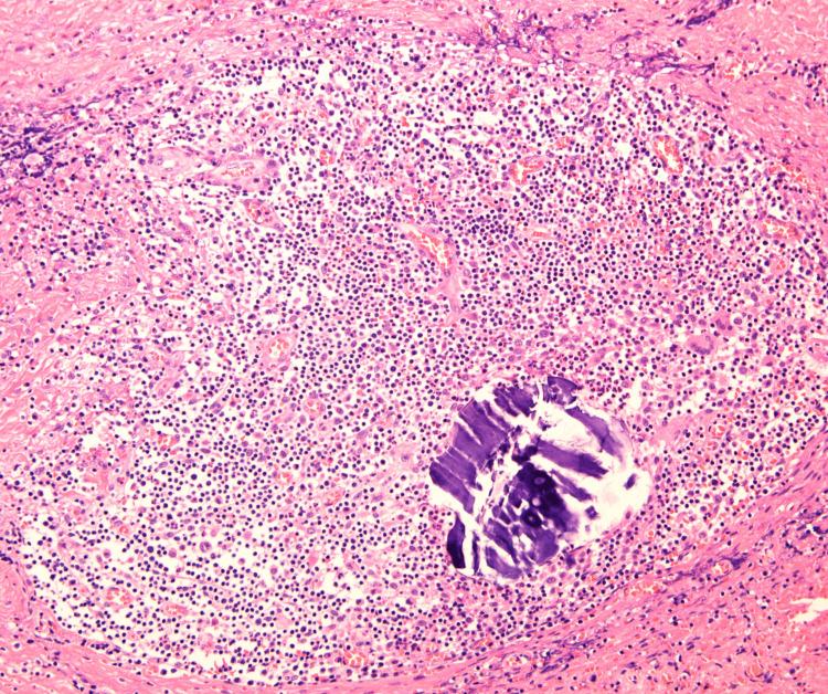
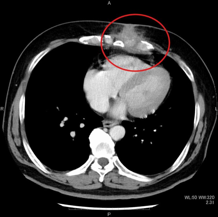
Costochondritis is primarily caused by physical exertion, repetitive movements (such as lifting heavy objects), and severe coughing. Although it is an inflammatory condition, it is not an infection and is often treated with non-steroidal anti-inflammatory drugs (NSAIDs). In contrast, infectious costochondritis usually develops when an infection spreads directly from a postoperative wound or adjacent foci. We present a case of infectious costochondritis with sternal osteomyelitis caused by , where the infection did not spread from adjacent tissues. A 59-year-old man was referred to our hospital with anterior chest pain and swelling persisting for three months. He had been diagnosed with diabetes mellitus three years prior. Three weeks before his visit, a purulent exudate had fistulized into the skin. Two weeks prior, he had sought care from a nearby doctor, who diagnosed a subcutaneous abscess and performed an incision and drainage. Cultures identified . However, the condition did not improve, and chest computed tomography (CT) was performed, showing edema around the seventh costal cartilage, the inferior end of the sternum, and surrounding subcutaneous tissue. Distraction of the seventh costal cartilage was also noted. Magnetic resonance imaging (MRI) with fat-suppressed T2-weighted images showed high intensity in the same area. Blood cultures were negative. Based on these findings, we diagnosed costochondritis and sternal osteomyelitis. Treatment began with oral cefalexin (CEX) for seven days, followed by oral cefcapene pivoxil hydrochloride hydrate (CFPN-PI) for 14 days. During hospitalization, meropenem hydrate (MEPM) was administered. After seven days of MEPM, the seventh costal cartilage and part of the sternum were debrided under general anesthesia. Indicators of the extent of debridement included preoperative MRI, bone cortex hardness under intraoperative palpation, and bone bleeding. MEPM was administered for 14 days, including preoperative treatment, followed by cefepime dihydrochloride hydrate (CFPM) for 14 days and levofloxacin hydrate (LVFX) for seven days. After 11 months of follow-up, there was no recurrence of costochondritis or osteomyelitis. Infectious costochondritis with sternal osteomyelitis caused by was successfully treated with debridement. Properly determining the extent of debridement perioperatively is crucial for effective treatment.

摘要

肋软骨炎主要由体力活动、重复性动作(如提重物)和剧烈咳嗽引起。虽然它是一种炎症性疾病,但不是感染性疾病,通常用非甾体抗炎药(NSAIDs)治疗。相比之下,感染性肋软骨炎通常在感染从术后伤口或邻近病灶直接蔓延时发生。我们报告一例由[具体病因未给出]引起的伴有胸骨骨髓炎的感染性肋软骨炎病例,感染并非从邻近组织蔓延而来。一名59岁男性因前胸疼痛和肿胀持续三个月被转诊至我院。他三年前被诊断患有糖尿病。就诊前三周,脓性渗出物形成瘘管通向皮肤。两周前,他曾到附近医生处就诊,医生诊断为皮下脓肿并进行了切开引流。培养结果鉴定出[具体病菌未给出]。然而,病情并未改善,遂进行胸部计算机断层扫描(CT),显示第七肋软骨、胸骨下端及周围皮下组织水肿。还注意到第七肋软骨有分离。脂肪抑制T2加权磁共振成像(MRI)显示同一区域呈高强度信号。血培养结果为阴性。基于这些发现,我们诊断为肋软骨炎和胸骨骨髓炎。治疗开始时口服头孢氨苄(CEX)7天,随后口服头孢丙烯水合物(CFPN-PI)14天。住院期间给予美罗培南水合物(MEPM)。使用MEPM 7天后,在全身麻醉下对第七肋软骨和部分胸骨进行清创。清创范围的指标包括术前MRI、术中触诊时骨皮质硬度以及骨出血情况。MEPM使用14天,包括术前治疗,随后使用头孢吡肟二盐酸盐水合物(CFPM)14天和左氧氟沙星水合物(LVFX)7天。经过11个月的随访,肋软骨炎和骨髓炎均未复发。由[具体病因未给出]引起的伴有胸骨骨髓炎的感染性肋软骨炎通过清创成功治愈。围手术期正确确定清创范围对于有效治疗至关重要。

https://cdn.ncbi.nlm.nih.gov/pmc/blobs/74fd/11972097/e4d8b6275d74/cureus-0017-00000080132-i01.jpg

文献AI研究员

20分钟写一篇综述,助力文献阅读效率提升50倍。

立即体验

用中文搜PubMed

大模型驱动的PubMed中文搜索引擎

马上搜索

文档翻译

学术文献翻译模型,支持多种主流文档格式。

立即体验