Suppr超能文献

高压氧治疗玻璃体切除术后眼内炎合并眼眶蜂窝织炎:一例报告

Post-vitrectomy endophthalmitis complicated with orbital cellulitis treated with hyperbaric oxygen therapy: A case report.

作者信息

Shen Yi-Ju, Liu Li-Ching, Liang I-Chia

机构信息

Department of Ophthalmology, Tri-Service General Hospital, National Defense Medical Center, Taipei, Taiwan, (R.O.C).

Department of Ophthalmology, Cathay General Hospital, Taipei, Taiwan, (R.O.C).

出版信息

Medicine (Baltimore). 2025 Apr 4;104(14):e42043. doi: 10.1097/MD.0000000000042043.

Abstract

RATIONALE

Infectious endophthalmitis developed in silicone oil (SO)-filled eyes after pars plana vitrectomy is a very rare but serious complication. Hyperbaric oxygen therapy (HBOT) has been reported to be effective in few studies of infectious endophthalmitis and orbital cellulitis.

PATIENT CONCERNS

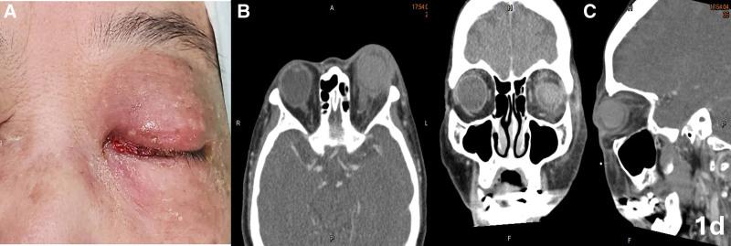
This study reported a case of 71-year-old female with swelling of her left eye 1 week after pars plana vitrectomy and SO tamponade.

DIAGNOSES

Acute infectious endophthalmitis complicated with orbital cellulitis and compartment syndrome in a postvitrectomy SO-filled eye.

INTERVENTIONS

Intravitreal injection of antibiotics and HBOT.

OUTCOMES

The severe inflammatory condition of soft tissue with compartment syndrome and elevated intraocular pressure which could not be controlled ameliorated markedly after initiation of HBOT.

LESSONS

By taking advantages of the features of HBOT, it may be a good adjuvant treatment option for endophthalmitis cases along with antibiotics and surgical therapy.

摘要

原理

玻璃体切除术后硅油填充眼发生感染性眼内炎是一种非常罕见但严重的并发症。在少数关于感染性眼内炎和眼眶蜂窝织炎的研究中,高压氧疗法(HBOT)已被报道有效。

患者情况

本研究报告了一例71岁女性,在玻璃体切除联合硅油填塞术后1周出现左眼肿胀。

诊断

玻璃体切除术后硅油填充眼发生急性感染性眼内炎,并发眼眶蜂窝织炎和骨筋膜室综合征。

干预措施

玻璃体内注射抗生素及高压氧疗法。

结果

开始高压氧疗法后,伴有骨筋膜室综合征和无法控制的眼内压升高的软组织严重炎症状况明显改善。

经验教训

利用高压氧疗法的特点,它可能是一种与抗生素和手术治疗相结合的眼内炎病例的良好辅助治疗选择。

https://cdn.ncbi.nlm.nih.gov/pmc/blobs/92b4/11977736/9ee01ea87e06/medi-104-e42043-g001.jpg

文献AI研究员

20分钟写一篇综述,助力文献阅读效率提升50倍。

立即体验

用中文搜PubMed

大模型驱动的PubMed中文搜索引擎

马上搜索

文档翻译

学术文献翻译模型,支持多种主流文档格式。

立即体验