• 文献检索
  • 文档翻译
  • 深度研究
  • 学术资讯
  • Suppr Zotero 插件Zotero 插件
  • 邀请有礼
  • 套餐&价格
  • 历史记录
应用&插件
Suppr Zotero 插件Zotero 插件浏览器插件Mac 客户端Windows 客户端微信小程序
定价
高级版会员购买积分包购买API积分包
服务
文献检索文档翻译深度研究API 文档MCP 服务
关于我们
关于 Suppr公司介绍联系我们用户协议隐私条款
关注我们

Suppr 超能文献

核心技术专利:CN118964589B侵权必究
粤ICP备2023148730 号-1Suppr @ 2026

文献检索

告别复杂PubMed语法,用中文像聊天一样搜索,搜遍4000万医学文献。AI智能推荐,让科研检索更轻松。

立即免费搜索

文件翻译

保留排版,准确专业,支持PDF/Word/PPT等文件格式,支持 12+语言互译。

免费翻译文档

深度研究

AI帮你快速写综述,25分钟生成高质量综述,智能提取关键信息,辅助科研写作。

立即免费体验

ATP13A2作为宫颈癌的预后生物标志物及其与免疫浸润的相关性:一项回顾性研究。

ATP13A2 as a prognostic biomarker and its correlation with immune infiltration in cervical cancer: A retrospective study.

作者信息

Zhao Zhi, Peng Yijie, Yang Yuanyuan, Li Shuaiyu, Ling Jiang, Zhu Zhenyu, He Chenfeng

机构信息

Zhengzhou Yihe Hospital, Postdoctoral Innovation Practice Base, Henan University, Zhengzhou, Henan, China.

Department of Breast Surgery, Graduate School of Medicine, Kyoto University, Kyoto, Japan.

出版信息

J Cell Mol Med. 2025 Apr;29(7):e70097. doi: 10.1111/jcmm.70097.

DOI:10.1111/jcmm.70097
PMID:40197818
原文链接:https://pmc.ncbi.nlm.nih.gov/articles/PMC11976316/
Abstract

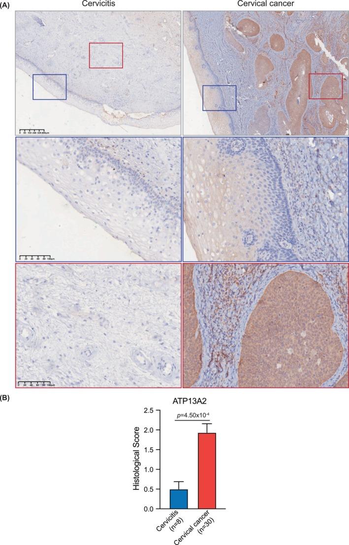
While the oncogene ATP13A2 is reportedly involved in colorectal cancer, its role in cervical cancer (CC) has yet to be fully characterized. In this study, we investigated ATP13A2 as a potential prognostic biomarker of CC. To this end, we compared CC tissues with normal tissues to identify differentially expressed genes, identifying ATP13A2 as a potential marker of CC. Elevated ATP13A2 expression levels were identified in CC samples compared to noncancerous samples across various data sets, with further immunohistochemical validation. Functional enrichment analysis revealed that ATP13A2 plays an essential role in the CXCL12-activated CXCR4 signalling pathway and chemotaxis regulation, which may alter immune infiltration. Notably, increased ATP13A2 levels were associated with poor overall survival. Furthermore, multiple clinical characteristics were significantly associated with ATP13A2 expression. Additionally, tumour bacterial infiltration was assessed using weighted co-expression network analysis, revealing a relationship between ATP13A2 expression and bacteria in the CC tumour microenvironment. Our results suggest that ATP13A2 is a promising diagnostic and prognostic marker for CC. However, further large-scale studies are needed to fully elucidate the mechanisms underlying the involvement of ATP13A2 in CC.

摘要

虽然据报道致癌基因ATP13A2与结直肠癌有关,但其在宫颈癌(CC)中的作用尚未完全明确。在本研究中,我们将ATP13A2作为CC潜在的预后生物标志物进行了研究。为此,我们将CC组织与正常组织进行比较以鉴定差异表达基因,确定ATP13A2为CC的潜在标志物。在各种数据集中,与非癌样本相比,CC样本中ATP13A2表达水平升高,并通过进一步的免疫组织化学验证。功能富集分析表明,ATP13A2在CXCL12激活的CXCR4信号通路和趋化性调节中起重要作用,这可能会改变免疫浸润。值得注意的是,ATP13A2水平升高与总体生存率低相关。此外,多种临床特征与ATP13A2表达显著相关。另外,使用加权共表达网络分析评估肿瘤细菌浸润,揭示了CC肿瘤微环境中ATP13A2表达与细菌之间的关系。我们的结果表明,ATP13A2是CC有前景的诊断和预后标志物。然而,需要进一步的大规模研究来充分阐明ATP13A2参与CC的潜在机制。

https://cdn.ncbi.nlm.nih.gov/pmc/blobs/c560/11976316/c95171919729/JCMM-29-e70097-g001.jpg
https://cdn.ncbi.nlm.nih.gov/pmc/blobs/c560/11976316/756025243da1/JCMM-29-e70097-g003.jpg
https://cdn.ncbi.nlm.nih.gov/pmc/blobs/c560/11976316/ec27aca5291c/JCMM-29-e70097-g004.jpg
https://cdn.ncbi.nlm.nih.gov/pmc/blobs/c560/11976316/bfa7d5550b99/JCMM-29-e70097-g005.jpg
https://cdn.ncbi.nlm.nih.gov/pmc/blobs/c560/11976316/a454be919ce4/JCMM-29-e70097-g002.jpg
https://cdn.ncbi.nlm.nih.gov/pmc/blobs/c560/11976316/c95171919729/JCMM-29-e70097-g001.jpg
https://cdn.ncbi.nlm.nih.gov/pmc/blobs/c560/11976316/756025243da1/JCMM-29-e70097-g003.jpg
https://cdn.ncbi.nlm.nih.gov/pmc/blobs/c560/11976316/ec27aca5291c/JCMM-29-e70097-g004.jpg
https://cdn.ncbi.nlm.nih.gov/pmc/blobs/c560/11976316/bfa7d5550b99/JCMM-29-e70097-g005.jpg
https://cdn.ncbi.nlm.nih.gov/pmc/blobs/c560/11976316/a454be919ce4/JCMM-29-e70097-g002.jpg
https://cdn.ncbi.nlm.nih.gov/pmc/blobs/c560/11976316/c95171919729/JCMM-29-e70097-g001.jpg

相似文献

1
ATP13A2 as a prognostic biomarker and its correlation with immune infiltration in cervical cancer: A retrospective study.ATP13A2作为宫颈癌的预后生物标志物及其与免疫浸润的相关性:一项回顾性研究。
J Cell Mol Med. 2025 Apr;29(7):e70097. doi: 10.1111/jcmm.70097.
2
Identification of immune-related cervical cancer prognostic biomarkers and construction of prognostic model based on tumor microenvironment.基于肿瘤微环境的免疫相关宫颈癌预后生物标志物的鉴定及预后模型的构建
Eur J Med Res. 2025 Apr 9;30(1):261. doi: 10.1186/s40001-025-02515-5.
3
Ferroptosis-related gene transferrin receptor protein 1 expression correlates with the prognosis and tumor immune microenvironment in cervical cancer.铁死亡相关基因转铁蛋白受体蛋白 1 的表达与宫颈癌的预后和肿瘤免疫微环境相关。
PeerJ. 2024 Aug 6;12:e17842. doi: 10.7717/peerj.17842. eCollection 2024.
4
Elucidating the role of tumor-associated ALOX5+ mast cells with transformative function in cervical cancer progression via single-cell RNA sequencing.通过单细胞 RNA 测序阐明具有转化功能的肿瘤相关 ALOX5+肥大细胞在宫颈癌进展中的作用。
Front Immunol. 2024 Aug 19;15:1434450. doi: 10.3389/fimmu.2024.1434450. eCollection 2024.
5
Fibroblast Growth Factor 11 Promotes Immune Escape of Cervical Cancer Cells by Promoting Infiltration of CD4 T Cells, Particularly Regulatory T Cells.成纤维细胞生长因子11通过促进CD4 T细胞尤其是调节性T细胞的浸润来促进宫颈癌细胞的免疫逃逸。
Genet Test Mol Biomarkers. 2025 Mar;29(3):85-98. doi: 10.1089/gtmb.2024.0478.
6
NDRG1/2 as a prognostic predictive biomarker of cervical cancer and its correlation with immune infiltration.NDRG1/2作为宫颈癌的预后预测生物标志物及其与免疫浸润的相关性。
Biomark Med. 2025 May;19(9):329-339. doi: 10.1080/17520363.2025.2483495. Epub 2025 Apr 7.
7
Expression of the CXCL12/CXCR4 and CXCL16/CXCR6 axes in cervical intraepithelial neoplasia and cervical cancer.CXCL12/CXCR4和CXCL16/CXCR6轴在宫颈上皮内瘤变和宫颈癌中的表达。
Chin J Cancer. 2013 May;32(5):289-96. doi: 10.5732/cjc.012.10063. Epub 2012 Sep 10.
8
Leukocyte-specific protein 1 is associated with the stage and tumor immune infiltration of cervical cancer.白细胞特异性蛋白1与宫颈癌的分期及肿瘤免疫浸润相关。
Sci Rep. 2025 Mar 4;15(1):7566. doi: 10.1038/s41598-025-91066-0.
9
TGF-β-mediated activation of fibroblasts in cervical cancer: implications for tumor microenvironment and prognosis.转化生长因子-β介导的子宫颈癌成纤维细胞活化:对肿瘤微环境和预后的影响
PeerJ. 2025 Mar 19;13:e19072. doi: 10.7717/peerj.19072. eCollection 2025.
10
Up-regulated DSG2 promotes tumor growth and reduces immune infiltration in cervical cancer.上调的 DSG2 促进宫颈癌的肿瘤生长并减少免疫浸润。
Pathol Res Pract. 2024 Oct;262:155554. doi: 10.1016/j.prp.2024.155554. Epub 2024 Aug 23.

本文引用的文献

1
Global cancer statistics 2022: GLOBOCAN estimates of incidence and mortality worldwide for 36 cancers in 185 countries.2022 年全球癌症统计数据:全球 185 个国家和地区 36 种癌症的发病率和死亡率全球估计数。
CA Cancer J Clin. 2024 May-Jun;74(3):229-263. doi: 10.3322/caac.21834. Epub 2024 Apr 4.
2
Dysbiotic Co-Factors in Cervical Cancer. How the Microbiome Influences the Development of Cervical Intraepithelial Neoplasia (CIN).宫颈癌中的生态失调协同因子。微生物群如何影响宫颈上皮内瘤变(CIN)的发展。
Geburtshilfe Frauenheilkd. 2023 May 4;83(8):1017-1021. doi: 10.1055/a-2044-0162. eCollection 2023 Aug.
3
Vaginal microbiome community state types and high-risk human papillomaviruses in cervical precancer and cancer in North-central Nigeria.
尼日利亚中北部地区宫颈癌前病变和宫颈癌中阴道微生物组群落状态类型与高危型人乳头瘤病毒。
BMC Cancer. 2023 Jul 20;23(1):683. doi: 10.1186/s12885-023-11187-5.
4
Tumor-agnostic ctDNA levels by mFAST-SeqS in first-line HR-positive, HER2 negative metastatic breast cancer patients as a biomarker for survival.通过mFAST-SeqS检测一线HR阳性、HER2阴性转移性乳腺癌患者的肿瘤非特异性循环肿瘤DNA水平作为生存生物标志物
NPJ Breast Cancer. 2023 Jul 14;9(1):61. doi: 10.1038/s41523-023-00563-w.
5
Intratumoral Microbiota Composition Regulates Chemoimmunotherapy Response in Esophageal Squamous Cell Carcinoma.肿瘤内微生物群落组成调控食管鳞癌的化免疫治疗反应。
Cancer Res. 2023 Sep 15;83(18):3131-3144. doi: 10.1158/0008-5472.CAN-22-2593.
6
Relationship between Human Papillomavirus Status and the Cervicovaginal Microbiome in Cervical Cancer.宫颈癌中人乳头瘤病毒状态与宫颈阴道微生物群的关系
Microorganisms. 2023 May 27;11(6):1417. doi: 10.3390/microorganisms11061417.
7
ATP13A2 activates the pentose phosphate pathway to promote colorectal cancer growth though TFEB-PGD axis.ATP13A2 通过 TFEB-PGD 轴激活戊糖磷酸途径促进结直肠癌细胞生长。
Clin Transl Med. 2023 May;13(5):e1272. doi: 10.1002/ctm2.1272.
8
Metal Exposure Promotes Colorectal Tumorigenesis via the Aberrant -Methyladenosine Modification of .金属暴露通过. 的异常 -甲基腺苷修饰促进结直肠肿瘤发生。
Environ Sci Technol. 2023 Feb 21;57(7):2864-2876. doi: 10.1021/acs.est.2c07389. Epub 2023 Feb 6.
9
Identification of CD8+ T cell infiltration-related genes and their prognostic values in cervical cancer.宫颈癌中CD8 + T细胞浸润相关基因的鉴定及其预后价值
Front Oncol. 2022 Oct 31;12:1031643. doi: 10.3389/fonc.2022.1031643. eCollection 2022.
10
ATP13A2 is a Prognostic Biomarker and Correlates with Immune Infiltrates in Hepatocellular Carcinoma.ATP13A2 是肝细胞癌的预后生物标志物,并与免疫浸润相关。
J Gastrointest Surg. 2023 Jan;27(1):56-66. doi: 10.1007/s11605-021-05099-7. Epub 2022 Sep 20.