Yang Liang, Guo Chen, Zheng Zhiwei, Dong Yiyan, Xie Qifeng, Lv Zijian, Li Min, Lu Yangyang, Guo Xiaonan, Deng Rongshan, Liu Yiqin, Feng Yirong, Mu Ruiqi, Zhang Xuliang, Ma Huan, Chen Zhong, Zhang Zhijun, Dong Zhaoqi, Yang Wei, Zhang Xiangnan, Cui Yihui
Department of Psychiatry of Sir Run Run Shaw Hospital and School of Brain Science and Brain Medicine, Zhejiang University School of Medicine, Hangzhou, China.
MOE Frontier Science Center for Brain Science and Brain-Machine Integration, Zhejiang University, Hangzhou, China.
Nature. 2025 May;641(8062):427-437. doi: 10.1038/s41586-025-08807-4. Epub 2025 Apr 9.
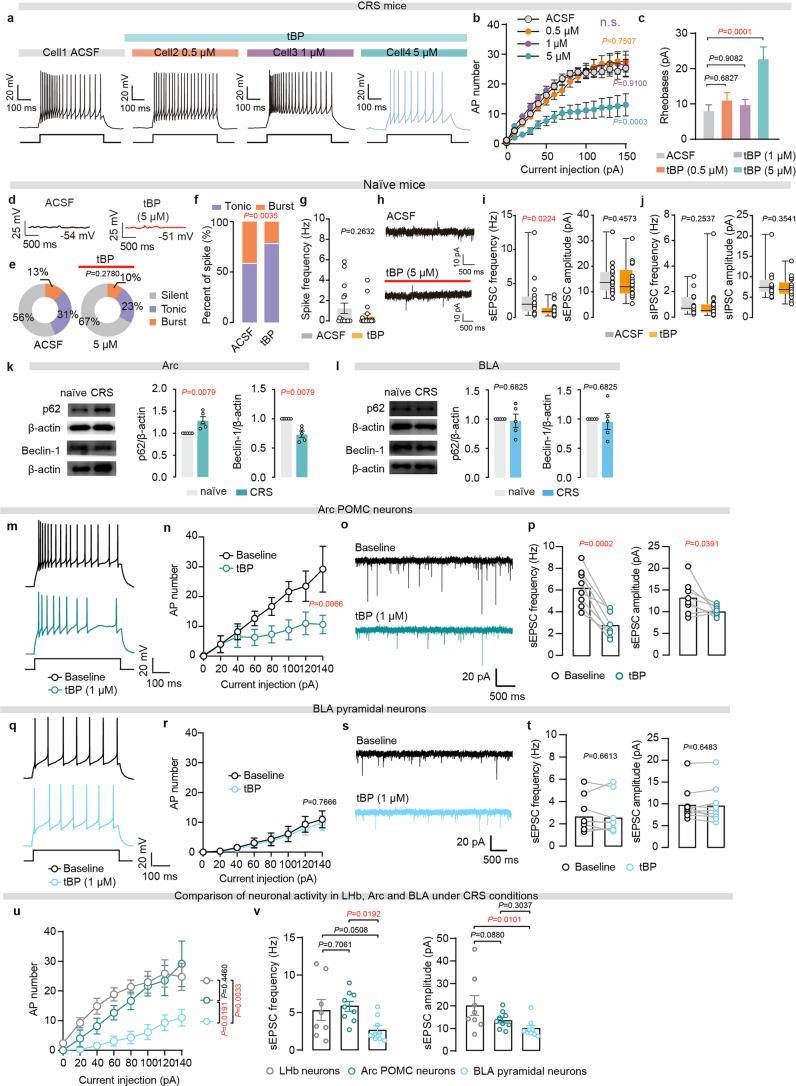
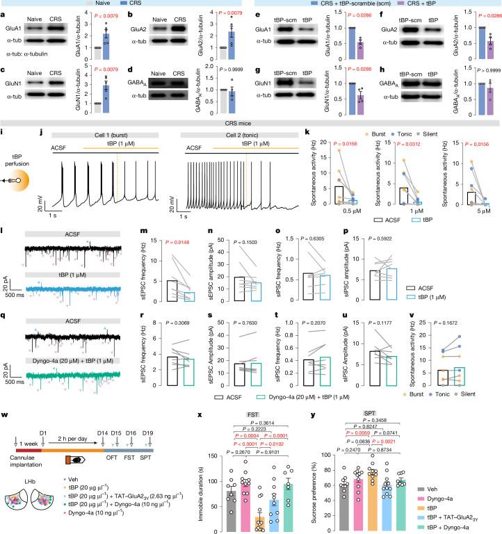
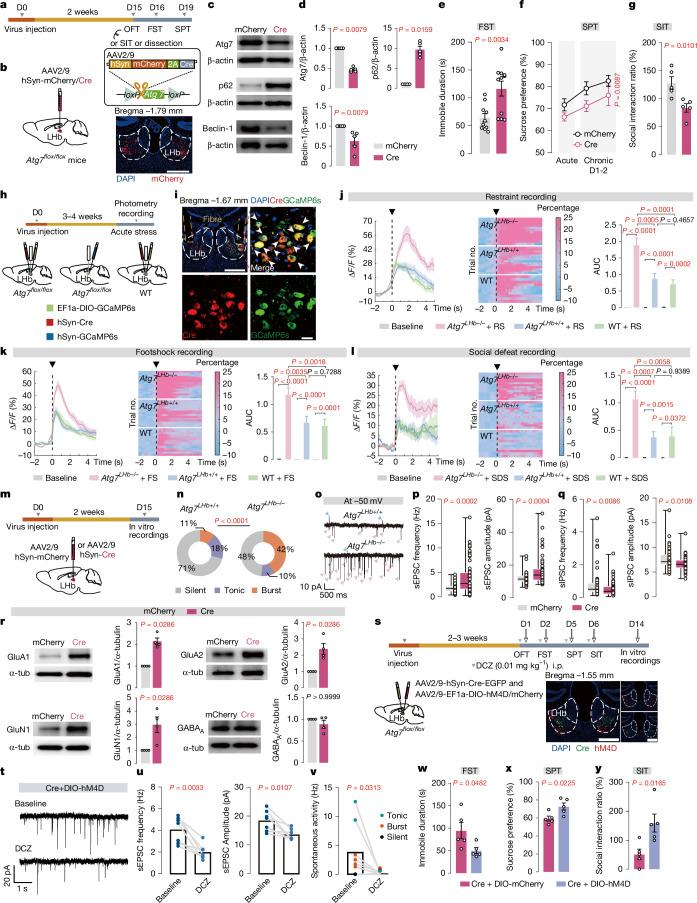
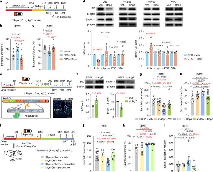
Chronic stress remodels brain homeostasis, in which persistent change leads to depressive disorders. As a key modulator of brain homeostasis, it remains elusive whether and how brain autophagy is engaged in stress dynamics. Here we discover that acute stress activates, whereas chronic stress suppresses, autophagy mainly in the lateral habenula (LHb). Systemic administration of distinct antidepressant drugs similarly restores autophagy function in the LHb, suggesting LHb autophagy as a common antidepressant target. Genetic ablation of LHb neuronal autophagy promotes stress susceptibility, whereas enhancing LHb autophagy exerts rapid antidepressant-like effects. LHb autophagy controls neuronal excitability, synaptic transmission and plasticity by means of on-demand degradation of glutamate receptors. Collectively, this study shows a causal role of LHb autophagy in maintaining emotional homeostasis against stress. Disrupted LHb autophagy is implicated in the maladaptation to chronic stress, and its reversal by autophagy enhancers provides a new antidepressant strategy.
慢性应激重塑大脑内环境稳态,持续的变化会导致抑郁障碍。作为大脑内环境稳态的关键调节因子,大脑自噬是否以及如何参与应激动态变化仍不清楚。在这里,我们发现急性应激激活自噬,而慢性应激抑制自噬,主要发生在外侧缰核(LHb)。全身给予不同的抗抑郁药物同样能恢复LHb中的自噬功能,提示LHb自噬是一个共同的抗抑郁靶点。LHb神经元自噬的基因敲除会增加应激易感性,而增强LHb自噬则会产生快速的抗抑郁样作用。LHb自噬通过按需降解谷氨酸受体来控制神经元兴奋性、突触传递和可塑性。总的来说,这项研究表明LHb自噬在维持情绪稳态以对抗应激方面具有因果作用。LHb自噬的破坏与对慢性应激的适应不良有关,自噬增强剂对其的逆转提供了一种新的抗抑郁策略。