• 文献检索
  • 文档翻译
  • 深度研究
  • 学术资讯
  • Suppr Zotero 插件Zotero 插件
  • 邀请有礼
  • 套餐&价格
  • 历史记录
应用&插件
Suppr Zotero 插件Zotero 插件浏览器插件Mac 客户端Windows 客户端微信小程序
定价
高级版会员购买积分包购买API积分包
服务
文献检索文档翻译深度研究API 文档MCP 服务
关于我们
关于 Suppr公司介绍联系我们用户协议隐私条款
关注我们

Suppr 超能文献

核心技术专利:CN118964589B侵权必究
粤ICP备2023148730 号-1Suppr @ 2026

文献检索

告别复杂PubMed语法,用中文像聊天一样搜索,搜遍4000万医学文献。AI智能推荐,让科研检索更轻松。

立即免费搜索

文件翻译

保留排版,准确专业,支持PDF/Word/PPT等文件格式,支持 12+语言互译。

免费翻译文档

深度研究

AI帮你快速写综述,25分钟生成高质量综述,智能提取关键信息,辅助科研写作。

立即免费体验

乙肝病毒X蛋白通过核因子-κB/ X连锁凋亡抑制蛋白途径抑制内源性凋亡,从而诱导弥漫性大B细胞淋巴瘤产生化疗耐药性。

HBx induces chemoresistance in diffuse large B cell lymphoma by inhibiting intrinsic apoptosis via the NF-κB/XIAP pathway.

作者信息

Zhan Zhumei, Yang Wei, Guo Wei, Wan Xin, Li Jia, Zhang Ying, Wang Bowen, Liang Xiaojing, Bai Ou

机构信息

Department of Hematology, The First Hospital of Jilin University, Changchun, Jilin 130031, China.

Department of Hematology, Shandong Provincial Hospital Affiliated to Shandong First Medical University, Jinan, Shandong 250021, China.

出版信息

Mol Ther Nucleic Acids. 2024 Sep 26;35(4):102346. doi: 10.1016/j.omtn.2024.102346. eCollection 2024 Dec 10.

DOI:10.1016/j.omtn.2024.102346
PMID:40207019
原文链接:https://pmc.ncbi.nlm.nih.gov/articles/PMC11980703/
Abstract

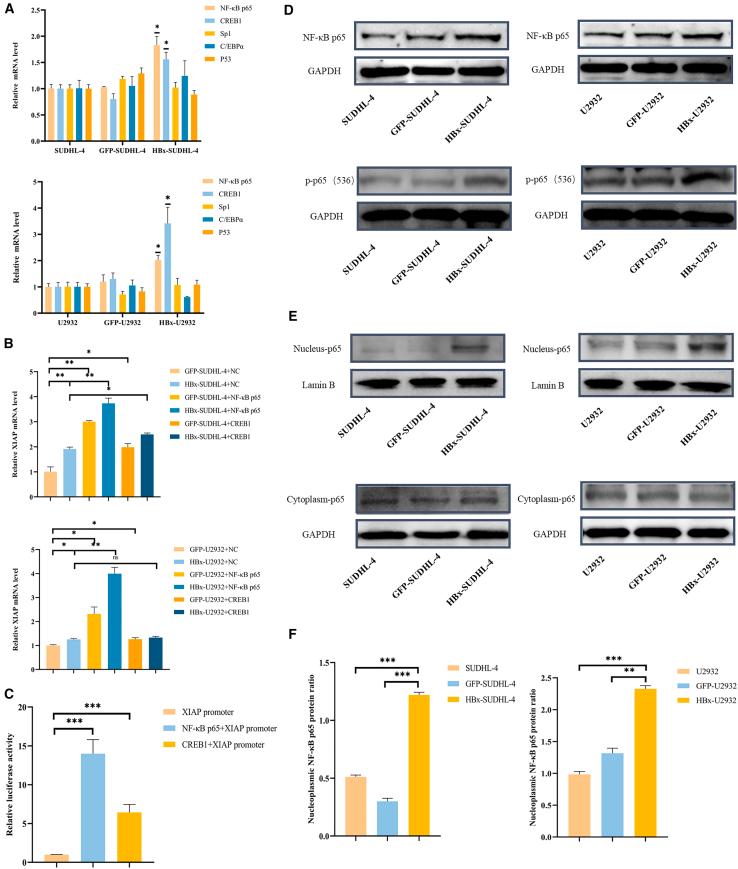
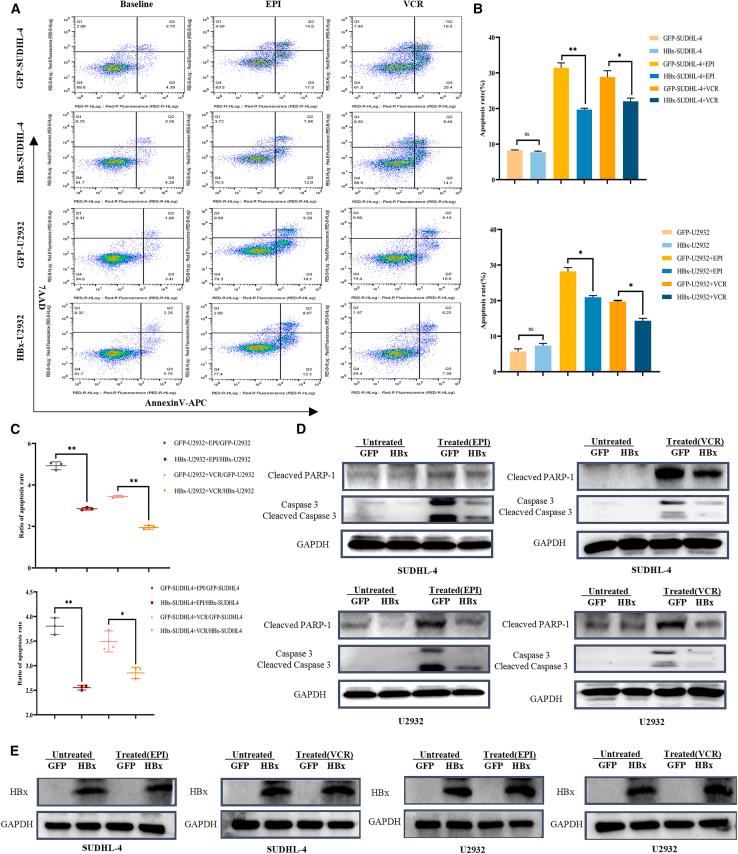
Diffuse large B cell lymphoma (DLBCL) is the predominant subtype of malignant lymphoma in adults with high heterogeneity. Hepatitis B virus (HBV) has been shown to infect B lymphocytes and has been associated with a higher risk of developing DLBCL, most clearly in countries where HBV is endemic. Accumulating evidence suggests that the standard chemotherapy regimens for DLBCL patients with HBV infection exhibit limited efficacy and unfavorable outcomes. The HBx antigen, encoded by the X gene in the four open reading frames of HBV, may be a key molecule promoting the heightened malignant biological characteristics of DLBCL, but whether it affects the chemotherapy response and the mechanism in DLBCL remains unclear. Through the implementation of and experiments, our study demonstrates that the HBx antigen triggers excessive activation of the NF-κB pathway, resulting in increased expression of the X-linked inhibitor of apoptosis protein (XIAP). This upregulation inhibits caspase-3-mediated intrinsic apoptosis and enhances resistance to first-line chemotherapeutic agents like epirubicin and vincristine in DLBCL. These findings offer insights into the development of innovative combination therapies for DLBCL patients with HBV infection.

摘要

弥漫性大B细胞淋巴瘤(DLBCL)是成人恶性淋巴瘤的主要亚型,具有高度异质性。乙型肝炎病毒(HBV)已被证明可感染B淋巴细胞,并与发生DLBCL的较高风险相关,这在HBV流行的国家最为明显。越来越多的证据表明,针对HBV感染的DLBCL患者的标准化疗方案疗效有限且预后不佳。由HBV四个开放阅读框中的X基因编码的HBx抗原,可能是促进DLBCL恶性生物学特性增强的关键分子,但它是否影响DLBCL的化疗反应及其机制仍不清楚。通过实施[具体实验名称1]和[具体实验名称2]实验,我们的研究表明,HBx抗原触发NF-κB通路的过度激活,导致凋亡抑制蛋白X连锁抑制因子(XIAP)表达增加。这种上调抑制了caspase-3介导的内源性凋亡,并增强了DLBCL对表柔比星和长春新碱等一线化疗药物的耐药性。这些发现为开发针对HBV感染的DLBCL患者的创新联合疗法提供了见解。

https://cdn.ncbi.nlm.nih.gov/pmc/blobs/df7a/11980703/713d95e61906/gr8.jpg
https://cdn.ncbi.nlm.nih.gov/pmc/blobs/df7a/11980703/b4d1cd6a894c/fx1.jpg
https://cdn.ncbi.nlm.nih.gov/pmc/blobs/df7a/11980703/3ea0cdffb37a/gr1.jpg
https://cdn.ncbi.nlm.nih.gov/pmc/blobs/df7a/11980703/9d0cb123280e/gr2.jpg
https://cdn.ncbi.nlm.nih.gov/pmc/blobs/df7a/11980703/23fac825c809/gr3.jpg
https://cdn.ncbi.nlm.nih.gov/pmc/blobs/df7a/11980703/03e320538e62/gr4.jpg
https://cdn.ncbi.nlm.nih.gov/pmc/blobs/df7a/11980703/0b2e526a2071/gr5.jpg
https://cdn.ncbi.nlm.nih.gov/pmc/blobs/df7a/11980703/22ad72349ea0/gr6.jpg
https://cdn.ncbi.nlm.nih.gov/pmc/blobs/df7a/11980703/6328f94ca5eb/gr7.jpg
https://cdn.ncbi.nlm.nih.gov/pmc/blobs/df7a/11980703/713d95e61906/gr8.jpg
https://cdn.ncbi.nlm.nih.gov/pmc/blobs/df7a/11980703/b4d1cd6a894c/fx1.jpg
https://cdn.ncbi.nlm.nih.gov/pmc/blobs/df7a/11980703/3ea0cdffb37a/gr1.jpg
https://cdn.ncbi.nlm.nih.gov/pmc/blobs/df7a/11980703/9d0cb123280e/gr2.jpg
https://cdn.ncbi.nlm.nih.gov/pmc/blobs/df7a/11980703/23fac825c809/gr3.jpg
https://cdn.ncbi.nlm.nih.gov/pmc/blobs/df7a/11980703/03e320538e62/gr4.jpg
https://cdn.ncbi.nlm.nih.gov/pmc/blobs/df7a/11980703/0b2e526a2071/gr5.jpg
https://cdn.ncbi.nlm.nih.gov/pmc/blobs/df7a/11980703/22ad72349ea0/gr6.jpg
https://cdn.ncbi.nlm.nih.gov/pmc/blobs/df7a/11980703/6328f94ca5eb/gr7.jpg
https://cdn.ncbi.nlm.nih.gov/pmc/blobs/df7a/11980703/713d95e61906/gr8.jpg

相似文献

1
HBx induces chemoresistance in diffuse large B cell lymphoma by inhibiting intrinsic apoptosis via the NF-κB/XIAP pathway.乙肝病毒X蛋白通过核因子-κB/ X连锁凋亡抑制蛋白途径抑制内源性凋亡,从而诱导弥漫性大B细胞淋巴瘤产生化疗耐药性。
Mol Ther Nucleic Acids. 2024 Sep 26;35(4):102346. doi: 10.1016/j.omtn.2024.102346. eCollection 2024 Dec 10.
2
HBx integration in diffuse large B-cell lymphoma inhibits Caspase-3-PARP related apoptosis.HBx在弥漫性大B细胞淋巴瘤中的整合抑制半胱天冬酶-3-聚(ADP-核糖)聚合酶相关的细胞凋亡。
Tumour Virus Res. 2024 Dec;18:200290. doi: 10.1016/j.tvr.2024.200290. Epub 2024 Jul 18.
3
lncNBAT1/APOBEC3A is a mediator of HBX-induced chemoresistance in diffuse large B cell lymphoma cells.lncNBAT1/APOBEC3A是弥漫性大B细胞淋巴瘤细胞中HBX诱导的化疗耐药性的介质。
Mol Ther Nucleic Acids. 2022 Jan 25;27:1064-1077. doi: 10.1016/j.omtn.2022.01.015. eCollection 2022 Mar 8.
4
Capable Infection of Hepatitis B Virus in Diffuse Large B-cell Lymphoma.弥漫性大B细胞淋巴瘤中乙型肝炎病毒的潜在感染
J Cancer. 2018 Apr 12;9(9):1575-1581. doi: 10.7150/jca.24384. eCollection 2018.
5
Identification of hepatitis B virus aetiologic antigens, HBx and Pre-S2, in diffuse large B-cell lymphoma.在弥漫性大 B 细胞淋巴瘤中鉴定乙型肝炎病毒病因抗原 HBx 和 Pre-S2。
J Viral Hepat. 2020 Sep;27(9):948-950. doi: 10.1111/jvh.13301. Epub 2020 Apr 28.
6
Hepatitis B Surface Antigen Positivity Is an Independent Unfavorable Prognostic Factor in Diffuse Large B-Cell Lymphoma in the Rituximab Era.在利妥昔单抗时代,乙型肝炎表面抗原阳性是弥漫性大 B 细胞淋巴瘤的独立不良预后因素。
Oncologist. 2020 Sep;25(9):793-802. doi: 10.1634/theoncologist.2019-0756. Epub 2020 Apr 27.
7
Small-molecule XIAP antagonist restores caspase-9 mediated apoptosis in XIAP-positive diffuse large B-cell lymphoma cells.小分子XIAP拮抗剂可恢复XIAP阳性弥漫性大B细胞淋巴瘤细胞中caspase-9介导的细胞凋亡。
Blood. 2008 Jan 1;111(1):369-75. doi: 10.1182/blood-2007-04-085480. Epub 2007 Oct 4.
8
HBV infection potentiates resistance to S-phase arrest-inducing chemotherapeutics by inhibiting CHK2 pathway in diffuse large B-cell lymphoma.HBV 感染通过抑制弥漫性大 B 细胞淋巴瘤中 CHK2 通路来增强对 S 期阻滞诱导化疗药物的耐药性。
Cell Death Dis. 2018 Jan 19;9(2):61. doi: 10.1038/s41419-017-0097-1.
9
LncRNA MALAT1 promotes Erastin-induced ferroptosis in the HBV-infected diffuse large B-cell lymphoma.长链非编码 RNA MALAT1 促进乙型肝炎病毒感染的弥漫大 B 细胞淋巴瘤中依维莫司诱导的铁死亡。
Cell Death Dis. 2024 Nov 12;15(11):819. doi: 10.1038/s41419-024-07209-0.
10
Overexpression Inhibits Diffuse Large B-Cell Lymphoma Progression by Promoting Autophagy through TLR4/MyD88/NF-κB Signaling Pathway.过表达通过 TLR4/MyD88/NF-κB 信号通路促进自噬来抑制弥漫性大 B 细胞淋巴瘤的进展。
Discov Med. 2024 Aug;36(187):1627-1640. doi: 10.24976/Discov.Med.202436187.149.

引用本文的文献

1
Biomedical informatics analysis has revealed a novel hub gene of the HBx in the pathogenesis and progression of DLBCL.生物医学信息学分析揭示了HBx在弥漫性大B细胞淋巴瘤(DLBCL)发病机制和进展中的一个新的核心基因。
iScience. 2025 Jul 28;28(9):113225. doi: 10.1016/j.isci.2025.113225. eCollection 2025 Sep 19.
2
Paternally Expressed Gene 10 Promoter Methylation Level as a Predictor of HBeAg Seroconversion in Chronic Hepatitis B Patients.父源表达基因10启动子甲基化水平作为慢性乙型肝炎患者HBeAg血清学转换的预测指标
J Med Virol. 2025 Aug;97(8):e70510. doi: 10.1002/jmv.70510.

本文引用的文献

1
Hepatitis B surface antigen positivity is associated with poor short- and long-term outcomes in patients with diffuse large B-cell lymphoma who received CHOP or R-CHOP.在接受CHOP或R-CHOP治疗的弥漫性大B细胞淋巴瘤患者中,乙肝表面抗原阳性与短期和长期预后不良相关。
Front Immunol. 2024 Jan 22;15:1324113. doi: 10.3389/fimmu.2024.1324113. eCollection 2024.
2
A Review on Caspases: Key Regulators of Biological Activities and Apoptosis.细胞凋亡蛋白酶综述:生物活性和细胞凋亡的关键调节剂。
Mol Neurobiol. 2023 Oct;60(10):5805-5837. doi: 10.1007/s12035-023-03433-5. Epub 2023 Jun 22.
3
Aerobic glycolysis enhances HBx-initiated hepatocellular carcinogenesis via NF-κBp65/HK2 signalling.
有氧糖酵解通过 NF-κBp65/HK2 信号通路增强 HBx 引发的肝细胞癌发生。
J Exp Clin Cancer Res. 2022 Nov 21;41(1):329. doi: 10.1186/s13046-022-02531-x.
4
Hepatitis B x (HBx) as a Component of a Functional Cure for Chronic Hepatitis B.乙型肝炎X蛋白(HBx)作为慢性乙型肝炎功能性治愈的一个组成部分。
Biomedicines. 2022 Sep 7;10(9):2210. doi: 10.3390/biomedicines10092210.
5
XIAP as a multifaceted molecule in Cellular Signaling.XIAP 作为细胞信号转导中的多功能分子。
Apoptosis. 2022 Aug;27(7-8):441-453. doi: 10.1007/s10495-022-01734-z. Epub 2022 Jun 4.
6
lncNBAT1/APOBEC3A is a mediator of HBX-induced chemoresistance in diffuse large B cell lymphoma cells.lncNBAT1/APOBEC3A是弥漫性大B细胞淋巴瘤细胞中HBX诱导的化疗耐药性的介质。
Mol Ther Nucleic Acids. 2022 Jan 25;27:1064-1077. doi: 10.1016/j.omtn.2022.01.015. eCollection 2022 Mar 8.
7
High mobility group AT-hook 1 (HMGA1) is an important positive regulator of hepatitis B virus (HBV) that is reciprocally upregulated by HBV X protein.高迁移率族蛋白 A1(HMGA1)是乙型肝炎病毒(HBV)的重要正调控因子,其表达受到 HBV X 蛋白的反向调控。
Nucleic Acids Res. 2022 Feb 28;50(4):2157-2171. doi: 10.1093/nar/gkac070.
8
Apoptosis Deregulation and the Development of Cancer Multi-Drug Resistance.细胞凋亡失调与癌症多药耐药性的发展
Cancers (Basel). 2021 Aug 28;13(17):4363. doi: 10.3390/cancers13174363.
9
TRERNA1 upregulation mediated by HBx promotes sorafenib resistance and cell proliferation in HCC via targeting NRAS by sponging miR-22-3p.HBx 介导的 TRERNA1 上调通过海绵吸附 miR-22-3p 靶向 NRAS 促进 HCC 索拉非尼耐药和细胞增殖。
Mol Ther. 2021 Aug 4;29(8):2601-2616. doi: 10.1016/j.ymthe.2021.04.011. Epub 2021 Apr 9.
10
XIAP's Profile in Human Cancer.XIAP 在人类癌症中的特征。
Biomolecules. 2020 Oct 29;10(11):1493. doi: 10.3390/biom10111493.