• 文献检索
  • 文档翻译
  • 深度研究
  • 学术资讯
  • Suppr Zotero 插件Zotero 插件
  • 邀请有礼
  • 套餐&价格
  • 历史记录
应用&插件
Suppr Zotero 插件Zotero 插件浏览器插件Mac 客户端Windows 客户端微信小程序
定价
高级版会员购买积分包购买API积分包
服务
文献检索文档翻译深度研究API 文档MCP 服务
关于我们
关于 Suppr公司介绍联系我们用户协议隐私条款
关注我们

Suppr 超能文献

核心技术专利:CN118964589B侵权必究
粤ICP备2023148730 号-1Suppr @ 2026

文献检索

告别复杂PubMed语法,用中文像聊天一样搜索,搜遍4000万医学文献。AI智能推荐,让科研检索更轻松。

立即免费搜索

文件翻译

保留排版,准确专业,支持PDF/Word/PPT等文件格式,支持 12+语言互译。

免费翻译文档

深度研究

AI帮你快速写综述,25分钟生成高质量综述,智能提取关键信息,辅助科研写作。

立即免费体验

白藜芦醇通过调节PC12细胞中的赖氨酸β-羟基丁酰化来减轻氯化钴诱导的缺氧损伤。

Resveratrol attenuates the CoCl-induced hypoxia damage by regulation of lysine β-hydroxybutyrylation in PC12 cells.

作者信息

Wang Yamei, Zhao Jian, Sun Liang, Xu Dingding, Wei Xiaoming, Li Jia, Mo Zihan, Xia Nian, Zhou Junge, Yao Yuan, Hu Qiao, Zhou Qingqing

机构信息

Department of Neurology, The First Affiliated Hospital of Yangtze University, Jingzhou First People's Hospital, Jingzhou, 434000, China.

Department of Neurosurgery, The First Affiliated Hospital of Yangtze University, Jingzhou First People's Hospital, Jingzhou, 434000, China.

出版信息

BMC Neurol. 2025 Apr 10;25(1):153. doi: 10.1186/s12883-025-04171-y.

DOI:10.1186/s12883-025-04171-y
PMID:40211144
原文链接:https://pmc.ncbi.nlm.nih.gov/articles/PMC11984057/
Abstract

BACKGROUND

Stroke is a cerebrovascular disease that is the main cause of death and disability worldwide. Hypoxia is a major factor that causes neuronal damage and even cellular death. However, the mechanism and therapeutic drugs for hypoxia are not completely understood.

METHODS

In this study, PC12 cells (a rat adrenal pheochromocytoma cell line) were exposed to Cobalt chloride (CoCl) to induce hypoxia. Using this cell model, the impacts of hypoxia on cell viability, proliferation, reactive oxygen species (ROS), and the levels of lysine β-hydroxybutyrylation (Kbhb) and the inflammatory signaling factor P65 were examined. In addition, we explored the ability of resveratrol (RES) to alleviate CoCl-induced hypoxia damage.

RESULTS

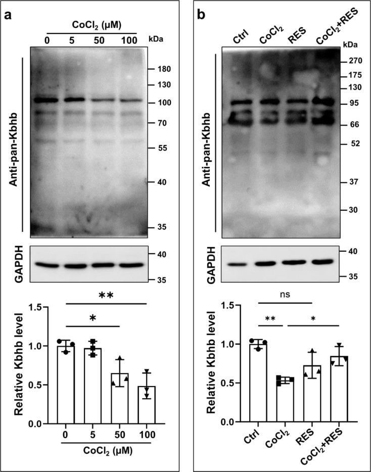
RES attenuated CoCl-induced decreases of cell viability and cell proliferation and increase of ROS production in PC12 cells. CoCl downregulated Kbhb in PC12 cells, but RES alleviated this effect. In addition, upregulated Kbhb by 3-hydroxybutyric acid sodium could partially recover the CoCl-induced hypoxia damage to PC12 cells, including cell viability, cell proliferation, oxidative stress, and the protein level of the inflammatory signaling factor P65.

CONCLUSION

Our results indicate that RES protects against CoCl-induced hypoxia damage in PC12 cells by modulating Kbhb, a novel post-translational modification.

摘要

背景

中风是一种脑血管疾病,是全球范围内死亡和残疾的主要原因。缺氧是导致神经元损伤甚至细胞死亡的主要因素。然而,缺氧的机制和治疗药物尚未完全明确。

方法

在本研究中,将PC12细胞(大鼠肾上腺嗜铬细胞瘤细胞系)暴露于氯化钴(CoCl)以诱导缺氧。利用该细胞模型,研究缺氧对细胞活力、增殖、活性氧(ROS)、赖氨酸β-羟基丁酰化(Kbhb)水平以及炎症信号因子P65的影响。此外,我们探讨了白藜芦醇(RES)减轻CoCl诱导的缺氧损伤的能力。

结果

RES减轻了CoCl诱导的PC12细胞活力和细胞增殖的降低以及ROS产生的增加。CoCl下调了PC12细胞中的Kbhb,但RES减轻了这种作用。此外,用3-羟基丁酸钠上调Kbhb可部分恢复CoCl诱导的PC12细胞缺氧损伤,包括细胞活力、细胞增殖、氧化应激以及炎症信号因子P65的蛋白水平。

结论

我们的结果表明,RES通过调节Kbhb(一种新的翻译后修饰)来保护PC12细胞免受CoCl诱导的缺氧损伤。

https://cdn.ncbi.nlm.nih.gov/pmc/blobs/50dc/11984057/f4abc5bb68a7/12883_2025_4171_Fig8_HTML.jpg
https://cdn.ncbi.nlm.nih.gov/pmc/blobs/50dc/11984057/044dc73bb335/12883_2025_4171_Fig1_HTML.jpg
https://cdn.ncbi.nlm.nih.gov/pmc/blobs/50dc/11984057/4e62aac7179f/12883_2025_4171_Fig2_HTML.jpg
https://cdn.ncbi.nlm.nih.gov/pmc/blobs/50dc/11984057/922a7f50f171/12883_2025_4171_Fig3_HTML.jpg
https://cdn.ncbi.nlm.nih.gov/pmc/blobs/50dc/11984057/90405bdc1e20/12883_2025_4171_Fig4_HTML.jpg
https://cdn.ncbi.nlm.nih.gov/pmc/blobs/50dc/11984057/5c6fab25b784/12883_2025_4171_Fig5_HTML.jpg
https://cdn.ncbi.nlm.nih.gov/pmc/blobs/50dc/11984057/b8149bcebf68/12883_2025_4171_Fig6_HTML.jpg
https://cdn.ncbi.nlm.nih.gov/pmc/blobs/50dc/11984057/227374ba8fd9/12883_2025_4171_Fig7_HTML.jpg
https://cdn.ncbi.nlm.nih.gov/pmc/blobs/50dc/11984057/f4abc5bb68a7/12883_2025_4171_Fig8_HTML.jpg
https://cdn.ncbi.nlm.nih.gov/pmc/blobs/50dc/11984057/044dc73bb335/12883_2025_4171_Fig1_HTML.jpg
https://cdn.ncbi.nlm.nih.gov/pmc/blobs/50dc/11984057/4e62aac7179f/12883_2025_4171_Fig2_HTML.jpg
https://cdn.ncbi.nlm.nih.gov/pmc/blobs/50dc/11984057/922a7f50f171/12883_2025_4171_Fig3_HTML.jpg
https://cdn.ncbi.nlm.nih.gov/pmc/blobs/50dc/11984057/90405bdc1e20/12883_2025_4171_Fig4_HTML.jpg
https://cdn.ncbi.nlm.nih.gov/pmc/blobs/50dc/11984057/5c6fab25b784/12883_2025_4171_Fig5_HTML.jpg
https://cdn.ncbi.nlm.nih.gov/pmc/blobs/50dc/11984057/b8149bcebf68/12883_2025_4171_Fig6_HTML.jpg
https://cdn.ncbi.nlm.nih.gov/pmc/blobs/50dc/11984057/227374ba8fd9/12883_2025_4171_Fig7_HTML.jpg
https://cdn.ncbi.nlm.nih.gov/pmc/blobs/50dc/11984057/f4abc5bb68a7/12883_2025_4171_Fig8_HTML.jpg

相似文献

1
Resveratrol attenuates the CoCl-induced hypoxia damage by regulation of lysine β-hydroxybutyrylation in PC12 cells.白藜芦醇通过调节PC12细胞中的赖氨酸β-羟基丁酰化来减轻氯化钴诱导的缺氧损伤。
BMC Neurol. 2025 Apr 10;25(1):153. doi: 10.1186/s12883-025-04171-y.
2
Effects of Salidroside on cobalt chloride-induced hypoxia damage and mTOR signaling repression in PC12 cells.红景天苷对氯化钴诱导的PC12细胞缺氧损伤及mTOR信号抑制的影响。
Biol Pharm Bull. 2014;37(7):1199-206. doi: 10.1248/bpb.b14-00100.
3
Cerebrolysin protects PC12 cells from CoCl2-induced hypoxia employing GSK3β signaling.脑蛋白水解物通过糖原合成酶激酶3β信号通路保护PC12细胞免受氯化钴诱导的缺氧损伤。
Int J Dev Neurosci. 2014 Nov;38:52-8. doi: 10.1016/j.ijdevneu.2014.07.005. Epub 2014 Aug 2.
4
Dexmedetomidine Protects Against Chemical Hypoxia-Induced Neurotoxicity in Differentiated PC12 Cells Via Inhibition of NADPH Oxidase 2-Mediated Oxidative Stress.右美托咪定通过抑制 NADPH 氧化酶 2 介导的氧化应激对分化的 PC12 细胞的化学缺氧诱导的神经毒性起保护作用。
Neurotox Res. 2019 Jan;35(1):139-149. doi: 10.1007/s12640-018-9938-7. Epub 2018 Aug 15.
5
Tetramethylpyrazine inhibits CoCl2 -induced neurotoxicity through enhancement of Nrf2/GCLc/GSH and suppression of HIF1α/NOX2/ROS pathways.川芎嗪通过增强Nrf2/GCLc/GSH和抑制HIF1α/NOX2/ROS途径来抑制氯化钴诱导的神经毒性。
J Neurochem. 2015 Aug;134(3):551-65. doi: 10.1111/jnc.13161. Epub 2015 Jun 3.
6
trans-Resveratrol protects ischemic PC12 Cells by inhibiting the hypoxia associated transcription factors and increasing the levels of antioxidant defense enzymes.白藜芦醇通过抑制缺氧相关转录因子和增加抗氧化防御酶的水平来保护缺血 PC12 细胞。
ACS Chem Neurosci. 2013 Feb 20;4(2):285-94. doi: 10.1021/cn300143m. Epub 2012 Nov 9.
7
Resveratrol Attenuates the Cytotoxicity Induced by Amyloid-β in PC12 Cells by Upregulating Heme Oxygenase-1 via the PI3K/Akt/Nrf2 Pathway.白藜芦醇通过激活 PI3K/Akt/Nrf2 通路上调血红素氧合酶-1 减轻淀粉样β肽诱导的 PC12 细胞损伤。
Neurochem Res. 2018 Feb;43(2):297-305. doi: 10.1007/s11064-017-2421-7. Epub 2017 Oct 31.
8
Hydrogen sulfide protects PC12 cells against reactive oxygen species and extracellular signal-regulated kinase 1/2-mediated downregulation of glutamate transporter-1 expression induced by chemical hypoxia.硫化氢通过抑制活性氧和细胞外信号调节激酶 1/2 减轻化学缺氧诱导的 PC12 细胞谷氨酸转运体-1 表达下调
Int J Mol Med. 2012 Nov;30(5):1126-32. doi: 10.3892/ijmm.2012.1090. Epub 2012 Aug 8.
9
Rapamycin treatment increases hippocampal cell viability in an mTOR-independent manner during exposure to hypoxia mimetic, cobalt chloride.在暴露于模拟缺氧的氯化钴期间,雷帕霉素治疗以一种不依赖于mTOR的方式提高海马体细胞活力。
BMC Neurosci. 2018 Dec 29;19(1):82. doi: 10.1186/s12868-018-0482-4.
10
Inhibition of miR-337-3p involved in the protection of CoCl -induced injury in PC12 cells via activating JAK2/STAT3 signaling pathway.抑制 miR-337-3p 通过激活 JAK2/STAT3 信号通路参与 CoCl2 诱导的 PC12 细胞损伤的保护作用。
J Cell Biochem. 2019 Nov;120(11):19076-19086. doi: 10.1002/jcb.29230. Epub 2019 Jul 1.

本文引用的文献

1
The mechanism of acetylation-mediated fusion of lysosomes with autophagosomes in neurons after ischemic stroke.缺血性中风后神经元中乙酰化介导的溶酶体与自噬体融合的机制。
Life Sci. 2025 Feb 1;362:123305. doi: 10.1016/j.lfs.2024.123305. Epub 2024 Dec 7.
2
Resveratrol regulates inflammation and improves oxidative stress via Nrf2 signaling pathway: Therapeutic and biotechnological prospects.白藜芦醇通过 Nrf2 信号通路调节炎症和改善氧化应激:治疗和生物技术前景。
Phytother Res. 2023 Apr;37(4):1590-1605. doi: 10.1002/ptr.7754. Epub 2023 Feb 8.
3
Epigenetic and post-translational modifications in autophagy: biological functions and therapeutic targets.
自噬中的表观遗传和翻译后修饰:生物学功能和治疗靶点。
Signal Transduct Target Ther. 2023 Jan 16;8(1):32. doi: 10.1038/s41392-022-01300-8.
4
Direct Oral Anticoagulants (DOACs) for Therapeutic Targeting of Thrombin, a Key Mediator of Cerebrovascular and Neuronal Dysfunction in Alzheimer's Disease.直接口服抗凝剂(DOACs)用于靶向治疗凝血酶,凝血酶是阿尔茨海默病脑血管和神经元功能障碍的关键介质。
Biomedicines. 2022 Aug 4;10(8):1890. doi: 10.3390/biomedicines10081890.
5
Emerging roles of extracellular vesicle-associated non-coding RNAs in hypoxia: Insights from cancer, myocardial infarction and ischemic stroke.外泌体相关非编码 RNA 在缺氧中的新兴作用:来自癌症、心肌梗死和缺血性中风的研究进展。
Theranostics. 2022 Jul 18;12(13):5776-5802. doi: 10.7150/thno.73931. eCollection 2022.
6
Protective Effect of Resveratrol against Hypoxia-Induced Neural Oxidative Stress.白藜芦醇对缺氧诱导的神经氧化应激的保护作用
J Pers Med. 2022 Jul 23;12(8):1202. doi: 10.3390/jpm12081202.
7
VGF: A prospective biomarker and therapeutic target for neuroendocrine and nervous system disorders.VGF:神经内分泌和神经系统疾病的前瞻性生物标志物和治疗靶点。
Biomed Pharmacother. 2022 Jul;151:113099. doi: 10.1016/j.biopha.2022.113099. Epub 2022 May 17.
8
β-Hydroxybutyric acid attenuates heat stress-induced neuroinflammation via inhibiting TLR4/p38 MAPK and NF-κB pathways in the hippocampus.β-羟基丁酸通过抑制海马体中的 TLR4/p38 MAPK 和 NF-κB 通路来减轻热应激引起的神经炎症。
FASEB J. 2022 Apr;36(4):e22264. doi: 10.1096/fj.202101469RR.
9
Neuronal injuries in cerebral infarction and ischemic stroke: From mechanisms to treatment (Review).脑梗死和缺血性脑卒中的神经元损伤:从机制到治疗(综述)。
Int J Mol Med. 2022 Feb;49(2). doi: 10.3892/ijmm.2021.5070. Epub 2021 Dec 8.
10
Mitochondrial quality control in acute ischemic stroke.急性缺血性脑卒中的线粒体质量控制。
J Cereb Blood Flow Metab. 2021 Dec;41(12):3157-3170. doi: 10.1177/0271678X211046992. Epub 2021 Sep 22.