Athanaselis Efstratios D, Koskiniotis Alexandros, Sourmenidi Aikaterini, Konstantinou Efstathios, Zacharouli Konstantina, Hantes Michael, Karachalios Theofilos, Varitimidis Sokratis
Department of Orthopaedic Surgery and Musculoskeletal Trauma, University Hospital of Larissa, Larissa, Thessaly, Greece.
Department of Pathology, Faculty of Medicine, School of Health Sciences, University of Thessaly, University Hospital of Larissa, Larissa, Thessaly, Greece.
Strategies Trauma Limb Reconstr. 2024 Sep-Dec;19(3):149-155. doi: 10.5005/jp-journals-10080-1627. Epub 2025 Mar 20.
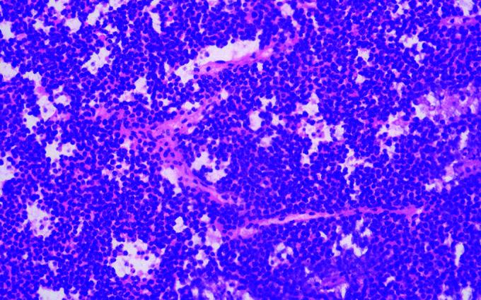
There is a relatively high incidence of patients recalling an injury before the appearance of a musculoskeletal (MSK) mass, especially in the hand and upper limb. Despite numerous reports of such cases, no clear pathogenetic mechanism has been elucidated to explain this. A tumour may be pre-existing, with the injury bringing the patient's attention to it, or develop coincidently following trauma. Alternatively, injury or the resultant reparative mechanisms may initiate or accelerate tumour formation. Following such a case presenting to our unit, a narrative review of the literature was conducted to determine what evidence existed to support or refute these hypotheses. This is presented along with the case. Though trauma as a cause of MSK tumours cannot be excluded, there is a lack of scientific evidence to support this theory, and further research in the field of pathophysiology and molecular biology is necessary. It is important that clinicians caring for trauma patients maintain a high index of suspicion for alternate diagnoses. A local injury may mask tumour development and lead to the incorrect conclusion that persistent symptoms are the result of failure to recover from the injury, rather than having a more sinister explanation.
Athanaselis ED, Koskiniotis A, Sourmenidi A, . Is there an Association between Trauma and Musculoskeletal Tumours? A Review of the Literature. Strategies Trauma Limb Reconstr 2024;19(3):149-155.
有相当一部分患者在肌肉骨骼(MSK)肿块出现之前回忆起曾受过伤,尤其是在手和上肢部位。尽管有许多此类病例的报告,但尚未阐明明确的致病机制来解释这一现象。肿瘤可能原本就存在,受伤使患者注意到它,或者在创伤后 coincidently 发生。或者,损伤或由此产生的修复机制可能引发或加速肿瘤形成。在我们科室遇到这样一个病例后,对文献进行了叙述性综述,以确定有哪些证据支持或反驳这些假设。现将其与病例一同呈现。虽然不能排除创伤是MSK肿瘤的病因,但缺乏科学证据支持这一理论,因此在病理生理学和分子生物学领域有必要进行进一步研究。重要的是,治疗创伤患者的临床医生要对其他诊断保持高度怀疑。局部损伤可能掩盖肿瘤的发展,并导致错误的结论,即持续症状是受伤后未能恢复的结果,而不是有更险恶的原因。
Athanaselis ED,Koskiniotis A,Sourmenidi A, 。创伤与肌肉骨骼肿瘤之间有关联吗?文献综述。创伤肢体重建策略2024;19(3):149 - 155。
原文中“coincidently”拼写有误,可能是“coincidentally”。