Suppr超能文献

术前采用低剂量糖皮质激素治疗胸腺瘤以实现显著肿瘤缩小:一例报告

Treatment of thymoma with low-dose glucocorticoids before surgery for significant tumor shrinkage: A case report.

作者信息

Yao Jin-Kun, He Zi-Yi, Zhu Zheng, Huang Hai-Tao

机构信息

Department of Thoracic Surgery, The First Affiliated Hospital of Soochow University, Suzhou 215000, Jiangsu Province, China.

Department of Thoracic Surgery, The Fourth Affiliated Hospital of Soochow University, Suzhou 215000, Jiangsu Province, China.

出版信息

World J Clin Cases. 2025 Apr 16;13(11):98979. doi: 10.12998/wjcc.v13.i11.98979.

Abstract

BACKGROUND

Thymic epithelial neoplasms are rare malignant neoplasms originating in the thymus gland. There have been case reports of patients with advanced thymomas treated with a methylprednisolone pulse or with glucocorticoid (GCs) shock before surgery, followed by surgical treatment, all of whom achieved good results. The effect of GCs on thymomas is related mainly to the action on GC receptors in thymic lymphocytes and epithelial cells. GC receptor expression has been associated with a better prognosis in patients with thymomas, including those with surgically removed thymomas.

CASE SUMMARY

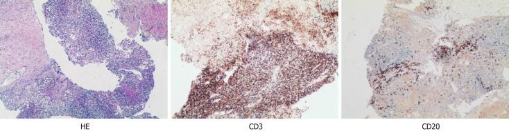
We report a case of a patient with thymoma who had a significant response to preoperative low-dose GC therapy. A mediastinal tumor was detected in the patient computerized tomography upon admission. The tumor was initially suspected to be a thymic tumor, but lymphoma could not be ruled out. The tumor shrank significantly after low-dose (5 mg/day) GC therapy. Thoracoscopic thymoma resection was performed after puncture pathology was confirmed. The patient recovered well after the operation and is currently performing well with no recurrence of the tumor.

CONCLUSION

This case highlights that low-dose GCs are effective in the treatment of thymomas, and we believe that GCs should be applied more frequently and studied more thoroughly in the treatment of thymomas.

摘要

背景

胸腺上皮肿瘤是起源于胸腺的罕见恶性肿瘤。有病例报告称,晚期胸腺瘤患者在手术前接受甲泼尼龙冲击或糖皮质激素(GCs)休克治疗,随后进行手术治疗,所有患者均取得了良好效果。GCs对胸腺瘤的作用主要与对胸腺淋巴细胞和上皮细胞中GC受体的作用有关。GC受体表达与胸腺瘤患者(包括接受手术切除胸腺瘤的患者)的较好预后相关。

病例摘要

我们报告一例胸腺瘤患者对术前低剂量GC治疗有显著反应的病例。患者入院时经计算机断层扫描发现纵隔肿瘤。该肿瘤最初怀疑是胸腺肿瘤,但不能排除淋巴瘤。低剂量(5毫克/天)GC治疗后肿瘤显著缩小。穿刺病理确诊后行胸腔镜胸腺瘤切除术。患者术后恢复良好,目前情况良好,肿瘤无复发。

结论

本病例表明低剂量GCs对胸腺瘤治疗有效,我们认为GCs在胸腺瘤治疗中应更频繁地应用并进行更深入的研究。

https://cdn.ncbi.nlm.nih.gov/pmc/blobs/da32/11718573/d8651cc32b62/98979-g001.jpg

文献AI研究员

20分钟写一篇综述,助力文献阅读效率提升50倍。

立即体验

用中文搜PubMed

大模型驱动的PubMed中文搜索引擎

马上搜索

文档翻译

学术文献翻译模型,支持多种主流文档格式。

立即体验