• 文献检索
  • 文档翻译
  • 深度研究
  • 学术资讯
  • Suppr Zotero 插件Zotero 插件
  • 邀请有礼
  • 套餐&价格
  • 历史记录
应用&插件
Suppr Zotero 插件Zotero 插件浏览器插件Mac 客户端Windows 客户端微信小程序
定价
高级版会员购买积分包购买API积分包
服务
文献检索文档翻译深度研究API 文档MCP 服务
关于我们
关于 Suppr公司介绍联系我们用户协议隐私条款
关注我们

Suppr 超能文献

核心技术专利:CN118964589B侵权必究
粤ICP备2023148730 号-1Suppr @ 2026

文献检索

告别复杂PubMed语法,用中文像聊天一样搜索,搜遍4000万医学文献。AI智能推荐,让科研检索更轻松。

立即免费搜索

文件翻译

保留排版,准确专业,支持PDF/Word/PPT等文件格式,支持 12+语言互译。

免费翻译文档

深度研究

AI帮你快速写综述,25分钟生成高质量综述,智能提取关键信息,辅助科研写作。

立即免费体验

险中求生:原发性心脏淋巴瘤伴局部区域淋巴结受累并合并心包积液和心律失常

Surviving the Odds: Primary Cardiac Lymphoma With Locoregional Lymph Node Involvement Complicated by Pericardial Effusion and Arrhythmia.

作者信息

Bachour Kinan, Shah Sagar, Reichl Allison, Chia Jennifer, Shabsovich David S, Castillo Adrian, Cho Geoffrey

机构信息

Department of Cardiology, University of California Los Angeles, Los Angeles, USA.

Department of Gastroenterology, University of California Los Angeles, Los Angeles, USA.

出版信息

Cureus. 2025 Mar 22;17(3):e81012. doi: 10.7759/cureus.81012. eCollection 2025 Mar.

DOI:10.7759/cureus.81012
PMID:40264603
原文链接:https://pmc.ncbi.nlm.nih.gov/articles/PMC12011517/
Abstract

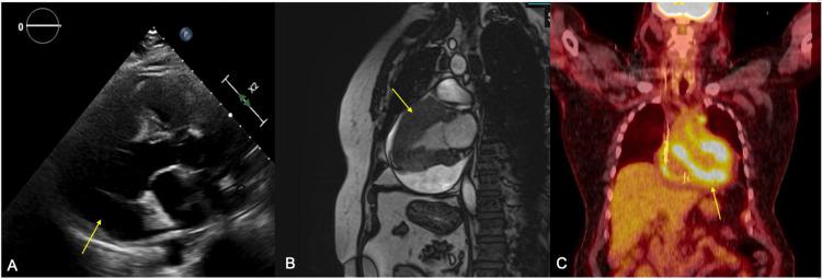
Primary cardiac lymphoma (PCL) is a rare malignant disease and its presentation varies depending on the degree of infiltration and location in the myocardium; hence its diagnosis can be challenging. We present a case of a 67-year-old otherwise healthy male who initially presented with recurrent syncope found to have a pericardial effusion and complete heart block. Paratracheal biopsy of a fluorodeoxyglucose (FDG)-avid lymph node was consistent with diffuse large B-cell lymphoma. Diagnosis is usually identified histologically, but imaging is key in guiding biopsy and monitoring disease regression. Chemotherapy is the mainstay of treatment. In this case report, we present a unique presentation of primary cardiac lymphoma presenting as complete heart block with extra-cardiac lymph node involvement and review its management.

摘要

原发性心脏淋巴瘤(PCL)是一种罕见的恶性疾病,其表现因心肌浸润程度和位置而异;因此,其诊断可能具有挑战性。我们报告一例67岁的健康男性,最初表现为反复晕厥,发现有心包积液和完全性心脏传导阻滞。对氟脱氧葡萄糖(FDG)摄取阳性的气管旁淋巴结进行活检,结果与弥漫性大B细胞淋巴瘤一致。诊断通常通过组织学确定,但影像学在指导活检和监测疾病消退方面至关重要。化疗是主要的治疗方法。在本病例报告中,我们展示了原发性心脏淋巴瘤以完全性心脏传导阻滞伴心脏外淋巴结受累的独特表现,并对其治疗进行了综述。

https://cdn.ncbi.nlm.nih.gov/pmc/blobs/9224/12011517/4c62e96ef5f4/cureus-0017-00000081012-i03.jpg
https://cdn.ncbi.nlm.nih.gov/pmc/blobs/9224/12011517/a995420e1736/cureus-0017-00000081012-i01.jpg
https://cdn.ncbi.nlm.nih.gov/pmc/blobs/9224/12011517/5ab96cead58b/cureus-0017-00000081012-i02.jpg
https://cdn.ncbi.nlm.nih.gov/pmc/blobs/9224/12011517/4c62e96ef5f4/cureus-0017-00000081012-i03.jpg
https://cdn.ncbi.nlm.nih.gov/pmc/blobs/9224/12011517/a995420e1736/cureus-0017-00000081012-i01.jpg
https://cdn.ncbi.nlm.nih.gov/pmc/blobs/9224/12011517/5ab96cead58b/cureus-0017-00000081012-i02.jpg
https://cdn.ncbi.nlm.nih.gov/pmc/blobs/9224/12011517/4c62e96ef5f4/cureus-0017-00000081012-i03.jpg

相似文献

1
Surviving the Odds: Primary Cardiac Lymphoma With Locoregional Lymph Node Involvement Complicated by Pericardial Effusion and Arrhythmia.险中求生:原发性心脏淋巴瘤伴局部区域淋巴结受累并合并心包积液和心律失常
Cureus. 2025 Mar 22;17(3):e81012. doi: 10.7759/cureus.81012. eCollection 2025 Mar.
2
A Case of Low-Grade Primary Cardiac Lymphoma with Pericardial Effusion Diagnosed by Combined 18F-Fluorodeoxyglucose Positron Emission Tomography and Computed Tomography (FDG-PET/CT) Imaging and Effusion Cytology.一例经18F-氟脱氧葡萄糖正电子发射断层扫描与计算机断层扫描(FDG-PET/CT)成像及积液细胞学检查诊断的伴有心包积液的原发性低度心脏淋巴瘤病例
Am J Case Rep. 2018 Mar 14;19:292-295. doi: 10.12659/ajcr.908385.
3
Diffuse infiltrative primary cardiac lymphoma with delayed extracardiac involvement.弥漫浸润性原发性心脏淋巴瘤伴心脏外延迟受累。
Chonnam Med J. 2014 Apr;50(1):27-30. doi: 10.4068/cmj.2014.50.1.27. Epub 2014 Apr 22.
4
A case of complete atrioventricular block associated with primary cardiac lymphoma reversed without cardiac pacemaker implantation.原发性心脏淋巴瘤致完全性房室传导阻滞 1 例,未植入心脏起搏器而逆转。
J Int Med Res. 2022 Apr;50(4):3000605221089780. doi: 10.1177/03000605221089780.
5
Primary cardiac diffuse large B-cell lymphoma presenting with cardiac tamponade: a case report.以心脏压塞为表现的原发性心脏弥漫性大B细胞淋巴瘤:一例报告
Eur Heart J Case Rep. 2022 Apr 9;6(5):ytac151. doi: 10.1093/ehjcr/ytac151. eCollection 2022 May.
6
Primary lymphoma of the heart. A case report and review of the literature.原发性心脏淋巴瘤。一例病例报告及文献综述。
Leuk Res. 2002 Jan;26(1):117-20. doi: 10.1016/s0145-2126(01)00092-3.
7
[Primary cardiac lymphoma presenting with complete atrioventricular block. Case report and review of the literature].[以完全性房室传导阻滞为表现的原发性心脏淋巴瘤。病例报告及文献复习]
Ital Heart J Suppl. 2002 Oct;3(10):1047-50.
8
A rare primary pericardial DLBCL masquerading as an unexplained malignant pleural effusion in an elderly woman: A case report.一名老年女性中罕见的原发性心包弥漫性大B细胞淋巴瘤伪装成不明原因的恶性胸腔积液:病例报告
Ann Med Surg (Lond). 2022 Sep 9;82:104516. doi: 10.1016/j.amsu.2022.104516. eCollection 2022 Oct.
9
A rare case of primary cardiac diffuse large B-cell lymphoma imaged with F-FDG PET/CT: a case report and literature review.18F-FDG PET/CT成像的原发性心脏弥漫性大B细胞淋巴瘤罕见病例:病例报告及文献复习
Front Med (Lausanne). 2024 Mar 21;11:1373773. doi: 10.3389/fmed.2024.1373773. eCollection 2024.
10
A rare cardiac presentation of a lymphoma: case report.淋巴瘤罕见的心脏表现:病例报告
Eur Heart J Case Rep. 2024 Dec 13;9(1):ytae663. doi: 10.1093/ehjcr/ytae663. eCollection 2025 Jan.

本文引用的文献

1
Case Report: Cardiac Involvement by Lymphoma: Rare but Heterogeneous Condition With Challenging Behaviors.病例报告:淋巴瘤累及心脏:罕见但异质性的疾病,具有挑战性的表现。
Front Oncol. 2021 Apr 27;11:665736. doi: 10.3389/fonc.2021.665736. eCollection 2021.
2
and atypical/unbalanced gene rearrangements in diffuse large B-cell lymphoma are indicators of an aggressive clinical course.弥漫性大 B 细胞淋巴瘤中出现非典型/不平衡的基因重排是侵袭性临床病程的指标。
J Clin Pathol. 2021 Oct;74(10):650-656. doi: 10.1136/jclinpath-2020-206767. Epub 2020 Sep 10.
3
Primary cardiac B-cell lymphoma with atrioventricular block and paroxysmal ventricular tachycardia.
原发性心脏B细胞淋巴瘤伴房室传导阻滞和阵发性室性心动过速。
J Cardiothorac Surg. 2012 Jul 18;7:70. doi: 10.1186/1749-8090-7-70.
4
Primary cardiac lymphoma: an analysis of presentation, treatment, and outcome patterns.原发性心脏淋巴瘤:临床表现、治疗和预后模式分析。
Cancer. 2011 Feb 1;117(3):581-9. doi: 10.1002/cncr.25444. Epub 2010 Oct 4.
5
Primary cardiac diffuse large B cell lymphoma presenting with superior vena cava syndrome.以腔静脉综合征为表现的原发性心脏弥漫性大B细胞淋巴瘤
Can J Cardiol. 2009 Jun;25(6):e210-2. doi: 10.1016/s0828-282x(09)70110-2.
6
Clinical perspectives of primary cardiac lymphoma.原发性心脏淋巴瘤的临床观点
Angiology. 2003 Sep-Oct;54(5):599-604. doi: 10.1177/000331970305400510.
7
Frequency of primary tumors of the heart.心脏原发性肿瘤的发病率。
Am J Cardiol. 1996 Jan 1;77(1):107. doi: 10.1016/s0002-9149(97)89149-7.
8
Primary cardiac lymphoma.
Cancer. 1989 Jul 15;64(2):521-5. doi: 10.1002/1097-0142(19890715)64:2<521::aid-cncr2820640227>3.0.co;2-t.
9
Primary cardiac lymphoma.原发性心脏淋巴瘤
Am J Clin Oncol. 1991 Apr;14(2):142-5. doi: 10.1097/00000421-199104000-00009.