Suppr超能文献

缺氧和一氧化碳对培养的猪和牛主动脉内皮细胞胶原蛋白合成的影响。

Effect of hypoxia and carbon monoxide on collagen synthesis in cultured porcine and bovine aortic endothelium.

作者信息

Levene C I, Bartlet C P, Fornieri C, Heale G

出版信息

Br J Exp Pathol. 1985 Aug;66(4):399-408.

Abstract

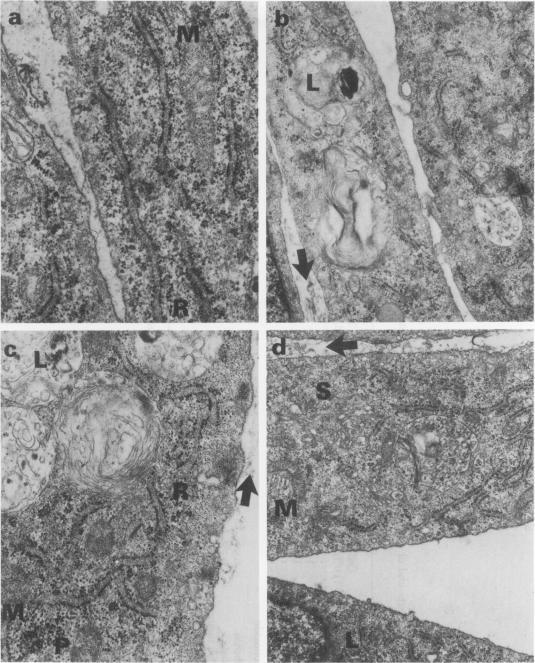
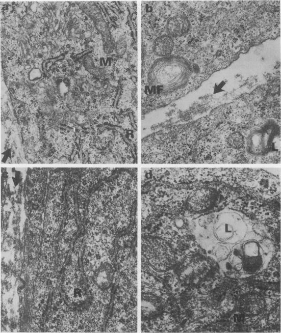
The cell layers and medium of cultured porcine and bovine aortic endothelium have been examined to test the effects of 24 h treatment with two factors associated with cigarette smoke--hypoxia and carbon monoxide, on cell numbers, total protein including collagen/10(6) cells, collagen type profile and ultrastructure. The most significant findings were that the responses varied with the species and that the effects on protein synthesis including collagen differed depending on the nature of the insult; in general, moreover carbon monoxide tended to reverse the action of hypoxia, a finding supported by ultrastructural evidence. The phenotypic collagen profiles were unaffected by either hypoxia or carbon monoxide.

摘要

已对培养的猪和牛主动脉内皮细胞层及培养基进行了检测,以测试与香烟烟雾相关的两个因素——缺氧和一氧化碳,对细胞数量、包括胶原蛋白在内的每10⁶个细胞的总蛋白量、胶原蛋白类型谱以及超微结构进行24小时处理后的影响。最显著的发现是,反应因物种而异,并且对包括胶原蛋白在内的蛋白质合成的影响因损伤性质不同而有所差异;此外,一般而言,一氧化碳倾向于逆转缺氧的作用,这一发现得到了超微结构证据的支持。缺氧和一氧化碳均未影响表型胶原蛋白谱。

https://cdn.ncbi.nlm.nih.gov/pmc/blobs/0cc4/2041099/50bc2a8dd221/brjexppathol00088-0020-a.jpg

文献检索

告别复杂PubMed语法,用中文像聊天一样搜索,搜遍4000万医学文献。AI智能推荐,让科研检索更轻松。

立即免费搜索

文件翻译

保留排版,准确专业,支持PDF/Word/PPT等文件格式,支持 12+语言互译。

免费翻译文档

深度研究

AI帮你快速写综述,25分钟生成高质量综述,智能提取关键信息,辅助科研写作。

立即免费体验