Suppr超能文献

Identification of the connective tissues synthesized by the venous and arterial endothelia of the human umbilical cord: a comparative study.

作者信息

Levene C I, Bartlet C P, Heale G

机构信息

Department of Pathology, University of Cambridge, UK.

出版信息

Br J Exp Pathol. 1988 Apr;69(2):177-88.

Abstract

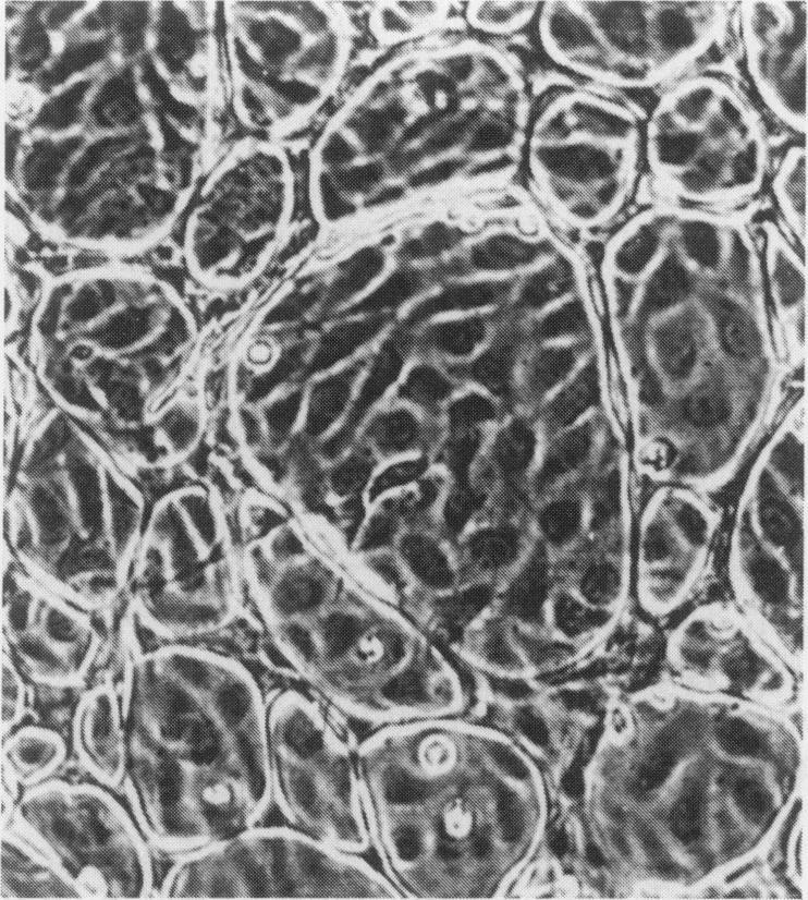
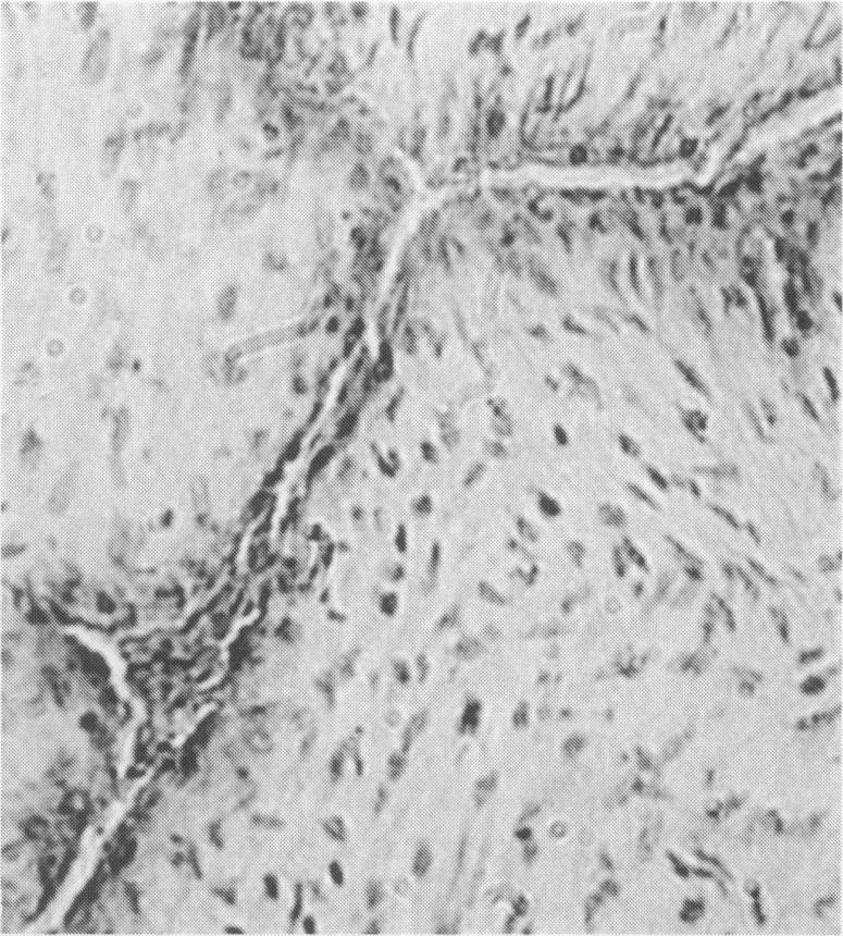
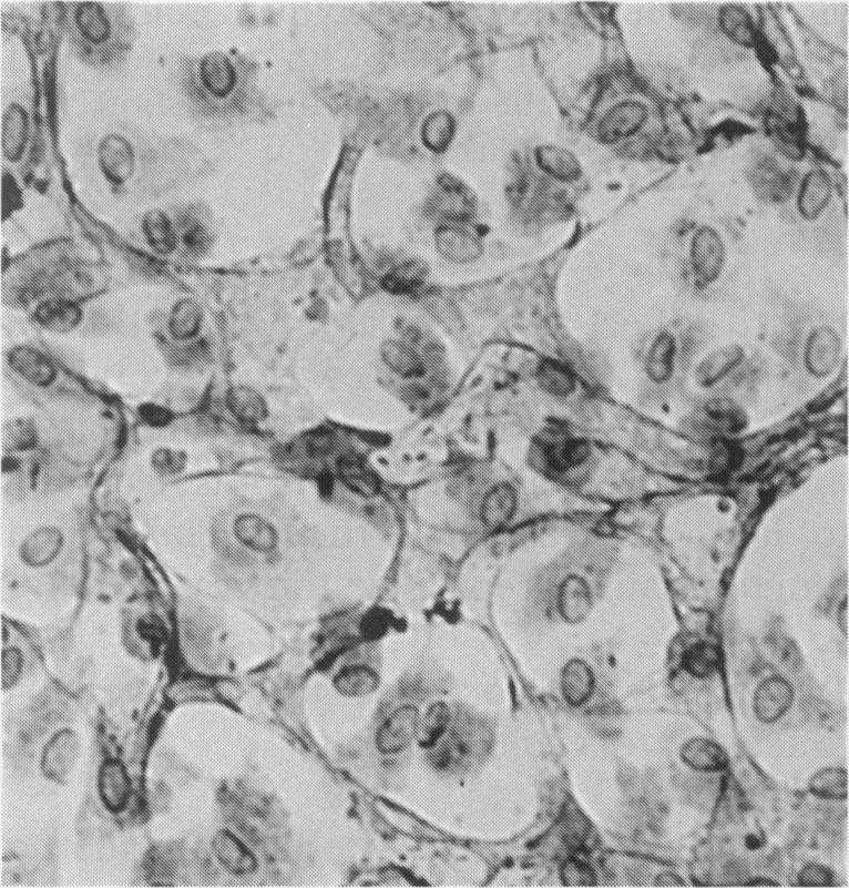
Immunocytochemistry has been used to identify endothelial cells in sections of human umbilical cord and in cultures of the venous and arterial endothelium, using Factor VIII and Ulex europaeus as endothelial markers. The connective tissue components, including various collagen types, fibronectin and laminin, were identified and localized in the cord and in both venous and arterial cultured endothelium. Interstitial collagens synthesized by the cultured cells were isolated and quantified. Angiogenic ability was examined. The effect of a noxious stimulus, 24 h hypoxia, was quantified in cultured venous endothelium. The results showed that cultured arterial endothelium possesses a vacuolated cytoplasm which is absent in venous endothelium. The major collagens observed in venous culture were types III and V; the latter was found mainly in the cell layer. Venous endothelium was angiogenic. It responded to hypoxia by producing fewer cells, more protein/10(6) cells but less collagen, both in absolute terms and as a percentage of protein/10(6) cells, thus behaving like cultured porcine and bovine aortic endothelium. Fibronectin was the major 'glue' associated with endothelium. We conclude that culture can reveal the synthetic potential of endothelium which the cord itself does not often show; moreover culture appears essential to demonstrate that arterial and venous endothelium behave differently from each other.

摘要
https://cdn.ncbi.nlm.nih.gov/pmc/blobs/dd7f/2013220/33ffafefe2ee/brjexppathol00002-0027-a.jpg

文献AI研究员

20分钟写一篇综述,助力文献阅读效率提升50倍。

立即体验

用中文搜PubMed

大模型驱动的PubMed中文搜索引擎

马上搜索

文档翻译

学术文献翻译模型,支持多种主流文档格式。

立即体验