• 文献检索
  • 文档翻译
  • 深度研究
  • 学术资讯
  • Suppr Zotero 插件Zotero 插件
  • 邀请有礼
  • 套餐&价格
  • 历史记录
应用&插件
Suppr Zotero 插件Zotero 插件浏览器插件Mac 客户端Windows 客户端微信小程序
定价
高级版会员购买积分包购买API积分包
服务
文献检索文档翻译深度研究API 文档MCP 服务
关于我们
关于 Suppr公司介绍联系我们用户协议隐私条款
关注我们

Suppr 超能文献

核心技术专利:CN118964589B侵权必究
粤ICP备2023148730 号-1Suppr @ 2026

文献检索

告别复杂PubMed语法,用中文像聊天一样搜索,搜遍4000万医学文献。AI智能推荐,让科研检索更轻松。

立即免费搜索

文件翻译

保留排版,准确专业,支持PDF/Word/PPT等文件格式,支持 12+语言互译。

免费翻译文档

深度研究

AI帮你快速写综述,25分钟生成高质量综述,智能提取关键信息,辅助科研写作。

立即免费体验

一例腹腔血管畸形的病例报告

A Case Report on a Vascular Malformation in the Abdominal Cavity.

作者信息

Wang Nathaniel Z, Blanchard Nathaniel G, Cummings Abby L, Kowalski Paul, DeJong Joyce, McMillan William, Geske Nicole L, Bradley Libby J

机构信息

Radiology, College of Osteopathic Medicine, Michigan State University, East Lansing, USA.

Radiology, Michigan State University, East Lansing, USA.

出版信息

Cureus. 2025 Mar 28;17(3):e81366. doi: 10.7759/cureus.81366. eCollection 2025 Mar.

DOI:10.7759/cureus.81366
PMID:40291280
原文链接:https://pmc.ncbi.nlm.nih.gov/articles/PMC12034318/
Abstract

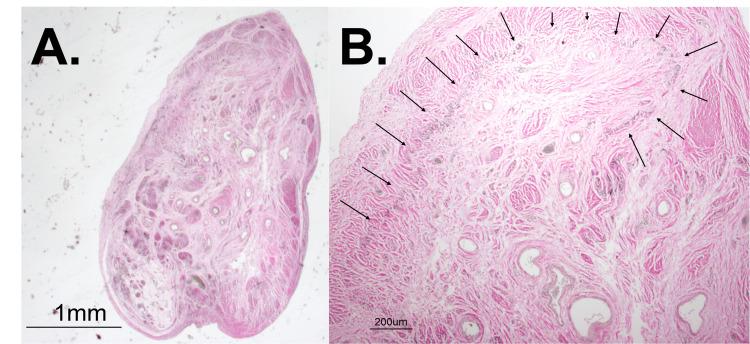
This case study presents the routine prosection findings of a 93-year-old male anatomical donor. A detailed examination of the abdomen revealed a fibrotic-like tissue stemming from the sigmoid colon to the peritoneum of the lower left anterior abdominal wall, 4 cm inferior to the left arcuate line. In total, the anomalous tissue measured 12 cm in length. Other noticeable pathological features included diverticulosis of the sigmoid colon and a left inguinal hernia. Gross anatomical and histopathological findings suggest that the tissue is a vascular malformation (VM). It is imperative to share our comprehensive findings with the medical community so that collaborations between surgeons and pathologists can provide optimal care for patients with similar anatomical findings.

摘要

本病例研究展示了一名93岁男性解剖学捐赠者的常规解剖结果。对腹部进行详细检查发现,从乙状结肠到左下腹前壁腹膜有类似纤维化的组织,位于左弓状线下方4厘米处。该异常组织总长12厘米。其他明显的病理特征包括乙状结肠憩室病和左侧腹股沟疝。大体解剖和组织病理学结果表明,该组织是一种血管畸形(VM)。必须与医学界分享我们的全面发现,以便外科医生和病理学家之间的合作能够为有类似解剖学发现的患者提供最佳治疗。

https://cdn.ncbi.nlm.nih.gov/pmc/blobs/9e3f/12034318/db63955e27c9/cureus-0017-00000081366-i05.jpg
https://cdn.ncbi.nlm.nih.gov/pmc/blobs/9e3f/12034318/048166c6921a/cureus-0017-00000081366-i01.jpg
https://cdn.ncbi.nlm.nih.gov/pmc/blobs/9e3f/12034318/1affc213d826/cureus-0017-00000081366-i02.jpg
https://cdn.ncbi.nlm.nih.gov/pmc/blobs/9e3f/12034318/3a0334950e90/cureus-0017-00000081366-i03.jpg
https://cdn.ncbi.nlm.nih.gov/pmc/blobs/9e3f/12034318/3f11ed005b20/cureus-0017-00000081366-i04.jpg
https://cdn.ncbi.nlm.nih.gov/pmc/blobs/9e3f/12034318/db63955e27c9/cureus-0017-00000081366-i05.jpg
https://cdn.ncbi.nlm.nih.gov/pmc/blobs/9e3f/12034318/048166c6921a/cureus-0017-00000081366-i01.jpg
https://cdn.ncbi.nlm.nih.gov/pmc/blobs/9e3f/12034318/1affc213d826/cureus-0017-00000081366-i02.jpg
https://cdn.ncbi.nlm.nih.gov/pmc/blobs/9e3f/12034318/3a0334950e90/cureus-0017-00000081366-i03.jpg
https://cdn.ncbi.nlm.nih.gov/pmc/blobs/9e3f/12034318/3f11ed005b20/cureus-0017-00000081366-i04.jpg
https://cdn.ncbi.nlm.nih.gov/pmc/blobs/9e3f/12034318/db63955e27c9/cureus-0017-00000081366-i05.jpg

相似文献

1
A Case Report on a Vascular Malformation in the Abdominal Cavity.一例腹腔血管畸形的病例报告
Cureus. 2025 Mar 28;17(3):e81366. doi: 10.7759/cureus.81366. eCollection 2025 Mar.
2
[Giant sigmoid colon diverticulum incarcerated in an inguinal hernia].[嵌顿于腹股沟疝内的巨大乙状结肠憩室]
Magy Seb. 2021 Nov 25;74(4):117-121. doi: 10.1556/1046.74.2021.4.3.
3
Incarcerated sigmoid colon cancer in an inguinal hernia sac associated with an abdominal wall abscess: a case report.腹股沟疝囊内伴腹壁脓肿的乙状结肠癌嵌顿:病例报告
Surg Case Rep. 2019 Dec 5;5(1):189. doi: 10.1186/s40792-019-0742-2.
4
Incarcerated incisional hernia of the sigmoid colon after appendectomy: A case report.阑尾切除术后乙状结肠嵌顿性切口疝:一例报告。
Int J Surg Case Rep. 2017;31:39-42. doi: 10.1016/j.ijscr.2017.01.006. Epub 2017 Jan 5.
5
Unusual metachronous isolated inguinal lymph node metastasis from adenocarcinoma of the sigmoid colon.乙状结肠癌异时性孤立性腹股沟淋巴结转移。
World J Surg Oncol. 2011 Oct 14;9:128. doi: 10.1186/1477-7819-9-128.
6
An Incarcerated Inguinal Hernia Masking a Reactive Nodular Fibrous Pseudotumor: A Case Report.隐匿反应性结节性纤维性假瘤的嵌顿性腹股沟疝:一例报告
Cureus. 2024 Nov 4;16(11):e73027. doi: 10.7759/cureus.73027. eCollection 2024 Nov.
7
Mesh migration into the sigmoid colon after inguinal hernia repair presenting as a colonic polyp: A case report and review of literature.腹股沟疝修补术后补片迁移至乙状结肠并表现为结肠息肉:一例病例报告及文献复习
World J Clin Cases. 2018 Oct 26;6(12):564-569. doi: 10.12998/wjcc.v6.i12.564.
8
Incarcerated right inguinal hernia containing sigmoid colon: An unusual case report.嵌顿性右腹股沟疝合并乙状结肠:一例罕见病例报告。
Int J Surg Case Rep. 2022 Jun;95:107237. doi: 10.1016/j.ijscr.2022.107237. Epub 2022 May 21.
9
A Canadian national survey: Perspectives on routine pathological examination of hernia sacs after inguinal hernia and hydrocele repair among pediatric urologists, surgeons, and pathologists.一项加拿大全国性调查:小儿泌尿科医师、外科医师和病理学家对腹股沟疝和鞘膜积液修补术后常规疝囊病理检查的看法。
J Pediatr Urol. 2022 Jun;18(3):335-339. doi: 10.1016/j.jpurol.2022.03.005. Epub 2022 Mar 14.
10
Megacolon as a Feature of Suspected Robinow Syndrome.巨结肠作为疑似鲁宾诺综合征的一个特征。
Cureus. 2022 Oct 25;14(10):e30663. doi: 10.7759/cureus.30663. eCollection 2022 Oct.

本文引用的文献

1
Vascular Malformations: A Histopathologic and Conceptual Appraisal.血管畸形:组织病理学与概念评估
Actas Dermosifiliogr. 2023 Mar;114(3):213-228. doi: 10.1016/j.ad.2022.10.035. Epub 2022 Oct 26.
2
Colonic Polypoid Arteriovenous Malformation Causing Symptomatic Anemia.引起症状性贫血的结肠息肉样动静脉畸形
ACG Case Rep J. 2019 Oct 22;6(10):e00241. doi: 10.14309/crj.0000000000000241. eCollection 2019 Oct.
3
Vascular malformations: classification, diagnosis and treatment.血管畸形:分类、诊断与治疗
Int Angiol. 2018 Apr;37(2):127-142. doi: 10.23736/S0392-9590.18.03961-5. Epub 2018 Feb 8.
4
Abdominal adhesions: A practical review of an often overlooked entity.腹部粘连:对一个常被忽视的病症的实用综述
Ann Med Surg (Lond). 2017 Jan 31;15:9-13. doi: 10.1016/j.amsu.2017.01.021. eCollection 2017 Mar.
5
Mesothelial cells and peritoneal homeostasis.间皮细胞与腹膜稳态。
Fertil Steril. 2016 Oct;106(5):1018-1024. doi: 10.1016/j.fertnstert.2016.09.005.
6
Vascular malformations: a review.血管畸形:综述。
Semin Plast Surg. 2014 May;28(2):58-63. doi: 10.1055/s-0034-1376263.
7
Outcomes of sclerotherapy and embolization for arteriovenous and venous malformations.硬化治疗和栓塞治疗动静脉畸形和静脉畸形的结果。
Semin Vasc Surg. 2013 Mar;26(1):48-54. doi: 10.1053/j.semvascsurg.2013.04.001.
8
Cecal polypoid arteriovenous malformations removed by endoscopic biopsy.经内镜活检切除的盲肠息肉样动静脉畸形
J Korean Med Sci. 2009 Apr;24(2):342-5. doi: 10.3346/jkms.2009.24.2.342. Epub 2009 Apr 20.
9
Colonoscopic removal of a polypoid arteriovenous malformation.结肠镜下切除息肉样动静脉畸形。
Dig Liver Dis. 2001 Jun-Jul;33(5):435-7. doi: 10.1016/1590-8658(94)80017-7.