Suppr超能文献

减轻鹌鹑体内T-2毒素的毒性:丁酸钠的保护作用。

Mitigating T-2 toxin toxicity in Quail: The protective power of sodium butyrate.

作者信息

Song Huanni, Zhu Xueyan, Hua Weiping, He Yihao, Liu Yang, Cao Changyu

机构信息

College of Animal Science and Technology, Foshan University, Foshan, Guangdong, 528231, PR China.

School of Food Science and Engineering, Foshan University, Quality Control Technical Center (Foshan) of National Famous and Special Agricultural Products (CAQS-GAP-KZZX043), PR China.

出版信息

Poult Sci. 2025 Apr 18;104(7):105186. doi: 10.1016/j.psj.2025.105186.

Abstract

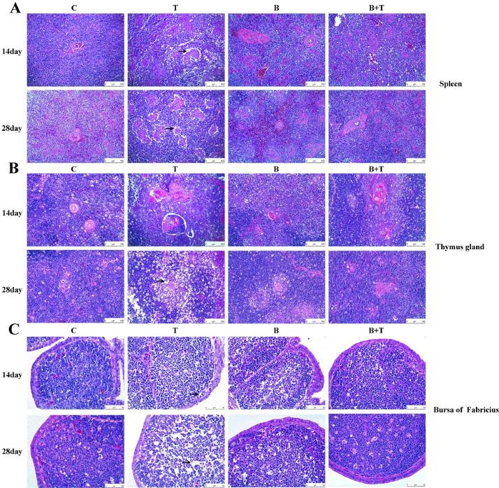
As one of the most common worldwide contaminants in agricultural production, the T-2 mycotoxin is commonly found in moldy feed and its raw materials. It can slow the growth and suppress the immune function of farm animals, resulting in reduced economic benefits. As a feed additive, sodium butyrate can enhance immune function. However, the toxicological effects of the T-2 toxin on the spleen, thymus, and bursa of Fabricius and the protective mechanism of sodium butyrate against the T-2 toxin in quails are not known. In this study, 1-day-old Korean quails were fed either with T-2 toxin (0.9 mg/kg) spiked food or with spiked food and sodium butyrate (500 mg/kg) as an antagonist, to construct an experimental animal model. Histopathological changes in the immune organs (spleen, thymus, and bursa of Fabricius) of the quails under sub-chronic toxicity of T-2 toxin were observed after 28 days of continuous treatment. The effects of the T-2 toxin and sodium butyrate on the fibrosis of the immune organs were investigated by MASSON staining and fibrosis gene expression, while the effects of the T-2 toxin and sodium butyrate on apoptosis of the immune organs were investigated by TUNEL assay. The expression of apoptosis-related genes was also measured to evaluate the effects of the T-2 toxin on pathological damage, fibrosis, apoptosis, and CYP450 homeostasis while the antagonistic effect of sodium butyrate on the quail immune organs was also measured. Results showed that sodium butyrate could effectively alleviate pathological damage, fibrosis, apoptosis, abnormal activation of the heterologous nuclear receptor pathway, and the disruption of CYP450 homeostasis induced by the T-2 toxin in quail immune organs.

摘要

作为农业生产中全球最常见的污染物之一,T-2霉菌毒素常见于发霉的饲料及其原料中。它会减缓家畜生长并抑制其免疫功能,导致经济效益降低。作为一种饲料添加剂,丁酸钠可以增强免疫功能。然而,T-2毒素对鹌鹑脾脏、胸腺和法氏囊的毒理学作用以及丁酸钠对T-2毒素的保护机制尚不清楚。在本研究中,给1日龄的韩国鹌鹑喂食添加了T-2毒素(0.9毫克/千克)的食物或添加了T-2毒素及作为拮抗剂的丁酸钠(500毫克/千克)的食物,以构建实验动物模型。连续处理28天后,观察T-2毒素亚慢性毒性作用下鹌鹑免疫器官(脾脏、胸腺和法氏囊)的组织病理学变化。通过MASSON染色和纤维化基因表达研究T-2毒素和丁酸钠对免疫器官纤维化的影响,同时通过TUNEL检测研究T-2毒素和丁酸钠对免疫器官细胞凋亡的影响。还检测了凋亡相关基因的表达,以评估T-2毒素对病理损伤、纤维化、细胞凋亡和CYP450稳态的影响,同时也检测了丁酸钠对鹌鹑免疫器官的拮抗作用。结果表明,丁酸钠可以有效减轻T-2毒素诱导的鹌鹑免疫器官的病理损伤、纤维化、细胞凋亡、异源核受体途径的异常激活以及CYP450稳态的破坏。

https://cdn.ncbi.nlm.nih.gov/pmc/blobs/3e4d/12056788/4effc611e570/gr1.jpg

文献检索

告别复杂PubMed语法,用中文像聊天一样搜索,搜遍4000万医学文献。AI智能推荐,让科研检索更轻松。

立即免费搜索

文件翻译

保留排版,准确专业,支持PDF/Word/PPT等文件格式,支持 12+语言互译。

免费翻译文档

深度研究

AI帮你快速写综述,25分钟生成高质量综述,智能提取关键信息,辅助科研写作。

立即免费体验