• 文献检索
  • 文档翻译
  • 深度研究
  • 学术资讯
  • Suppr Zotero 插件Zotero 插件
  • 邀请有礼
  • 套餐&价格
  • 历史记录
应用&插件
Suppr Zotero 插件Zotero 插件浏览器插件Mac 客户端Windows 客户端微信小程序
定价
高级版会员购买积分包购买API积分包
服务
文献检索文档翻译深度研究API 文档MCP 服务
关于我们
关于 Suppr公司介绍联系我们用户协议隐私条款
关注我们

Suppr 超能文献

核心技术专利:CN118964589B侵权必究
粤ICP备2023148730 号-1Suppr @ 2026

文献检索

告别复杂PubMed语法,用中文像聊天一样搜索,搜遍4000万医学文献。AI智能推荐,让科研检索更轻松。

立即免费搜索

文件翻译

保留排版,准确专业,支持PDF/Word/PPT等文件格式,支持 12+语言互译。

免费翻译文档

深度研究

AI帮你快速写综述,25分钟生成高质量综述,智能提取关键信息,辅助科研写作。

立即免费体验

膀胱增大伴多发巨大结石:一例报告

Multiple Giant Stones in an Augmented Bladder: A Case Report.

作者信息

Asutay Mehmet K, Kilinc Celal, Bozkurt Osman, Coktu Kutsan, Celik Serdar

机构信息

Urology, Mersin Tarsus State Hospital, Mersin, TUR.

出版信息

Cureus. 2025 Mar 29;17(3):e81430. doi: 10.7759/cureus.81430. eCollection 2025 Mar.

DOI:10.7759/cureus.81430
PMID:40296962
原文链接:https://pmc.ncbi.nlm.nih.gov/articles/PMC12037194/
Abstract

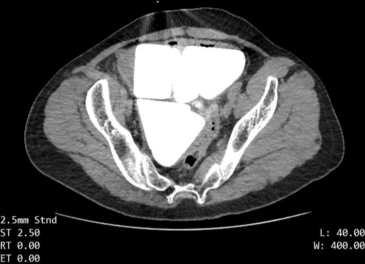
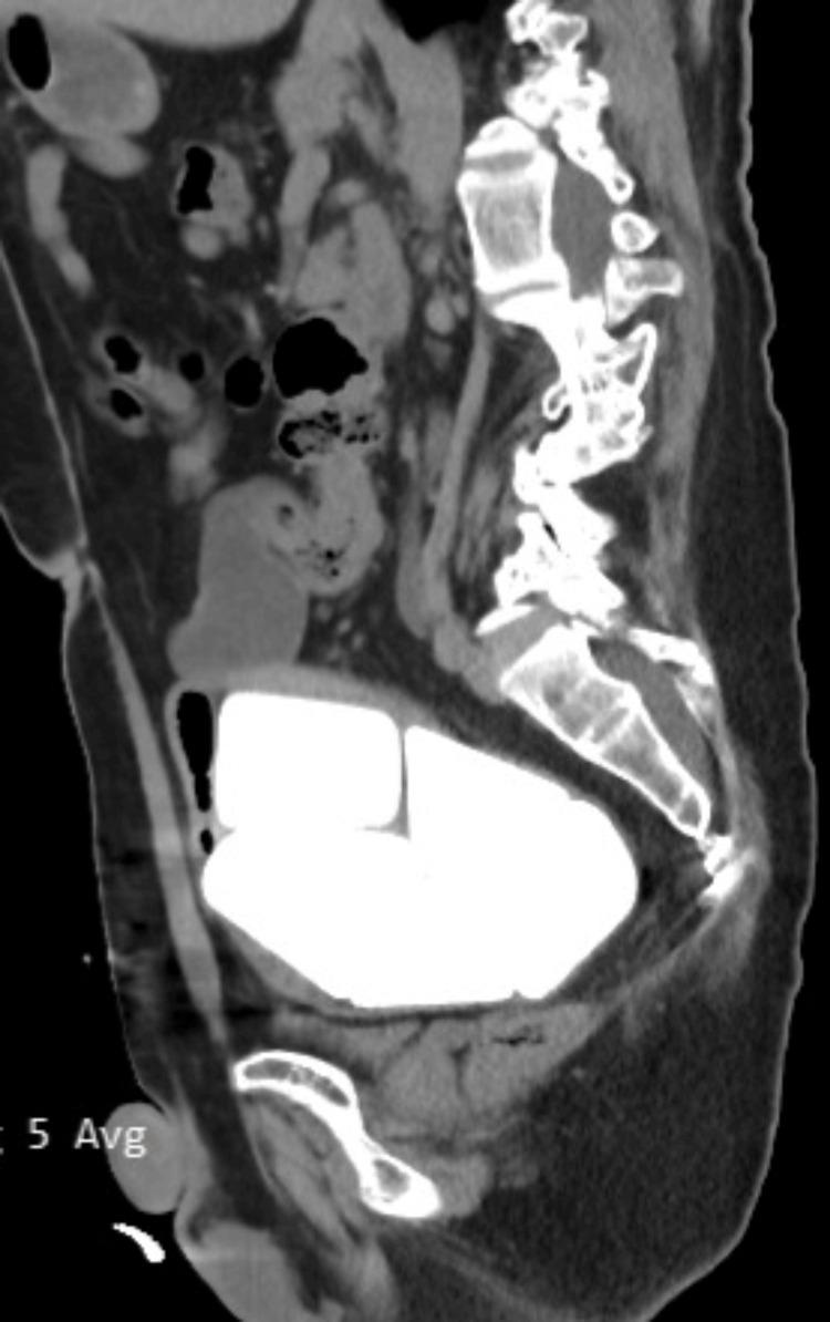
Bladder stones are a common finding in urology practice although they are less common when compared to kidney and ureteral stones. This case report involves a male patient in his 40s with multiple giant bladder stones. The patient had neurogenic bladder disease due to spina bifida and had a history of bladder augmentation with continent urinary diversion when he was a child. He presented with difficulty in emptying bladder with clean intermittent catheterization. Open cystolithotomy was performed and six giant stones, five pyramid-shaped stones and a cube-shaped stone with a maximum diameter of 7 cm, were removed from the bladder. In our opinion, the rare occurrence of a high stone burden, stone weight and size, and geometric shapes of stones makes this case interesting. The patient was discharged from the hospital on the 10th day after the surgery and there were no postoperative complications.

摘要

膀胱结石在泌尿外科临床实践中较为常见,尽管与肾结石和输尿管结石相比相对少见。本病例报告涉及一名40多岁的男性患者,患有多发巨大膀胱结石。该患者因脊柱裂患有神经源性膀胱疾病,儿童时期有膀胱扩大术及可控性尿流改道术史。他表现为通过清洁间歇性导尿排空膀胱困难。实施了开放性膀胱切开取石术,从膀胱中取出了6块巨大结石,其中5块为金字塔形结石,1块为最大直径达7厘米的立方体结石。我们认为,如此高的结石负荷、结石重量和大小以及罕见的结石几何形状,使得该病例颇具趣味性。患者术后第10天出院,无术后并发症。

https://cdn.ncbi.nlm.nih.gov/pmc/blobs/b37b/12037194/f29ddf1c4ad2/cureus-0017-00000081430-i04.jpg
https://cdn.ncbi.nlm.nih.gov/pmc/blobs/b37b/12037194/2b2dd61427fd/cureus-0017-00000081430-i01.jpg
https://cdn.ncbi.nlm.nih.gov/pmc/blobs/b37b/12037194/de80f9dd166d/cureus-0017-00000081430-i02.jpg
https://cdn.ncbi.nlm.nih.gov/pmc/blobs/b37b/12037194/6097e5599aec/cureus-0017-00000081430-i03.jpg
https://cdn.ncbi.nlm.nih.gov/pmc/blobs/b37b/12037194/f29ddf1c4ad2/cureus-0017-00000081430-i04.jpg
https://cdn.ncbi.nlm.nih.gov/pmc/blobs/b37b/12037194/2b2dd61427fd/cureus-0017-00000081430-i01.jpg
https://cdn.ncbi.nlm.nih.gov/pmc/blobs/b37b/12037194/de80f9dd166d/cureus-0017-00000081430-i02.jpg
https://cdn.ncbi.nlm.nih.gov/pmc/blobs/b37b/12037194/6097e5599aec/cureus-0017-00000081430-i03.jpg
https://cdn.ncbi.nlm.nih.gov/pmc/blobs/b37b/12037194/f29ddf1c4ad2/cureus-0017-00000081430-i04.jpg

相似文献

1
Multiple Giant Stones in an Augmented Bladder: A Case Report.膀胱增大伴多发巨大结石:一例报告
Cureus. 2025 Mar 29;17(3):e81430. doi: 10.7759/cureus.81430. eCollection 2025 Mar.
2
Giant Prostatic Stones and a Massive Bladder Stone Leading to Obstructive Uropathy: A Rare Case Report.巨大前列腺结石与巨大膀胱结石导致梗阻性尿路病:一例罕见病例报告
Cureus. 2023 Aug 8;15(8):e43176. doi: 10.7759/cureus.43176. eCollection 2023 Aug.
3
Giant bladder stone: A case report and review of the literature.巨大膀胱结石:一例病例报告及文献综述
Turk J Urol. 2014 Sep;40(3):189-91. doi: 10.5152/tud.2014.02603.
4
Giant bladder stone a rare cause of renal failure, a case report.巨大膀胱结石——肾衰竭的罕见病因:一例报告
Int J Surg Case Rep. 2023 Apr;105:108085. doi: 10.1016/j.ijscr.2023.108085. Epub 2023 Mar 29.
5
Extraction of a giant bladder stone (560 g) in a young female: A case report.一名年轻女性体内巨大膀胱结石(560克)的取出:病例报告。
Int J Surg Case Rep. 2024 Jun;119:109653. doi: 10.1016/j.ijscr.2024.109653. Epub 2024 Apr 20.
6
Neglected giant bladder stone with bilateral ureteral stones: A case report of staged surgical treatment.双侧输尿管结石合并巨大膀胱结石的诊治:分期手术治疗1例报告
Int J Surg Case Rep. 2025 Mar;128:110933. doi: 10.1016/j.ijscr.2025.110933. Epub 2025 Feb 4.
7
Large bladder stones in an augmented bladder - An open approach to a big problem.扩大膀胱内的巨大膀胱结石——解决一个重大问题的开放手术方法。
Urol Case Rep. 2023 Aug 17;50:102536. doi: 10.1016/j.eucr.2023.102536. eCollection 2023 Sep.
8
Giant Bladder Stone: A Case Report.巨大膀胱结石:一例报告
Cureus. 2022 May 29;14(5):e25439. doi: 10.7759/cureus.25439. eCollection 2022 May.
9
A Rare Case of a Giant Bladder Stone Associated With Post-obstructive Renal Failure Managed by Open Cystolithotomy.1例巨大膀胱结石合并梗阻后肾衰竭行开放性膀胱切开取石术的罕见病例
Cureus. 2023 May 30;15(5):e39718. doi: 10.7759/cureus.39718. eCollection 2023 May.
10
[Not Available].[无可用内容]。
Pan Afr Med J. 2018 Jan 3;29:4. doi: 10.11604/pamj.2018.29.4.14308. eCollection 2018.

本文引用的文献

1
Incidence of and Risk Factors for Urinary Stones Among Patients with Spinal Cord Injury: A Systematic Review with Meta-analysis.脊髓损伤患者尿路结石的发病率及危险因素:一项Meta分析的系统评价
Eur Urol Open Sci. 2024 Oct 22;70:79-85. doi: 10.1016/j.euros.2024.10.003. eCollection 2024 Dec.
2
Extraction of a giant bladder stone (560 g) in a young female: A case report.一名年轻女性体内巨大膀胱结石(560克)的取出:病例报告。
Int J Surg Case Rep. 2024 Jun;119:109653. doi: 10.1016/j.ijscr.2024.109653. Epub 2024 Apr 20.
3
Treatment of Bladder Stones in Adults and Children: A Systematic Review and Meta-analysis on Behalf of the European Association of Urology Urolithiasis Guideline Panel.
成人和儿童膀胱结石的治疗:代表欧洲泌尿外科学会结石病指南小组的系统评价和荟萃分析。
Eur Urol. 2019 Sep;76(3):352-367. doi: 10.1016/j.eururo.2019.06.018. Epub 2019 Jul 13.
4
Giant bladder stone with history of recurrence urinary tract infections: A rare case.有复发性尿路感染病史的巨大膀胱结石:1例罕见病例。
Urol Case Rep. 2019 Jun 12;26:100945. doi: 10.1016/j.eucr.2019.100945. eCollection 2019 Sep.
5
Long-term effectiveness and complication rates of bladder augmentation in patients with neurogenic bladder dysfunction: A systematic review.神经源性膀胱功能障碍患者膀胱扩大术的长期疗效和并发症发生率:一项系统评价。
Neurourol Urodyn. 2017 Sep;36(7):1685-1702. doi: 10.1002/nau.23205. Epub 2017 Feb 7.
6
The management of bladder lithiasis in the modern era of endourology.现代腔内泌尿学时代的膀胱结石症处理。
Urology. 2012 May;79(5):980-6. doi: 10.1016/j.urology.2011.09.014. Epub 2011 Nov 25.
7
Preventing reservoir calculi after augmentation cystoplasty and continent urinary diversion: the influence of an irrigation protocol.膀胱扩大成形术和可控性尿流改道术后预防贮尿囊结石:冲洗方案的影响
BJU Int. 2004 Mar;93(4):585-7. doi: 10.1111/j.1464-410x.2003.04664.x.
8
The vesical calculus.膀胱结石
Urol Clin North Am. 2000 May;27(2):333-46. doi: 10.1016/s0094-0143(05)70262-7.
9
Long-term results and complications of augmentation ileocystoplasty for idiopathic urge incontinence in women.女性特发性急迫性尿失禁回肠膀胱扩大术的长期结果及并发症
Br J Urol. 1998 Oct;82(4):609-10.
10
Chemical compositions of 300 lower urinary tract calculi and associated disorders in the urinary tract.300例下尿路结石的化学成分及相关泌尿系统疾病
Urol Int. 1995;54(2):89-94. doi: 10.1159/000282696.