Suppr超能文献

三阴性乳腺癌背景下的多形性腺瘤:一例报告

Pleomorphic Adenoma in the Setting of Triple-Negative Breast Cancer: A Case Report.

作者信息

Guo Michelle, Novo Jorge, Schacht David, Kulkarni Swati

机构信息

Department of Surgery Northwestern University Feinberg School of Medicine Chicago Illinois USA.

Department of Pathology Northwestern University Feinberg School of Medicine Chicago Illinois USA.

出版信息

Clin Case Rep. 2025 Apr 27;13(5):e70458. doi: 10.1002/ccr3.70458. eCollection 2025 May.

Abstract

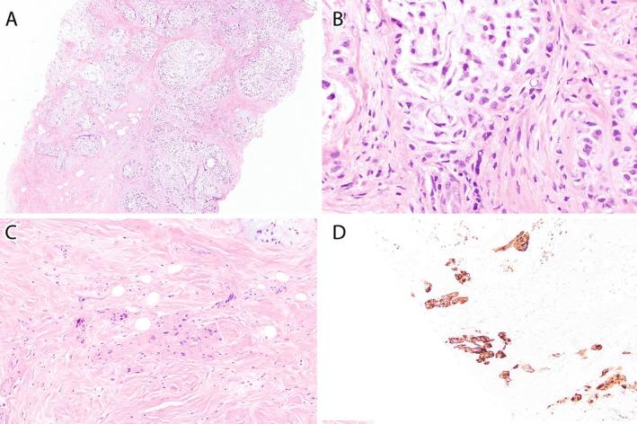
We report a case of a patient-detected breast mass that revealed invasive carcinoma adjacent to a pleomorphic adenoma, which was treated with wide local excision. This case report highlights the importance of careful pathologic evaluation to guide appropriate local and systemic therapy and avoid the potentially harmful effects of overtreatment.

摘要

我们报告一例患者自行发现的乳腺肿块病例,该肿块显示为多形性腺瘤旁的浸润性癌,采用了广泛局部切除术进行治疗。本病例报告强调了仔细的病理评估对于指导适当的局部和全身治疗以及避免过度治疗潜在有害影响的重要性。

https://cdn.ncbi.nlm.nih.gov/pmc/blobs/d1a2/12034744/996783f824be/CCR3-13-e70458-g003.jpg

文献检索

告别复杂PubMed语法,用中文像聊天一样搜索,搜遍4000万医学文献。AI智能推荐,让科研检索更轻松。

立即免费搜索

文件翻译

保留排版,准确专业,支持PDF/Word/PPT等文件格式,支持 12+语言互译。

免费翻译文档

深度研究

AI帮你快速写综述,25分钟生成高质量综述,智能提取关键信息,辅助科研写作。

立即免费体验