Ahmad Muhammad, Naumaan Anam, Munoz Zuluaga Carlos, Yoon Esther
Pathology and Laboratory Medicine, MD Anderson Cancer Center, Houston, USA.
Pathology and Laboratory Medicine, Weill Cornell Medicine/New York-Presbyterian Hospital, New York City, USA.
Cureus. 2023 May 10;15(5):e38827. doi: 10.7759/cureus.38827. eCollection 2023 May.
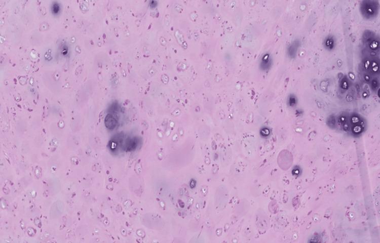
We report a rare case of pleomorphic adenoma (benign mixed tumor) of the breast in a 66-year-old female. A 5.5 cm hypoechoic mass with lobulated margins was noted on ultrasound. A biopsy showed an atypical cartilaginous lesion, leading to a subsequent segmental mastectomy, which was initially interpreted as metaplastic breast carcinoma. On the second review at our tertiary care center, a diagnosis of a pleomorphic adenoma was favored due to the circumscription and the benign epithelial component. Due to unfamiliarity with this entity, this neoplasm has occasionally been misdiagnosed clinically and even been overcalled on core needle biopsies. Careful clinical, radiological, and pathological correlation is required to avoid unnecessarily aggressive surgery, and a differential diagnosis of pleomorphic adenoma must be included in cases of well-demarcated breast masses showing myxoid or cartilaginous changes on core-needle biopsy.
我们报告了一例66岁女性乳腺多形性腺瘤(良性混合瘤)的罕见病例。超声检查发现一个5.5厘米、边缘呈分叶状的低回声肿块。活检显示为非典型软骨病变,随后进行了节段性乳房切除术,最初被诊断为化生性乳腺癌。在我们的三级医疗中心进行二次复查时,由于肿瘤的边界清晰以及存在良性上皮成分,更倾向于诊断为多形性腺瘤。由于对该实体不熟悉,这种肿瘤在临床上偶尔会被误诊,甚至在粗针活检时也会被过度诊断。需要仔细的临床、放射学和病理学相关性分析以避免不必要的激进手术,对于在粗针活检中显示黏液样或软骨样改变的边界清晰的乳腺肿块病例,必须考虑多形性腺瘤的鉴别诊断。