Suppr超能文献

本迪布焦病毒在家猪中的实验性感染导致病毒传播,并出现种内传播的证据。

Experimental Infection of Bundibugyo Virus in Domestic Swine Leads to Viral Shedding with Evidence of Intraspecies Transmission.

作者信息

Lewis Charles E, Pinette Mathieu M, Lakin Steven M, Smith Greg, Fisher Mathew, Moffat Estella, Embury-Hyatt Carissa, Pickering Brad S

机构信息

Department of Veterinary Microbiology and Preventive Medicine, College of Veterinary Medicine, Iowa State University, Ames, Iowa, USA.

Interdepartmental Microbiology Program, College of Agriculture and Life Sciences, Iowa State University, Ames, Iowa, USA.

出版信息

Transbound Emerg Dis. 2024 Jan 9;2024:5350769. doi: 10.1155/2024/5350769. eCollection 2024.

Abstract

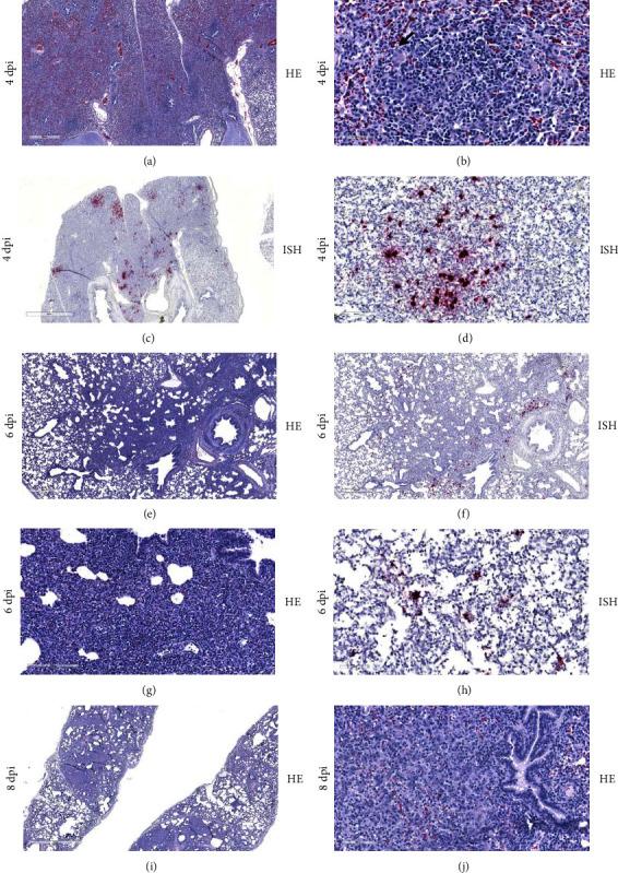
The genus contains several of the deadliest zoonotic viruses known. One of these, Bundibugyo virus (BDBV), has been the causative agent of two outbreaks of human disease that have resulted in 211 known cases with a case fatality rate of 33.6%. Although bats are routinely implicated as the possible reservoir species for the ebolaviruses, the source of infection for index cases in almost all outbreaks is unknown with only limited epidemiological evidence directly linking human cases to bats. This lack of evidence leaves open the possibility that maintenance of one or more of these viruses could involve multiple host species or more complex spillover dynamics. Domestic pigs have been found naturally infected with Reston virus (RESTV) and are experimentally susceptible to infection with Ebola virus (EBOV), two other members of the genus. Infection of pigs resulted in shedding of infectious virus with subsequent transmission to naïve animals being documented, including transmission to humans for RESTV and to nonhuman primates for EBOV. The susceptibility and subsequent viral shedding and pathogenesis of domestic pigs to other ebolaviruses and the potential role this species may play in virus ecology, spillover dynamics, and human public health risk is unknown. For these reasons, we conducted a series of studies aimed at determining the susceptibility of domestic pigs to BDBV thereby demonstrating that pigs are not only susceptible to experimental infection but that the development of productive infection, tissue dissemination, and shedding of infectious virus can also occur while animals remain clinically normal. The role of pigs as a possible interim or amplifying host for ebolaviruses is a concern for both human public health and food security.

摘要

该属包含几种已知的最致命的人畜共患病毒。其中之一,本迪布焦病毒(BDBV),是两次人类疾病暴发的病原体,已导致211例已知病例,病死率为33.6%。尽管蝙蝠通常被认为是埃博拉病毒的可能宿主物种,但几乎所有疫情中首例病例的感染源都不明,仅有有限的流行病学证据直接将人类病例与蝙蝠联系起来。缺乏这方面的证据使得这些病毒中的一种或多种的维持可能涉及多个宿主物种或更复杂的溢出动态这一可能性仍然存在。已发现家猪自然感染雷斯顿病毒(RESTV),并且在家猪身上进行实验时,它们对埃博拉病毒(EBOV)(该属的另外两个成员)易感。家猪感染后会排出传染性病毒,并记录到随后将病毒传播给未感染的动物,包括将RESTV传播给人类以及将EBOV传播给非人类灵长类动物。家猪对其他埃博拉病毒的易感性以及随后的病毒排出和发病机制,以及该物种在病毒生态学、溢出动态和人类公共卫生风险中可能发挥的潜在作用尚不清楚。出于这些原因,我们开展了一系列研究,旨在确定家猪对BDBV的易感性,从而证明猪不仅易受实验性感染,而且在动物保持临床正常时也会发生有效感染、组织扩散和传染性病毒排出情况。猪作为埃博拉病毒可能的中间宿主或扩增宿主的作用,对人类公共卫生和食品安全而言都是一个令人担忧的问题。

https://cdn.ncbi.nlm.nih.gov/pmc/blobs/ea5d/12017203/b38e0460f809/TBED2024-5350769.001.jpg

文献AI研究员

20分钟写一篇综述,助力文献阅读效率提升50倍。

立即体验

用中文搜PubMed

大模型驱动的PubMed中文搜索引擎

马上搜索

文档翻译

学术文献翻译模型,支持多种主流文档格式。

立即体验