• 文献检索
  • 文档翻译
  • 深度研究
  • 学术资讯
  • Suppr Zotero 插件Zotero 插件
  • 邀请有礼
  • 套餐&价格
  • 历史记录
应用&插件
Suppr Zotero 插件Zotero 插件浏览器插件Mac 客户端Windows 客户端微信小程序
定价
高级版会员购买积分包购买API积分包
服务
文献检索文档翻译深度研究API 文档MCP 服务
关于我们
关于 Suppr公司介绍联系我们用户协议隐私条款
关注我们

Suppr 超能文献

核心技术专利:CN118964589B侵权必究
粤ICP备2023148730 号-1Suppr @ 2026

文献检索

告别复杂PubMed语法,用中文像聊天一样搜索,搜遍4000万医学文献。AI智能推荐,让科研检索更轻松。

立即免费搜索

文件翻译

保留排版,准确专业,支持PDF/Word/PPT等文件格式,支持 12+语言互译。

免费翻译文档

深度研究

AI帮你快速写综述,25分钟生成高质量综述,智能提取关键信息,辅助科研写作。

立即免费体验

一名有特发性淋巴细胞间质性肺炎(iLIP)病史的患者发生肺黏膜相关淋巴组织(MALT)淋巴瘤的病例。

A case of pulmonary mucosa-associated lymphoid tissue (MALT) lymphoma in a patient with a history of idiopathic lymphocytic interstitial pneumonia (iLIP).

作者信息

Toyohara Katsushi, Ishihara Hiroya, Morita Takuro, Shindo Yuki, Takeda Sho, Fumimoto Satoshi, Ochi Kaoru, Ichihashi Yoshio, Sato Kiyoshi, Kuwabara Hiroko, Hanaoka Nobuharu, Katsumata Takahiro

机构信息

Department of Thoracic Surgery, Hirakata Municipal Hospital, Osaka, Japan.

Department of Thoracic Surgery, Kishiwada City Hospital, Osaka, Japan.

出版信息

Gen Thorac Cardiovasc Surg Cases. 2025 May 9;4(1):24. doi: 10.1186/s44215-025-00208-3.

DOI:10.1186/s44215-025-00208-3
PMID:40346722
原文链接:https://pmc.ncbi.nlm.nih.gov/articles/PMC12065140/
Abstract

BACKGROUND

Pulmonary mucosa-associated lymphoid tissue (MALT) lymphoma and idiopathic lymphocytic interstitial pneumonia (iLIP) are rare pulmonary diseases. MALT lymphoma is an extranodal marginal zone lymphoma (EMZL), whereas LIP is a benign lymphoproliferative disorder characterized by lymphocytic infiltration of the lungs. LIP should be closely monitored, as it has the potential to undergo malignant transformation into MALT lymphoma.

CASE PRESENTATION

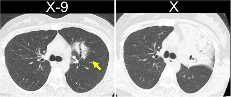
A 45-year-old woman was diagnosed with LIP and followed up for 9 years before being referred to our hospital due to an enlarging shadow on chest radiographs. The volume of the sample collected via bronchoscopy was too small to make a diagnosis, so the patient underwent surgery. The pathology results revealed diffuse proliferation of medium-sized lymphocytes filling the alveolar spaces, leading to a diagnosis of MALT lymphoma. After a thorough examination, no other lesions were found, confirming the diagnosis of EMZL of the lung, a primary pulmonary lymphoma (PPL). No postoperative treatment was administered after surgery; however, 2 years later, recurrence was detected in the stomach, and the patient underwent chemotherapy. Complete remission was achieved through chemotherapy, and the patient has been recurrence-free for 3 years since her treatment.

CONCLUSIONS

We report a rare case of MALT lymphoma that developed 9 years after the diagnosis of LIP. Since LIP can undergo malignant transformation into EMZL, it is important to be aware of this possibility. Differentiating between the two diseases onthe basis ofclinical and imaging findings is challenging, so biopsytechniques, such as transbronchial biopsy, CT-guided needle aspiration biopsy, and surgical resection, are essential. While surgery is the standard treatment for primary pulmonary lymphoma, observation is a viable option, as it provides results comparable to those of other treatment approaches.

摘要

背景

肺黏膜相关淋巴组织(MALT)淋巴瘤和特发性淋巴细胞间质性肺炎(iLIP)是罕见的肺部疾病。MALT淋巴瘤是一种结外边缘区淋巴瘤(EMZL),而淋巴细胞间质性肺炎是一种良性淋巴增殖性疾病,其特征是肺部淋巴细胞浸润。淋巴细胞间质性肺炎应密切监测,因为它有可能恶变为MALT淋巴瘤。

病例介绍

一名45岁女性被诊断为淋巴细胞间质性肺炎,并随访了9年,之后因胸部X线片上阴影增大而转诊至我院。通过支气管镜采集的样本量太小,无法做出诊断,因此患者接受了手术。病理结果显示中等大小淋巴细胞弥漫性增殖,充满肺泡腔,从而诊断为MALT淋巴瘤。经过全面检查,未发现其他病变,确诊为肺EMZL,即原发性肺淋巴瘤(PPL)。术后未进行任何治疗;然而,2年后,胃部出现复发,患者接受了化疗。化疗后实现了完全缓解,自治疗以来患者已无复发3年。

结论

我们报告了一例罕见的MALT淋巴瘤病例,该病例在淋巴细胞间质性肺炎诊断9年后发生。由于淋巴细胞间质性肺炎可恶变为EMZL,因此了解这种可能性很重要。根据临床和影像学表现区分这两种疾病具有挑战性,因此活检技术,如经支气管活检、CT引导下针吸活检和手术切除,至关重要。虽然手术是原发性肺淋巴瘤的标准治疗方法,但观察也是一种可行的选择,因为它提供的结果与其他治疗方法相当。

https://cdn.ncbi.nlm.nih.gov/pmc/blobs/0056/12065140/a0bd208330e4/44215_2025_208_Fig4_HTML.jpg
https://cdn.ncbi.nlm.nih.gov/pmc/blobs/0056/12065140/bb83e854ffbc/44215_2025_208_Fig1_HTML.jpg
https://cdn.ncbi.nlm.nih.gov/pmc/blobs/0056/12065140/db604a08ad31/44215_2025_208_Fig2_HTML.jpg
https://cdn.ncbi.nlm.nih.gov/pmc/blobs/0056/12065140/ba9664d97142/44215_2025_208_Fig3_HTML.jpg
https://cdn.ncbi.nlm.nih.gov/pmc/blobs/0056/12065140/a0bd208330e4/44215_2025_208_Fig4_HTML.jpg
https://cdn.ncbi.nlm.nih.gov/pmc/blobs/0056/12065140/bb83e854ffbc/44215_2025_208_Fig1_HTML.jpg
https://cdn.ncbi.nlm.nih.gov/pmc/blobs/0056/12065140/db604a08ad31/44215_2025_208_Fig2_HTML.jpg
https://cdn.ncbi.nlm.nih.gov/pmc/blobs/0056/12065140/ba9664d97142/44215_2025_208_Fig3_HTML.jpg
https://cdn.ncbi.nlm.nih.gov/pmc/blobs/0056/12065140/a0bd208330e4/44215_2025_208_Fig4_HTML.jpg

相似文献

1
A case of pulmonary mucosa-associated lymphoid tissue (MALT) lymphoma in a patient with a history of idiopathic lymphocytic interstitial pneumonia (iLIP).一名有特发性淋巴细胞间质性肺炎(iLIP)病史的患者发生肺黏膜相关淋巴组织(MALT)淋巴瘤的病例。
Gen Thorac Cardiovasc Surg Cases. 2025 May 9;4(1):24. doi: 10.1186/s44215-025-00208-3.
2
From lymphocytic interstitial pneumonia to MALT lymphoma of lung: a case report with a 5-year diagnostic dilemma.从淋巴细胞间质性肺炎到肺黏膜相关淋巴组织淋巴瘤:一例伴有5年诊断困境的病例报告
Int J Clin Exp Pathol. 2015 Aug 1;8(8):9698-702. eCollection 2015.
3
Primary extranodal marginal zone lymphoma of mucosa-associated lymphoid tissue with multiple pure ground-glass opacities: a case report.伴有多发纯磨玻璃影的黏膜相关淋巴组织原发性结外边缘区淋巴瘤:一例报告
J Cardiothorac Surg. 2017 Jan 25;12(1):2. doi: 10.1186/s13019-017-0565-9.
4
Cavitary pulmonary involvement of diffuse large B-cell lymphoma transformed from extra nodal marginal zone B-cell lymphoma MALT type.结外边缘区B细胞淋巴瘤(MALT型)转化而来的弥漫性大B细胞淋巴瘤的空洞性肺受累。
Clin J Gastroenterol. 2011 Dec;4(6):401-6. doi: 10.1007/s12328-011-0259-0. Epub 2011 Oct 4.
5
Primary Hepatic Extranodal Marginal Zone Lymphoma of Mucosa-Associated Lymphoid Tissue in a Patient with Chronic Hepatitis B Virus Infection: Case Report and Summary of the Literature.一名慢性乙型肝炎病毒感染患者的原发性肝黏膜相关淋巴组织结外边缘区淋巴瘤:病例报告及文献综述
Medicina (Kaunas). 2021 Mar 18;57(3):280. doi: 10.3390/medicina57030280.
6
A Case of Pulmonary MALT Lymphoma Arising from Lymphocytic Interstitial Pneumonitis.一例起源于淋巴细胞性间质性肺炎的肺黏膜相关淋巴组织淋巴瘤
Tuberc Respir Dis (Seoul). 2012 Aug;73(2):115-21. doi: 10.4046/trd.2012.73.2.115. Epub 2012 Aug 31.
7
Sequential development of multifocal recurrent non-Hodgkin's lymphoma of mucosa-associated lymphoid tissue and diffuse large B-Cell lymphoma in a single patient: A case report.一例患者黏膜相关淋巴组织多灶性复发性非霍奇金淋巴瘤和弥漫性大B细胞淋巴瘤的序贯发生:病例报告
Medicine (Baltimore). 2018 May;97(21):e10845. doi: 10.1097/MD.0000000000010845.
8
Ileal mucosa-associated lymphoid tissue lymphoma diagnosed after emergency surgery: A case report and literature review.急诊手术后诊断出的回肠黏膜相关淋巴组织淋巴瘤:一例报告及文献综述
Ann Med Surg (Lond). 2021 Oct 30;71:102973. doi: 10.1016/j.amsu.2021.102973. eCollection 2021 Nov.
9
Extranodal marginal zone lymphoma of mucosa-associated lymphoid tissue of the ileum in an adult presenting with intussusception: a case report and literature review.一名成年患者因肠套叠就诊,回肠黏膜相关淋巴组织结外边缘区淋巴瘤:病例报告及文献复习
Front Oncol. 2024 Jun 11;14:1395144. doi: 10.3389/fonc.2024.1395144. eCollection 2024.
10
Unusual Instance of Mucosa-Associated Lymphoid Tissue (MALT) Lymphoma Confined to a Colonic Polyp.局限于结肠息肉的黏膜相关淋巴组织(MALT)淋巴瘤罕见病例。
Cureus. 2023 Mar 28;15(3):e36791. doi: 10.7759/cureus.36791. eCollection 2023 Mar.

本文引用的文献

1
The prognosis of patients with primary pulmonary mucosa-associated lymphoid tissue lymphoma: Treated with surgery or chemotherapy?原发性肺黏膜相关淋巴组织淋巴瘤患者的预后:手术治疗还是化疗?
Eur J Cardiothorac Surg. 2024 Mar 1;65(3). doi: 10.1093/ejcts/ezae064.
2
Transbronchial cryobiopsy using an ultrathin cryoprobe with a guide sheath for the diagnosis of pulmonary mucosa-associated lymphoid tissue lymphoma.使用带有引导鞘的超薄冷冻探头进行经支气管冷冻活检以诊断肺黏膜相关淋巴组织淋巴瘤。
J Thorac Dis. 2023 Dec 30;15(12):7123-7129. doi: 10.21037/jtd-23-1074. Epub 2023 Dec 6.
3
Evaluation of CT features for differentiating consolidation pattern of pulmonary MALT lymphoma from pneumonic-type lung adenocarcinoma.
CT特征对鉴别肺黏膜相关淋巴组织淋巴瘤实变模式与肺炎型肺腺癌的评估
Front Oncol. 2023 Sep 1;13:1234291. doi: 10.3389/fonc.2023.1234291. eCollection 2023.
4
Pulmonary extra-nodal mucosa-associated lymphoid tissue (MALT) lymphoma: A rare cause of persistent lung consolidation.肺外淋巴结黏膜相关淋巴组织(MALT)淋巴瘤:持续性肺实变的罕见病因。
Respirol Case Rep. 2023 Jul 25;11(8):e01197. doi: 10.1002/rcr2.1197. eCollection 2023 Aug.
5
Surgery and chemotherapy cannot improve the survival of patients with early-stage mucosa-associated lymphoid tissue derived primary pulmonary lymphoma.手术和化疗无法提高早期黏膜相关淋巴组织来源的原发性肺淋巴瘤患者的生存率。
Front Oncol. 2022 Aug 23;12:965727. doi: 10.3389/fonc.2022.965727. eCollection 2022.
6
Transformation of lymphoid interstitial pneumonia (LIP) into malignant lymphoma in patients with Sjogren's syndrome: a case report and literature review.干燥综合征患者淋巴上皮性间质性肺炎(LIP)向恶性淋巴瘤的转化:病例报告及文献复习。
J Cardiothorac Surg. 2022 Apr 15;17(1):79. doi: 10.1186/s13019-022-01826-6.
7
Clinical characteristics, diagnosis, treatment, and prognostic factors of pulmonary mucosa-associated lymphoid tissue-derived lymphoma.肺黏膜相关淋巴组织淋巴瘤的临床特征、诊断、治疗和预后因素。
Cancer Med. 2019 Dec;8(18):7660-7668. doi: 10.1002/cam4.2683. Epub 2019 Nov 5.
8
Lymphocytic Interstitial Pneumonia.淋巴细胞性间质性肺炎。
Clin Chest Med. 2016 Sep;37(3):463-74. doi: 10.1016/j.ccm.2016.04.009. Epub 2016 Jun 25.
9
Pulmonary mucosa-associated lymphoid tissue lymphoma revisited.重新审视肺黏膜相关淋巴组织淋巴瘤。
Eur Respir J. 2016 Apr;47(4):1244-60. doi: 10.1183/13993003.01701-2015. Epub 2016 Jan 21.
10
From lymphocytic interstitial pneumonia to MALT lymphoma of lung: a case report with a 5-year diagnostic dilemma.从淋巴细胞间质性肺炎到肺黏膜相关淋巴组织淋巴瘤:一例伴有5年诊断困境的病例报告
Int J Clin Exp Pathol. 2015 Aug 1;8(8):9698-702. eCollection 2015.