Suppr超能文献

乳糜泻与小肠腺癌病例报告:两种症状相似的疾病。

A Case Report of Celiac Disease and Small Bowel Adenocarcinoma: Two Diseases With Similar Symptoms.

作者信息

Oliveira Ana, Gonçalves Gisela, Paracana Bárbara, Baptista Laura, Rodrigues Tatiana

机构信息

Internal Medicine, Unidade Local de Saúde da Região de Aveiro, Aveiro, PRT.

出版信息

Cureus. 2025 Apr 11;17(4):e82086. doi: 10.7759/cureus.82086. eCollection 2025 Apr.

Abstract

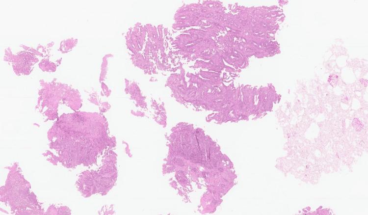
Celiac disease (CD) is an autoimmune disease triggered by gluten in the diet. The association between CD and increased risk of neoplasia is described mainly in patients diagnosed with CD and aged over 40 years or during the first years after CD diagnosis. Patients who remain symptomatic after 12 months of gluten-free diet should be screened to exclude neoplasms, especially lymphoma and gastrointestinal neoplasms. We report a case of small bowel adenocarcinoma (SBA) in a patient diagnosed with CD one year earlier.

摘要

乳糜泻(CD)是一种由饮食中的麸质引发的自身免疫性疾病。CD与肿瘤发生风险增加之间的关联主要见于年龄超过40岁的CD确诊患者或CD确诊后的最初几年。无麸质饮食12个月后仍有症状的患者应进行筛查以排除肿瘤,尤其是淋巴瘤和胃肠道肿瘤。我们报告一例小肠腺癌(SBA)病例,该患者一年前被诊断为CD。

https://cdn.ncbi.nlm.nih.gov/pmc/blobs/2761/12066094/3008a97f3de1/cureus-0017-00000082086-i01.jpg

文献检索

告别复杂PubMed语法,用中文像聊天一样搜索,搜遍4000万医学文献。AI智能推荐,让科研检索更轻松。

立即免费搜索

文件翻译

保留排版,准确专业,支持PDF/Word/PPT等文件格式,支持 12+语言互译。

免费翻译文档

深度研究

AI帮你快速写综述,25分钟生成高质量综述,智能提取关键信息,辅助科研写作。

立即免费体验