Suppr超能文献

腹腔疾病的恶性并发症:病例系列和文献复习。

Malignant complications of celiac disease: a case series and review of the literature.

机构信息

Department of Internal Medicine and Gastroenterology, University Hospital Brno, Faculty of Medicine, Masaryk University, Jihlavska 20, 62500, Brno, Czech Republic.

Department of Internal Medicine, Third Faculty of Medicine, Charles University Prague and Teaching Thomayer Hospital, 14059, Prague, Czech Republic.

出版信息

J Med Case Rep. 2022 Dec 12;16(1):460. doi: 10.1186/s13256-022-03682-3.

Abstract

BACKGROUND

Celiac disease is an immune-mediated enteropathy triggered by gluten in genetically susceptible individuals. Diagnosis is based on evaluating specific autoantibodies and histopathologic findings of duodenal biopsy specimens. The only therapy for celiac disease is a gluten-free diet. Celiac disease can be complicated by malnutrition, other autoimmune diseases, refractoriness to treatment, and gastrointestinal tumors. This article presents seven cases of malignancies in patients with celiac disease. Its objective is to raise awareness of the malignant complications of celiac disease, leading to earlier diagnosis and improved outcomes.

CASE PRESENTATION

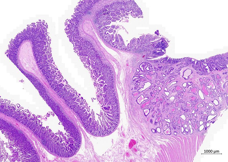
Seven cases of malignant complications of celiac disease occurred among 190 patients followed at the Department of Internal Medicine and Gastroenterology, University Hospital Brno from 2014 to 2021. We describe these cases and the presentation, diagnostic process, course, management, and outcomes for each, along with proposed potential risk factors of malignant complications. There was one Caucasian man who was 70 years old and six Caucasian women who were 36, 46, 48, 55, 73, and 82 years old in our cohort. Of the seven cases of malignancies in our cohort, four patients were diagnosed with small bowel adenocarcinoma, one with diffuse large B-cell lymphoma, one with carcinoma of the tongue, and one with colorectal carcinoma.

CONCLUSIONS

Malignancies occurred in 3.7% of patients followed up for celiac disease. Awareness of the malignant complications of celiac disease, risk factors, presentation, and disease course could lead to earlier diagnosis and improved outcomes.

摘要

背景

乳糜泻是一种由遗传易感个体的麸质引起的免疫介导的肠病。诊断基于评估十二指肠活检标本的特定自身抗体和组织病理学发现。乳糜泻的唯一治疗方法是无麸质饮食。乳糜泻可并发营养不良、其他自身免疫性疾病、治疗抵抗和胃肠道肿瘤。本文介绍了 190 例在布尔诺大学医院内科和胃肠病学系接受治疗的乳糜泻患者中发生的 7 例恶性肿瘤病例。其目的是提高对乳糜泻恶性并发症的认识,从而更早地诊断和改善预后。

病例介绍

2014 年至 2021 年期间,在布尔诺大学医院内科和胃肠病学系就诊的 190 例乳糜泻患者中发生了 7 例恶性并发症。我们描述了这些病例的表现、诊断过程、病程、治疗和结局,并提出了恶性并发症的潜在危险因素。在我们的队列中,有 1 名高加索男性,年龄为 70 岁,6 名高加索女性,年龄分别为 36、46、48、55、73 和 82 岁。在我们的队列中,7 例恶性肿瘤患者中有 4 例被诊断为小肠腺癌,1 例被诊断为弥漫性大 B 细胞淋巴瘤,1 例被诊断为舌癌,1 例被诊断为结直肠癌。

结论

在接受乳糜泻治疗的患者中,恶性肿瘤的发生率为 3.7%。对乳糜泻恶性并发症、危险因素、表现和病程的认识,可能会导致更早的诊断和改善预后。

https://cdn.ncbi.nlm.nih.gov/pmc/blobs/2799/9743581/2a117e3f7283/13256_2022_3682_Fig1_HTML.jpg

文献检索

告别复杂PubMed语法,用中文像聊天一样搜索,搜遍4000万医学文献。AI智能推荐,让科研检索更轻松。

立即免费搜索

文件翻译

保留排版,准确专业,支持PDF/Word/PPT等文件格式,支持 12+语言互译。

免费翻译文档

深度研究

AI帮你快速写综述,25分钟生成高质量综述,智能提取关键信息,辅助科研写作。

立即免费体验