Suppr超能文献

接受抗血小板治疗的患者发生垂体卒中:一例报告。

Pituitary apoplexy in a patient on antiplatelet therapy: A case report.

作者信息

Shao Chuan, Zou Dewei, Wang Junwei, Lai Jun, Wu Nan

机构信息

Department of Neurosurgery, Chongqing General Hospital, Chongqing University, Chongqing 401147, P.R. China.

出版信息

Exp Ther Med. 2025 Apr 24;29(6):124. doi: 10.3892/etm.2025.12874. eCollection 2025 Jun.

Abstract

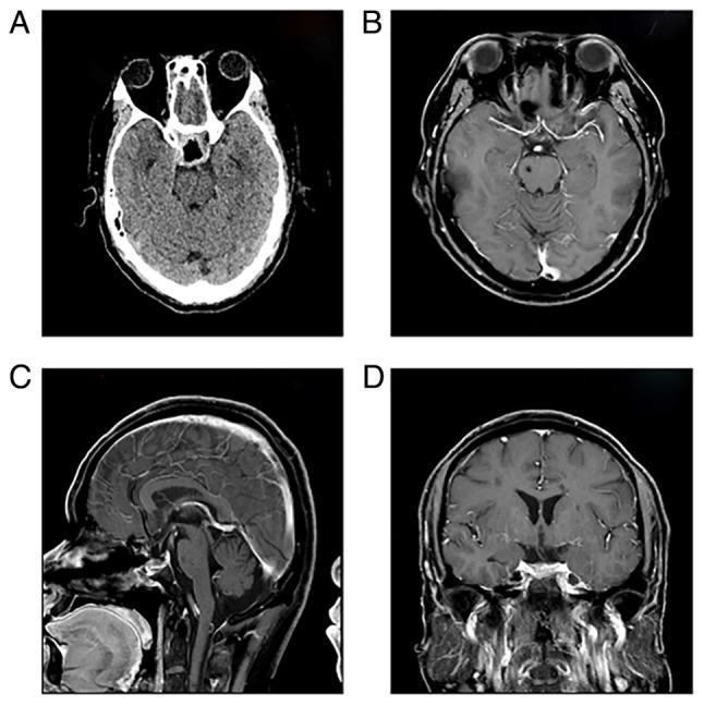
Pituitary apoplexy is a rare but life-threatening neurosurgical emergency, typically caused by acute hemorrhage or infarction of a pituitary adenoma within the sella turcica. It presents clinically with the sudden onset of severe headache, visual impairment and ophthalmoplegia. The present study reported the case of a 45-year-old male who experienced intermittent headaches and progressive right-sided visual deterioration over two months, with acute worsening in the preceding 6 h. The patient's medical history included coronary stent implantation and the patient had been on enteric-coated aspirin therapy for ~4 months. Magnetic resonance imaging and computed tomography of the head confirmed the diagnosis of pituitary apoplexy. The patient underwent emergency endoscopic transsphenoidal surgery, leading to significant improvement in right-sided vision. At the 6-month follow-up, the patient exhibited complete recovery with no evidence of tumor recurrence on imaging. This case highlights the importance of timely diagnosis and surgical intervention in achieving favorable outcomes in pituitary apoplexy and serves as a reminder for clinicians to consider the risk of hemorrhage in patients on long-term antiplatelet therapy.

摘要

垂体卒中是一种罕见但危及生命的神经外科急症,通常由蝶鞍内垂体腺瘤的急性出血或梗死引起。临床上表现为突发严重头痛、视力障碍和眼肌麻痹。本研究报告了一例45岁男性患者,该患者在两个月内经历了间歇性头痛和进行性右侧视力减退,并在之前6小时内急性加重。患者既往有冠状动脉支架植入史,服用肠溶阿司匹林治疗约4个月。头部磁共振成像和计算机断层扫描确诊为垂体卒中。患者接受了急诊内镜经蝶窦手术,右侧视力显著改善。在6个月的随访中,患者完全康复,影像学检查未发现肿瘤复发迹象。该病例强调了及时诊断和手术干预对于垂体卒中取得良好预后的重要性,并提醒临床医生考虑长期抗血小板治疗患者的出血风险。

https://cdn.ncbi.nlm.nih.gov/pmc/blobs/359c/12067521/47f39c7bb626/etm-29-06-12874-g00.jpg

文献检索

告别复杂PubMed语法,用中文像聊天一样搜索,搜遍4000万医学文献。AI智能推荐,让科研检索更轻松。

立即免费搜索

文件翻译

保留排版,准确专业,支持PDF/Word/PPT等文件格式,支持 12+语言互译。

免费翻译文档

深度研究

AI帮你快速写综述,25分钟生成高质量综述,智能提取关键信息,辅助科研写作。

立即免费体验