• 文献检索
  • 文档翻译
  • 深度研究
  • 学术资讯
  • Suppr Zotero 插件Zotero 插件
  • 邀请有礼
  • 套餐&价格
  • 历史记录
应用&插件
Suppr Zotero 插件Zotero 插件浏览器插件Mac 客户端Windows 客户端微信小程序
定价
高级版会员购买积分包购买API积分包
服务
文献检索文档翻译深度研究API 文档MCP 服务
关于我们
关于 Suppr公司介绍联系我们用户协议隐私条款
关注我们

Suppr 超能文献

核心技术专利:CN118964589B侵权必究
粤ICP备2023148730 号-1Suppr @ 2026

文献检索

告别复杂PubMed语法,用中文像聊天一样搜索,搜遍4000万医学文献。AI智能推荐,让科研检索更轻松。

立即免费搜索

文件翻译

保留排版,准确专业,支持PDF/Word/PPT等文件格式,支持 12+语言互译。

免费翻译文档

深度研究

AI帮你快速写综述,25分钟生成高质量综述,智能提取关键信息,辅助科研写作。

立即免费体验

可吸收镁膜在大型根尖囊肿切除术后骨再生中的应用:一例临床病例报告。

Use of a Resorbable Magnesium Membrane for Bone Regeneration After Large Radicular Cyst Removal: A Clinical Case Report.

作者信息

Chaushu Gabi, Reiser Vadim, Rosenfeld Eli, Masri Daya, Chaushu Liat, Čandrlić Marija, Rider Patrick, Perić Kačarević Željka

机构信息

Department of Oral and Maxillofacial Surgery, Rabin Medical Center, Beilinson Campus, Petah Tikva 49100, Israel.

Department of Oral and Maxillofacial Surgery, The Maurice and Gabriela Goldschleger School of Dental Medicine, Faculty of Medicine, Tel Aviv University, Tel Aviv 6997801, Israel.

出版信息

Healthcare (Basel). 2025 May 6;13(9):1068. doi: 10.3390/healthcare13091068.

DOI:10.3390/healthcare13091068
PMID:40361846
原文链接:https://pmc.ncbi.nlm.nih.gov/articles/PMC12071955/
Abstract

BACKGROUND

Periapical cysts are the most common odontogenic cysts, often resulting in large bone defects. Guided tissue regeneration techniques support tissue healing by means of membranes and bone grafts. The present case report evaluates for the first time clinical application of a resorbable magnesium membrane in guided bone regeneration (GBR) following cystectomy.

CASE REPORT

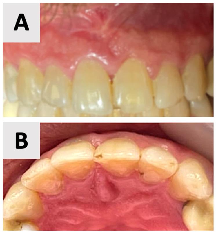
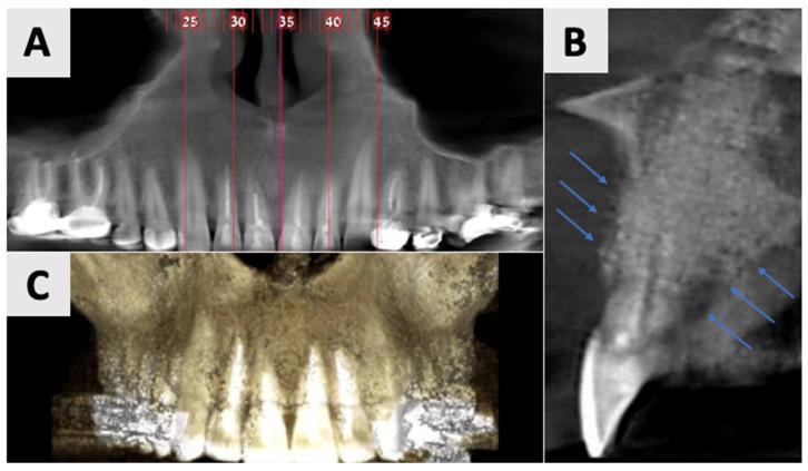
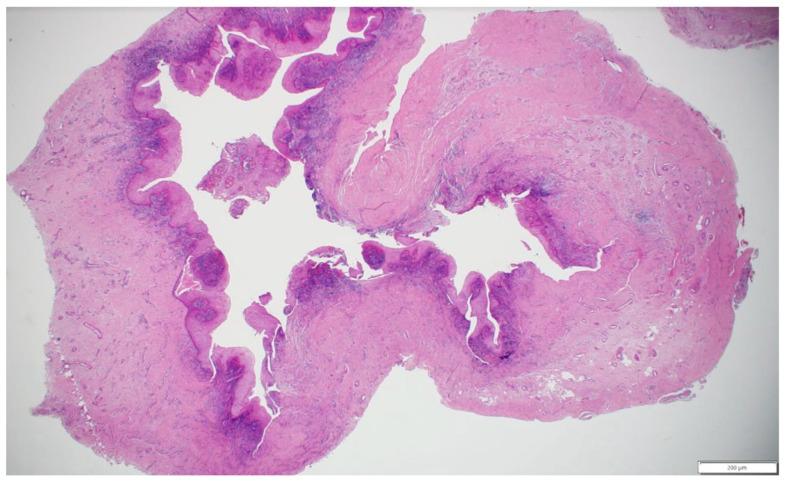
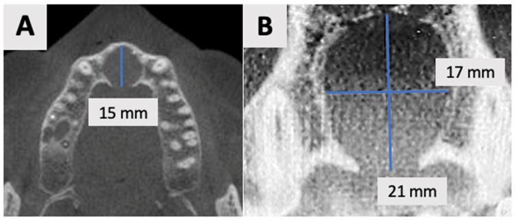
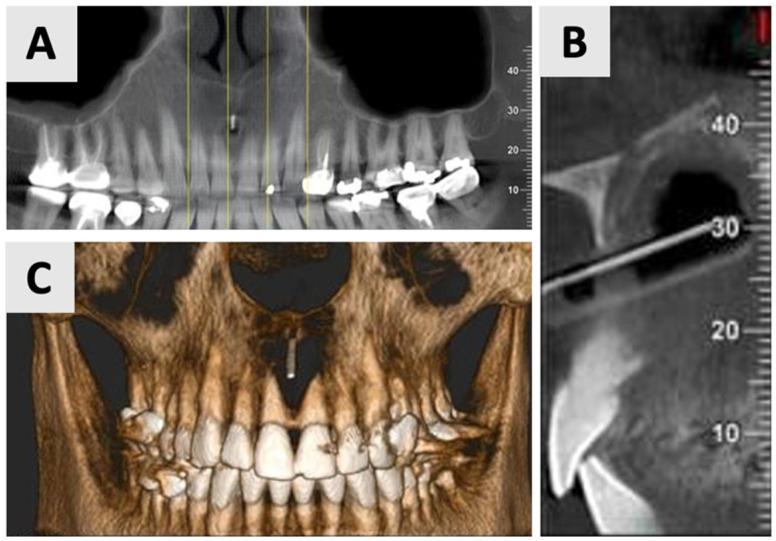
A 35-year-old male patient presented with a large periapical cystic lesion in the maxillary anterior region. Treatment involved marsupialization followed by cyst enucleation and GBR using a resorbable magnesium membrane and bovine xenograft. The magnesium membrane served as a structural support to bridge the bony discontinuity in the palatal bone. Cone-beam computed tomography (CBCT) was used for diagnosis, treatment planning, and follow-up assessments. At 16 months post-treatment, CBCT imaging revealed significant bone regeneration, with restoration of the palatal contour and cortication of the palatal wall. Clinical examination showed asymptomatic teeth with normal mobility and optimal soft tissue healing.

CONCLUSIONS

This case demonstrates the potential of resorbable magnesium membranes in managing large periapical defects, offering a promising alternative to traditional GBR materials by combining mechanical strength with complete resorption, therefore eliminating the need for membrane removal surgery. However, future studies on larger patient samples should focus on confirming the long-term outcomes of this approach and investigating patient-specific factors that are important in choosing effective treatment options.

摘要

背景

根尖囊肿是最常见的牙源性囊肿,常导致大面积骨缺损。引导组织再生技术通过膜和骨移植来支持组织愈合。本病例报告首次评估了可吸收镁膜在囊肿切除术后引导骨再生(GBR)中的临床应用。

病例报告

一名35岁男性患者上颌前部出现一个大的根尖囊性病变。治疗包括袋形术,随后进行囊肿摘除术,并使用可吸收镁膜和牛异种移植物进行引导骨再生。镁膜作为一种结构支撑物,用于桥接腭骨的骨不连续处。锥形束计算机断层扫描(CBCT)用于诊断、治疗计划制定和随访评估。治疗后16个月,CBCT成像显示骨再生显著,腭轮廓恢复,腭壁皮质化。临床检查显示牙齿无症状,松动度正常,软组织愈合良好。

结论

本病例证明了可吸收镁膜在处理大面积根尖缺损方面的潜力,通过将机械强度与完全吸收相结合,为传统引导骨再生材料提供了一种有前景的替代方案,从而无需进行膜移除手术。然而,未来对更大患者样本的研究应集中于确认该方法的长期效果,并调查在选择有效治疗方案中重要的患者特异性因素。

https://cdn.ncbi.nlm.nih.gov/pmc/blobs/4ecb/12071955/8a4a00e5b14d/healthcare-13-01068-g008.jpg
https://cdn.ncbi.nlm.nih.gov/pmc/blobs/4ecb/12071955/5f68ed45b486/healthcare-13-01068-g001.jpg
https://cdn.ncbi.nlm.nih.gov/pmc/blobs/4ecb/12071955/c6dab95741a7/healthcare-13-01068-g002.jpg
https://cdn.ncbi.nlm.nih.gov/pmc/blobs/4ecb/12071955/b73a9648a04e/healthcare-13-01068-g003.jpg
https://cdn.ncbi.nlm.nih.gov/pmc/blobs/4ecb/12071955/355626074097/healthcare-13-01068-g004.jpg
https://cdn.ncbi.nlm.nih.gov/pmc/blobs/4ecb/12071955/0c20c124bff3/healthcare-13-01068-g005.jpg
https://cdn.ncbi.nlm.nih.gov/pmc/blobs/4ecb/12071955/2b151d93996e/healthcare-13-01068-g006.jpg
https://cdn.ncbi.nlm.nih.gov/pmc/blobs/4ecb/12071955/c4283e06f008/healthcare-13-01068-g007.jpg
https://cdn.ncbi.nlm.nih.gov/pmc/blobs/4ecb/12071955/8a4a00e5b14d/healthcare-13-01068-g008.jpg
https://cdn.ncbi.nlm.nih.gov/pmc/blobs/4ecb/12071955/5f68ed45b486/healthcare-13-01068-g001.jpg
https://cdn.ncbi.nlm.nih.gov/pmc/blobs/4ecb/12071955/c6dab95741a7/healthcare-13-01068-g002.jpg
https://cdn.ncbi.nlm.nih.gov/pmc/blobs/4ecb/12071955/b73a9648a04e/healthcare-13-01068-g003.jpg
https://cdn.ncbi.nlm.nih.gov/pmc/blobs/4ecb/12071955/355626074097/healthcare-13-01068-g004.jpg
https://cdn.ncbi.nlm.nih.gov/pmc/blobs/4ecb/12071955/0c20c124bff3/healthcare-13-01068-g005.jpg
https://cdn.ncbi.nlm.nih.gov/pmc/blobs/4ecb/12071955/2b151d93996e/healthcare-13-01068-g006.jpg
https://cdn.ncbi.nlm.nih.gov/pmc/blobs/4ecb/12071955/c4283e06f008/healthcare-13-01068-g007.jpg
https://cdn.ncbi.nlm.nih.gov/pmc/blobs/4ecb/12071955/8a4a00e5b14d/healthcare-13-01068-g008.jpg

相似文献

1
Use of a Resorbable Magnesium Membrane for Bone Regeneration After Large Radicular Cyst Removal: A Clinical Case Report.可吸收镁膜在大型根尖囊肿切除术后骨再生中的应用:一例临床病例报告。
Healthcare (Basel). 2025 May 6;13(9):1068. doi: 10.3390/healthcare13091068.
2
Non-surgical and guided-bone-regeneration surgical management of Type-3b dens invaginatus with an apico-marginal defect: A case report.3b型内陷性牙dens伴根尖边缘缺损的非手术及引导骨再生手术治疗:1例报告
Clin Adv Periodontics. 2024 Dec;14(4):276-283. doi: 10.1002/cap.10283. Epub 2024 Mar 15.
3
Odontogenic keratocyst management using guided tissue regeneration: Literature review - Two case reports.使用引导组织再生技术治疗牙源性角化囊肿:文献综述 - 两例病例报告
Clin Adv Periodontics. 2024 Dec 19. doi: 10.1002/cap.10316.
4
Microsurgical management of radicular cyst using guided tissue regeneration technique: A case report.使用引导组织再生技术对根端囊肿进行显微外科治疗:一例报告。
World J Clin Cases. 2024 Mar 6;12(7):1346-1355. doi: 10.12998/wjcc.v12.i7.1346.
5
Hard and soft tissue contour changes following simultaneous guided bone regeneration at single peri-implant dehiscence defects using either resorbable or non-resorbable membranes: a 6-month secondary analysis of a randomized controlled trial.在单颗种植体周围裂开性骨缺损处使用可吸收或不可吸收膜同步引导骨再生后的软硬组织轮廓变化:一项随机对照试验的6个月二次分析
Clin Oral Investig. 2025 Apr 8;29(5):231. doi: 10.1007/s00784-025-06322-4.
6
Assessment of bone regeneration after maxillary radicular cyst enucleation with or without bone grafting materials: a retrospective cohort study.上颌窦牙根囊肿切除术后使用或不使用骨移植材料的骨再生评估:一项回顾性队列研究。
Clin Oral Investig. 2024 Mar 14;28(4):213. doi: 10.1007/s00784-024-05612-7.
7
Biodegradable magnesium barrier membrane used for guided bone regeneration in dental surgery.用于牙外科引导骨再生的可生物降解镁屏障膜。
Bioact Mater. 2021 Nov 29;14:152-168. doi: 10.1016/j.bioactmat.2021.11.018. eCollection 2022 Aug.
8
Guided Bone Regeneration in the Posterior Mandible Using a Resorbable Metal Magnesium Membrane and Fixation Screws: A Case Report.使用可吸收金属镁膜和固定螺钉在下颌骨后部进行引导骨再生:病例报告
Case Rep Dent. 2024 Dec 13;2024:2659893. doi: 10.1155/crid/2659893. eCollection 2024.
9
Horizontal and Vertical Defect Management with a Novel Degradable Pure Magnesium Guided Bone Regeneration (GBR) Membrane-A Clinical Case.新型可降解纯镁引导骨再生(GBR)膜的水平和垂直缺损管理-临床案例。
Medicina (Kaunas). 2023 Nov 15;59(11):2009. doi: 10.3390/medicina59112009.
10
Possible Applications for a Biodegradable Magnesium Membrane in Alveolar Ridge Augmentation-Retrospective Case Report with Two Years of Follow-Up.可降解镁膜在牙槽嵴增高术中的应用——一项具有两年随访的回顾性病例报告。
Medicina (Kaunas). 2023 Sep 22;59(10):1698. doi: 10.3390/medicina59101698.

引用本文的文献

1
Bone Grafting with Albumin-Impregnated Bone Allograft After Odontogenic Cyst Removal.牙源性囊肿切除术后白蛋白浸渍同种异体骨植骨术
J Clin Med. 2025 Jun 12;14(12):4173. doi: 10.3390/jcm14124173.

本文引用的文献

1
Magnesium Membrane Shield Technique for Alveolar Ridge Preservation: Step-by-Step Representative Case Report of Buccal Bone Wall Dehiscence with Clinical and Histological Evaluations.用于牙槽嵴保存的镁膜屏障技术:伴有临床和组织学评估的颊侧骨壁裂开的分步代表性病例报告
Biomedicines. 2024 Nov 6;12(11):2537. doi: 10.3390/biomedicines12112537.
2
Microsurgical management of radicular cyst using guided tissue regeneration technique: A case report.使用引导组织再生技术对根端囊肿进行显微外科治疗:一例报告。
World J Clin Cases. 2024 Mar 6;12(7):1346-1355. doi: 10.12998/wjcc.v12.i7.1346.
3
Assessment of bone regeneration after maxillary radicular cyst enucleation with or without bone grafting materials: a retrospective cohort study.
上颌窦牙根囊肿切除术后使用或不使用骨移植材料的骨再生评估:一项回顾性队列研究。
Clin Oral Investig. 2024 Mar 14;28(4):213. doi: 10.1007/s00784-024-05612-7.
4
Magnesium promotes vascularization and osseointegration in diabetic states.镁促进糖尿病状态下的血管生成和骨整合。
Int J Oral Sci. 2024 Jan 31;16(1):10. doi: 10.1038/s41368-023-00271-y.
5
Resorbable magnesium metal membrane for sinus lift procedures: a case series.可吸收镁金属膜在鼻窦提升术中的应用:一组病例报告。
BMC Oral Health. 2023 Dec 14;23(1):1006. doi: 10.1186/s12903-023-03695-4.
6
Resorbable Membranes for Guided Bone Regeneration: Critical Features, Potentials, and Limitations.用于引导骨再生的可吸收膜:关键特性、潜力与局限性
ACS Mater Au. 2023 Jun 23;3(5):394-417. doi: 10.1021/acsmaterialsau.3c00013. eCollection 2023 Sep 13.
7
The Effectiveness of Autologous Platelet Concentrates in the Clinical and Radiographic Healing after Endodontic Surgery: A Systematic Review.自体血小板浓缩物在根管治疗术后临床和影像学愈合中的有效性:一项系统评价
Materials (Basel). 2023 Nov 16;16(22):7187. doi: 10.3390/ma16227187.
8
Membrane barriers for guided bone regeneration: An overview of available biomaterials.引导性骨再生中的膜屏障:现有生物材料概述。
Periodontol 2000. 2023 Oct;93(1):56-76. doi: 10.1111/prd.12502. Epub 2023 Oct 19.
9
Volumetric reduction in large cystic jaw lesions postoperative enucleation: a longitudinal clinical study.大型囊性颌骨病变术后摘除法的体积减少:一项纵向临床研究。
BMC Oral Health. 2023 Sep 13;23(1):660. doi: 10.1186/s12903-023-03307-1.
10
Application of Biodegradable Magnesium Membrane Shield Technique for Immediate Dentoalveolar Bone Regeneration.可降解镁膜屏障技术在即刻牙牙槽骨再生中的应用。
Biomedicines. 2023 Mar 1;11(3):744. doi: 10.3390/biomedicines11030744.