• 文献检索
  • 文档翻译
  • 深度研究
  • 学术资讯
  • Suppr Zotero 插件Zotero 插件
  • 邀请有礼
  • 套餐&价格
  • 历史记录
应用&插件
Suppr Zotero 插件Zotero 插件浏览器插件Mac 客户端Windows 客户端微信小程序
定价
高级版会员购买积分包购买API积分包
服务
文献检索文档翻译深度研究API 文档MCP 服务
关于我们
关于 Suppr公司介绍联系我们用户协议隐私条款
关注我们

Suppr 超能文献

核心技术专利:CN118964589B侵权必究
粤ICP备2023148730 号-1Suppr @ 2026

文献检索

告别复杂PubMed语法,用中文像聊天一样搜索,搜遍4000万医学文献。AI智能推荐,让科研检索更轻松。

立即免费搜索

文件翻译

保留排版,准确专业,支持PDF/Word/PPT等文件格式,支持 12+语言互译。

免费翻译文档

深度研究

AI帮你快速写综述,25分钟生成高质量综述,智能提取关键信息,辅助科研写作。

立即免费体验

一例罕见的因腱索条索帐篷样改变继发严重主动脉瓣反流病例:一种用于具有挑战性诊断的多模态成像方法

A Rare Case of Severe Aortic Regurgitation Secondary to Tenting of Chordae Tendineae Strands: A Multimodality Imaging Approach for a Challenging Diagnosis.

作者信息

Catapano Dario, Dellegrottaglie Santo, Scatteia Alessandra, Gallinoro Carlo Maria, Pascale Carmine Emanuele, Falco Luigi, Di Lorenzo Emilio, Masarone Daniele

机构信息

Department of Translational Medical Sciences, University of Campania "Luigi Vanvitelli", Via Leonardo Bianchi 1, 80131 Naples, Italy.

Advanced Cardiovascular Imaging Unit, Clinica Villa dei Fiori, 80011 Acerra, Italy.

出版信息

Diagnostics (Basel). 2025 Apr 23;15(9):1071. doi: 10.3390/diagnostics15091071.

DOI:10.3390/diagnostics15091071
PMID:40361888
原文链接:https://pmc.ncbi.nlm.nih.gov/articles/PMC12071409/
Abstract

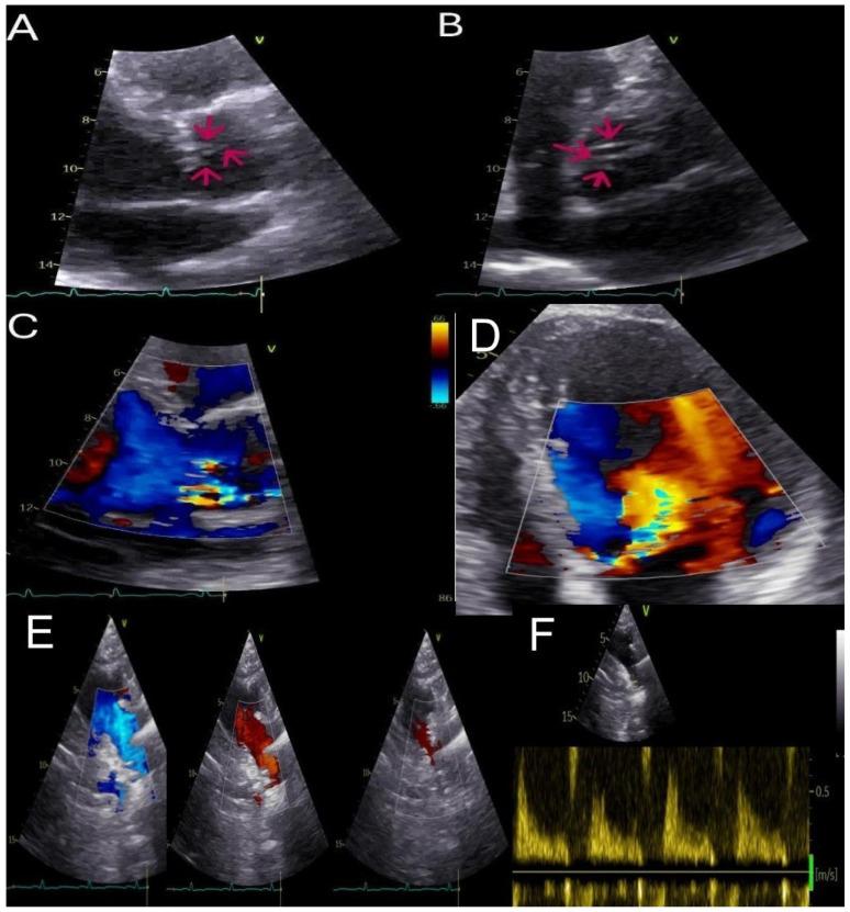
We discuss a case of a patient who was referred to our department for an in-depth evaluation of aortic regurgitation severity and its underlying causes. By employing a multimodal imaging strategy that combined transthoracic echocardiography (TTE), transesophageal echocardiography (TEE), and cardiac magnetic resonance imaging (cMRI), we successfully identified a particularly rare cause of aortic regurgitation: chordae tendineae that lead to asymmetric retraction of the aortic cusps. Furthermore, this approach provided a clearer understanding of the aortic root anatomy and the hemodynamic effects of the regurgitant flow on the ventricle. This case demonstrates the diagnostic effectiveness of various imaging techniques and emphasizes the crucial importance of multimodal imaging for a thorough assessment of aortic valvular issues.

摘要

我们讨论了一例患者,该患者被转诊至我科,以深入评估主动脉瓣反流的严重程度及其潜在病因。通过采用一种多模态成像策略,该策略结合了经胸超声心动图(TTE)、经食管超声心动图(TEE)和心脏磁共振成像(cMRI),我们成功地确定了一种特别罕见的主动脉瓣反流病因:导致主动脉瓣叶不对称回缩的腱索。此外,这种方法能更清晰地了解主动脉根部解剖结构以及反流血流对心室的血流动力学影响。该病例展示了各种成像技术的诊断效果,并强调了多模态成像对于全面评估主动脉瓣问题的至关重要性。

https://cdn.ncbi.nlm.nih.gov/pmc/blobs/3278/12071409/cd63856331b4/diagnostics-15-01071-g003.jpg
https://cdn.ncbi.nlm.nih.gov/pmc/blobs/3278/12071409/08b6ccbf7797/diagnostics-15-01071-g001.jpg
https://cdn.ncbi.nlm.nih.gov/pmc/blobs/3278/12071409/b5ad67521213/diagnostics-15-01071-g002.jpg
https://cdn.ncbi.nlm.nih.gov/pmc/blobs/3278/12071409/cd63856331b4/diagnostics-15-01071-g003.jpg
https://cdn.ncbi.nlm.nih.gov/pmc/blobs/3278/12071409/08b6ccbf7797/diagnostics-15-01071-g001.jpg
https://cdn.ncbi.nlm.nih.gov/pmc/blobs/3278/12071409/b5ad67521213/diagnostics-15-01071-g002.jpg
https://cdn.ncbi.nlm.nih.gov/pmc/blobs/3278/12071409/cd63856331b4/diagnostics-15-01071-g003.jpg

相似文献

1
A Rare Case of Severe Aortic Regurgitation Secondary to Tenting of Chordae Tendineae Strands: A Multimodality Imaging Approach for a Challenging Diagnosis.一例罕见的因腱索条索帐篷样改变继发严重主动脉瓣反流病例:一种用于具有挑战性诊断的多模态成像方法
Diagnostics (Basel). 2025 Apr 23;15(9):1071. doi: 10.3390/diagnostics15091071.
2
The extremely rare case of aortic chordae tendineae strands: A case report with literature review.主动脉腱索罕见病例:病例报告并文献复习
Clin Case Rep. 2023 Oct 10;11(10):e8033. doi: 10.1002/ccr3.8033. eCollection 2023 Oct.
3
Morphologic characterization and quantitative assessment of mitral regurgitation with ruptured chordae tendineae by transesophageal echocardiography.经食管超声心动图对腱索断裂所致二尖瓣反流的形态学特征及定量评估
Am J Cardiol. 1992 Nov 1;70(13):1152-6. doi: 10.1016/0002-9149(92)90047-3.
4
Aortic Chordae Tendineae Strands with Significant Aortic Regurgitation.主动脉瓣腱索呈条索状伴重度主动脉瓣反流。
Int Heart J. 2021 Sep 30;62(5):1160-1163. doi: 10.1536/ihj.21-131. Epub 2021 Sep 17.
5
Aortic valve chordae tendineae: A rare cause of aortic stenosis.主动脉瓣腱索:主动脉瓣狭窄的罕见病因。
Radiol Case Rep. 2022 Oct 26;18(1):1-3. doi: 10.1016/j.radcr.2022.09.099. eCollection 2023 Jan.
6
Catheter Management of Mitral Regurgitation二尖瓣反流的导管管理
7
The accuracy of echocardiography versus surgical and pathological classification of patients with ruptured mitral chordae tendineae: a large study in a Chinese cardiovascular center.超声心动图对二尖瓣腱索断裂患者的诊断准确性与手术及病理分类的比较:中国某心血管中心的一项大型研究
J Cardiothorac Surg. 2011 Jul 29;6:94. doi: 10.1186/1749-8090-6-94.
8
Direct visualization of ruptured chordae tendineae by transesophageal two-dimensional echocardiography.经食管二维超声心动图直接观察腱索破裂情况。
J Am Coll Cardiol. 1990 Nov;16(5):1315-9. doi: 10.1016/0735-1097(90)90571-6.
9
A severe restrictive aortic regurgitation resulting from valve tenting by unusual aortic chordae tendineae strands.由异常的主动脉腱索束使瓣膜帐篷化导致的严重限制性主动脉瓣反流。
Circulation. 2012 Sep 4;126(10):e139-41. doi: 10.1161/CIRCULATIONAHA.112.106484.
10
The Diagnosis of Quadricuspid Aortic Valve-Induced Cardiomyopathy: Return to the Basics When in Doubt.四叶式主动脉瓣所致心肌病的诊断:存疑时回归基础。
Cureus. 2025 Jan 21;17(1):e77783. doi: 10.7759/cureus.77783. eCollection 2025 Jan.

本文引用的文献

1
The extremely rare case of aortic chordae tendineae strands: A case report with literature review.主动脉腱索罕见病例:病例报告并文献复习
Clin Case Rep. 2023 Oct 10;11(10):e8033. doi: 10.1002/ccr3.8033. eCollection 2023 Oct.
2
Multi-modality imaging assessment of native valvular regurgitation: an EACVI and ESC council of valvular heart disease position paper.天然瓣膜反流的多模态成像评估:欧洲心血管影像学会(EACVI)和欧洲心脏病学会(ESC)心脏瓣膜病委员会立场文件
Eur Heart J Cardiovasc Imaging. 2022 Apr 18;23(5):e171-e232. doi: 10.1093/ehjci/jeab253.
3
CMR in Evaluating Valvular Heart Disease: Diagnosis, Severity, and Outcomes.
CMR 在评估心脏瓣膜病中的应用:诊断、严重程度和预后。
JACC Cardiovasc Imaging. 2021 Oct;14(10):2020-2032. doi: 10.1016/j.jcmg.2020.09.029. Epub 2020 Nov 25.
4
Myocardial Scar and Mortality in Chronic Aortic Regurgitation.心肌瘢痕与慢性主动脉瓣反流患者的死亡率。
J Am Heart Assoc. 2020 Dec;9(23):e018731. doi: 10.1161/JAHA.120.018731. Epub 2020 Nov 26.
5
Aortic regurgitation caused by rupture of a well-balanced fibrous strand suspending a degenerative tricuspid aortic valve.
J Thorac Cardiovasc Surg. 2002 Oct;124(4):843-4. doi: 10.1067/mtc.2002.124296.