• 文献检索
  • 文档翻译
  • 深度研究
  • 学术资讯
  • Suppr Zotero 插件Zotero 插件
  • 邀请有礼
  • 套餐&价格
  • 历史记录
应用&插件
Suppr Zotero 插件Zotero 插件浏览器插件Mac 客户端Windows 客户端微信小程序
定价
高级版会员购买积分包购买API积分包
服务
文献检索文档翻译深度研究API 文档MCP 服务
关于我们
关于 Suppr公司介绍联系我们用户协议隐私条款
关注我们

Suppr 超能文献

核心技术专利:CN118964589B侵权必究
粤ICP备2023148730 号-1Suppr @ 2026

文献检索

告别复杂PubMed语法,用中文像聊天一样搜索,搜遍4000万医学文献。AI智能推荐,让科研检索更轻松。

立即免费搜索

文件翻译

保留排版,准确专业,支持PDF/Word/PPT等文件格式,支持 12+语言互译。

免费翻译文档

深度研究

AI帮你快速写综述,25分钟生成高质量综述,智能提取关键信息,辅助科研写作。

立即免费体验

在B3GALT6相关疾病的脊柱手术中选择实质受累椎体作为最低固定椎体:临床经验与文献综述

Selecting the Substantially Touched Vertebra as the Lowest Instrumented Vertebra in Spinal Surgeries for B3GALT6 -Related Disorders: Clinical Experience and Literature Review.

作者信息

Maheshati Aoran, Xu Kexin, Li Ziquan, Li Guozhuang, Yin Xiangjie, Li Qing, Liu Di, Wang Shengru, Wu Zhihong, Qiu Guixing, Zhang Baozhong, Zhang Terry Jianguo, Wang Yu, Wu Nan

机构信息

Department of Orthopedic Surgery, Peking Union Medical College Hospital, Chinese Academy of Medical Sciences & Peking Union Medical College, Beijing, China.

State Key Laboratory of Complex Severe and Rare Diseases, Peking Union Medical College Hospital, Chinese Academy of Medical Sciences & Peking Union Medical College, Beijing, China.

出版信息

Orthop Surg. 2025 Jul;17(7):2025-2037. doi: 10.1111/os.70072. Epub 2025 May 15.

DOI:10.1111/os.70072
PMID:40371684
原文链接:https://pmc.ncbi.nlm.nih.gov/articles/PMC12214426/
Abstract

OBJECTIVES

B3GALT6 -related disorders are characterized by severe early-onset spinal deformities requiring surgical corrections but are associated with increased risks of perioperative complications. This study reports the clinical experience and outcomes of selecting the substantially touched vertebra (STV) as the lowest instrumented vertebra (LIV) in spinal surgeries for patients with B3GALT6 -related disorders, a group of extremely rare skeletal and connective tissue disorders.

METHODS

This retrospective study included patients who were molecularly diagnosed with B3GALT6 -related disorders and received spinal surgeries for (kypho)scoliosis between 2017 and June 2023. Their medical records were reviewed. We also conducted a systematic literature review to identify (kypho)scoliosis management in patients with B3GALT6 -related disorders.

RESULTS

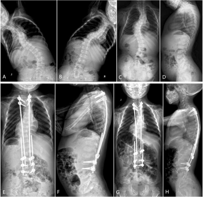
We identified a total of four patients. Patient 1 presented with severe kyphoscoliosis and segmentation defects and received a pedicle subtraction osteotomy with short fusion and dual growing rods from T3 to L3. However, coronal imbalance was observed at the 18-month follow-up. Genetic testing revealed biallelic disease-causing variants in B3GALT6 . A revision surgery was successfully performed, with the level of the LIV extended to the STV (L4). The LIV was similarly extended to the STV in the index surgery for subsequent Patients 2 and 3 who received preoperative genetic testing results, and no complication has been observed. Patient 4 underwent preoperative Halo-pelvic traction to minimize complications, followed by posterior spinal fusion. The curves were successfully reduced without complications. A systematic literature review identified 86 articles reporting (kypho) scoliosis management in 12 of the 63 patients with B3GALT6 -related disorders. Limited surgical experience has been reported, with an increased rate of complications, including death.

CONCLUSIONS

Selecting the STV as the LIV is recommended in spinal surgeries for patients with B3GALT6 -related disorders, considering the characteristic joint hypermobility associated with the condition. Additionally, preoperative Halo-pelvic traction may also be safe and effective. Furthermore, preoperative molecular diagnosis is essential for enabling precision medicine and minimizing complications.

摘要

目的

与B3GALT6相关的疾病的特征是严重的早发性脊柱畸形,需要手术矫正,但围手术期并发症风险增加。本研究报告了在为患有B3GALT6相关疾病(一组极其罕见的骨骼和结缔组织疾病)的患者进行脊柱手术时,选择实质受累椎体(STV)作为最低固定椎体(LIV)的临床经验和结果。

方法

这项回顾性研究纳入了2017年至2023年6月间分子诊断为B3GALT6相关疾病并因(后凸)脊柱侧弯接受脊柱手术的患者。对他们的病历进行了回顾。我们还进行了系统的文献综述,以确定B3GALT6相关疾病患者的(后凸)脊柱侧弯治疗方法。

结果

我们共确定了4例患者。患者1表现为严重的脊柱后凸侧弯和节段性缺损,接受了经椎弓根截骨术、短节段融合以及从T3至L3的双生长棒植入。然而,在18个月的随访中观察到冠状面失衡。基因检测显示B3GALT6存在双等位基因致病变异。成功进行了翻修手术,将LIV水平扩展至STV(L4)。在随后接受术前基因检测结果的患者2和患者3的初次手术中,LIV同样扩展至STV,且未观察到并发症。患者4在术前进行了头盆牵引以尽量减少并发症,随后进行了后路脊柱融合术。侧弯成功矫正,无并发症发生。系统的文献综述确定了86篇报告,涉及63例B3GALT6相关疾病患者中12例的(后凸)脊柱侧弯治疗。已报道的手术经验有限,并发症发生率增加,包括死亡。

结论

考虑到与该疾病相关的特征性关节活动过度,对于患有B3GALT6相关疾病的患者,建议在脊柱手术中选择STV作为LIV。此外,术前头盆牵引也可能是安全有效的。此外,术前分子诊断对于实现精准医疗和减少并发症至关重要。

https://cdn.ncbi.nlm.nih.gov/pmc/blobs/7dba/12214426/4157568e39d6/OS-17-2025-g001.jpg
https://cdn.ncbi.nlm.nih.gov/pmc/blobs/7dba/12214426/50bd374d06b0/OS-17-2025-g004.jpg
https://cdn.ncbi.nlm.nih.gov/pmc/blobs/7dba/12214426/90be42d6f19e/OS-17-2025-g003.jpg
https://cdn.ncbi.nlm.nih.gov/pmc/blobs/7dba/12214426/4157568e39d6/OS-17-2025-g001.jpg
https://cdn.ncbi.nlm.nih.gov/pmc/blobs/7dba/12214426/50bd374d06b0/OS-17-2025-g004.jpg
https://cdn.ncbi.nlm.nih.gov/pmc/blobs/7dba/12214426/90be42d6f19e/OS-17-2025-g003.jpg
https://cdn.ncbi.nlm.nih.gov/pmc/blobs/7dba/12214426/4157568e39d6/OS-17-2025-g001.jpg

相似文献

1
Selecting the Substantially Touched Vertebra as the Lowest Instrumented Vertebra in Spinal Surgeries for B3GALT6 -Related Disorders: Clinical Experience and Literature Review.在B3GALT6相关疾病的脊柱手术中选择实质受累椎体作为最低固定椎体:临床经验与文献综述
Orthop Surg. 2025 Jul;17(7):2025-2037. doi: 10.1111/os.70072. Epub 2025 May 15.
2
Patient and surgical predictors of 3D correction in posterior spinal fusion: a systematic review.后路脊柱融合术中 3D 矫正的患者和手术预测因素:系统评价。
Eur Spine J. 2023 Jun;32(6):1927-1946. doi: 10.1007/s00586-023-07708-2. Epub 2023 Apr 20.
3
Intraoperative image guidance compared with free-hand methods in adolescent idiopathic scoliosis posterior spinal surgery: a systematic review on screw-related complications and breach rates.青少年特发性脊柱侧弯后路脊柱手术中术中影像引导与徒手操作方法的比较:关于螺钉相关并发症和突破率的系统评价
Spine J. 2017 Sep;17(9):1215-1229. doi: 10.1016/j.spinee.2017.04.001. Epub 2017 Apr 17.
4
How Does Anterior Vertebral Body Tethering Compare to Posterior Spinal Fusion for Thoracic Idiopathic Scoliosis? A Nonrandomized Clinical Trial.对于青少年特发性脊柱侧凸,椎体前路栓系术与后路脊柱融合术相比效果如何?一项非随机临床试验。
Clin Orthop Relat Res. 2025 Jun 19. doi: 10.1097/CORR.0000000000003575.
5
Multistage correction of severe kyphoscoliosis and pulmonary compromise in adults through combined halo-pelvic traction and posterior spinal techniques.通过联合头盆牵引和后路脊柱技术对成人重度脊柱后凸畸形和肺功能损害进行多阶段矫正。
Sci Rep. 2025 Jul 7;15(1):24318. doi: 10.1038/s41598-025-10307-4.
6
Do Hounsfield Units From Intraoperative CT Scans Correlate With Preoperative Values?术中 CT 扫描的 Hounsfield 单位与术前值相关吗?
Clin Orthop Relat Res. 2024 Oct 1;482(10):1885-1892. doi: 10.1097/CORR.0000000000003122. Epub 2024 May 9.
7
Clinical Practice Updates: AGA Clinical Practice Update on GI Manifestations and Autonomic or Immune Dysfunction in Hypermobile Ehlers-Danlos Syndrome: Expert Review.临床实践更新:美国胃肠病学会关于可弯曲性埃勒斯-当洛综合征的胃肠道表现及自主神经或免疫功能障碍的临床实践更新:专家综述
Clin Gastroenterol Hepatol. 2025 May 19. doi: 10.1016/j.cgh.2025.02.015.
8
Spinal Muscular Atrophy脊髓性肌萎缩症
9
Comparison of clinical and radiological outcomes of 3-column lumbar osteotomies with and without interbody cages for adult spinal deformity.有无椎间融合器的三柱腰椎截骨术治疗成人脊柱畸形的临床和影像学结果比较
Spine J. 2025 Jul;25(7):1508-1522. doi: 10.1016/j.spinee.2025.01.001. Epub 2025 Jan 10.
10
Home treatment for mental health problems: a systematic review.心理健康问题的居家治疗:一项系统综述
Health Technol Assess. 2001;5(15):1-139. doi: 10.3310/hta5150.

本文引用的文献

1
Diagnosis and treatment of the Ehlers-Danlos syndromes in China: synopsis of the first guidelines.中国的埃勒斯-当洛斯综合征的诊断和治疗:首个指南概要。
Orphanet J Rare Dis. 2024 May 13;19(1):194. doi: 10.1186/s13023-024-03121-0.
2
Heterozygous THBS2 pathogenic variant causes Ehlers-Danlos syndrome with prominent vascular features in humans and mice.杂合性 THBS2 致病性变异导致人类和小鼠中具有显著血管特征的埃勒斯-当洛斯综合征。
Eur J Hum Genet. 2024 May;32(5):550-557. doi: 10.1038/s41431-024-01559-1. Epub 2024 Mar 4.
3
B3GALT6-linkeropathy: Three illustrative patients spanning the disease spectrum.
β-1,3-半乳糖基转移酶6相关疾病:三位涵盖该疾病谱的典型患者。
Eur J Med Genet. 2023 Oct;66(10):104829. doi: 10.1016/j.ejmg.2023.104829. Epub 2023 Aug 30.
4
Update on the Diagnosis and Management of Early-onset Scoliosis.早发性脊柱侧弯的诊断与治疗进展
Curr Rev Musculoskelet Med. 2023 Oct;16(10):447-456. doi: 10.1007/s12178-023-09848-w. Epub 2023 Aug 24.
5
Nosology of genetic skeletal disorders: 2023 revision.遗传骨骼疾病分类学:2023 修订版。
Am J Med Genet A. 2023 May;191(5):1164-1209. doi: 10.1002/ajmg.a.63132. Epub 2023 Feb 13.
6
Growing rods for early-onset scoliosis in Ehlers-Danlos disease.在埃勒斯-当洛斯病中使用生长棒治疗早发性脊柱侧凸。
Spine Deform. 2023 Jan;11(1):237-242. doi: 10.1007/s43390-022-00580-y. Epub 2022 Oct 14.
7
Safety and Efficacy of Pediatric Growth Hormone Therapy: Results From the Full KIGS Cohort.儿科生长激素治疗的安全性和疗效:来自完整 KIGS 队列的结果。
J Clin Endocrinol Metab. 2022 Nov 25;107(12):3287-3301. doi: 10.1210/clinem/dgac517.
8
Alterations in glycosaminoglycan biosynthesis associated with the Ehlers-Danlos syndromes.与埃勒斯-当洛综合征相关的糖胺聚糖生物合成改变。
Am J Physiol Cell Physiol. 2022 Dec 1;323(6):C1843-C1859. doi: 10.1152/ajpcell.00127.2022. Epub 2022 Aug 22.
9
Is it Safe to Save Levels and Choose the Lowest Instrumented Vertebra as Touched Vertebra While Selectively Fusing Lenke 1/2 Curves? A Proportional Meta-Analysis of Existing Evidence.在选择性融合Lenke 1/2型曲线时,保存节段并选择最低的固定椎体作为触及椎体是否安全?现有证据的比例Meta分析。
Global Spine J. 2023 Jan;13(1):219-226. doi: 10.1177/21925682221091744. Epub 2022 Apr 8.
10
Exome-wide Analysis of De Novo and Rare Genetic Variants in Patients With Brain Arteriovenous Malformation.脑动静脉畸形患者新发和罕见基因变异的全外显子组分析
Neurology. 2022 Apr 19;98(16):e1670-e1678. doi: 10.1212/WNL.0000000000200114. Epub 2022 Feb 28.