Zhang Zongwang, Zheng Lixia, Chen Yang, Chen Yuanyuan, Hou Junjie, Xiao Chenglu, Zhu Xiaojun, Zhao Shi-Min, Xiong Jing-Wei
Beijing Key Laboratory of Cardiometabolic Molecular Medicine, Institute of Molecular Medicine, College of Future Technology, Academy for Advanced Interdisciplinary Studies, and State Key Laboratory of Natural and Biomimetic Drugs, Peking University, Beijing, China.
School of Basic Medical Sciences and The Second Affiliated Hospital, Jiangxi Medical College, Nanchang University, Nanchang, China.
Elife. 2025 May 15;13:RP99670. doi: 10.7554/eLife.99670.
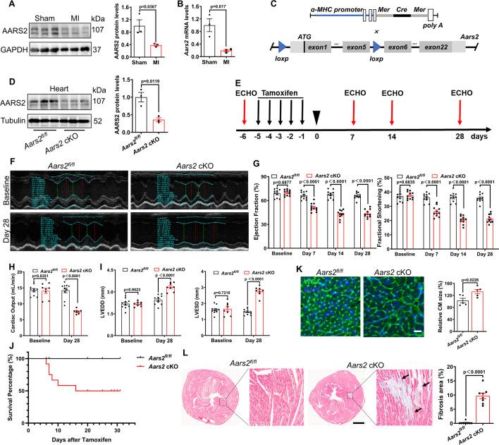
AARS2, an alanyl-tRNA synthase, is essential for protein translation, but its function in mouse hearts is not fully addressed. Here, we found that cardiomyocyte-specific deletion of mouse AARS2 exhibited evident cardiomyopathy with impaired cardiac function, notable cardiac fibrosis, and cardiomyocyte apoptosis. Cardiomyocyte-specific AARS2 overexpression in mice improved cardiac function and reduced cardiac fibrosis after myocardial infarction (MI), without affecting cardiomyocyte proliferation and coronary angiogenesis. Mechanistically, AARS2 overexpression suppressed cardiomyocyte apoptosis and mitochondrial reactive oxide species production, and changed cellular metabolism from oxidative phosphorylation toward glycolysis in cardiomyocytes, thus leading to cardiomyocyte survival from ischemia and hypoxia stress. Ribo-Seq revealed that overexpression increased pyruvate kinase M2 (PKM2) protein translation and the ratio of PKM2 dimers to tetramers that promote glycolysis. Additionally, PKM2 activator TEPP-46 reversed cardiomyocyte apoptosis and cardiac fibrosis caused by AARS2 deficiency. Thus, this study demonstrates that AARS2 plays an essential role in protecting cardiomyocytes from ischemic pressure fine-tuning PKM2-mediated energy metabolism, and presents a novel cardiac protective AARS2-PKM2 signaling during the pathogenesis of MI.
丙氨酰 - tRNA合成酶2(AARS2)对蛋白质翻译至关重要,但其在小鼠心脏中的功能尚未得到充分研究。在此,我们发现小鼠AARS2在心肌细胞中的特异性缺失表现出明显的心肌病,伴有心脏功能受损、显著的心脏纤维化和心肌细胞凋亡。在小鼠中,心肌细胞特异性过表达AARS2可改善心肌梗死后的心脏功能并减少心脏纤维化,且不影响心肌细胞增殖和冠状动脉血管生成。机制上,AARS2过表达抑制心肌细胞凋亡和线粒体活性氧生成,并使心肌细胞的细胞代谢从氧化磷酸化转变为糖酵解,从而使心肌细胞在缺血和缺氧应激下存活。核糖体测序显示,过表达增加了丙酮酸激酶M2(PKM2)的蛋白质翻译以及促进糖酵解的PKM2二聚体与四聚体的比例。此外,PKM2激活剂TEPP - 46可逆转由AARS2缺乏引起的心肌细胞凋亡和心脏纤维化。因此,本研究表明AARS2在保护心肌细胞免受缺血压力方面起着至关重要的作用,通过微调PKM2介导的能量代谢,并在心肌梗死发病机制中呈现出一种新的心脏保护AARS2 - PKM2信号通路。