• 文献检索
  • 文档翻译
  • 深度研究
  • 学术资讯
  • Suppr Zotero 插件Zotero 插件
  • 邀请有礼
  • 套餐&价格
  • 历史记录
应用&插件
Suppr Zotero 插件Zotero 插件浏览器插件Mac 客户端Windows 客户端微信小程序
定价
高级版会员购买积分包购买API积分包
服务
文献检索文档翻译深度研究API 文档MCP 服务
关于我们
关于 Suppr公司介绍联系我们用户协议隐私条款
关注我们

Suppr 超能文献

核心技术专利:CN118964589B侵权必究
粤ICP备2023148730 号-1Suppr @ 2026

文献检索

告别复杂PubMed语法,用中文像聊天一样搜索,搜遍4000万医学文献。AI智能推荐,让科研检索更轻松。

立即免费搜索

文件翻译

保留排版,准确专业,支持PDF/Word/PPT等文件格式,支持 12+语言互译。

免费翻译文档

深度研究

AI帮你快速写综述,25分钟生成高质量综述,智能提取关键信息,辅助科研写作。

立即免费体验

黏液性囊性肿瘤和单纯性黏液性囊肿是胰腺癌的两种不同前体:临床病理、基因组和转录组特征

Mucinous cystic neoplasms and simple mucinous cysts are two distinct precursors of pancreatic cancer: clinicopathological, genomic, and transcriptomic characterization.

作者信息

Pea Antonio, Bevere Michele, Gkountakos Anastasios, Pasini Davide, Fiorini Denise, Mafficini Andrea, Golovco Stela, Simbolo Michele, Pedron Serena, Sciammarella Concetta, Mattiolo Paola, Mombello Aldo, Villanova Manuela, Franzina Carlotta, Masetto Francesca, Ciulla Calogero, Sperandio Nicola, Fujikura Kohei, Ahadi Masha S, Samra Jaswinder S, Johns Amber L, Verheij Joanne, Stommel Martijn W J, van Santvoort Hjalmar, Schubert Santana Leonor, Malleo Giuseppe, Milella Michele, Brosens Lodewijk A A, Wood Laura D, Chang David K, De Robertis Riccardo, D'Onofrio Mirko, Gill Anthony J, Salvia Roberto, Corbo Vincenzo, Lawlor Rita T, Scarpa Aldo, Luchini Claudio

机构信息

Department of General and Pancreatic Surgery-The Pancreas Institute, Verona University Hospital Trust, Verona, Italy.

ARC-Net Research Center, University of Verona, Verona, Italy.

出版信息

J Pathol. 2025 Aug;266(4-5):421-434. doi: 10.1002/path.6437. Epub 2025 May 15.

DOI:10.1002/path.6437
PMID:40371932
原文链接:https://pmc.ncbi.nlm.nih.gov/articles/PMC12256392/
Abstract

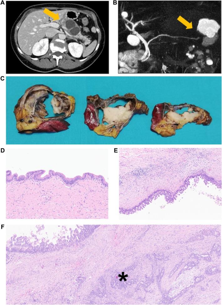
Mucinous cystic neoplasms (MCNs) of the pancreas are macroscopic precursors of pancreatic cancer. A similar cystic lesion but lacking the ovarian-type subepithelial stroma has been recently defined as a simple mucinous cyst (SMC); however, its nature remains unclear. This study aims to define the clinicopathological and molecular profiles of a cohort of MCNs and SMCs of the pancreas and their associated invasive carcinoma. Overall, 23 cases were identified, comprising 19 MCNs and 4 SMCs with co-occurring invasive carcinoma. A multiregional (two samples from each cystic lesion and one from the adenocarcinoma) DNA and RNA sequencing approach was used. The key findings can be summarized as follows: (1) Molecular association: In 22/23 cases (95.7%), the concomitant mucinous cyst and invasive carcinoma shared specific genomic alterations, establishing for the first time that SMC is a true precursor of pancreatic cancer. (2) Clinical behavior: carcinomas arising from SMC appeared to be more aggressive than those arising from MCN. (3) Mutational profile: both cyst types showed significant similarities to conventional pancreatic ductal adenocarcinoma (PDAC), with KRAS and TP53 the most commonly altered genes. (4) Intracystic heterogeneity: while most molecular alterations were present in both analyzed cystic areas, RNF43 showed the highest heterogeneity. (5) CDKN2A: its alterations were predominantly restricted to the invasive component, suggesting a role in driving the invasion in a subset of cases. CNKN2A may also serve as a potential biomarker for identifying high-risk cysts. (6) RNAseq: most cases showed a switch from the classical to the basal transcriptome subtype during the progression from cystic neoplasms to invasive cancers. These findings establish SMCs as new precursors of pancreatic cancer and provide critical insights into the tumorigenesis of MCNs, with potential immediate implications for tumor taxonomy and clinical management. © 2025 The Author(s). The Journal of Pathology published by John Wiley & Sons Ltd on behalf of The Pathological Society of Great Britain and Ireland.

摘要

胰腺黏液性囊性肿瘤(MCNs)是胰腺癌的宏观前体。一种类似的囊性病变,但缺乏卵巢型上皮下间质,最近被定义为单纯黏液性囊肿(SMC);然而,其性质仍不清楚。本研究旨在确定一组胰腺MCNs和SMCs及其相关浸润性癌的临床病理和分子特征。总体而言,共鉴定出23例病例,包括19例MCNs和4例伴有浸润性癌的SMCs。采用多区域(每个囊性病变取两个样本,腺癌取一个样本)DNA和RNA测序方法。主要发现可总结如下:(1)分子关联:在22/23例(95.7%)病例中,伴发的黏液性囊肿和浸润性癌共享特定的基因组改变,首次证实SMC是胰腺癌的真正前体。(2)临床行为:由SMC产生的癌似乎比由MCN产生的癌更具侵袭性。(3)突变谱:两种囊肿类型均与传统胰腺导管腺癌(PDAC)表现出显著相似性,KRAS和TP53是最常发生改变的基因。(4)囊内异质性:虽然大多数分子改变存在于两个分析的囊性区域,但RNF43表现出最高的异质性。(5)CDKN2A:其改变主要局限于浸润成分,提示在部分病例中驱动侵袭的作用。CNKN2A也可能作为识别高危囊肿的潜在生物标志物。(6)RNAseq:大多数病例在从囊性肿瘤进展为浸润性癌的过程中显示出从经典转录组亚型向基底转录组亚型的转变。这些发现将SMCs确立为胰腺癌的新前体,并为MCNs的肿瘤发生提供了关键见解,对肿瘤分类和临床管理具有潜在的直接影响。© 2025作者。《病理学杂志》由约翰·威利父子有限公司代表大不列颠及爱尔兰病理学会出版。

https://cdn.ncbi.nlm.nih.gov/pmc/blobs/5b85/12256392/e334d142511b/PATH-266-421-g003.jpg
https://cdn.ncbi.nlm.nih.gov/pmc/blobs/5b85/12256392/e38ddeec8d1a/PATH-266-421-g001.jpg
https://cdn.ncbi.nlm.nih.gov/pmc/blobs/5b85/12256392/e8236f63141d/PATH-266-421-g002.jpg
https://cdn.ncbi.nlm.nih.gov/pmc/blobs/5b85/12256392/e334d142511b/PATH-266-421-g003.jpg
https://cdn.ncbi.nlm.nih.gov/pmc/blobs/5b85/12256392/e38ddeec8d1a/PATH-266-421-g001.jpg
https://cdn.ncbi.nlm.nih.gov/pmc/blobs/5b85/12256392/e8236f63141d/PATH-266-421-g002.jpg
https://cdn.ncbi.nlm.nih.gov/pmc/blobs/5b85/12256392/e334d142511b/PATH-266-421-g003.jpg

相似文献

1
Mucinous cystic neoplasms and simple mucinous cysts are two distinct precursors of pancreatic cancer: clinicopathological, genomic, and transcriptomic characterization.黏液性囊性肿瘤和单纯性黏液性囊肿是胰腺癌的两种不同前体:临床病理、基因组和转录组特征
J Pathol. 2025 Aug;266(4-5):421-434. doi: 10.1002/path.6437. Epub 2025 May 15.
2
Unveiling the intriguing relationship: oncogenic KRAS, morphological shifts, and mutational complexity in pancreatic mucinous cystic neoplasms.揭示有趣的关系:胰腺黏液性囊性肿瘤中的致癌性KRAS、形态学转变和突变复杂性。
J Pathol. 2025 Apr;265(4):401-407. doi: 10.1002/path.6397. Epub 2025 Feb 5.
3
Mucinous cystic neoplasms of the pancreas and liver share a similar DNA methylation profile with mucinous ovarian tumors.胰腺和肝脏的黏液性囊性肿瘤与黏液性卵巢肿瘤具有相似的DNA甲基化谱。
J Pathol. 2025 Sep;267(1):10-24. doi: 10.1002/path.6439. Epub 2025 Jun 25.
4
Nature and management of pancreatic mucinous cystic neoplasm (MCN): A systematic review of the literature.胰腺黏液性囊性肿瘤(MCN)的性质与管理:文献系统综述
Pancreatology. 2016 Nov-Dec;16(6):1028-1036. doi: 10.1016/j.pan.2016.09.011. Epub 2016 Sep 20.
5
Diagnostic accuracy and risk stratification of pancreatic cyst fluids diagnosed as mucinous neoplasms without mucinous epithelium.诊断为无黏液上皮的黏液性肿瘤的胰腺囊肿液的诊断准确性和风险分层
Cancer Cytopathol. 2025 Aug;133(8):e70030. doi: 10.1002/cncy.70030.
6
Systemic treatments for metastatic cutaneous melanoma.转移性皮肤黑色素瘤的全身治疗
Cochrane Database Syst Rev. 2018 Feb 6;2(2):CD011123. doi: 10.1002/14651858.CD011123.pub2.
7
Can a Liquid Biopsy Detect Circulating Tumor DNA With Low-passage Whole-genome Sequencing in Patients With a Sarcoma? A Pilot Evaluation.液体活检能否通过低深度全基因组测序检测肉瘤患者的循环肿瘤DNA?一项初步评估。
Clin Orthop Relat Res. 2025 Jan 1;483(1):39-48. doi: 10.1097/CORR.0000000000003161. Epub 2024 Jun 21.
8
Management of mucinous cystic neoplasms of the pancreas.胰腺黏液性囊性肿瘤的处理。
World J Gastroenterol. 2010 Dec 7;16(45):5682-92. doi: 10.3748/wjg.v16.i45.5682.
9
Molecular feature-based classification of retroperitoneal liposarcoma: a prospective cohort study.基于分子特征的腹膜后脂肪肉瘤分类:一项前瞻性队列研究。
Elife. 2025 May 23;14:RP100887. doi: 10.7554/eLife.100887.
10
PLAGL2 as a prognostic biomarker and an EMT-promoting factor in PDAC.PLAGL2作为胰腺癌的一种预后生物标志物和上皮-间质转化促进因子。
Sci Rep. 2025 Jul 14;15(1):25425. doi: 10.1038/s41598-025-09591-x.

引用本文的文献

1
Mucinous Cystic Neoplasms in Male Patients: Histopathological and Molecular Diagnoses.男性患者的黏液性囊性肿瘤:组织病理学和分子诊断
Curr Oncol. 2025 Jun 13;32(6):352. doi: 10.3390/curroncol32060352.

本文引用的文献

1
Spatial Transcriptomics of Intraductal Papillary Mucinous Neoplasms Reveals Divergent Indolent and Malignant States.导管内乳头状黏液性肿瘤的空间转录组学揭示了不同的惰性和恶性状态。
Clin Cancer Res. 2025 May 1;31(9):1796-1808. doi: 10.1158/1078-0432.CCR-24-1529.
2
Gradual telomere shortening in the tumorigenesis of pancreatic and hepatic mucinous cystic neoplasms.胰腺和肝黏液性囊性肿瘤发生过程中端粒逐渐缩短。
Hum Pathol. 2024 Oct;152:105653. doi: 10.1016/j.humpath.2024.105653. Epub 2024 Aug 28.
3
Burden of 30 cancers among men: Global statistics in 2022 and projections for 2050 using population-based estimates.
男性30种癌症的负担:基于人群估计的2022年全球统计数据及2050年预测
Cancer. 2024 Nov 1;130(21):3708-3723. doi: 10.1002/cncr.35458. Epub 2024 Aug 12.
4
A MYCN-driven de-differentiation profile identifies a subgroup of aggressive retinoblastoma.一种由 MYCN 驱动的去分化特征确定了一组侵袭性视网膜母细胞瘤亚群。
Commun Biol. 2024 Jul 30;7(1):919. doi: 10.1038/s42003-024-06596-6.
5
Comprehensive Characterization of Intraductal Oncocytic Papillary Neoplasm of the Pancreas: A Systematic and Critical Review.全面描述胰腺导管内嗜酸细胞性乳头状肿瘤:系统和批判性综述。
Mod Pathol. 2024 Sep;37(9):100554. doi: 10.1016/j.modpat.2024.100554. Epub 2024 Jun 29.
6
Global cancer statistics 2022: GLOBOCAN estimates of incidence and mortality worldwide for 36 cancers in 185 countries.2022 年全球癌症统计数据:全球 185 个国家和地区 36 种癌症的发病率和死亡率全球估计数。
CA Cancer J Clin. 2024 May-Jun;74(3):229-263. doi: 10.3322/caac.21834. Epub 2024 Apr 4.
7
Identification of spatially-resolved markers of malignant transformation in Intraductal Papillary Mucinous Neoplasms.鉴定导管内乳头状黏液性肿瘤恶性转化的空间分辨标志物。
Nat Commun. 2024 Mar 29;15(1):2764. doi: 10.1038/s41467-024-46994-2.
8
Diagnosis and Management of Pancreatic Cysts.胰腺囊肿的诊断与治疗。
Gastroenterology. 2024 Aug;167(3):454-468. doi: 10.1053/j.gastro.2024.02.041. Epub 2024 Mar 3.
9
Integrated Molecular Characterization of Intraductal Papillary Mucinous Neoplasms: An NCI Cancer Moonshot Precancer Atlas Pilot Project.导管内乳头状黏液性肿瘤的综合分子特征:NCI 癌症登月计划癌前图谱试点项目。
Cancer Res Commun. 2023 Oct 10;3(10):2062-2073. doi: 10.1158/2767-9764.CRC-22-0419.
10
Co-occurring IPMN and pancreatic cancer: the same or different? An overview from histology to molecular pathology.胰腺导管内乳头状黏液性肿瘤(IPMN)与胰腺癌并存:相同还是不同?从组织学到分子病理学的概述
J Clin Pathol. 2023 Nov;76(11):734-739. doi: 10.1136/jcp-2023-209012. Epub 2023 Jul 27.