Suppr超能文献

使用数字全景X线摄影指标作为骨质疏松症筛查工具对慢性槟榔咀嚼者和非咀嚼者颌骨密度进行比较评估的方案

Jaw Bone Density in Chronic Areca Nut Chewers and Nonchewers Using Digital Panoramic Radiography Indices as a Screening Tool for Osteoporosis: Protocol for a Comparative Evaluation.

作者信息

Tiwari Aakanksha, Dangore-Khasbage Suwarna

机构信息

Department of Oral Medicine and Radiology, Sharad Pawar Dental College and Hospital, Datta Meghe Institute of Medical Sciences, Wardha, India.

出版信息

JMIR Res Protoc. 2025 May 15;14:e72041. doi: 10.2196/72041.

Abstract

BACKGROUND

Jaw bone density can be altered due to various factors including aging, bone pathologies, hormonal levels, medications affecting bone density, and undue stress posed by parafunctional and adverse habits. Of these factors, chronic areca nut chewing, which creates a heavy load on jaw bones, is a commonly encountered adverse habit in patients. Digital panoramic radiography (OPG) indices are an easy and cost-effective method to evaluate jaw bone density. Index values can also be used as a screening tool for osteoporosis.

OBJECTIVE

This study aims to compare and evaluate jaw bone density in chronic areca nut chewers and nonchewers using OPG indices as a screening tool for osteoporosis.

METHODS

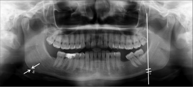
Patients aged 20 years to 40 years reporting to the Department of Oral Medicine and Radiology with and without a history of chronic areca nut chewing will be recruited. OPG will be collected for all recruited patients. The mandibular cortical index, panoramic mandibular index, gonial index, antegonial index, antegoinal notch depth, and mental index will be calculated.

RESULTS

The values of these indices will be used to assess and compare osteoporosis in chronic areca nut chewers and nonchewers. Data will be entered and displayed in a tabular format, and correlations between osteoporosis and OPG index values will be determined. The study did not receive any external funding. Recruitment is expected to begin in summer 2025, and publication of the results is expected to occur in late 2026.

CONCLUSIONS

Evaluation of jaw bone density in chronic areca nut chewers using OPG indices might prove to be a feasible and cost-effective technique for assessing osteoporotic bone changes. Although the gold standard modality is dual x-ray absorptiometry, its cost and availability create challenges for use in the general population. As osteoporosis of jaw bones does not usually present with symptoms, patients can be made aware of it using the findings from this evaluation. Hence, it will ultimately aid in early detection and prompt interventions, thereby halting disease progress.

INTERNATIONAL REGISTERED REPORT IDENTIFIER (IRRID): PRR1-10.2196/72041.

摘要

背景

颌骨密度会因多种因素而改变,这些因素包括衰老、骨病理学、激素水平、影响骨密度的药物以及由异常功能和不良习惯所带来的过度压力。在这些因素中,长期嚼槟榔会给颌骨造成沉重负担,这是患者中常见的不良习惯。数字化全景X线摄影(OPG)指标是评估颌骨密度的一种简便且经济有效的方法。指标值还可作为骨质疏松症的筛查工具。

目的

本研究旨在使用OPG指标作为骨质疏松症的筛查工具,比较和评估长期嚼槟榔者与不嚼槟榔者的颌骨密度。

方法

招募年龄在20岁至40岁之间、有或无长期嚼槟榔史且到口腔医学与放射科就诊的患者。为所有招募的患者采集OPG。计算下颌骨皮质指数、全景下颌指数、角指数、角前切迹指数、角前切迹深度和颏孔指数。

结果

这些指标的值将用于评估和比较长期嚼槟榔者与不嚼槟榔者的骨质疏松情况。数据将以表格形式录入和展示,并确定骨质疏松与OPG指标值之间的相关性。本研究未接受任何外部资金。预计2025年夏季开始招募,结果预计在2026年末发表。

结论

使用OPG指标评估长期嚼槟榔者的颌骨密度可能是一种评估骨质疏松性骨变化的可行且经济有效的技术。虽然金标准方法是双能X线吸收法,但其成本和可用性给在普通人群中的应用带来了挑战。由于颌骨骨质疏松通常没有症状,利用该评估结果可让患者了解自身情况。因此,这最终将有助于早期发现和及时干预,从而阻止疾病进展。

国际注册报告识别码(IRRID):PRR1-10.2196/72041。

https://cdn.ncbi.nlm.nih.gov/pmc/blobs/f642/12123245/45f440bc14c1/resprot_v14i1e72041_fig1.jpg

文献AI研究员

20分钟写一篇综述,助力文献阅读效率提升50倍。

立即体验

用中文搜PubMed

大模型驱动的PubMed中文搜索引擎

马上搜索

文档翻译

学术文献翻译模型,支持多种主流文档格式。

立即体验