Tao Xingyu, Wang Yanan, Jin Jiangbo, Yan Huilin, Yang Hui, Wan Xiaorui, Li Ping, Xiao Yanghua, Yu Qi, Liu Lingjiao, Liu Yang, Han Tianyu, Zhang Wei
Jiangxi Institute of Respiratory Disease, The Department of Respiratory and Critical Care Medicine, The First Affiliated Hospital, Jiangxi Medical College, Nanchang University, Nanchang City 330006 Jiangxi, China; Jiangxi Clinical Research Center for Respiratory Diseases, Nanchang City 330006 Jiangxi, China; China-Japan Friendship Jiangxi Hospital, National Regional Center for Respiratory Medicine, Nanchang City 330200 Jiangxi, China.
Department of Thoracic Surgery, The First Affiliated Hospital, Jiangxi Medical College, Nanchang University, Nanchang City 330006 Jiangxi, China.
J Adv Res. 2025 Aug;74:303-318. doi: 10.1016/j.jare.2025.05.031. Epub 2025 May 13.
Severe acute respiratory syndrome coronavirus 2 (SARS-CoV-2) poses a substantial global threat. SARS-CoV-2 nonstructural proteins (NSPs) are essential for impeding the host replication mechanism while also assisting in the production and organization of new viral components. However, NSPs are not incorporated into viral particles, and their subsequent fate within host cells remains poorly understood. Additionally, their role in viral pathogenesis requires further investigation.
This study aimed to discover the ultimate fate of NSP6 in host cells and to elucidate its role in viral pathogenesis.
We investigated the effects of NSP6 on cell death and explored the underlying mechanism; moreover, we examined the degradation mechanism of NSP6 in human cells, along with analysing its correlation with coronavirus disease 2019 (COVID-19) severity in patient peripheral blood mononuclear cells (PBMCs).
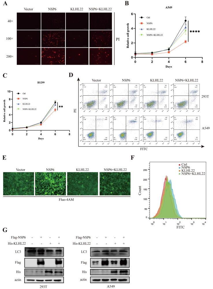
NSP6 was demonstrated to induce cell death. Specifically, NSP6 interacted with EI24 autophagy-associated transmembrane protein (EI24) to increase intracellular Ca levels, thereby enhancing the interactions between unc-51-like autophagy activating kinase 1 (ULK1) and RB1 inducible coiled-coil 1 (RB1CC1/FIP200), as well as beclin 1 (BECN1) and phosphatidylinositol 3-kinase catalytic subunit type 3 (PIK3C3). This cascade ultimately triggers autophagy, thus resulting in cell death. Additionally, we discovered that the homeostasis of the NSP6 protein was regulated by K48-linked ubiquitination. We identified kelch-like protein 22 (KLHL22) as the E3 ligase that was responsible for ubiquitinating and degrading NSP6, restoring intracellular calcium homeostasis and reversing NSP6-induced autophagic cell death. Moreover, NSP6 expression levels were observed to be positively associated with the severity of SARS-CoV-2-induced disease.
This study reveals that KLHL22-mediated ubiquitination controls NSP6 stability and that NSP6 induces autophagic cell death via calcium overload, highlighting its cytotoxic role and suggesting therapeutic strategies that target calcium signaling or promote NSP6 degradation as potential interventions against COVID-19.
严重急性呼吸综合征冠状病毒2(SARS-CoV-2)对全球构成了重大威胁。SARS-CoV-2非结构蛋白(NSPs)对于阻碍宿主复制机制至关重要,同时也有助于新病毒成分的产生和组装。然而,NSPs并未被整合到病毒颗粒中,它们在宿主细胞内的后续命运仍知之甚少。此外,它们在病毒发病机制中的作用还需要进一步研究。
本研究旨在发现NSP6在宿主细胞中的最终命运,并阐明其在病毒发病机制中的作用。
我们研究了NSP6对细胞死亡的影响,并探索其潜在机制;此外,我们研究了NSP6在人类细胞中的降解机制,并分析了其与2019冠状病毒病(COVID-19)患者外周血单个核细胞(PBMCs)严重程度的相关性。
已证明NSP6可诱导细胞死亡。具体而言,NSP6与EI24自噬相关跨膜蛋白(EI24)相互作用,以增加细胞内钙水平,从而增强unc-51样自噬激活激酶1(ULK1)与RB1诱导卷曲螺旋1(RB1CC1/FIP200)之间以及beclin 1(BECN1)与磷脂酰肌醇3激酶催化亚基3型(PIK3C3)之间的相互作用。这一级联反应最终触发自噬,从而导致细胞死亡。此外,我们发现NSP6蛋白的稳态受K48连接的泛素化调节。我们确定kelch样蛋白22(KLHL22)为负责泛素化和降解NSP6的E3连接酶,可恢复细胞内钙稳态并逆转NSP6诱导的自噬性细胞死亡。此外,观察到NSP6表达水平与SARS-CoV-2诱导疾病的严重程度呈正相关。
本研究表明,KLHL22介导的泛素化控制NSP6的稳定性,且NSP6通过钙超载诱导自噬性细胞死亡,突出了其细胞毒性作用,并提示针对钙信号传导或促进NSP6降解的治疗策略作为对抗COVID-19的潜在干预措施。