Suppr超能文献

艾滋病患者中模仿急性呼吸窘迫综合征的肺淋巴瘤性播散的诊断挑战:一例报告

Diagnostic challenges in pulmonary lymphomatous spread mimicking ARDS in an AIDS patient: a case report.

作者信息

Baratella Elisa, Berlot Giorgio, Pinamonti Maurizio, Bussani Rossana

机构信息

Radiology Unit, Department of Medical Surgical and Health Sciences, University Hospital Cattinara, Trieste, Italy.

Department of Anesthesia and Intensive Care, Azienda Sanitaria Universitaria Giuliano Isontina, Trieste, Italy.

出版信息

Int J Emerg Med. 2025 May 16;18(1):99. doi: 10.1186/s12245-025-00889-1.

Abstract

BACKGROUND

Immunocompromised individuals, particularly those with AIDS, are at increased risk of developing lymphoproliferative tumours and opportunistic infections. Radiologic findings alone may not always distinguish between these entities.

CASE PRESENTATION

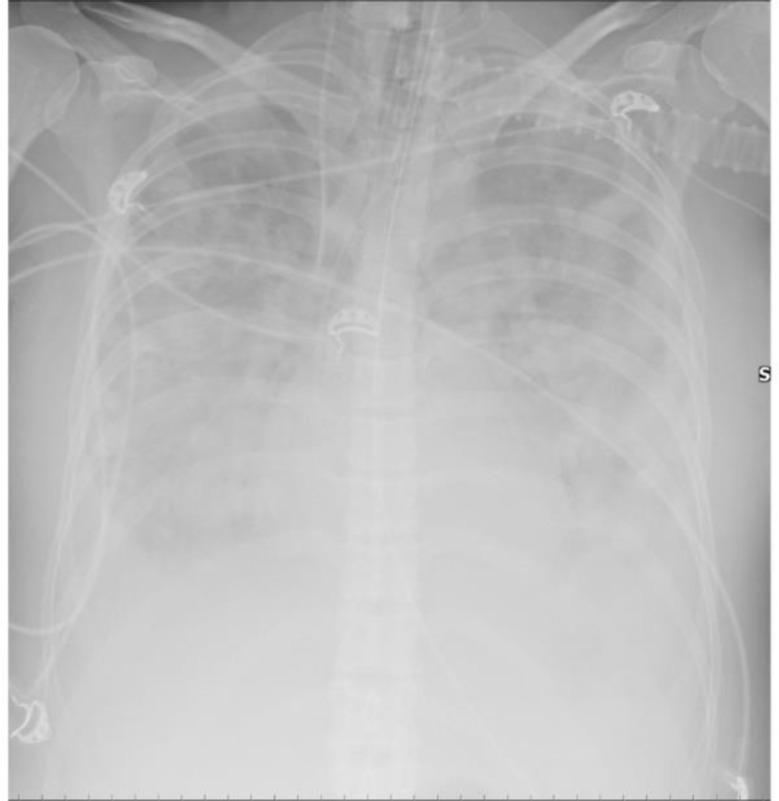
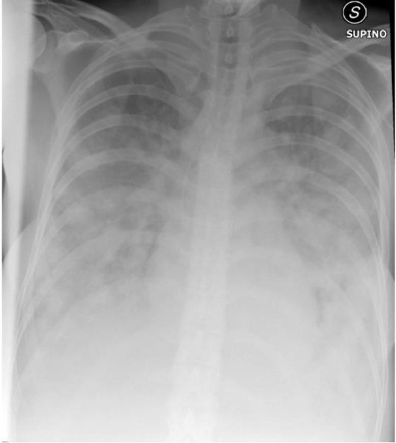
We describe the case of a patient with acquired immunodeficiency syndrome (AIDS) with rapidly worsening dyspnoea and clinical signs suggestive of acute respiratory distress syndrome (ARDS). Despite initial concerns for ARDS, autopsy revealed an advanced-stage, aggressive lymphoma as the underlying cause. This case highlights the challenge of differentiating ARDS from lymphoma in AIDS patients, especially when atypical radiologic findings, such as nodular opacities, are present.

CONCLUSIONS

The diagnosis of ARDS relies on imaging, oxygenation abnormalities, and clinical timing. However, various infectious and non-infectious conditions can mimic ARDS, making an accurate differential diagnosis essential. This case adds to the literature by underscoring the importance of considering lymphoproliferative disorders in AIDS patients presenting with respiratory distress, especially in the absence of typical lymphoma-related symptoms.

摘要

背景

免疫功能低下的个体,尤其是艾滋病患者,发生淋巴增殖性肿瘤和机会性感染的风险增加。仅依靠放射学检查结果并不总能区分这些疾病。

病例报告

我们描述了一例获得性免疫缺陷综合征(AIDS)患者的病例,该患者呼吸困难迅速加重,并有提示急性呼吸窘迫综合征(ARDS)的临床体征。尽管最初怀疑是ARDS,但尸检显示潜在病因是晚期侵袭性淋巴瘤。该病例突出了在艾滋病患者中区分ARDS和淋巴瘤的挑战,特别是当出现如结节状混浊等不典型放射学表现时。

结论

ARDS的诊断依赖于影像学、氧合异常和临床时机。然而,各种感染性和非感染性疾病都可能模仿ARDS,因此进行准确的鉴别诊断至关重要。该病例通过强调在出现呼吸窘迫的艾滋病患者中考虑淋巴增殖性疾病的重要性,尤其是在没有典型淋巴瘤相关症状的情况下,为文献增添了内容。

https://cdn.ncbi.nlm.nih.gov/pmc/blobs/3afc/12082976/5aa0960e2d34/12245_2025_889_Fig1_HTML.jpg

文献AI研究员

20分钟写一篇综述,助力文献阅读效率提升50倍。

立即体验

用中文搜PubMed

大模型驱动的PubMed中文搜索引擎

马上搜索

文档翻译

学术文献翻译模型,支持多种主流文档格式。

立即体验