Wang Pengyu, Guo Weihua, Liu Shuyue, Li Shouyi, Li Jiaqi, Ding Bowen, Yin Fengyi, Yang Yang, Li Xingjiang, Cao Pei, Ma Chaozhe, Zhang Wanying, Song Yidan, Geng Yating, Liu Lantao, Hu Jing, Hao Jihui, Feng Yukuan
Pancreas Center, State Key Laboratory of Druggability Evaluation and Systematic Translational Medicine, Tianjin Key Laboratory of Digestive Cancer, Tianjin's Clinical Research Center for Cancer, Tianjin Medical University Cancer Institute and Hospital, National Clinical Research Center for Cancer, Tianjin, 300060, China.
School of Basic Medicine, Mudanjiang Medical University, Mudanjiang, 157011, China.
J Exp Clin Cancer Res. 2025 May 17;44(1):149. doi: 10.1186/s13046-025-03409-4.
Copper accumulation triggers mitochondrial-driven cell death, known as cuproptosis, offering a promising mechanism for targeted cancer therapy. Recent studies have highlighted the critical role of intratumoral copper levels in regulating the expression of programmed cell death ligand-1 (PD-L1), suggesting that copper-induced cuproptosis not only enhances cancer cell death but may also amplify the effects of anti-PD-L1 antibodies (αPD-L1). However, in tumors where monotherapy with αPD-L1 shows limited efficacy, particularly in pancreatic ductal adenocarcinoma (PDAC), the role of copper-induced cuproptosis in enhancing αPD-L1 treatment efficacy and its underlying mechanisms remain unclear. Meanwhile, inadequate tumor drug accumulation and glycolysis significantly restrict the efficacy of cuproptosis. To address these challenges, we have synthesized a novel nanozyme, Pt@PCN-Cu, designed to stabilize intracellular copper accumulation and effectively induce cuproptosis. Additionally, we aim to determine whether this strong induction of cuproptosis can synergize with αPD-L1 to enhance cancer therapy, ultimately paving the way for novel strategies to improve PDAC treatment.
Pt@PCN-Cu was synthesized via a one-pot method, and its therapeutic potential was assessed in combination with αPD-L1 for the treatment of PDAC. Initially, the material's properties were characterized, and its efficient cellular uptake was confirmed. Anti-tumor efficacy was evaluated by inducing cuproptosis in PDAC cell lines and xenograft models. RNA sequencing (RNA-seq) was utilized to identify key regulators involved in the modulation of PD-L1 expression by cuproptosis. Lastly, the therapeutic efficacy of Pt@PCN-Cu combined with αPD-L1 was evaluated in vivo, focusing on tumor growth inhibition and immune modulation within the tumor microenvironment (TME).
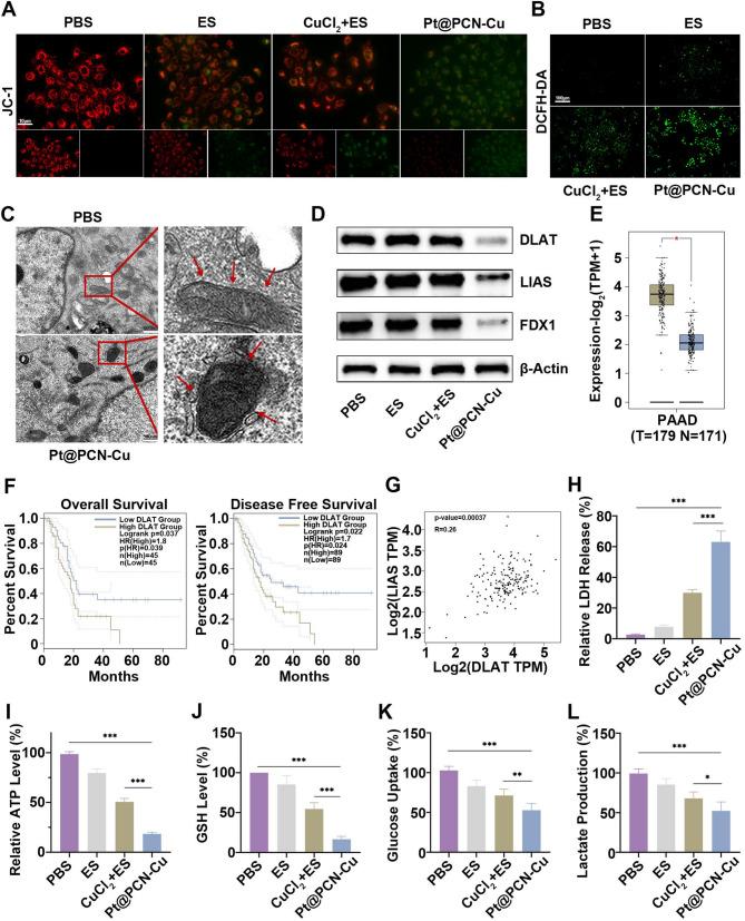
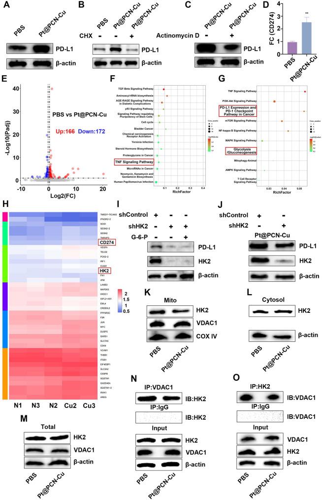
Pt@PCN-Cu demonstrates excellent physicochemical properties and remarkable cascade catalytic activity, providing a solid foundation for further in vitro and in vivo studies. In vitro, Pt@PCN-Cu efficiently transports copper and induces cuproptosis primarily through mitochondrial dysfunction. Mechanistic studies show that Pt@PCN-Cu triggers the dissociation of hexokinase 2 (HK2) from mitochondria, leading to a reduction in HK2 activity. This decline in HK2 activity impairs glycolysis, a metabolic pathway essential for tumor energy metabolism, which in turn results in elevated PD-L1 levels. In vivo, Pt@PCN-Cu demonstrates excellent safety and accumulates at the tumor site in a subcutaneous PDAC mouse model, inducing cuproptosis. Moreover, the combination of Pt@PCN-Cu with αPD-L1 further enhanced its therapeutic efficacy and effectively reprogrammed the immunosuppressive TME.
This study presents strong evidence confirming the safety and therapeutic potential of Pt@PCN-Cu in PDAC treatment. Importantly, Pt@PCN-Cu not only induces cuproptosis but also significantly enhances antitumor efficacy in combination with αPD-L1 by regulating PD-L1 expression through HK2 modulation. These findings underscore a more effective and innovative approach for treating PDAC.
铜积累引发线粒体驱动的细胞死亡,即铜死亡,为靶向癌症治疗提供了一种有前景的机制。最近的研究强调了肿瘤内铜水平在调节程序性细胞死亡配体1(PD-L1)表达中的关键作用,这表明铜诱导的铜死亡不仅能增强癌细胞死亡,还可能放大抗PD-L1抗体(αPD-L1)的作用。然而,在αPD-L1单药治疗疗效有限的肿瘤中,尤其是胰腺导管腺癌(PDAC),铜诱导的铜死亡在增强αPD-L1治疗疗效及其潜在机制仍不清楚。同时,肿瘤药物蓄积不足和糖酵解显著限制了铜死亡的疗效。为应对这些挑战,我们合成了一种新型纳米酶Pt@PCN-Cu,旨在稳定细胞内铜积累并有效诱导铜死亡。此外,我们旨在确定这种强烈的铜死亡诱导是否能与αPD-L1协同作用以增强癌症治疗效果,最终为改善PDAC治疗的新策略铺平道路。
通过一锅法合成Pt@PCN-Cu,并评估其与αPD-L1联合治疗PDAC的治疗潜力。首先,对该材料的性质进行表征,并确认其有效的细胞摄取。通过在PDAC细胞系和异种移植模型中诱导铜死亡来评估抗肿瘤疗效。利用RNA测序(RNA-seq)确定参与铜死亡调节PD-L1表达的关键调节因子。最后,在体内评估Pt@PCN-Cu与αPD-L1联合的治疗效果,重点关注肿瘤生长抑制和肿瘤微环境(TME)内的免疫调节。
Pt@PCN-Cu表现出优异的物理化学性质和显著的级联催化活性,为进一步的体外和体内研究提供了坚实基础。在体外,Pt@PCN-Cu有效地转运铜并主要通过线粒体功能障碍诱导铜死亡。机制研究表明,Pt@PCN-Cu触发己糖激酶2(HK2)从线粒体解离,导致HK2活性降低。HK2活性的这种下降损害了糖酵解,这是肿瘤能量代谢所必需的代谢途径,进而导致PD-L1水平升高。在体内,Pt@PCN-Cu在皮下PDAC小鼠模型中表现出优异的安全性并在肿瘤部位蓄积,诱导铜死亡。此外,Pt@PCN-Cu与αPD-L1联合进一步增强了其治疗效果,并有效地重新编程了免疫抑制性TME。
本研究提供了强有力的证据,证实了Pt@PCN-Cu在PDAC治疗中的安全性和治疗潜力。重要的是,Pt@PCN-Cu不仅诱导铜死亡,还通过调节HK2来调控PD-L1表达,从而与αPD-L1联合显著增强抗肿瘤疗效。这些发现强调了一种更有效和创新的PDAC治疗方法。