• 文献检索
  • 文档翻译
  • 深度研究
  • 学术资讯
  • Suppr Zotero 插件Zotero 插件
  • 邀请有礼
  • 套餐&价格
  • 历史记录
应用&插件
Suppr Zotero 插件Zotero 插件浏览器插件Mac 客户端Windows 客户端微信小程序
定价
高级版会员购买积分包购买API积分包
服务
文献检索文档翻译深度研究API 文档MCP 服务
关于我们
关于 Suppr公司介绍联系我们用户协议隐私条款
关注我们

Suppr 超能文献

核心技术专利:CN118964589B侵权必究
粤ICP备2023148730 号-1Suppr @ 2026

文献检索

告别复杂PubMed语法,用中文像聊天一样搜索,搜遍4000万医学文献。AI智能推荐,让科研检索更轻松。

立即免费搜索

文件翻译

保留排版,准确专业,支持PDF/Word/PPT等文件格式,支持 12+语言互译。

免费翻译文档

深度研究

AI帮你快速写综述,25分钟生成高质量综述,智能提取关键信息,辅助科研写作。

立即免费体验

CDX2、MUC5AC和p53在评估锯齿状病变向结直肠癌进展中的作用。

The role of CDX2, MUC5AC, and p53 in the evaluation of the progression of serrated lesions toward colorectal carcinoma.

作者信息

Cazacu Sergiu Marian, Iordache Sevastiţa, Iovănescu Vlad Florin, Streba Liliana, Neagoe Carmen Daniela, Busuioc Cristina Jana, Cârţu Dan, Florescu Mirela Marinela

机构信息

Department of Gastroenterology, University of Medicine and Pharmacy of Craiova, Romania;

出版信息

Rom J Morphol Embryol. 2025 Jan-Mar;66(1):99-109. doi: 10.47162/RJME.66.1.09.

DOI:10.47162/RJME.66.1.09
PMID:40384196
原文链接:https://pmc.ncbi.nlm.nih.gov/articles/PMC12236287/
Abstract

BACKGROUND

Serrated colorectal lesions represent a potential precursor of 15-30% of colorectal carcinoma, although the exact mechanisms are not fully understood. The serrated pathway of colorectal carcinogenesis may be correlated with gastric-type metaplasia of the colon and modified expression of caudal type homeobox 2 (CDX2) and local mucins (MUCs).

PATIENTS, MATERIALS AND METHODS: We performed a retrospective study of patients with resected polyps during 2014-2021. The prevalence of serrated lesions, risk factors associated with malignant polyps, and the role of gastric-type metaplasia associated with serrated pathway of carcinogenesis (CDX2, MUC5AC) and of p53 immunostaining in serrated lesions with dysplasia and carcinoma were assessed.

RESULTS

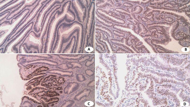
Five hundred twenty two (522) patients had 1199 polyps removed. We noted a 12.8% prevalence of sessile serrated adenoma∕polyps (SSA∕P) and traditional serrated adenomas (TSA); 17.4% had hyperplastic polyps. The malignancy rate of resected polyps was higher in tubulovillous adenoma (TVA) and villous adenoma (12.3-20%) than in SSA∕P (8.3%) and TSA (4.8%). In TSA, no significant associations between malignancy and age, gender, size, location, or endoscopic appearance were noted. In SSA∕P, malignant polyps were much larger, especially for the right side lesions, but the macroscopic type was not correlated with malignancy risk. Immunohistochemistry (IHC) was performed in 26 polyps with dysplasia or carcinoma; all cases had CDX2 immunostaining in the tumor cell's nucleus, with an average percentage of 96.5%. MUC5AC immunostaining was identified in the tumor cells' cytoplasm, with an average percentage of 31.81%; the intensity reaction was variable (average score 4.5). The percentage, intensity, and score for CDX2 IHC were similar for TSA and TVA and were lower for SSA∕P with low-grade dysplasia (LGD), while for SSA∕P with high-grade dysplasia (HGD) or carcinoma in situ (CIS), the percentage, intensity, and score were similar to TSA and TVA. p53 immunostaining was also positive in all cases, with an average percentage of 50.95% in the tumor cells' nucleus. p53 and MUC5AC had increased percentage, intensity, and scores from LGD to HGD in SSA∕P and decreased mean percentage, intensity, and scores in TSA and TVA.

CONCLUSIONS

The risk of malignancy in serrated lesions seems lower than in conventional adenomas, however, sessile serrated lesions can be involved in the appearance of interval cancers because of flat and pale macroscopic aspects. Gastric-type intestinal metaplasia may be associated with the serrated pathway, but more studies are needed to clarify mechanisms associated with serrated carcinogenesis.

摘要

背景

锯齿状结直肠病变是15%-30%的结直肠癌的潜在前体,尽管确切机制尚未完全明确。结直肠癌发生的锯齿状途径可能与结肠胃型化生、尾型同源盒2(CDX2)和局部黏蛋白(MUCs)的表达改变有关。

患者、材料与方法:我们对2014年至2021年期间接受息肉切除术的患者进行了一项回顾性研究。评估了锯齿状病变的患病率、与恶性息肉相关的危险因素,以及与锯齿状致癌途径相关的胃型化生(CDX2、MUC5AC)和p53免疫染色在伴有发育异常和癌的锯齿状病变中的作用。

结果

522例患者切除了1199枚息肉。我们注意到无蒂锯齿状腺瘤/息肉(SSA/P)和传统锯齿状腺瘤(TSA)的患病率为12.8%;17.4%的患者有增生性息肉。管状绒毛状腺瘤(TVA)和绒毛状腺瘤中切除息肉的恶性率(12.3%-20%)高于SSA/P(8.3%)和TSA(4.8%)。在TSA中,未发现恶性与年龄、性别、大小、位置或内镜表现之间存在显著关联。在SSA/P中,恶性息肉要大得多,尤其是右侧病变,但宏观类型与恶性风险无关。对26例伴有发育异常或癌的息肉进行了免疫组织化学(IHC)检测;所有病例肿瘤细胞核均有CDX2免疫染色,平均百分比为96.5%。肿瘤细胞胞质中发现MUC5AC免疫染色,平均百分比为31.81%;强度反应各不相同(平均评分为4.5)。TSA和TVA的CDX2 IHC百分比、强度和评分相似,低级别发育异常(LGD)的SSA/P较低,而高级别发育异常(HGD)或原位癌(CIS)的SSA/P的百分比、强度和评分与TSA和TVA相似。所有病例p53免疫染色也呈阳性,肿瘤细胞核中的平均百分比为50.95%。在SSA/P中,从LGD到HGD,p53和MUC5AC的百分比、强度和评分增加,而在TSA和TVA中,平均百分比、强度和评分降低。

结论

锯齿状病变的恶性风险似乎低于传统腺瘤,然而,无蒂锯齿状病变因其扁平苍白的宏观外观可能与间隔期癌的出现有关。胃型肠化生可能与锯齿状途径有关,但需要更多研究来阐明与锯齿状致癌相关的机制。

https://cdn.ncbi.nlm.nih.gov/pmc/blobs/86f1/12236287/a962d012cca5/RJME-66-1-99-fig9.jpg
https://cdn.ncbi.nlm.nih.gov/pmc/blobs/86f1/12236287/28b8cb79865e/RJME-66-1-99-fig1.jpg
https://cdn.ncbi.nlm.nih.gov/pmc/blobs/86f1/12236287/90d9a18a0f32/RJME-66-1-99-fig2.jpg
https://cdn.ncbi.nlm.nih.gov/pmc/blobs/86f1/12236287/fda2e8db1967/RJME-66-1-99-fig3.jpg
https://cdn.ncbi.nlm.nih.gov/pmc/blobs/86f1/12236287/0233107b4cc5/RJME-66-1-99-fig4.jpg
https://cdn.ncbi.nlm.nih.gov/pmc/blobs/86f1/12236287/e91544c77fa3/RJME-66-1-99-fig5.jpg
https://cdn.ncbi.nlm.nih.gov/pmc/blobs/86f1/12236287/60f706521373/RJME-66-1-99-fig6.jpg
https://cdn.ncbi.nlm.nih.gov/pmc/blobs/86f1/12236287/58fa8e80867d/RJME-66-1-99-fig7.jpg
https://cdn.ncbi.nlm.nih.gov/pmc/blobs/86f1/12236287/a829a21c08fb/RJME-66-1-99-fig8.jpg
https://cdn.ncbi.nlm.nih.gov/pmc/blobs/86f1/12236287/a962d012cca5/RJME-66-1-99-fig9.jpg
https://cdn.ncbi.nlm.nih.gov/pmc/blobs/86f1/12236287/28b8cb79865e/RJME-66-1-99-fig1.jpg
https://cdn.ncbi.nlm.nih.gov/pmc/blobs/86f1/12236287/90d9a18a0f32/RJME-66-1-99-fig2.jpg
https://cdn.ncbi.nlm.nih.gov/pmc/blobs/86f1/12236287/fda2e8db1967/RJME-66-1-99-fig3.jpg
https://cdn.ncbi.nlm.nih.gov/pmc/blobs/86f1/12236287/0233107b4cc5/RJME-66-1-99-fig4.jpg
https://cdn.ncbi.nlm.nih.gov/pmc/blobs/86f1/12236287/e91544c77fa3/RJME-66-1-99-fig5.jpg
https://cdn.ncbi.nlm.nih.gov/pmc/blobs/86f1/12236287/60f706521373/RJME-66-1-99-fig6.jpg
https://cdn.ncbi.nlm.nih.gov/pmc/blobs/86f1/12236287/58fa8e80867d/RJME-66-1-99-fig7.jpg
https://cdn.ncbi.nlm.nih.gov/pmc/blobs/86f1/12236287/a829a21c08fb/RJME-66-1-99-fig8.jpg
https://cdn.ncbi.nlm.nih.gov/pmc/blobs/86f1/12236287/a962d012cca5/RJME-66-1-99-fig9.jpg

相似文献

1
The role of CDX2, MUC5AC, and p53 in the evaluation of the progression of serrated lesions toward colorectal carcinoma.CDX2、MUC5AC和p53在评估锯齿状病变向结直肠癌进展中的作用。
Rom J Morphol Embryol. 2025 Jan-Mar;66(1):99-109. doi: 10.47162/RJME.66.1.09.
2
p53 overexpression in flat serrated adenomas and flat tubular adenomas of the colorectal mucosa.p53在结直肠黏膜扁平锯齿状腺瘤和扁平管状腺瘤中的过表达。
J Cancer Res Clin Oncol. 1995;121(9-10):571-6. doi: 10.1007/BF01197772.
3
Dietary fibre for the prevention of recurrent colorectal adenomas and carcinomas.膳食纤维用于预防复发性结直肠腺瘤和癌。
Cochrane Database Syst Rev. 2017 Jan 8;1(1):CD003430. doi: 10.1002/14651858.CD003430.pub2.
4
Transabdominal ultrasound and endoscopic ultrasound for diagnosis of gallbladder polyps.经腹超声和内镜超声用于胆囊息肉的诊断。
Cochrane Database Syst Rev. 2018 Aug 15;8(8):CD012233. doi: 10.1002/14651858.CD012233.pub2.
5
Chemoprevention of colorectal cancer: systematic review and economic evaluation.结直肠癌的化学预防:系统评价和经济评估。
Health Technol Assess. 2010 Jun;14(32):1-206. doi: 10.3310/hta14320.
6
Whole-Exome Sequencing Analysis of Inflammatory Bowel Disease-Associated Serrated Dysplasia.炎症性肠病相关锯齿状发育异常的全外显子组测序分析
Int J Mol Sci. 2025 Jun 13;26(12):5704. doi: 10.3390/ijms26125704.
7
Comparison of Two Modern Survival Prediction Tools, SORG-MLA and METSSS, in Patients With Symptomatic Long-bone Metastases Who Underwent Local Treatment With Surgery Followed by Radiotherapy and With Radiotherapy Alone.两种现代生存预测工具 SORG-MLA 和 METSSS 在接受手术联合放疗和单纯放疗治疗有症状长骨转移患者中的比较。
Clin Orthop Relat Res. 2024 Dec 1;482(12):2193-2208. doi: 10.1097/CORR.0000000000003185. Epub 2024 Jul 23.
8
Systemic treatments for metastatic cutaneous melanoma.转移性皮肤黑色素瘤的全身治疗
Cochrane Database Syst Rev. 2018 Feb 6;2(2):CD011123. doi: 10.1002/14651858.CD011123.pub2.
9
Computer-aided detection versus advanced imaging for detection of colorectal neoplasia: a systematic review and network meta-analysis.计算机辅助检测与高级成像在结直肠肿瘤检测中的比较:系统评价和网络荟萃分析。
Lancet Gastroenterol Hepatol. 2021 Oct;6(10):793-802. doi: 10.1016/S2468-1253(21)00215-6. Epub 2021 Aug 5.
10
Impact of residual disease as a prognostic factor for survival in women with advanced epithelial ovarian cancer after primary surgery.原发性手术后晚期上皮性卵巢癌患者残留病灶对生存预后的影响。
Cochrane Database Syst Rev. 2022 Sep 26;9(9):CD015048. doi: 10.1002/14651858.CD015048.pub2.

本文引用的文献

1
Factors predicting occurrence and therapeutic choice in malignant colorectal polyps: a study of 13 years of colonoscopic polypectomy.预测恶性结直肠息肉发生和治疗选择的因素:一项结肠镜息肉切除术 13 年研究。
Rom J Morphol Embryol. 2021 Oct-Dec;62(4):917-928. doi: 10.47162/RJME.62.4.04.
2
Transcriptome of sessile serrated adenoma/polyps is associated with MSI-high colorectal cancer and decreased expression of CDX2.无柄锯齿状腺瘤/息肉的转录组与 MSI 高结直肠癌和 CDX2 表达降低有关。
Cancer Med. 2022 Dec;11(24):5066-5078. doi: 10.1002/cam4.4810. Epub 2022 May 10.
3
Differential diagnosis of traditional serrated adenomas and tubulovillous adenomas: a compartmental morphologic and immunohistochemical analysis.
传统锯齿状腺瘤与绒毛管状腺瘤的鉴别诊断:分区形态学与免疫组织化学分析
Acta Gastroenterol Belg. 2020 Oct-Dec;83(4):549-556.
4
Traditional serrated adenoma has two distinct genetic pathways for molecular tumorigenesis with potential neoplastic progression.传统锯齿状腺瘤有两种截然不同的分子肿瘤发生遗传途径,具有潜在的肿瘤进展性。
J Gastroenterol. 2020 Sep;55(9):846-857. doi: 10.1007/s00535-020-01697-5. Epub 2020 Jun 13.
5
Cdx2 Animal Models Reveal Developmental Origins of Cancers.Cdx2 动物模型揭示癌症的发育起源。
Genes (Basel). 2019 Nov 14;10(11):928. doi: 10.3390/genes10110928.
6
Optimal Endoscopic Treatment and Surveillance of Serrated Polyps.锯齿状息肉的最佳内镜治疗和监测。
Gut Liver. 2020 Jul 15;14(4):423-429. doi: 10.5009/gnl19202.
7
The Molecular Hallmarks of the Serrated Pathway in Colorectal Cancer.结直肠癌锯齿状通路的分子特征
Cancers (Basel). 2019 Jul 20;11(7):1017. doi: 10.3390/cancers11071017.
8
Early-stage serrated adenocarcinomas are divided into several molecularly distinct subtypes.早期锯齿状腺癌分为几种分子上明显不同的亚型。
PLoS One. 2019 Feb 20;14(2):e0211477. doi: 10.1371/journal.pone.0211477. eCollection 2019.
9
CDX2 inhibits the proliferation and tumor formation of colon cancer cells by suppressing Wnt/β-catenin signaling via transactivation of GSK-3β and Axin2 expression.CDX2 通过反式激活 GSK-3β 和 Axin2 的表达抑制 Wnt/β-catenin 信号通路,从而抑制结肠癌细胞的增殖和肿瘤形成。
Cell Death Dis. 2019 Jan 10;10(1):26. doi: 10.1038/s41419-018-1263-9.
10
Molecular characterization of sessile serrated adenoma/polyps with dysplasia/carcinoma based on immunohistochemistry, next-generation sequencing, and microsatellite instability testing: a case series study.基于免疫组织化学、二代测序和微卫星不稳定性检测的伴发育异常/癌的无蒂锯齿状腺瘤/息肉的分子特征:一项病例系列研究
Diagn Pathol. 2018 Nov 20;13(1):88. doi: 10.1186/s13000-018-0771-3.