Suppr超能文献

用于肾上腺成像的多频磁共振弹性成像的建立:评估健康肾上腺硬度和流动性的可行性及可重复性

Establishment of multifrequency magnetic resonance elastography for adrenal gland imaging: feasibility and reproducibility for assessing stiffness and fluidity in the healthy adrenal gland.

作者信息

Webster Alexandra, Meyer Tom, Dukaczewska Agata, Mogl Martina T, Hamm Bernd, Sack Ingolf, Marticorena Garcia Stephan Rodrigo

机构信息

Department of Radiology, Campus Mitte, Charité - Universitätsmedizin Berlin, Corporate Member of Freie Universität Berlin, Humboldt-Universität zu Berlin, and Berlin Institute of Health, Berlin, Germany.

Department of Surgery, Campus Mitte | Campus Virchow-Klinikum, Charité - Universitätsmedizin Berlin, corporate member of Freie Universität Berlin, Humboldt-Universität zu Berlin, and Berlin Institute of Health, Berlin, Germany.

出版信息

Quant Imaging Med Surg. 2025 May 1;15(5):4557-4565. doi: 10.21037/qims-24-1011. Epub 2025 Apr 21.

Abstract

BACKGROUND

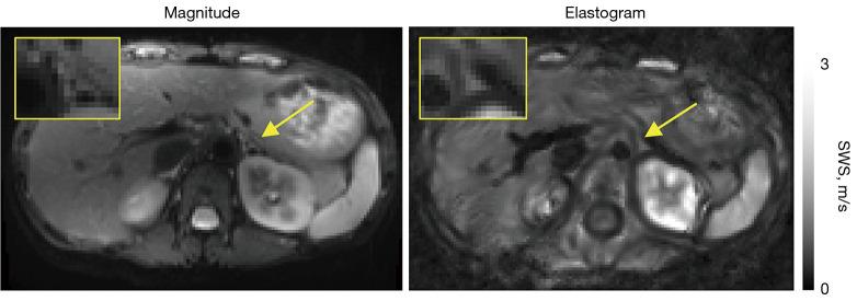
The adrenal glands are small endocrine organs located in the abdominal cavity, playing a critical role in hormone production. However, they have not been studied using magnetic resonance elastography (MRE), a technique known for its sensitivity to viscoelastic differences in various abdominal organs. While MRE has been successfully applied to assess tissue stiffness in larger organs, its application to the adrenal glands remains unexplored. The purpose of this study is to establish multifrequency MRE for the non-invasive quantification of healthy adrenal viscoelasticity, with the goal of providing reference values that could be used to assess adrenal masses in future research.

METHODS

In this prospective cross-sectional study, conducted from December 2020 to November 2021 at a tertiary care academic center, we analyzed the adrenal glands of 15 healthy outpatient participants, who were enrolled through convenience sampling, using multifrequency MRE at 3 T. Tomoelastography post-processing was applied at frequencies of 30, 40, 50 and 60 Hz using shear wave speed (SWS) in m/s as a surrogate for stiffness and loss angle of the complex shear modulus in rad for fluidity. Statistical analysis included the coefficient of repeatability (CR) to assess repeatability in a subgroup of twelve participants, intraclass correlation coefficient (ICC) to evaluate interobserver variability between analyses from two independent observers, and the two-tailed Wilcoxon test to evaluate lateral and sex differences as well as the relative increase in sharpness of stiffness maps after applying motion correction. Additionally, correlation analyses were performed to examine the relationship between loss angle and body mass index (BMI).

RESULTS

Multifrequency MRE was 100% feasible. Total median SWS and loss angle with their interquartile range (IQR) were 1.31 (1.24-1.33) m/s and 0.84 (0.79-0.91) rad with very good repeatability (CR =0.05/ICC =0.89) and (CR =0.12/ICC =0.73), respectively. Motion correction resulted in a relative increase in SWS sharpness of 12%±12% (P=0.04). Loss angle was negatively correlated with BMI (r=-0.55; P=0.04). No lateral or sex differences were observed.

CONCLUSIONS

Multifrequency MRE provides direct analysis of viscoelasticity of the adrenal glands on high-resolution elastograms with an excellent repeatability, providing direct analysis of small organs such as the adrenal glands directly on the elastograms. Our study provides first reference values of viscoelasticity of the adrenal gland.

摘要

背景

肾上腺是位于腹腔内的小型内分泌器官,在激素产生中起关键作用。然而,尚未使用磁共振弹性成像(MRE)对其进行研究,MRE是一种以对各种腹部器官的粘弹性差异敏感而闻名的技术。虽然MRE已成功应用于评估较大器官的组织硬度,但其在肾上腺的应用仍未得到探索。本研究的目的是建立多频MRE,用于无创定量健康肾上腺的粘弹性,目标是提供可用于未来研究中评估肾上腺肿块的参考值。

方法

在2020年12月至2021年11月于一家三级医疗学术中心进行的这项前瞻性横断面研究中,我们分析了15名健康门诊参与者的肾上腺,这些参与者通过便利抽样招募,在3T下使用多频MRE。使用剪切波速度(SWS,单位为m/s)作为硬度的替代指标,以及复剪切模量的损耗角(单位为rad)来表示流动性,在30、40、50和60Hz频率下进行断层弹性成像后处理。统计分析包括重复性系数(CR)以评估12名参与者亚组中的重复性,组内相关系数(ICC)以评估两名独立观察者分析之间的观察者间变异性,以及双尾Wilcoxon检验以评估左右侧差异和性别差异,以及应用运动校正后硬度图锐度的相对增加。此外,进行相关性分析以检查损耗角与体重指数(BMI)之间的关系。

结果

多频MRE的可行性为100%。总中位数SWS及其四分位间距(IQR)为1.31(1.24 - 1.33)m/s,损耗角为0.84(0.79 - 0.91)rad,重复性非常好(CR = 0.05/ICC = 0.89)和(CR = 0.12/ICC = 0.73)。运动校正导致SWS锐度相对增加12%±12%(P = 0.04)。损耗角与BMI呈负相关(r = -0.55;P = 0.04)。未观察到左右侧或性别差异。

结论

多频MRE在高分辨率弹性图上提供对肾上腺粘弹性的直接分析,具有出色的重复性,可直接在弹性图上对肾上腺等小器官进行分析。我们的研究提供了肾上腺粘弹性的首个参考值。

https://cdn.ncbi.nlm.nih.gov/pmc/blobs/996a/12082585/7976f4c9273b/qims-15-05-4557-f1.jpg

相似文献

2
Multifrequency magnetic resonance elastography-based tomoelastography of the parotid glands-feasibility and reference values.
Dentomaxillofac Radiol. 2022 Jan 1;51(1):20210337. doi: 10.1259/dmfr.20210337. Epub 2021 Sep 24.
3
Reproducibility of Cardiac Multifrequency MR Elastography in Assessing Left Ventricular Stiffness and Viscosity.
J Magn Reson Imaging. 2025 May;61(5):2146-2154. doi: 10.1002/jmri.29640. Epub 2024 Oct 25.
4
Cerebral tomoelastography based on multifrequency MR elastography in two and three dimensions.
Front Bioeng Biotechnol. 2022 Dec 2;10:1056131. doi: 10.3389/fbioe.2022.1056131. eCollection 2022.
5
Feasibility and Reproducibility of Multifrequency Magnetic Resonance Elastography in Healthy and Diseased Pancreases.
J Magn Reson Imaging. 2022 Dec;56(6):1769-1780. doi: 10.1002/jmri.28158. Epub 2022 Mar 25.
7
Reduction of breathing artifacts in multifrequency magnetic resonance elastography of the abdomen.
Magn Reson Med. 2021 Apr;85(4):1962-1973. doi: 10.1002/mrm.28558. Epub 2020 Oct 26.
9
Free-breathing motion corrected magnetic resonance elastography of the abdomen.
Quant Imaging Med Surg. 2024 May 1;14(5):3447-3460. doi: 10.21037/qims-23-1727. Epub 2024 Apr 17.
10
Tomoelastography of the prostate using multifrequency MR elastography and externally placed pressurized-air drivers.
Magn Reson Med. 2018 Mar;79(3):1325-1333. doi: 10.1002/mrm.26769. Epub 2017 Jun 6.

本文引用的文献

1
Effects of oral contrast agent on the viscoelastic properties of the terminal ileum investigated using magnetic resonance elastography.
Quant Imaging Med Surg. 2024 Aug 1;14(8):5973-5982. doi: 10.21037/qims-24-101. Epub 2024 Jul 26.
2
Free-breathing motion corrected magnetic resonance elastography of the abdomen.
Quant Imaging Med Surg. 2024 May 1;14(5):3447-3460. doi: 10.21037/qims-23-1727. Epub 2024 Apr 17.
3
Metabolic heterogeneity in adrenocortical carcinoma impacts patient outcomes.
JCI Insight. 2023 Aug 22;8(16):e167007. doi: 10.1172/jci.insight.167007.
4
Feasibility of magnetic resonance elastography of mesenteric adipose tissue in Crohn's disease.
Quant Imaging Med Surg. 2023 Aug 1;13(8):4792-4805. doi: 10.21037/qims-23-41. Epub 2023 Jun 28.
6
Prevalence and Characteristics of Adrenal Tumors in an Unselected Screening Population : A Cross-Sectional Study.
Ann Intern Med. 2022 Oct;175(10):1383-1391. doi: 10.7326/M22-1619. Epub 2022 Sep 13.
7
MR elastography: Principles, guidelines, and terminology.
Magn Reson Med. 2021 May;85(5):2377-2390. doi: 10.1002/mrm.28627. Epub 2020 Dec 9.
8
Distinguishing pancreatic cancer and autoimmune pancreatitis with in vivo tomoelastography.
Eur Radiol. 2021 May;31(5):3366-3374. doi: 10.1007/s00330-020-07420-5. Epub 2020 Oct 30.
9
Reduction of breathing artifacts in multifrequency magnetic resonance elastography of the abdomen.
Magn Reson Med. 2021 Apr;85(4):1962-1973. doi: 10.1002/mrm.28558. Epub 2020 Oct 26.
10

文献AI研究员

20分钟写一篇综述,助力文献阅读效率提升50倍。

立即体验

用中文搜PubMed

大模型驱动的PubMed中文搜索引擎

马上搜索

文档翻译

学术文献翻译模型,支持多种主流文档格式。

立即体验