• 文献检索
  • 文档翻译
  • 深度研究
  • 学术资讯
  • Suppr Zotero 插件Zotero 插件
  • 邀请有礼
  • 套餐&价格
  • 历史记录
应用&插件
Suppr Zotero 插件Zotero 插件浏览器插件Mac 客户端Windows 客户端微信小程序
定价
高级版会员购买积分包购买API积分包
服务
文献检索文档翻译深度研究API 文档MCP 服务
关于我们
关于 Suppr公司介绍联系我们用户协议隐私条款
关注我们

Suppr 超能文献

核心技术专利:CN118964589B侵权必究
粤ICP备2023148730 号-1Suppr @ 2026

文献检索

告别复杂PubMed语法,用中文像聊天一样搜索,搜遍4000万医学文献。AI智能推荐,让科研检索更轻松。

立即免费搜索

文件翻译

保留排版,准确专业,支持PDF/Word/PPT等文件格式,支持 12+语言互译。

免费翻译文档

深度研究

AI帮你快速写综述,25分钟生成高质量综述,智能提取关键信息,辅助科研写作。

立即免费体验

芥子酸改善镉诱导的肝毒性:对氧化应激、炎症和细胞凋亡的调节

Sinapic Acid Ameliorates Cadmium-Induced Hepatotoxicity: Modulation of Oxidative Stress, Inflammation, and Apoptosis.

作者信息

Farahat Yomna A, El-Sayed Norhan M, Hazem Reem M, Mehanna Eman T, Radwan Asmaa

机构信息

Department of Pharmacology & Toxicology, Faculty of Pharmacy, Suez Canal University, Ismailia 41522, Egypt.

Department of Biochemistry, Faculty of Pharmacy, Suez Canal University, Ismailia 41522, Egypt.

出版信息

Biomedicines. 2025 Apr 28;13(5):1065. doi: 10.3390/biomedicines13051065.

DOI:10.3390/biomedicines13051065
PMID:40426893
原文链接:https://pmc.ncbi.nlm.nih.gov/articles/PMC12109072/
Abstract

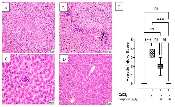
: Cadmium (Cd) is a harmful metal commonly used in industry. Numerous clinical diseases, including osteomalacia, testicular damage, renal and hepatic failure, and pulmonary edema, are associated with Cd exposure. The current study evaluated the protective effect of Sinapic acid (SA) against Cd-induced hepatotoxicity by investigating different mechanistic pathways interfering with Cd-related liver injury. : Forty rats were randomly assigned to four groups as follows; group 1 served as negative control and received saline, group 2 received saline for 14 days and CdCl (3.5 mg/kg IP) as a single dose on day 14, groups 3 and 4 were treated with SA (20, 40 mg/kg PO), respectively, for 14 days and injected with CdCl (3.5 mg/kg IP) on day 14. Serum was collected to evaluate liver function. Liver samples were collected for histopathological examination and the assessment of markers related to oxidative stress, inflammation, and apoptosis. : Acute Cd administration elevated liver enzymes and induced pathological changes in liver specimens, with the concurrent release of inflammatory markers and reduced antioxidant capabilities. Pretreatment with SA improved liver function and Cd-induced histopathological changes and elevated the activities of antioxidant enzymes. SA ameliorated inflammation, as evidenced by decreased expression of NF-κB, TNF-α, TLR-4, and COX-2, iNOS, and IL-1β levels along with suppression of mTOR, JNK, ERK, BAX, and Bcl-2. : The present data suggest that SA represents a promising protective agent against Cd-induced hepatic injury by attenuating oxidative stress, inflammation, and apoptosis.

摘要

镉(Cd)是一种工业中常用的有害金属。许多临床疾病,包括骨软化症、睾丸损伤、肾衰竭和肝衰竭以及肺水肿,都与镉暴露有关。本研究通过研究干扰镉相关肝损伤的不同机制途径,评估了芥子酸(SA)对镉诱导的肝毒性的保护作用。

40只大鼠被随机分为四组,如下所示:第1组作为阴性对照,接受生理盐水;第2组接受14天生理盐水,在第14天接受单次剂量的CdCl(3.5mg/kg腹腔注射);第3组和第4组分别用SA(20、40mg/kg口服)治疗14天,并在第14天注射CdCl(3.5mg/kg腹腔注射)。收集血清以评估肝功能。收集肝脏样本进行组织病理学检查以及评估与氧化应激、炎症和凋亡相关的标志物。

急性给予镉会升高肝酶并在肝脏标本中诱导病理变化,同时释放炎症标志物并降低抗氧化能力。SA预处理改善了肝功能和镉诱导的组织病理学变化,并提高了抗氧化酶的活性。SA减轻了炎症,表现为NF-κB、TNF-α、TLR-4和COX-2、iNOS以及IL-1β水平的表达降低,同时抑制了mTOR、JNK、ERK、BAX和Bcl-2。

目前的数据表明,SA通过减轻氧化应激、炎症和凋亡,是一种有前景的抗镉诱导肝损伤的保护剂。

https://cdn.ncbi.nlm.nih.gov/pmc/blobs/6873/12109072/6c0df307faa7/biomedicines-13-01065-g009.jpg
https://cdn.ncbi.nlm.nih.gov/pmc/blobs/6873/12109072/35879935df1f/biomedicines-13-01065-g001.jpg
https://cdn.ncbi.nlm.nih.gov/pmc/blobs/6873/12109072/8918ea70b823/biomedicines-13-01065-g002.jpg
https://cdn.ncbi.nlm.nih.gov/pmc/blobs/6873/12109072/e16cd414df8d/biomedicines-13-01065-g003.jpg
https://cdn.ncbi.nlm.nih.gov/pmc/blobs/6873/12109072/c515a57af5c3/biomedicines-13-01065-g004.jpg
https://cdn.ncbi.nlm.nih.gov/pmc/blobs/6873/12109072/2e44343e3748/biomedicines-13-01065-g005.jpg
https://cdn.ncbi.nlm.nih.gov/pmc/blobs/6873/12109072/eff7b8bf6360/biomedicines-13-01065-g006.jpg
https://cdn.ncbi.nlm.nih.gov/pmc/blobs/6873/12109072/8ea7400aea9b/biomedicines-13-01065-g007.jpg
https://cdn.ncbi.nlm.nih.gov/pmc/blobs/6873/12109072/7e246e6606f9/biomedicines-13-01065-g008.jpg
https://cdn.ncbi.nlm.nih.gov/pmc/blobs/6873/12109072/6c0df307faa7/biomedicines-13-01065-g009.jpg
https://cdn.ncbi.nlm.nih.gov/pmc/blobs/6873/12109072/35879935df1f/biomedicines-13-01065-g001.jpg
https://cdn.ncbi.nlm.nih.gov/pmc/blobs/6873/12109072/8918ea70b823/biomedicines-13-01065-g002.jpg
https://cdn.ncbi.nlm.nih.gov/pmc/blobs/6873/12109072/e16cd414df8d/biomedicines-13-01065-g003.jpg
https://cdn.ncbi.nlm.nih.gov/pmc/blobs/6873/12109072/c515a57af5c3/biomedicines-13-01065-g004.jpg
https://cdn.ncbi.nlm.nih.gov/pmc/blobs/6873/12109072/2e44343e3748/biomedicines-13-01065-g005.jpg
https://cdn.ncbi.nlm.nih.gov/pmc/blobs/6873/12109072/eff7b8bf6360/biomedicines-13-01065-g006.jpg
https://cdn.ncbi.nlm.nih.gov/pmc/blobs/6873/12109072/8ea7400aea9b/biomedicines-13-01065-g007.jpg
https://cdn.ncbi.nlm.nih.gov/pmc/blobs/6873/12109072/7e246e6606f9/biomedicines-13-01065-g008.jpg
https://cdn.ncbi.nlm.nih.gov/pmc/blobs/6873/12109072/6c0df307faa7/biomedicines-13-01065-g009.jpg

相似文献

1
Sinapic Acid Ameliorates Cadmium-Induced Hepatotoxicity: Modulation of Oxidative Stress, Inflammation, and Apoptosis.芥子酸改善镉诱导的肝毒性:对氧化应激、炎症和细胞凋亡的调节
Biomedicines. 2025 Apr 28;13(5):1065. doi: 10.3390/biomedicines13051065.
2
Sinapic acid ameliorate cadmium-induced nephrotoxicity: In vivo possible involvement of oxidative stress, apoptosis, and inflammation via NF-κB downregulation.芥子酸改善镉诱导的肾毒性:在体内可能通过下调NF-κB参与氧化应激、细胞凋亡和炎症反应。
Environ Toxicol Pharmacol. 2017 Apr;51:100-107. doi: 10.1016/j.etap.2017.02.014. Epub 2017 Feb 15.
3
Naringenin blocks hepatic cadmium accumulation and suppresses cadmium-induced hepatotoxicity via amelioration of oxidative inflammatory signaling and apoptosis in rats.柚皮素通过改善氧化炎症信号和细胞凋亡抑制镉在大鼠肝脏中的蓄积并减轻镉诱导的肝毒性。
Drug Chem Toxicol. 2024 Jul;47(4):436-444. doi: 10.1080/01480545.2023.2196377. Epub 2023 Apr 19.
4
Diallyl disulfide prevents cadmium-induced testicular injury by attenuating oxidative stress, apoptosis, and TLR-4/NF-κB and JAK1/STAT3 signaling and upregulating SIRT1 in rats.二烯丙基二硫化物通过减轻氧化应激、细胞凋亡、TLR-4/NF-κB和JAK1/STAT3信号传导并上调大鼠体内的SIRT1来预防镉诱导的睾丸损伤。
J Trace Elem Med Biol. 2024 Dec;86:127560. doi: 10.1016/j.jtemb.2024.127560. Epub 2024 Nov 12.
5
Diallyl Disulfide Mitigates Cadmium Hepatotoxicity by Attenuating Oxidative Stress and TLR-4/NF-κB Signaling and Upregulating PPARγ.二烯丙基二硫醚通过减轻氧化应激和 TLR-4/NF-κB 信号转导并上调 PPARγ 减轻镉肝毒性。
Front Biosci (Landmark Ed). 2024 Oct 23;29(10):369. doi: 10.31083/j.fbl2910369.
6
Hepatoprotective effects of zingerone on sodium arsenite-induced hepatotoxicity in rats: Modulating the levels of caspase-3/Bax/Bcl-2, NLRP3/NF-κB/TNF-α and ATF6/IRE1/PERK/GRP78 signaling pathways.姜酮对亚砷酸钠诱导的大鼠肝毒性的保护作用:调节 caspase-3/Bax/Bcl-2、NLRP3/NF-κB/TNF-α 和 ATF6/IRE1/PERK/GRP78 信号通路的水平。
Biochem Biophys Res Commun. 2024 Sep 17;725:150258. doi: 10.1016/j.bbrc.2024.150258. Epub 2024 Jun 11.
7
Protective effect of eugenol on hepatic inflammation and oxidative stress induced by cadmium in male rats.丁香酚对雄性大鼠镉诱导的肝炎症和氧化应激的保护作用。
Biomed Pharmacother. 2021 Jul;139:111588. doi: 10.1016/j.biopha.2021.111588. Epub 2021 Apr 14.
8
Sinapic Acid Ameliorates Acetic Acid-Induced Ulcerative Colitis in Rats by Suppressing Inflammation, Oxidative Stress, and Apoptosis.咖啡酸通过抑制炎症、氧化应激和细胞凋亡改善乙酸诱导的大鼠溃疡性结肠炎。
Molecules. 2022 Jun 28;27(13):4139. doi: 10.3390/molecules27134139.
9
Grape seed proanthocyanidins ameliorates cadmium-induced renal injury and oxidative stress in experimental rats through the up-regulation of nuclear related factor 2 and antioxidant responsive elements.葡萄籽原花青素通过上调核相关因子2和抗氧化反应元件改善实验大鼠镉诱导的肾损伤和氧化应激。
Biochem Cell Biol. 2015 Jun;93(3):210-26. doi: 10.1139/bcb-2014-0114. Epub 2014 Dec 11.
10
Sinapic acid modulates Nrf2/HO-1 signaling pathway in cisplatin-induced nephrotoxicity in rats.芥子酸调节顺铂诱导的大鼠肾毒性中的Nrf2/HO-1信号通路。
Biomed Pharmacother. 2017 Sep;93:646-653. doi: 10.1016/j.biopha.2017.06.085. Epub 2017 Jul 4.

本文引用的文献

1
Mitigation of Acute Hepatotoxicity Induced by Cadmium Through Morin: Modulation of Oxidative and Pro-apoptotic Endoplasmic Reticulum Stress and Inflammatory Responses in Rats.通过桑色素减轻镉诱导的急性肝毒性:调节大鼠氧化和促细胞凋亡内质网应激和炎症反应。
Biol Trace Elem Res. 2024 Nov;202(11):5106-5117. doi: 10.1007/s12011-024-04064-0. Epub 2024 Jan 19.
2
Sinapic Acid Attenuates Chronic DSS-Induced Intestinal Fibrosis in C57BL/6J Mice by Modulating NLRP3 Inflammasome Activation and the Autophagy Pathway.芥子酸通过调节NLRP3炎性小体激活和自噬途径减轻慢性右旋糖酐硫酸钠诱导的C57BL/6J小鼠肠道纤维化。
ACS Omega. 2023 Dec 26;9(1):1230-1241. doi: 10.1021/acsomega.3c07474. eCollection 2024 Jan 9.
3
Effect of silymarin on the relative gene expressions of some inflammatory cytokines in the liver of CCl-intoxicated male rats.
水飞蓟素对 CCl4 中毒雄性大鼠肝脏某些炎症细胞因子相对基因表达的影响。
Sci Rep. 2023 Sep 14;13(1):15245. doi: 10.1038/s41598-023-42250-7.
4
Sinapic acid alleviates inflammatory bowel disease (IBD) through localization of tight junction proteins by direct binding to TAK1 and improves intestinal microbiota.芥子酸通过直接结合TAK1使紧密连接蛋白定位,从而减轻炎症性肠病(IBD),并改善肠道微生物群。
Front Pharmacol. 2023 Aug 15;14:1217111. doi: 10.3389/fphar.2023.1217111. eCollection 2023.
5
mTOR in programmed cell death and its therapeutic implications.mTOR在程序性细胞死亡中的作用及其治疗意义。
Cytokine Growth Factor Rev. 2023 Jun-Aug;71-72:66-81. doi: 10.1016/j.cytogfr.2023.06.002. Epub 2023 Jun 24.
6
Sinapic acid attenuates cyclophosphamide-induced liver toxicity in mice by modulating oxidative stress, NF-κB, and caspase-3.芥子酸通过调节氧化应激、核因子κB和半胱天冬酶-3减轻环磷酰胺诱导的小鼠肝脏毒性。
Iran J Basic Med Sci. 2023;26(5):526-531. doi: 10.22038/IJBMS.2023.68579.14960.
7
Asperuloside attenuates cadmium-induced toxicity by inhibiting oxidative stress, inflammation, fibrosis and apoptosis in rats.獐牙菜苦苷通过抑制氧化应激、炎症、纤维化和细胞凋亡减轻大鼠镉诱导的毒性。
Sci Rep. 2023 Apr 7;13(1):5698. doi: 10.1038/s41598-023-29504-0.
8
The mechanism of the cadmium-induced toxicity and cellular response in the liver.镉诱导的肝脏毒性及细胞反应机制。
Toxicology. 2022 Oct;480:153339. doi: 10.1016/j.tox.2022.153339. Epub 2022 Sep 24.
9
The role of inflammation in cadmium nephrotoxicity: NF-κB comes into view.炎症在镉肾毒性中的作用:NF-κB 崭露头角。
Life Sci. 2022 Nov 1;308:120971. doi: 10.1016/j.lfs.2022.120971. Epub 2022 Sep 18.
10
Sinapic Acid Ameliorates Acetic Acid-Induced Ulcerative Colitis in Rats by Suppressing Inflammation, Oxidative Stress, and Apoptosis.咖啡酸通过抑制炎症、氧化应激和细胞凋亡改善乙酸诱导的大鼠溃疡性结肠炎。
Molecules. 2022 Jun 28;27(13):4139. doi: 10.3390/molecules27134139.